今天为大家分享的是由上海市第一人民医院昆山分院马鹏医师翻译,神外资讯联合创始人、海军军医大学附属长征医院徐涛副教授审校:开放性颅骨骨折的手术策略与技巧,欢迎观看、阅读!
对于凹陷性颅骨骨折的治疗策略(手术或保守)目前仍存在争议。
对于闭合性线性骨折,即使存在凹陷,如果骨板下不存在明显扩张的血肿或占位性病变,仍旧可不予处理。若存在面容畸形,可采取手术干预。
然而,开放性骨折(骨折处通过皮肤裂口与外界相通)伴随可疑硬脑膜撕裂将导致后续颅内感染及脓肿形成可能性升高,是手术干预的明确适应症。不幸的是,基于目前的临床及影像学检查,对于鉴别是否存在硬脑膜撕裂并没有什么可靠的措施,因此,这就迫使采用手术探查。
颅骨骨折往往伴随一些能够预测的创伤性脑损伤(TBI)。TBI通常根据其原发性损伤及相关后遗症的严重程度来分类。TBI可依据外伤后癫痫发作风险、全身功能恢复情况及死亡率来预测患者预后。
局灶性神经系统体征并不是颅骨骨折亟须手术治疗的迹象。局灶体征通常由原发损伤造成,进而引起脑实质出血或脑挫伤。这种情况下,抬起凹陷的颅骨并不能起到治疗作用,因为神经功能缺失是由脑实质内部损伤引起,而非颅骨压迫引起的。
凹陷性颅骨骨折患者的临床表现多样,有的完全没有神经功能异常,而有些却呈昏迷状态(GCS≤8)。由于头皮活动性较大,骨折位置并不一定直接位于头皮裂口下方,临床表现可随受伤部位的差异而变得复杂。
由于内板在外力作用下可能与外板分离引起严重的凹陷性骨折,外部肉眼可见的轻微凹陷仍可能导致硬脑膜撕裂,对此医生应引起高度重视。由于漏诊导致的治疗方案错误是发生一些本可避免的并发症的首要危险因素。
引起颅骨骨折的损伤机制在诊疗过程中具有作用巨大。因此,从患者本人及目击者获知完整的受伤过程很重要。暴力袭击受害者受伤严重程度通常较交通事故受害者要轻。
对于凹陷性颅骨骨折患者需要提高警惕性而降低影像学检查门槛。首选影响学检查是CT平扫。CT骨窗可高分辨率显示颅骨,使那些通过正侧位X线检查容易忽视的小的凹陷性骨折的诊断变得更准确。
![]()
图1.CT平扫显示右侧额骨凹陷性骨折伴点状脑挫伤(上图)。骨折碎片凹陷超过颅骨厚度,硬膜损伤可能性高。下图展示的是一右侧额骨凹陷性骨折累及额窦前壁及后壁(箭头)。
不幸的是,大多数时候很难甚至不可能单纯从影像学检查明确是否存在硬膜损伤。
其它的影像学方法,比如CTA或DSA,在骨折对静脉窦产生影响时可选择使用。血管造影可显示硬脑膜静脉窦血液回流是否受影响。由于较隐蔽的静脉窦损伤通常在碎骨片翻起前并不明显,因此翻起位于静脉窦上方的碎骨片风险很大,应尽可能避免。静脉窦修补可能会影响血流通畅。
如果因骨折位于静脉窦上方,血肿形成对静脉窦产生压迫并引起神经功能症状必须行手术治疗时,笔者会在术中遗留一长条骨瓣于静脉窦上方,以期尽量避免在对静脉窦上覆盖的骨折片操作时进一步损伤静脉窦。
有压迫和神经症状出现的脑外及脑实质内血肿存在是手术的绝对指征。凹陷性颅骨骨折的其它手术适应症如下:
开放性颅骨骨折凹陷深度超过颅骨厚度后硬膜损伤可能性高,可采取手术干预。
临床或影响学检查提示开放性凹陷性骨折累及额窦后壁,伴面容畸形,颅腔积气或者伤口污染严重可采用手术干预。
手术时机:
推荐即刻手术(通常伤后12小时内)以尽可能降低感染风险。
保守治疗适应症:
闭合性凹陷性颅骨骨折不伴有明显的面容畸形可采用保守治疗。
如果有相对可靠的影像或临床证据显示硬膜完整并且不伴严重污染或颅腔积气可采取保守治疗。
尽管提供上述建议,但已报道相关病例的争议性导致很难得到一个可靠的结论。伤口污染伴潜在硬膜撕裂的开放性颅骨骨折患者在急诊室予清创后采取保守治疗应谨慎。其次,伤口应严密闭合,并且建议高强度抗炎治疗。
在头颅CT得到广泛应用前凹陷性颅骨骨折患者采取保守治疗的依据完全基于临床经验。在这一时期,许多凹陷性颅骨骨折患者经保守治疗仍旧得以恢复而不伴发严重感染或者长期并发症。
条件允许的情况下,笔者提倡保守治疗。
一旦决定手术,患者应保持血流动力学稳定以准备行全身麻醉。尽管即刻手术很重要,但若没有将患者置于脑疝风险之下的活动性病变存在,单纯凹陷性颅骨骨折并不能构成急症。
大多数医生提倡在伤后12小时内行手术治疗,但推迟至48小时内并不会增加感染风险。
放射状及其他复杂的头皮撕裂伤术中需要整形外科同事的协助。这一工作需要事先协调以备不时之需。
据骨折部位选择采取仰卧位或侧卧位。通常将头部放在凝胶头圈上。切口的选择依据头皮裂口及骨折位置决定。切口的选择需兼顾美观。
如果骨折位于发际线后方,依据头皮裂口位置采用拉长延长的“S”形切口能够提供足够的暴露,并且在必要时可轻易延长。如果骨折位于额部,在发际线后行冠状切口通常在美观方面更容易让人接受。
![]()
图2.发际线后额骨骨折展示。骨折呈碎片状并且凹陷。虚线为拉长的“S”切口,将皮肤裂口包含在内,并且能够获得足够的术区暴露。
骨折获得足够暴露后,将皮肤创缘清理干净,移除游离碎骨片。术者在撬起碎骨片时应小心操作以免损伤下方的静脉窦及脑实质。如果盲目撬起凹陷的碎骨片风险太大,笔者会在骨折区域边缘钻一孔,先识别出正常的硬脑膜,从骨孔区域开始直视下逐块撬起碎骨片。所有凹陷的碎骨片均应移除并保存好,以备修复后还纳。
如果骨折碎片嵌入静脉窦,术前影像学提示该静脉窦至关重要,碎片不应被取出。所有操作都应避免静脉窦血管壁的损伤。更多关于静脉窦出血如何处理的细节请参考“硬脑膜静脉窦损伤修复 ”的章节。
骨折碎片被移除后,仔细检查硬脑膜,采用边冲边吸的方法清除颅内积血。如果没有发现硬膜撕裂,并且术前CT未见明显硬膜下病变,不应打开硬膜行进一步探查,相反,此时可开始关颅。
![]()
图3. 将凹陷及碎裂的骨折片清除后,硬膜、硬膜外血肿及硬膜下血肿均可显露。边冲洗边吸引清除血肿。如果可能,应完全清除血肿并通过进一步切开硬膜探查确保止血完全。如果引起神经症状的硬膜外血肿范围超过骨折范围,应予扩大骨窗。术野应清理干净并采用抗生素溶液冲洗,以免留下感染后患。
受压的脑组织应检查是否有挫伤或坏死。轻柔的吸除坏死脑组织直至看到相对正常的脑组织。笔者并不强求一定要清除嵌入脑深部的小碎骨片,这是要以进一步损伤脑皮质为代价的。积极地清除坏死脑组织在可能会导致额外损伤及出血的情况下并不推荐,特别是在功能区附近。
硬膜下处理完成后,所有敞开的硬膜均水密缝合。如若硬膜存在缺损,笔者会在远离头皮裂口的部位取一骨膜瓣行硬膜修补。由于感染风险较大,应尽量避免使用同种异体硬脑膜。
![]()
图4.清除血肿,充分清创及冲洗术区,水密缝合硬脑膜裂口使脑脊液漏及术后感染风险最小化。
将所有已取出的碎骨片浸泡在抗生素溶液中并清洗干净。接着,将碎骨片采用连接片重新连接后回纳。为了降低术后感染风险,应尽可能使用碎骨片修复而不要使用人工材料。如果骨折碎片不能再次拼接成型或者污染较重,笔者会使用钛网行颅骨重建以尽量降低感染风险,而不使用甲基丙烯酸甲脂(即有机玻璃)。
对于开放性颅骨骨折产生迟发性感染的患者,笔者并不去替换已经感染的颅骨碎片。笔者会采用采用反复冲洗加清创的方法来处理,而不是颅骨重建。笔者会在不早于4-6个月的时间段行颅骨成形术,通常采用定制的人工材料修复。
![]()
图5:在对脑组织、硬脑膜及颅骨清创并彻底冲洗后,连接片连接碎骨片后还纳。
最后,缝合帽状腱膜及皮肤。
![]()
图6. 将皮缘精确对合有助于更好的愈合。笔者通常会留置一临时的帽状腱膜下引流。
颅骨开放性凹陷性骨折与硬脑膜静脉窦
位于静脉窦上方的开放性凹陷性颅骨骨折治疗方案较特殊。前已述及,必须行脑血管造影明确骨折与静脉窦是否相互影响。
如果静脉窦已经受压,但对管腔血流影响较小,虽然有开放性骨折存在,笔者还是会采用保守治疗。对于无症状的患者,应尽一切努力避免手术干预。积极行影像学检查谨防血肿扩大。
住院期间静脉用广谱抗生素。出院后,频繁定期随访,注意发现颅内感染,包括脑脓肿的早期体征。约伤后2周行增强CT排查是否早期脑脓肿形成。
静脉窦阻塞并引起症状的患者须手术干预。静脉回流障碍引起的高颅压需开颅探查并重建静脉回流。关于静脉窦修复的细节问题请参考相关章节。如果静脉窦闭塞,但患者并无临床表现,在清除血肿的同时可将静脉窦结扎。
一旦决定手术,有一些特殊事项需要注意。监测及处理静脉窦空气栓塞的措施应准备妥当。这些措施包括经食管超声心动图,心前区超声监测,食道听诊,呼气末二氧化碳浓度监测,呼气末氮浓度监测,右心导管(可用于吸出气泡)。患者头部应轻微抬高以尽量减少静脉窦出血,以免失血过多。
相反,患者头位不应抬高,以免增加静脉窦空气栓塞的风险。骨瓣铣开及翻起应首先位于静脉窦损伤处的近端及远端,这样做是为了更好的控制静脉窦出血。
然后,在骨折线旁钻一孔,将骨折碎片从近端向远端逐一撬起骨折片并移开。最后,清除受损或已经闭塞的静脉窦上方的碎骨片。如果损伤静脉窦不可替代,笔者会在窦损伤处上方遗留一块游离骨片,尽量减少操作过程中血管壁撕裂的风险。
在出血处两端用动脉瘤夹或止血钳夹闭以控制出血。如果裂口很小,血管壁能够对合的情况下可用5-0不可吸收线缝合。如果血管创口对合困难,可取一小片骨膜瓣修补血管瘘口。或者,可将毗邻的硬脑膜翻转后沿窦的边沿缝合,重建血管壁。避免使用明胶海绵填塞,会造成血管永久性阻塞。必要时可用两小团脑棉塞入损伤管壁的近端及远端作为临时性阻断。
术后服用阿司匹林预防血栓形成有争议,但仍推荐使用。
![]()
图7. 右侧横窦与乙状窦交接处撕裂,将毗邻硬脑膜翻转包裹撕裂处后缝合。Labbe静脉(箭头)得以保留。
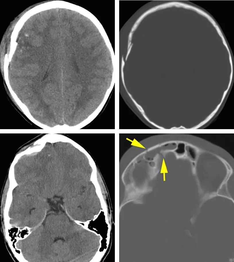
在冲击较大的机动车事故期中,乘员的额窦骨折是常见的。骨折部位对于决定采用保守治疗还是手术干预至关重要。
如果单纯额窦前壁骨折且未见移位,保守治疗是合理的。如果额窦后壁骨折,由于硬膜损伤可能性高及脑脊液漏存在,应积极手术干预。额窦后壁骨折,如果能确定不存在脑脊液漏,笔者会尽可能小的骚扰额窦后壁。
额窦骨折症状主要有眶上神经分布区感觉麻木,脑脊液鼻漏,结膜充血及额窦凹陷。CT见颅腔积气及位于额窦正下方的颅内血肿提示存在隐匿性额窦骨折。
如果必须手术干预,应采用发际线后冠状切口。开颅过程中留取一片以眶上缘为基底的带血管蒂骨膜瓣。
为了到达额窦后壁,笔者会翻起一部分额窦前壁。用不带护板的B1铣刀头围绕额窦四周切开并翻起,并尽可能小的暴露硬膜。通常额窦前壁也伴骨折,轻易即可翻起。
接着,清除额窦内粘膜及上皮组织,用刮匙将粘膜清理干净以防迟发性粘液囊肿形成。然后探查额窦后壁。如果发现后壁有凹陷骨折或者脑脊液漏,应翻起额窦后壁并探查下方的硬脑膜并修复。
所有硬膜撕裂均应采用游离骨膜瓣水密缝合。额窦后壁碎骨片不再回纳,采用大的脂肪团块,颞肌或者杆菌肽浸润的骨蜡填塞封闭窦腔。将预先留取的整片带血管蒂骨膜瓣完全覆盖暴露的窦腔并将其与硬脑膜缝合固定。最后额窦前壁回纳并连接片固定。
关于额窦损伤处理的更多细节请参考双额开颅术章节。
外伤后癫痫的风险与受伤的严重程度直接先关。早期癫痫是指伤后7天内发生的癫痫。迟发性癫痫指受伤7天以后发生的癫痫。
典型的晚期癫痫的危险因素有硬膜下血肿伴脑挫伤,颅骨骨折,意识丧失超过24小时及年龄大于65岁。重要的是,如果对于一些危险因素处理得当,出现早期癫痫的并不意味着一定会发生晚期癫痫。
预防性使用抗癫痫药物(AED)对于早期癫痫的治疗是有益的,但是对于晚期癫痫的控制作用很小甚至无效。
预防性抗癫痫药物可用于预防早期外伤后癫痫发作(伤后7天以内),但是并没有可靠证据显示应将AED用于预防晚期癫痫的发作。颅骨骨折修复对于外伤后癫痫的发生率并无影响。所以,颅骨骨折修复不能作为降低外伤后癫痫发作风险的应对措施。
包括脑脓肿在内的颅内感染是凹陷性颅骨骨折的主要并发症,是手术干预的首要原因。
颅内感染明确的患者应接受抗生素治疗,存在争议的是预防性使用抗生素是否有益。大量研究及Meta分析提示目前没有可靠证据支持预防性使用抗生素能减少脑膜炎及其他感染并发症的发生。尽管对于未感染的凹陷性颅骨骨折患者预防性使用抗生素结果令人欣慰,但基于目前的研究这并非必须的。
Contributor:Jonathan Weyhenmeyer, MD
编译:马鹏
审校:徐涛
DOI: https://doi.org/10.18791/nsatlas.v8.ch03.1
中文版链接:
https://www.medtion.com/atlas/2332.jspx
Al-Haddad SA, Kirollos R. A 5-year study of the outcome of surgicallytreated depressed skull fractures. Ann R Coll Surg Engl.2002;84:196-200.
Annegers JF, Hauser WA, Coan SP, Rocca WA. A population-basedstudy of seizures after traumatic brain injuries. N Engl J Med.1998;338:20-24.
Beghi E. Overview of studies to prevent posttraumatic epilepsy.Epilepsia. 2003;44(Suppl 10):21-26.
Braakman R. Depressed skull fracture: data, treatment, and follow-upin 225 consecutive cases. J Neurol Neurosurg Psychiatry.1972; 35:395-402
Bullock MR, Chesnut R, Ghajar J, Gordon D, Hartl R, Newell DW,Servadei F, Walters BC, Wilberger JE. Surgical managementof depressed cranial fractures. Neurosurgery. 2006;58:52–56.
Cooper PR. Depressed skull fracture, in: Apuzzo MLJ (ed). BrainSurgery Complication Avoidance and Management. ChurchillLivingstone, 1993, 1273-1282.
Hsiao KY, Hsiao CT, Weng HH, Chen KH, Lin LJ, Huang YM.Factors predicting mortality in victims of blunt trauma braininjury in emergency department settings. Emerg Med J.2008;25:670-673.
Jennet B, Miller JD. Infection after depressed fracture of skull.Implications for management of nonmissile injuries. JNeurosurg. 1972;36:333-339
Kalaveros N. Current trends in the management of frontal sinusfractures. Injury. 2004;35:340-346.
Ratilal BO, Costa J, Sampaio C, Pappamikail L. Antibioticprophylaxis for preventing meningitis in patients with basilarskull fractures (review). Cochrane Database Syst Rev.2011;8:1-33.
van den Heever CM, van der Merwe DJ. Management of depressedskull fractures. Selective conservative management ofnonmissile injuries. J Neurosurg. 1989; 71:186-190.





