本期神介资讯“慧眼视介”专栏为大家带来河北医科大学第一医院李聪慧教授的神经介入医生的回马枪——微导管成袢技术,欢迎阅读、分享!

李聪慧 教授
河北医科大学第一医院神经外科学科主任,河北省神经介入治疗中心主任,医学博士,主任医师,硕导,中华医学会河北省神经外科分会介入学组候任组长,中国卒中学会复合介入神经外科分会常委。
国内首次报道微导管成袢技术栓塞特殊角度脑动脉瘤,熟练使用Onyx18栓塞颅内动脉瘤,创新性拓展神经介入电凝技术、意向性栓塞技术治疗各种类型的颅内动脉瘤。

病例1
1.女、71岁、半年内两次SAH,头CT:SAH,Fisher 1级,H-H 2级。
2.既往体健。
拒绝开颅夹闭动脉瘤手术,要求介入治疗。

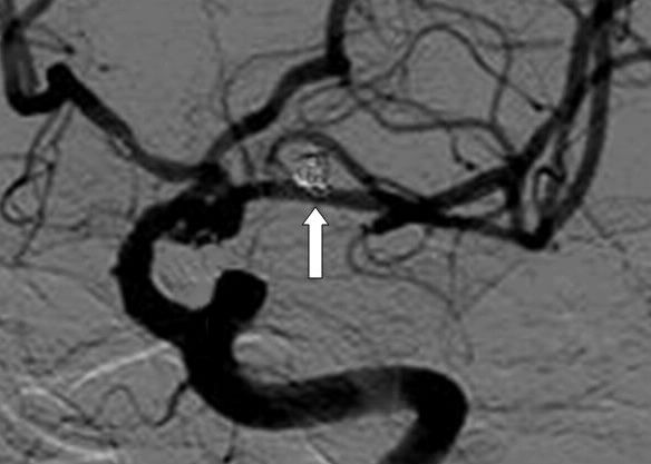
额极动脉与M1成反折的锐角,多次微导管塑形技术超选失败,后使用成袢技术顺利超选。

微导管在M1段成“∝”状,微导丝超选进瘤腔。

此时与常规操作不同,不是前推而是回撤微导管,随着微导管进入瘤腔,同步撤微导丝进入微导管内。

恰如足球的倒钩射门一样。

顺利栓塞动脉瘤。

病例2
1.女 63岁,头CT:SAH,Fisher 4级,H-H 3级。
2.既往体健。
造影提示:左侧后交通动脉瘤。


压颈椎动脉造影提示:胚胎性大脑后动脉,且后交通动脉开口在动脉瘤体的中部。

家属拒绝开颅夹闭动脉瘤,介入治疗关键点是保护后交通,如果后交通开口靠近瘤颈,操作会简单一些,支架放颈内动脉辅助,栓塞动脉瘤时保留后交通开口即可,但这个后交通从瘤体中部发出,后交通必须支架保护了。颈内动脉也可置入支架。
这一类型动脉瘤颈内和后交通动脉内的两个支架如何选择是个问题。笔者经验后交通内支架以Enterprise或Neuroform首选,因为定位准确,支撑性好,而LVIS短缩影响定位和SAB楔形尾端干扰颈内动脉支架的原因为次选。
超选后交通动脉是关键,有时需要成袢技术,然而微导管的袢总是掉入瘤腔,术者希望导管袢跨过动脉瘤开口,如果能在动脉瘤口上架一桥,让袢过去就好了。

颈内动脉的另一根微导管就起到了“桥”的作用,袢轻松过动脉瘤开口,然后微导丝很容易进入后交通。

后交通动脉内均放了LVIS,通过测量准确定位,后交通内支架末端在动脉瘤开口。


病例3
1.男70岁,Fisher 3级,H-H 3级,头CT:SAH。
3.既往高血压病史21年。

造影提示后交通大型动脉瘤,后交通和脉前动脉从瘤体上发出。

大型动脉瘤微导管瘤内成袢超选远端或瘤体上的分支是基本技术。

微导管瘤内解袢是相对应的技术,常用方法是把导丝退到动脉瘤开口以下,旋转导丝,缩小袢,同时下撤微导管,当看到微导管远端头部轻微前跳时说明瘤内袢解开,特殊解袢困难的可采用远端支架或球囊锚定技术。

总之,微导管成袢技术是术者需要了解和掌握的基本功,微导管如何成袢呢?
微导管塑形是我们首选技术,但有时特殊角度动脉瘤或载瘤动脉很难靠单纯的塑形成功超选,此时会用到球囊阻挡或微导管成袢技术。

体外成袢:
1.把塑成猪尾型的微导管头端置入Y阀的另一腔,前推即可成袢。
2.直接把成袢的微导管送入Y阀内。

体内成袢
1.塑成猪尾型的微导管出Guiding时自动成袢。
2.利用血管的迂曲部位微导管反折成袢。

微导管成袢技术手术适应症:
1.动脉瘤或责任血管与主干呈锐角,常规方法微导管到位困难或到位不理想,位置不稳定;
2.成袢的血管直径≥2.0mm,无明显动脉硬化表现。
经验总结:
1.尽可能选择较柔软的微导管及微导丝,减少对血管的刺激,避免引起血管痉挛。
2.控制头端的摆动幅度,避免脱出动脉瘤腔,因此要选择合适的弹簧圈。
3.撤微导管时,应先向前推送微导管,使微导管头端脱出动脉瘤腔,再用微导丝指引微导管撤出血管。
2016年在神户的EACoN年会上有幸与国际上最早报道颅内微导管成袢的Han Moon Hee教授深入探讨该技术细节。

参考文献
Cho YD, Kang HS, Kim JE, et al. Microcatheter looping technique for coil embolization of complex configuration middle cerebral artery neurysms[J]. Neurosurgery,2012,71:1185-1191.
Li CH,Su XH, Yang L, et al. Microcatheter Looping Facilitates Access to Both the Acutely Angel Parent Artery and Cerebral Aneurysm for Effective Embolization. Interventional Neuroradiology.2014,20(6):669-676
李聪慧, 苏现辉, 杨磊等.微导管成袢技术治疗颅内锐角动脉瘤.中华神经外科杂, 2014 ,2:132 .
李聪慧, 苏现辉, 杨磊等.特殊角度脑血管超选择性插管技术的临床应用.中华放射学杂志 ,2014 ,11:961-962
黄清海, 邹超,吕楠等.瘤内微导管成袢技术在颅内动脉瘤支架辅助栓塞中的应用.中华神经外科杂志 ,2014 ,12:1224-1227
郭峰, 孟凡国,于建军等.微导管成袢技术在颅内动脉瘤栓塞治疗中的应用.中华神经外科杂志,2015 ,5:465-469




