【Ref: Liu JK, et al. Neurosurg Focus. 2018 Apr;44(4):E8. doi: 10.3171/2018.1.FOCUS17722.】
嗅沟脑膜瘤(olfactory groove meningiomas,OGMs)起源于前颅底的嗅沟、筛板和额筛缝,占所有颅内脑膜瘤的8%-13%。肿瘤与嗅神经密切相关,常侵袭筛板和邻近骨质以及血管。OGMs的手术入路存在争议。美国新泽西州罗格斯新泽西医学院神经外科的James K. Liu等回顾性分析多种OGMs手术入路的疗效及影响因素,论文发表在2018年4月的《Neurosurg Focus》杂志上。
作者从数据库中收集2007年7月至2016年11月期间由一名神经外科医生(J.K.L.)进行手术治疗的28例OGMs患者资料。其中,15例经额底入路(图1、2),5例内镜下经鼻入路(图3、4)以及8例联合入路,即内镜下经鼻结合经额底入路(图5、6)。
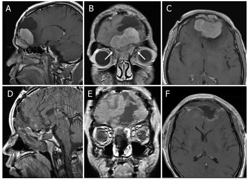
![]()
图1. A-C.术前MRI显示OGM;D-F.经额底入路切除OGM术后的MRI成像。
![]()
图2. 为图1患者,经扩大额底入路。A.仰卧位,双额冠状切口;B.保留带血管蒂的骨膜瓣,翻向前,供颅底重建时使用;C、D.作双侧额骨瓣包括额窦的前骨板,骨窗前缘达鼻上缝和眶顶水平;E.骨窗前缘暴露低,可防止阻挡观察筛板的视线,不必切除眉弓;F.双侧额部硬脑膜平行骨窗两侧缘和后缘冠状切开,矢状窦用缝线结扎,然后与大脑镰分离,翻向鼻、眼眶侧。
![]()
图3. A-B.术前MRI显示OGM;C-D.内镜下经鼻入路切除OGM术后的MRI成像。
![]()
图4. 为图3患者,在30°内镜下经鼻入路切除OGM。A.在前颅底(ASB)腹侧作锁孔小骨窗切除颅底骨质,矢状面上从额窦(FS)后到蝶骨平台、冠状面上从左侧筛骨眶板到右侧筛骨眶板形成骨窗,电凝ASB硬脑膜使肿瘤血管闭塞;B、C.打开硬脑膜,先作肿瘤内部分块切除,再沿边界将肿瘤(T)小心地从额叶上分离;D.肿瘤切除后,额叶(FL)留下的空腔;E.用人工硬膜放置在颅底硬膜缺损处;F.将带血管蒂的鼻中隔粘膜瓣(NSF)旋转并覆盖颅底缺损处;粘膜瓣上做一个松弛的蝶形切口(箭头)以增加前后伸展度,向前到额窦的后表面和向后到蝶骨平台完整覆盖,保持血管蒂血流通畅;重建颅底。
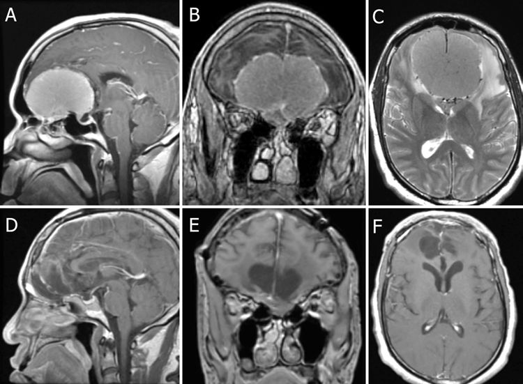
![]()
图5. A-C.术前MRI显示OGM;D-F.内镜下经鼻入路和联合经额底入路切除OGM后的MRI成像。
![]()
图6. 为图5患者,联合入路切除OGM。A.经额底入路,肿瘤(T)位于颅底前部沿眶上壁向两侧生长。额骨内表面有明显的骨质增生(H)。经额底入路切除肿瘤的颅内和颅外部分,磨除增生的骨质;B.经额底切除肿瘤后,硬脑膜缺失人工脑膜贴片修补;通过两侧眶顶(OR)可见鼻中隔(NS)和下鼻甲(IT);C.内镜下经鼻检查,鼻腔内无残留肿瘤,颅底缺损处可见人工脑膜贴片;D.内镜下用双侧鼻中隔粘膜瓣(NSF)修复颅底缺损。
研究发现,联合入路组的OGM平均体积101.148±71.24cm3大于经额底入路组 92.02±97.64cm3。联合入路组肿瘤在眶上壁向两侧生长的发生率100%,显著大于经额底入路组73.3%(p<0.001)。而额底入路组瘤周脑水肿多见(73.3%,p<0.001),血管受累亦多见(66.7%,p<0.001),肿瘤边缘皮质带狭窄(33.3%,p=0.019)。联合入路组肿瘤均为侵袭鼻腔的复发性肿瘤。单一内镜下经鼻入路组肿瘤平均体积最小,33.3±18.98cm3,均有肿瘤边缘的皮质带,未见侧方硬膜广泛受累。
经额底入路肿瘤全切除患者占80%,内镜下经鼻入路组肿瘤全切除者达100%,联合入路组肿瘤全切除者占62.5%。20%经额底入路患者和37.5%联合入路患者的肿瘤近全切除(>95%),在肿瘤与重要神经血管粘着处有残留。经额底入路和联合入路组术后未发生脑脊液漏,内镜下经鼻入路组发生1例(20%)脑脊液漏,总体脑脊液漏发生率为3.6%。经额底入路组嗅觉保留率为66.7%。3组间患者“住院时间”和“30天再入院率”的差异均无统计学意义。术后随访1-76个月,平均14.5个月;经改良Rankin量表评分:额底入路患者平均值为0.79,内镜下经鼻入路组为2.0,联合入路组为2.4(p=0.0604)。
最后作者认为,对于直径>40mm的OGM肿瘤或嗅觉完好的、直径<40mm的小OGM瘤,经额底入路的手术效果最好,并发症发生率最低。内镜下经鼻入路似乎仅适用于肿瘤较小、嗅觉已经消失的患者。内镜下经鼻入路结合额底入路在治疗复发OGM瘤侵犯鼻窦腔时可以发挥重要的优势。作者建议应该根据患者的具体情况选择个性化的手术入路,非常重要。





