提示
“浙二神外周刊”不定期接收外院投稿,审核后发表。欢迎各专业同道联系我们,分享精彩病例、研究热点或前沿资讯。投稿请联系:shishi74@163.com
病史简介
患者,男,67岁,因“右上肢疼痛3月,右下肢麻木10天”入院。
患者3月以来一直存在反复右上肢疼痛,疼痛可忍,无明显进行性加重,一直未予就诊检查;10天前合并出现右下肢麻木,于当地医院就诊后查头颅MRI提示左侧顶叶占位性病灶,脑膜瘤首先考虑。为求进一步手术治疗来浙医二院就诊。
查体:
神清,对答切题,双侧瞳孔等大等圆,直径2.5mm,对光反应灵敏,颈软无抵抗,心肺及腹部检查无殊,全身无明显皮肤肿块,四肢肌力V级,肌张力正常,病理征阴性。
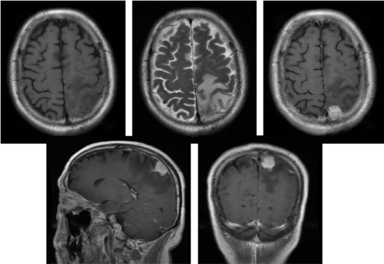
入院后复查头颅MRI增强(图1),影像学报告提示:左顶部矢状窦旁占位,考虑黑色素瘤或侵袭性脑膜瘤可能,不能完全排除转移瘤。

图1. MRI增强显示左顶部矢状窦旁占位,周边水肿带形成,考虑脑膜瘤可能。
综合患者病史、症状体征及影像学表现,考虑脑膜瘤可能,有手术指证。与患者及其家属充分沟通并告知手术相关风险后,患者及其家属选择手术治疗。手术过程顺利,术中病灶全切并送冰冻病理检查,冰冻切片提示“(左顶叶占位)见淋巴浆细胞、嗜酸性粒细胞、组织样细胞浸润,倾向Langerhans细胞组织细胞增生症,待常规”。
术后复查头颅CT及MRI增强(图2)提示病灶全切,无明显残留。

图2.术后CT及MRI增强显示左顶部病灶全切,无明显残留,局部少量积血积气。
病理结果
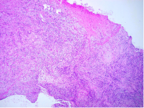
术后常规病理提示:(左侧顶叶)明显的炎症性改变,伴大量的小淋巴细胞和中性粒细胞及纤维化,小血管周围淋巴细胞套,炎症性病变。结合免疫组化s-100阳性,CD1a阴性,倾向Rosai-Dorfman病,已经排除胶质瘤、脑膜瘤、炎性肌纤维母细胞瘤、Langerhans细胞增生症(图3)。免疫组化结果:S-100 散在+,CD1a -,Ki-67 10%+,P53 -,CD68 +,SSTR2 局灶+,ALK-noneLung -,EMA 浆细胞+。

图3. 术后常规病理显示明显的炎症性改变,伴大量的小淋巴细胞和中性粒细胞及纤维化,小血管周围淋巴细胞套,提示Rosai-Dorfman病。
请美国UCLA会诊,会诊结果:明显炎症细胞浸润,伴大量小淋巴细胞和中性粒细胞,伴纤维化-血管显示小淋巴细胞血管袖套,倾向炎症。与我院病理结论基本一致
讨论
Rosai-Dorfman病(RDD)是一种罕见的、可伴有巨大淋巴结肿大的窦组织细胞增生性疾病(sinus histiocytosis with massive lymphadenopathy),最早于1965年由Destombes所报道[1],并于1969年由病理学家Juan Rosai和Ronald Dorfman详细其病理特征[2]。其病因未知,但可能与感染有关(如克雷伯杆菌、多瘤病毒、EB病毒、人疱疹病毒6型等)。全身单发或多发淋巴结肿大是RDD的常见但非必然临床症状。RDD病灶可位于全身多处,包括皮肤、鼻腔/鼻旁窦、眼睑/眼眶、骨、口腔唾液腺、中枢神经系统等。目前临床上对于RDD的诊断仍需依赖病理确诊,鉴别诊断方面需与多血管炎性肉芽肿、Langerhans细胞组织细胞增多症、Langerhans细胞肉瘤、淋巴瘤、结节病、IgG4相关疾病、结核病等相鉴别。本例患者即为中枢神经系统颅内单发RDD,同时未见明显全身淋巴结肿大表现。而对于中枢神经系统RDD,由于其影像学表现亦可出现类似“脑膜尾征”及颅骨骨质破坏等特点,易与脑膜瘤、淋巴瘤等相混淆。
RDD的病理特征性表现:
① 可见大量淋巴细胞及组织细胞;
② 组织细胞细胞质内可夹杂淋巴细胞或其他类型细胞(即伸入现象emperipolesis);
③ 免疫组化可表现有S100、CD68、CD163阳性,CD1a阴性[3,4]。
本例患者的病理结果与RDD病理特征基本相符,因此病理倾向于诊断RDD。
有文献[3]对于RDD的治疗及随访流程(图4)推荐如下:
① 对于局灶性病变(流程图左栏),若无明显临床症状,可考虑随访或手术切除;若有明显临床症状,则倾向于尽可能手术全切,进一步地,对于术后有残留而无症状者可考虑继续随访,对于术后有残留而有症状这则可考虑放疗,而对于放疗后症状仍有进行性加重的则考虑激素、干扰素等药物治疗。
② 对于全身性病变(流程图右栏),若无明显临床症状,同样可考虑随访或手术切除;若有明显临床症状,则倾向于激素、干扰素等药物治疗。

图4. RDD治疗及随访推荐流程图,其中对于观察随访或手术切除的选择主要取决于病灶部位及其可能带来的临床高风险事件,如颅内占位效应明显、临床症状重的患者偏向于手术。
进一步回顾相关文献,近年来亦有多篇报道中枢神经系统RDD病例(图5),其中颅内单发或多发RDD病例的影像学特点与本例患者相似,均术前考虑脑膜瘤并行手术治疗,术后病理提示RDD。譬如,2014年日本学者报道了一例双侧颈部淋巴结肿大合并颅内多发占位病灶的RDD病例,术前影像学提示类似“脑膜尾征”及明显的颅骨骨质破坏[5]。2015年德国学者回顾性分析了18例儿童颅内RDD病例(其中最小患儿仅2岁10月),认为其影像学表征与脑膜瘤极其相似,难以鉴别,病理诊断是最终鉴别的金标准,且患儿长期生存率高,预后良好[6]。我国学者近年来也有脊髓[7]及颅内多发RDD的病例报道[8]。其中根据术前影像学表现,脊髓RDD病例与脊膜瘤、淋巴瘤、神经源性肿瘤等近似,颅内多发RDD则术前基本均被误诊为脑膜瘤。

图5:国内外术前影像近似脑(脊)膜瘤的RDD病例举例。上图为2014年日本学者报道的一例双侧颈部淋巴结肿大合并颅内多发占位病灶的RDD,影像学提示“脑膜尾征”及颅骨破坏;中图为2016年我国学者报道的一例术前考虑脊膜瘤的脊髓RDD;下图为2018年我国学者报道的一例术前考虑颅内多发脑膜瘤的RDD。
综上所述,基于本例术前影像学近似脑膜瘤的颅内单发RDD病例及既往相关文献回顾,小结如下:
① RDD是一类可合并特征性淋巴结肿大的良性疾病,可独立发生于中枢神经系统内(包括颅脑和脊髓);
② 中枢神经系统RDD术前影像与脑膜瘤较难鉴别(因其同样可表现有“脑膜尾征”及颅骨破坏);
③ 病理(大量淋巴细胞及组织细胞并呈现伸入现象,特殊免疫组化标识——S100、CD68阳性、CD1a阴性)有助于确诊;
④ 手术与否取决其病灶部位及临床症状,放化疗及激素治疗有效但效果不确切[7]。
参考文献
1. Destombes P. Adenitis with lipid excess, in children or young adults, seen in the Antilles and in Mali. (4 cases) [in French]. Bull Soc Pathol Exot Filiales. 1965 58(6):1169-75.
2. Rosai J, Dorfman RF. Sinus histiocytosis with massive lymphadenopathy. A newly recognized benign clinicopathological entity. Arch Pathol. 1969 87(1):63-70.
3. Dalia S, Sagatys E, Sokol L, et al. Rosai-Dorfman disease: tumor biology, clinical features, pathology, and treatment. Cancer Control. 2014 21(4):322-7.
4. Cai Y, Shi Z, Bai Y. Review of Rosai-Dorfman Disease: New Insights into the Pathogenesis of This Rare Disorder. Acta Haematol. 2017 138(1):14-23.
5. Hashimoto K, Kariya S, Onoda T, et al. Rosai-Dorfman disease with extranodal involvement. Laryngoscope. 2014 124(3):701-4.
6. Lüdemann W, Banan R, Samii A, et al. Cerebral Rosai-Dorfman disease. Childs Nerv Syst. 2015 31(4):529-32.
7. Huang BY, Zhang H, Zong WJ, et al. Rosai-Dorfman Disease of Rare Isolated Spinal Involvement: Report of 4 Cases and Literature Review. World Neurosurg. 2016 85:367.e11-6.
8. Jiang Y, Jiang S. Intracranial Meningeal Rosai-Dorfman Disease Mimicking Multiple Meningiomas: 3 Case Reports and a Literature Review. World Neurosurg. 2018 120:382-90.
(本文由浙二神外周刊原创,浙江大学医学院附属第二医院神经外科蒋鸿杰主治医师整理,陈景森副主任医师审校,张建民主任终审)




