今天为大家分享的是由兰州大学第二医院神经外科严贵忠医师翻译,王小峰医师审校:血管母细胞瘤的影像学特征,欢迎观看、阅读!
![]()
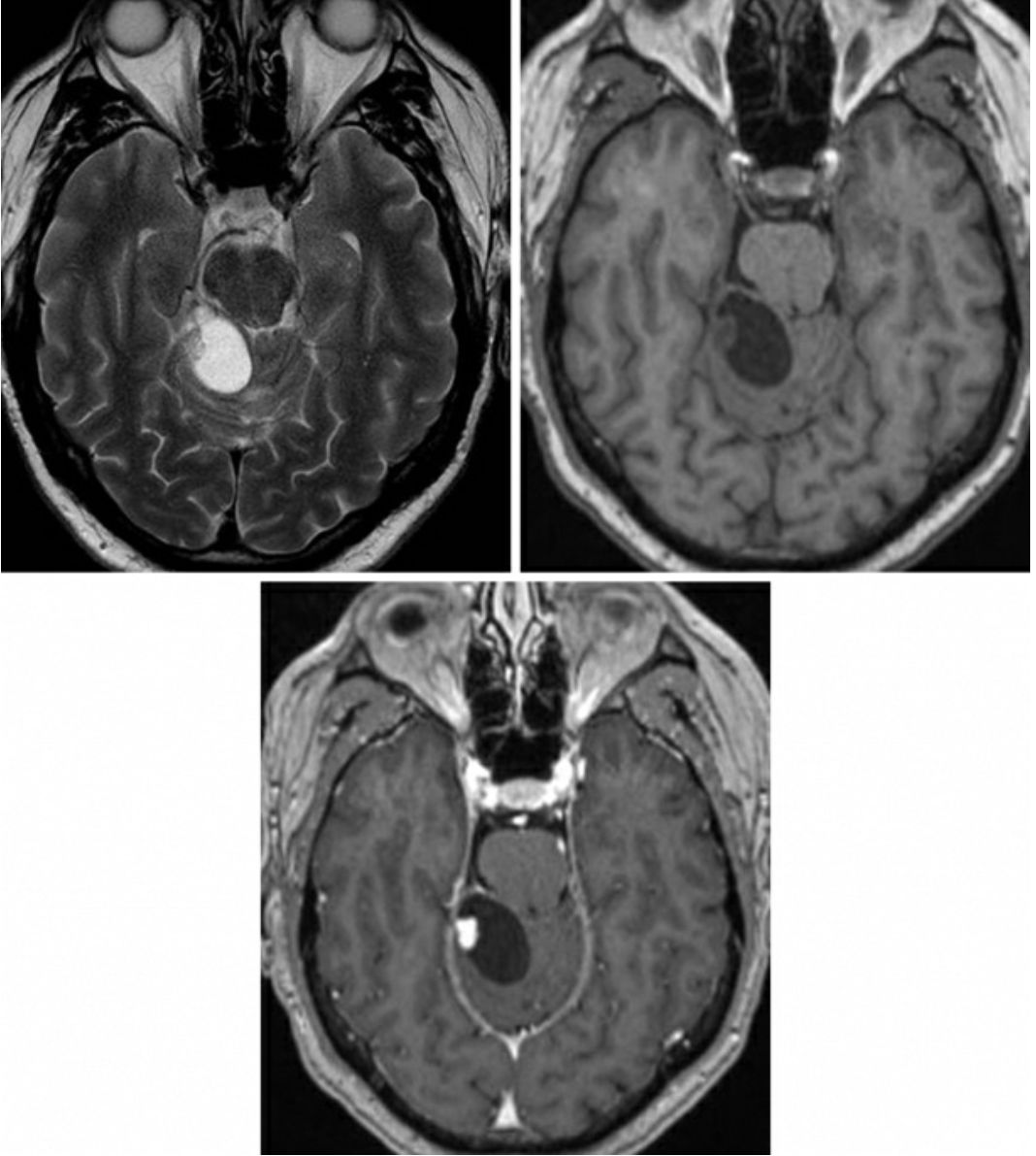
图1:血管母细胞瘤在T2加权相上呈典型的囊性改变(右上);在T1加权相上可见壁结节(左上);T1增强加权相上壁结节明显强化,囊壁无明显强化(下)。
![]()
图2:轴位T1增强加权相(第一排左),轴位T2FS(第一排右)示左侧小脑半球后部和右侧小脑半球前部囊实性病变,实性结节强化,符合血管母细胞瘤的表现。矢状位T1增强加权相(中排左)和矢状位T2加权相示脊髓背侧软膜下强化结节,并中央管扩张,符合脊髓血管母细胞瘤的表现。该患者起始表现无痛性血尿,腹部增强CT示(底)肾脏病变不均一性强化,符合VHL综合征患者肾细胞癌的表现。肾脏低密度病变符合肾囊肿表现,也是VHL综合征的特征。
基本描述
常为良性,富血管,生长缓慢的成人小脑肿瘤
病理学
WHO I级
边界清楚,由基质细胞和小血管构成的富血管实体肿瘤
散发或家族遗传
家族性病例常与Hippel-Lindau病(VHL)相关
超过40%的血管母细胞瘤发生于VHL患者
常多发,包括视网膜血管母细胞瘤
散发性和VHL患者均有促红细胞生成素升高
临床表现
散发:常发生在40-60岁人群
VHL:发生于年轻患者
男性发病率稍高于女性
常见的症状、体征与颅后窝梗阻性脑积水致颅内压的升高有关
呕吐,精神状态异常,巨颅
治疗:手术切除
预后良好:10年生存率约为85%
肿瘤的复发率超过20%
经软脑膜播散罕见
影像学特征
一般表现
颅后窝占位病变
VHL患者可发生幕上、视网膜血管母细胞瘤
常见的表现为囊变并囊壁结节;但有时为实性成分而无囊变
可伴有周围水肿,尤其是发生出血时
CT
低密度的囊变
等高密度的实性结节
高密度的出血很少见,常有低密度的小脑水肿
实性结节在增强CT上明显强化
MRI
T1加权相:等信号结节,可见流空效应
T2加权相:高信号的囊变和结节,可能有高信号的瘤周水肿
FLAIR相:高信号的囊变和结节,可能有高信号的瘤周水肿
T2*GRE加权相:如果有出血,表现为低信号
T1增强相:结节明显强化;囊性部分无强化,囊壁常无强化效应
DWI相:囊性成分在DWI为高信号,ADC为低信号的弥散受限改变
MRS:Cho峰升高,NAA峰降低,有时可见乳酸峰和脂质峰
影像学建议
头颅平扫和增强扫描;VHL患者在幼年尽早对颅脑和脊髓进行评价
编译:严贵忠
审校:王小峰
Contributor: Rachel Seltman, MD
DOI: https://doi.org/10.18791/nsatlas.v1.ch02.1.33
中文版链接:
https://www.medtion.com/atlas/5128.jspx
参考文献
Conway JE, et al. Hemangioblastomas of the central nervous system in von Hippel-Lindau syndrome and sporadic disease.Neurosurgery. 2001;48:55-62; discussion 62-63.
Innus C, et al. Hemangioblastoma without von Hippel-Lindau disease. JAAPA. 2007;20:28, 31-32.
Osborn AG, Salzman KL, Jhaveri MD. Diagnostic Imaging (3rd ed).Philadelpha, PA: Elsevier, 2016.
Wanebo JE, et al. The natural history of hemangioblastomas of the central nervous system in patients with von Hippel-Lindau disease. J Neurosurg. 2003;98:82-94.





