![]()
神外资讯【中华神外】专栏,每周发布一篇精选文章,今天刊登的是,由南方医科大学南方医院神经外科方陆雄、宋烨、俞磊、漆松涛在《中华神经外科杂志》2018年第十期“临床论著”上发表的“松果体区脑膜瘤起源的再探讨”,欢迎阅读。
摘要
目的
分析松果体区脑膜瘤的临床资料,探讨该肿瘤的起源以及“中间帆脑膜瘤”一词的真实含义。
方法
回顾性纳入2005年1月至2016年12月南方医科大学南方医院神经外科手术治疗的21例松果体区脑膜瘤患者。分析患者的临床特点、影像学表现、手术录像资料,依据文献的方法将其分为幕镰交界区脑膜瘤和中间帆脑膜瘤两类,并比较两类肿瘤之间的异同。
结果
21例患者中,幕镰交界区脑膜瘤12例,其中起源于大脑镰、小脑幕和直窦者各4例;中间帆脑膜瘤9例,其中7例起源于大脑大静脉蛛网膜袖套,1例起源于大脑内静脉后部,1例起源于松果体后表面。术后病理结果均为脑膜瘤,其中全切除16例,次全切除5例。术后双眼垂直运动受限3例,同向性偏盲7例,偏瘫1例,死亡1例。
结论
松果体区脑膜瘤的起源更适合用幕镰交界区脑膜瘤和原发性松果体区脑膜瘤来描述,“中间帆脑膜瘤”一词不能准确地反映松果体区脑膜瘤的起源问题。切除松果体区脑膜瘤时,大脑大静脉和侧支循环的保护尤为重要。
松果体区肿瘤位置深在,毗邻重要的解剖结构,使用外科手段治疗需要对肿瘤的起源有清晰的认识[1]。目前有两种不同的分类及命名方法:一是分为幕镰交界区脑膜瘤和原发性松果体区脑膜瘤;二是分为幕镰交界区脑膜瘤和中间帆脑膜瘤[2],业内普遍采用第二种方法。然而,松果体区脑膜瘤的临床分类研究受限于较低的发病率[3],目前采用的分类方法值得商榷。因此,对松果体区脑膜瘤的起源及分类的再探讨十分必要。本文回顾性纳入2005年1月至2016年12月南方医科大学南方医院神经外科手术治疗的21例松果体区脑膜瘤患者,着重分析肿瘤与大脑内静脉、大脑大静脉的关系,以及肿瘤与小脑幕、大脑镰(以下简称幕镰)的关系。旨在探讨肿瘤的起源问题及分类中“中间帆脑膜瘤”一词的真实含义。
资料与方法
1. 临床资料:
21例患者中,男7例,女14例;年龄为20~67岁,平均(48.6±2.1)岁;病程为6~44个月,平均(19.6±5.3)个月。临床表现:头痛、头晕16例,步态不稳3例,视物模糊1例,因头部外伤检查发现肿瘤1例。入院后检查:伴有头痛和(或)头晕者17例,以行走不稳为主要表现的共济失调6例,视力下降4例,精神状态改变、反应迟缓3例,复视1例,眼球垂直运动轻度受限1例。其中1例曾在外院进行过手术,术后肿瘤大部分残留而再次入院。
2. 影像学资料:
患者均行头颅CT平扫、MRI平扫+增强扫描,其中18例同时行磁共振静脉成像(MRV)检查,5例行脊髓MRI检查。肿瘤多呈类圆形或椭圆形,2例呈分叶状,最大径为2.2~5.8 cm。CT影像显示肿瘤边界清楚,密度均匀,9例呈等密度,8例呈略高密度,4例呈略低密度;瘤内均无坏死囊变,但3例有小块状钙化;5例于肿瘤周边可见单一钙化灶,多位于前上方或前侧方,为松果体钙化,周围脑组织无水肿。MRI影像显示17例肿瘤位于中线区,左右基本对称,4例偏向一侧;15例肿瘤呈均匀一致性强化,2例周边强化较中央部分明显但不完全强化,4例不均匀性强化。多发肿瘤1例,位于松果体区和右侧前床突;其余20例肿瘤均位于松果体区,未发现有颅内或脊髓种植转移。影像学诊断为脑膜瘤14例,松果体实质肿瘤6例,生殖细胞肿瘤1例。
3. 手术方法:
21例患者均行显微外科手术切除肿瘤。常规开颅,抬起枕叶后观察肿瘤的生长及起源。对于幕上和大脑镰旁可见肿瘤生长的患者,采用经小脑幕入路或联合经大脑镰入路切除并探查肿瘤的起源部位;对于幕上未见明确肿瘤生长的患者,于直窦旁切开小脑幕对幕下肿瘤进行瘤内切除,并逐渐向中心部位牵拉肿瘤,以判断肿瘤的起源部位。
结果
1. 肿瘤与大脑大静脉、幕镰的关系:
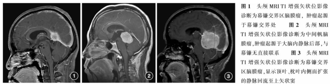
21例患者中,12例肿瘤位于大脑大静脉后下方,5例位于静脉的前上方,3例位于静脉的侧方,1例包裹静脉。4例肿瘤与小脑幕、5例肿瘤与幕镰交界区、5例肿瘤与直窦下表面接触且接触面广泛(图1),4例肿瘤虽与直窦或大脑镰有紧密接触,但更大接触面在大脑大静脉上;其余3例肿瘤与幕镰未直接接触,其中2例肿瘤与大脑大静脉和大脑内静脉后段、1例与大脑内静脉后段及松果体紧密接触(图2)。肿瘤与幕镰有直接接触的18例患者中,MRI显示12例有幕镰强化,表现为接触区幕镰毛糙性增强,5例伴有幕镰脑膜尾征。MRV显示12例大脑大静脉和直窦未能显影,3例大脑大静脉有狭窄的表现,3例静脉有移位但显影无明显异常。12例大脑大静脉未能显影的患者中,5例在顶叶内侧面可见扩张的静脉,考虑为静脉性侧支循环(图3)。结合CT检查,8例可见移位的松果体,位于肿瘤的前部。15例合并有脑积水,脑室轻度至中度扩大。
![]()
2. 肿瘤的起源:
为了解肿瘤的起源部位,作者复习了21例患者的手术记录及手术录像。
(1)9例于幕上发现肿瘤,其中3例于小脑幕上表面及大脑镰侧方可见肿瘤,肿瘤起源于小脑幕,并向幕下生长,或幕下经小脑幕裂孔生长至幕上;6例在向颞顶部方向牵开枕叶内侧面后,于小脑幕裂孔前、大脑镰旁可见肿瘤,切开大脑镰后再切除肿瘤,发现4例肿瘤起源于大脑镰,2例起源于大脑大静脉蛛网膜袖套。
(2)12例于幕上未见明确的肿瘤,于直窦旁切开小脑幕,可见肿瘤位于幕下,其中发现肿瘤起源于小脑幕1例,起源于直窦下表面4例;其余7例肿瘤均与小脑幕无直接联系,其中5例起源于大脑大静脉蛛网膜袖套,1例起源于大脑内静脉后段,1例与大脑大静脉、大脑内静脉无直接联系,考虑肿瘤起源于松果体表面的蛛网膜。综合术中所见,在21例患者中,幕镰交界区脑膜瘤12例,其中起源于大脑镰、小脑幕和直窦者各4例;中间帆脑膜瘤9例,其中7例起源于大脑大静脉蛛网膜袖套,1例起源于大脑内静脉后部,1例起源于松果体后表面。
3.手术结果:
21例患者术后病理检查结果均为脑膜瘤,其中肿瘤全切除16例,次全切除5例。术后死亡1例,系巨大幕镰交界区肿瘤患者,死于脑肿胀,考虑静脉性侧支循环破坏所致。偏瘫1例,也为巨大幕镰交界区肿瘤患者,3周后恢复正常。同向性偏盲7例,其中5例1个月后恢复正常,1例改善,1例无好转。3例新出现双眼垂直运动受限,随访期间无好转。出院时患者术前头痛、头晕等症状均缓解,行走功能改善。影像学检查脑积水均缓解。肿瘤次全切除者行X刀或伽玛刀治疗。16例获得随访,随访时间为6个月至9.5年,平均(51.0±87)个月。肿瘤复发2例,均为幕镰交界区肿瘤,给予X刀治疗后稳定。
讨论
松果体区脑膜瘤少见,约占颅内脑膜瘤的0。3%~1.0%,占松果体区肿瘤的2%~8%。目前,业内多认可松果体区脑膜分为幕镰交界区脑膜瘤和中间帆脑膜瘤的分类方法[2]。幕镰交界区脑膜瘤起源于贴附在幕镰交界处的蛛网膜,突向松果体区,肿瘤与幕镰有直接的联系。而中间帆脑膜瘤起源于覆盖在大脑内静脉后段的蛛网膜,位于松果体区,肿瘤与幕镰无直接联系。可见,幕镰交界区脑膜瘤与中间帆脑膜瘤主要鉴别在于肿瘤是否与幕镰有直接的联系。遗憾的是,即使依靠现代影像学资料,有时也难以明确区分是幕镰交界区脑膜瘤还是中间帆脑膜瘤,所以尚需在手术中进一步确认。
“中间帆脑膜瘤”一词出现于CT、MRI问世之前,其概念和含义均较为模糊。按脑膜瘤的命名方法,结合中间帆的解剖特点,中间帆脑膜瘤似乎应该是指起源于中间帆腔内蛛网膜的脑膜瘤[4]。而按松果体区脑膜瘤的分类方法,中间帆脑膜瘤应该是指与幕镰无直接联系的松果体区脑膜瘤。
中间帆脑膜瘤临床少见,复习文献仅见散在的个案报道。据Champagne和Bojanowski[5]统计,至2014年,在70年的时间跨度间,全世界累计报道的相关病例仅有22例。而在2014年,Nowak等[2]报道其所在单位20年间手术治疗的6例松果体区脑膜瘤中,中间帆脑膜瘤2例,占1/3,可见中间帆脑膜瘤在松果体区脑膜瘤中所占的比例并不低。这些矛盾的数据说明,中间帆脑膜瘤的发生率或被低估或高估,究其原因,笔者认为还是与其含义不够清晰有关。
本组采用现代影像学检查结合术中验证的方法,研究松果体区脑膜瘤的起源问题。21例肿瘤中,12例与幕镰有直接的联系,明确属于幕镰交界区脑膜瘤;9例与幕镰无直接的联系,按目前通用的松果体区脑膜瘤分类方法,应该属于中间帆脑膜瘤。
但此9例患者中,真正起源于大脑内静脉后段者仅1例,另1例起源于松果体后部,其余7例起源于大脑大静脉蛛网膜袖套。因此,笔者认为“中间帆脑膜瘤”一词不能真正反映此区域脑膜瘤的起源问题,把松果体区脑膜瘤分为幕镰交界区脑膜瘤和中间帆脑膜瘤欠恰当,本研究结果更支持幕镰交界区脑膜瘤和原发性松果体区脑膜瘤的分类方法。尽管值得商榷,为行文统一考虑,本文仍使用“中间帆脑膜瘤”一词,但需强调的是,中间帆脑膜瘤不应单指起源于大脑内静脉后部的肿瘤,还应涵盖起源于大脑大静脉蛛网膜袖套和松果体表面蛛网膜的肿瘤[6]。本组结果显示,真正起源于中间帆的脑膜瘤罕见,所谓的“中间帆脑膜瘤”大多起源于大脑大静脉蛛网膜袖套。
在术前和术中努力区分幕镰交界区脑膜和中间帆脑膜瘤具有手术学意义,除了与幕镰的关系不同外,在肿瘤血供方面两者也存在根本的差别。幕镰交界区脑膜瘤的供血可来自脑膜垂体干的小脑幕分支、颈外动脉的脑膜支、大脑后动脉的小分支,以及脉络膜后内侧动脉和外侧动脉的分支。上述动脉单独或共同参与供血,肿瘤血供多较丰富,肿瘤切除前切开、离断肿瘤附着的幕镰可减少肿瘤切除过程中的出血[7]。而中间帆脑膜瘤一般仅由脉络膜后动脉供血,血供多不丰富,但如采用幕上入路,对侧供血动脉不易在早期获得阻断。
在切除松果体区脑膜瘤之前,更应关注的是肿瘤对大脑大静脉、直窦的影响,以及静脉性侧支循环的建立情况。文献报道,肿瘤与静脉有两种空间关系,或位于大脑内静脉、大脑大静脉的前上方,或位于静脉的后下方[8]。本组肿瘤的影像学分析发现,除上述两种常见的空间关系外,肿瘤还可位于静脉的侧方,或把静脉包裹在肿瘤内部。在选择手术入路时,应避开静脉的阻挡。本组均采用枕部开颅经小脑幕入路,实践证明,此入路的适应证较广泛,尤其适宜切除大脑大静脉前上方的肿瘤和同时侵及幕上下及大脑镰的肿瘤[9]。尽管如此,枕部开颅经小脑幕入路还存在着一定的局限性,主要表现为对侧幕缘上下的肿瘤显露困难,可联合采用幕镰切开,并经大脑镰切口切开对侧小脑幕的方法加以解决[10]。
对于巨大的幕镰交界区脑膜瘤,有作者采用幕上下联合开颅,经横窦小脑幕入路切除肿瘤,或采用双侧枕部开颅经幕镰入路切除肿瘤,对此笔者无经验可言,但基于本组的手术经验,笔者认为幕上下联合开颅或同时双侧枕部开颅的必要性不大[7]。至于幕下入路,主要用于切除位于大脑大静脉后下方的肿瘤。比较其他松果体区肿瘤,脑膜瘤对静脉、静脉窦的影响似乎更明显,MRV影像上大脑大静脉、直窦未能显影的比例较高,此特征说明大部分脑膜瘤会影响静脉回流。本组术中观察发现,两类脑膜瘤对静脉的影响程度不同,幕镰交界区脑膜瘤可侵袭静脉窦和大脑大静脉,甚至可把大脑大静脉完全包裹在肿瘤中,假如静脉仍有功能,为了保护静脉免于损伤而残留部分肿瘤可能是明智的选择。
而中间帆脑膜瘤多仅压迫、移位静脉,不会与静脉形成侵袭关系,肿瘤切除后,静脉多能重新开放。因此,对于“中间帆脑膜瘤”,即使术前检查静脉不显影,术中也应先按静脉通畅进行处理,在未确认静脉完全闭塞前,不可轻率地将其离断。直窦、大脑大静脉受阻后,有可能会建立侧支循环进行代偿。本组影像学检查发现,幕镰交界区脑膜瘤可在顶叶后部、枕叶前部的内侧面见到静脉性血管扩张的征象;而类似的影像学表现未见于中间帆脑膜瘤,说明两类脑膜瘤在静脉性侧支循环方面也存在差别,或许提示“中间帆脑膜瘤”对静脉回流的影响较小。
文献报道直窦、大脑大静脉阻断后,主要经3条途径代偿:
(1)通过基底静脉、中脑外侧静脉和中脑脑桥前静脉回流到岩静脉;
(2)通过顶叶、枕叶内侧面的静脉回流到上矢状窦;
(3)通过小脑幕间窦到横窦。
可见,枕部开颅经小脑幕入路较幕下入路更有可能破坏静脉性侧支循环,应引起高度重视,术中应注意保护枕内侧静脉和幕间窦。原则上,大脑大静脉和侧支循环的保护尤为重要,残留的肿瘤可采用伽玛刀治疗。
综上所述,本研究初步认为松果体区脑膜瘤的起源更适合用幕镰交界区脑膜瘤和原发性松果体区脑膜瘤来描述,“中间帆脑膜瘤”一词不能准确地反映松果体区脑膜瘤的起源问题,尚有待于进一步研究。
参考文献
![]()
![]()
![]()






