![]()
薛 鑫(兰州大学第二医院)
卢维新(兰州大学第二医院)
薛 鑫(兰州大学第二医院)
杨宝慧(兰州大学第二医院)
杨鹏宇(兰州大学第二医院)
严贵忠(兰州大学第二医院)
任海军(兰州大学第二医院)
侯博儒(兰州大学第二医院)
NEUROSURGERY
2018年九月速览
1. 胶质母细胞瘤细胞生态系统:祖细胞和子代之间的信号传导
The Glioblastoma Cell Ecosystem: Signals Between Progenitors and Progeny.
PMID: 30125029 DOI: 10.1093/neuros/nyy296
目前,尽管对胶质母细胞瘤(GBM)进行了大力的多模式治疗,但患者的中位生存期仍为2年。胶质瘤干细胞(GSC)增加了肿瘤的异质性和治疗抵抗性,从而不可避免地引起肿瘤复发。GSC的这种反弹作用称为肿瘤微环境的自我重塑。
在Cell Stem Cell期刊发表的一篇文章中,Wang等研究了GSC与其子代及分化胶质瘤细胞(DGCs)间的微妙关系。他们表明:通过使用异种移植鼠模型,DGCs可以促进GSC肿瘤的生长。DGCs优先表达脑源性神经营养因子(BDNF),而GSCs表达BDNF受体和神经营养性受体酪氨酸激酶2(NTRK2)。BDNF的表达明显促进了GSC肿瘤生长 ,这一发现提示旁分泌环的可能性,即DGCs可通过NTRK2受体刺激GSC。
![]()
【薛鑫】
2.有关神经病学临床试验结果发表的遗漏问题
Hiding in Plain Sight: Underreporting of Clinical Trial Results in Neurology.
PMID: 30125026 DOI: 10.1093/neuros/nyy297
临床试验对于赞助商来说是一种潜在的金融投资,对于参与的医生和患者来说也是一种时间的投资。如果试验成功,它可以改变临床干预措施,为某些疾病带来新的希望。然而,也有人一直担心许多临床试验的结果不成功会导致其不能被发表和报告,这使得科学界无法采用这些非常重要的临床数据。
本文作者在美国临床试验数据库(ClinicalTrials.gov)上公开登记的2072项神经病学试验中发现,大多数试验(52.2%)从未发表,即使在试验结束几年后也未发表。特别是神经外科试验的遗漏情况,相对于神经内科,其从来都没有被全面统计过。
该文作者指出,结果为阴性的一些临床试验仍然至关重要,其研究数据的发表是非常必要的,不仅有助于改善未来的试验,还能避免医疗资源的浪费,并让患者对更好的治疗方法有所了解。
【薛鑫】
3.美国医疗保健支出现状
United States Health Care Spending.
PMID: 30125024 DOI: 10.1093/neuros/nyy291
众所周知,与许多高收入国家相比,美国在医疗保健方面的支出更多; 但是,很少有人去研究并解释这个现象。本文作者最近就医疗保健系统将美国与其他10个高收入国家进行了比较,以确定为什么美国人均花费比其他国家更多的原因。
该研究自2013年至2016年期间,收集了来自不同医疗保健结构的10个高收入国家的数据,分析7个主要领域:一般支出,人口健康,结构容量,利用率,药品,护理方式,护理质量以及公平公正。这一比较研究揭示了一些令人惊讶的结果:
尽管人口健康结果(例如,预期寿命和婴儿死亡率)表现更差,但美国的人均支出(平均9403美元)几乎是其他10个国家(平均5419美元)的两倍。虽然在美国有较小的医生工作人员比例(2.6 / 1000人与3.3 / 1000人),但是医生的报酬几乎是平均值的两倍(218 173 美元VS 133 723美元),护士也有类似的现象。最后,数据表明,虽然社会项目投资不足不会增加医疗保健成本,但美国的行政成本要高得多。与平均值相比,美国人均药品支出最高(1443美元对749美元)。
【薛鑫】
4.含有PD-L1的细胞外囊泡有助于胶质母细胞瘤的免疫耐受
Extracellular Vesicles Containing PD-L1 Contribute to Immune Evasion in Glioblastoma.
PMID: 30125027 DOI: 10.1093/neuros/nyy295
最近发现,侵袭性胶质母细胞瘤(GBM)的特征是肿瘤介导局部和全身免疫抑制能力。早期研究发现,GBM细胞侵袭性高的一个原因是它们表达PD-L1(程序性死亡配体-1),它会结合效应T细胞表面上的PD-1(程序性死亡蛋白1),阻止它们的靶向肿瘤细胞进行破坏。但具体机制尚不清楚。
而Ricklefs等最近的研究表明,GBM采用含有PD-L1(程序性死亡配体-1)的EV(细胞外囊泡)来介导T效应细胞抑制。另外,胶质母细胞瘤的更具侵袭性的间充质亚型具有更高的EV衍生的PD-L1表达,其有助于肿瘤的免疫抑制。
![]()
【薛鑫】
5.法裔加拿大人颅内动脉瘤的最新高危基因
New Risk Allele for Intracranial Aneurysm in French-Canadians.
PMID: 30125025 DOI: 10.1093/neuros/nyy294
据估计,颅内动脉瘤(IA)在一般人群中的患病率为1%-3%,占所有自发性蛛网膜下腔出血的80%-85%。 IA的形成是一个多因素的疾病过程,包括环境和遗传因素的驱动。
通过比较正常个体的单核苷酸多态性(SNP)与相关疾病的SNP,全基因组关联研究(GWAS)的工作人员可以识别高风险基因位点及其各自的疾病相关等位基因。基于这一方法,GWAS已证实芬兰、日本和欧洲等地区的一些人群带有IA形成的高风险等位基因,而最近,GWAS又发现了法裔加拿大人患IA的最新高危基因。
【薛鑫】
6.周细胞对神经白质结构及功能的保护
Pericytes Protect White-Matter Structure and Function.
PMID: 30125031 DOI: 10.1093/neuros/nyy300
周细胞是覆盖在微血管内膜的壁细胞。早期研究表明其仅有支持功能,近20年的研究表明周细胞在调节血流,炎症,血管周围水肿,甚至在某些巨噬细胞形成中起重要作用。虽然关于他们的来源,发生和形成仍存在争论,但是普遍认为他们是由间充质干细胞或祖细胞分化而来。它们被认为在平滑肌细胞对侧,嵌入在基底膜中,并与内皮细胞直接接触。
有趣的是,周细胞在大脑中分布最多,与星形胶质细胞一起形成紧密连接的血脑屏障(BBB)。内皮细胞,周细胞和星形胶质细胞的这种复杂关联保护,导致神经组织免受血液中潜在有害因子,如毒素或感染因子的损伤。内皮功能障碍和小血管病变已被证明是造成老年人群中弥漫性白质病和痴呆的原因。然而,目前尚未研究白质疾病与周细胞功能之间的关联。Montagne等在周细胞缺陷小鼠模型的研究中发现,周细胞具有重要的保护作用并调节白质结构和功能。
![]()
【卢维新】
7. 神经工程在未来神经系统疾病的治疗方面起重要作用
Engineered Neurons May Generate Future Therapy for Neurological Disease.
PMID: 30125030 DOI: 10.1093/neuros/nyy299
长期以来,研究人员一直研究神经退行性疾病,特别是在治疗脊髓损伤后重建神经元联系,但治疗效果仍难以让人满意。然而,神经元再生的概念反对传统的结论,即神经元是不可再生的的静止细胞。 但是,如果可以利用其他类型细胞来充当或分化成神经元呢?
作为新研究热点的诱导神经元(iN)细胞的检测技术回答了这个问题,更重要的是,它可能为未来治疗神经退行性疾病创造新的方向。之前认为,少量转录因子的过表达可诱导神经元分化而不引发细胞分裂。尽管如此,最近Tsunemoto和Scripps研究所以及加利福尼亚大学圣地亚哥分校的同事们,发表在Nature上的文章对这些原理进行了扩展,显示出更有力的证据证明了诱导神经元细胞作为一种药物治疗的潜在用途。
![]()
【卢维新】
8.轻度颅脑创伤的免疫应答
Immune Response in Mild Traumatic Brain Injury.
PMID: 30125028 DOI: 10.1093/neuros/nyy298
轻度创伤性脑损伤(mTBI)在临床上很常见,但mTBI的病理生理作用尚未完全阐明; 但在过去十年中发现慢性创伤性脑病(CTE)后,有些人可发生脑实质内的持续性损伤。最近在Nature Immunology上发表的研究揭示了mTBI后促进脑膜重塑和血管修复的一些特异性免疫反应。虽然脑膜和脑实质之间存在明显的生理和微环境差异,但这项工作可能会提供一些关于免疫反应如何受持续性损伤影响的推断,并可能解释mTBI中最突出的临床症状头痛的病理生理。
【卢维新】
9.改变意识:神经科学家如何进行记忆移植
A Change of Mind: How Neuroscientists Performed A Memory Transplant.
PMID: 30125032 DOI: 10.1093/neuros/nyy301
长期记忆被认为是在人脑的树突突触内编码的。突触越多,存储记忆的能力越强。然而,加州大学洛杉矶分校的神经科学家认为记忆也可以通过RNA转录方式存储在外基因信息中。如果这一理论成立,则以RNA序列的形式转移存储记忆的概念,可以转移到不同的宿主上。
![]()
【卢维新】
10.脊柱立体定向放射治疗后椎体压缩性骨折:病理生理学和危险因素
Vertebral Compression Fracture After Spine Stereotactic Body Radiation Therapy: A Review of the Pathophysiology and Risk Factors.
PMID: 29048517 DOI: 10.1093/neuros/nyx493
椎体压缩性骨折(VCF)是脊柱立体定向放射治疗(SBRT)后观察到的一种相对常见的并发症。该研究总结了已发表的多项研究的数据,评价脊柱SBRT后VCF的风险和预测因素。
在11项纳入分析的研究中,共有2911例符合条件的患者,在脊髓节段治疗后的VCF发生率为13.9%。多变量分析中最常见到的危险因素是:融合性病变;立体定向体放射治疗前的椎体压缩性骨折发生;立体定向放射剂量增高后的发生差异;脊柱畸形;年龄较大以及超过40%-50%的椎体涉及肿瘤。
椎体压缩性骨折(VCF)是脊柱立体定向放射治疗(SBRT)后的常见不良反应,基于以上发现来确定危险因素来指导挑选出高风险患者,对于患者是否放射干预做出选择具有重要意义。
![]()
【卢维新】
11. 超声检查在诊断成人创伤性臂丛损伤中的价值
Efficient Imaging: Examining the Value of Ultrasound in the Diagnosis of Traumatic Adult Brachial Plexus Injuries, A Systematic Review.
PMID: 29040777 DOI: 10.1093/neuros/nyx483
对于创伤性臂丛损伤(BPI)患者,通常采用的评估病情的主要影像学检查手段为磁共振成像,而该研究则探讨了采用超声作为评估成人创伤性臂丛损伤的诊断工具的可行性。
截至2016年7月,对MEDLINE,EMBASE,CINAHL和Cochrane数据库做相关文献检索,结果发现:超声在上中段脊神经损伤检测出的敏感性较高:C5(93%),C6(94%)和C7(95%)比较低:C8(71%)和T1(56%)。
该研究表明,超声可作为成人创伤性臂丛损伤的有效诊断工具,其病变检测的敏感性在上中段颈髓平面(C5-C7)比下段脊神经(C8,T1)高。 应进行进一步的标准化研究,以确认超声在诊断成人创伤性臂丛损伤中的实用性。
![]()
【卢维新】
12. 国家数据库在神经外科患者预后研究中的价值:选择,优势和缺陷
National Databases for Neurosurgical Outcomes Research: Options, Strengths, and Limitations.
PMID: 28950367 DOI: 10.1093/neuros/nyx408
该研究通过对相关文献的回顾性分析,评估了国家数据库各种资源在神经外科患者预后研究中的优势和局限性。结果显示:目前从多个国家数据库中收集的内容包括:患者检查报告结果、住院30天内病情变化、再入院和再次手术情况,以及疾病发病率和特定疾病存活率(监测,流行病学和疾病转归 - 医疗保险)。大数据库的优势包括收集了大量罕见的疾病信息和便于国家间的多机构抽样。这些数据库的局限性包括数据的准确性和完整性有待进一步提高,以及缺少特殊疾病的多样性。
作者认为,这一研究结果有助于促进改进国家大数据库,以及建立新的数据库,这对于神经外科临床的研究来说是至关重要的。
【卢维新】
13. 系统综述和国际立体定向放射外科学会实践指南:立体定向放射治疗脑转移瘤
Stereotactic Radiosurgery in the Management of Limited (1-4) Brain Metasteses: Systematic Review and International Stereotactic Radiosurgery Society Practice Guideline.
PMID: 29126142 DOI: 10.1093/neuros/nyx522
目前关于立体定向放射治疗(SRS)脑转移瘤的指南缺乏已发表文献的有力证据。该文章作者通过检索PubMed和Medline,进行系统回顾和Meta分析,来寻求SRS治疗脑转移瘤的最佳证据。
该研究对检索到的27项前瞻性研究的主要观点,Meta分析结果和发布的共识指南进行综合分析,得出了如下四个主要结论:(1)通过降低全脑辐射剂量,治疗早期脑转移瘤对患者生存没有明显影响;(2)虽然SRS本身能快速得到局部控制(LC),但是全脑放射能使局部控制更佳;(3)全脑放射可对大脑远期控制,减少抢救治疗次数;(4)最后,全脑放射治疗后,神经认知功能和生活质量的损伤比单独SRS明显。
【卢维新】
14. 终末神经瘤的外科治疗现状
Current State of the Surgical Treatment of Terminal Neuromas.
PMID: 29053875 DOI: 10.1093/neuros/nyx500
截肢后神经损伤导致的终末神经瘤疼痛很常见,然而,目前对于这种疾病的治疗还没有统一标准。文章对终末神经瘤的治疗进行了文献综述,评估终末神经瘤外科手术的四种方式:神经外膜闭合; 神经移位; 神经吻合术和替代目标神经移植。
研究者指出,已有研究支持植入肌肉进行终末神经瘤的外科治疗。然而,这种技术没有解决神经瘤形成的生理机制。周围神经再生界面和定向肌肉神经移植是两种在预防和治疗终末神经瘤形成方面最有希望的技术。这两种技术还能够产生控制运动和感觉修复的信号,有望使截肢者功能恢复。尚需进一步的高质量对照组临床研究和可重复测量结果的较大患者组,来确定最终有效率和有益于终末神经瘤的手术治疗方式。
![]()
【卢维新】
15. 系统综述和Meta分析:立体定向放射治疗脑动静脉畸形后放射诱发的改变
Radiation-Induced Changes After Stereotactic Radiosurgery for Brain Arteriovenous Malformations: A Systematic Review and Meta-Analysis.
PMID: 29040700 DOI: 10.1093/neuros/nyx502
放射诱发的改变是立体定向放射治疗(SRS)脑动静脉畸形(AVM)后最常见的并发症,在磁共振成像中表现为T2加权高信号,有或没有相关的神经系统症状。为了解SRS治疗AVM后放射诱发的改变的发生率,并确定危险因素,作者通过检索文献进行了系统综述和Meta分析。
放射诱发的改变分为影像(任何神经影像证据),症状(任何相关的神经系统恶化,无论持续时间如何)和永久性(神经功能衰退而无恢复)。研究根据51项研究的汇总数据分析,得出结果:AVM采用SRS治疗后影像学、症状和永久性放射诱发的改变的总体发生率分别为35.5%、9.2%和3.8%。研究还发现,大约1/3的AVM患者在SRS治疗后发生明显的放射诱发的改变,而放射诱发的改变患者中,每4例就有1例出现神经系统症状。AVM出血和重复多次进行SRS治疗是放射诱发的改变的危险因素,并且深部病灶是症状性放射诱发的改变的危险因素。
【卢维新】
16. i-Factor™骨移植VS 自体前路颈椎椎间盘切除融合术
i-Factor™ Bone Graft vs Autograft in Anterior Cervical Discectomy and Fusion: 2-Year Follow-up of the Randomized Single-Blinded Food and Drug Administration Investigational Device Exemption Study.
PMID: 28945914 DOI: 10.1093/neuros/nyx432
i-Factor™骨 移植物是一种复合骨替代物质,由吸附在悬浮于惰性生物相容性水凝胶载体中的无机骨矿物质上的P-15合成胶原片段组成。美国FDA 一项重要的研究证明了i-Factor™与单侧颈椎前路椎间盘切除融合术相比的益处。
在该研究中,受试者随机接受自体移植物(n = 154)或i-Factor™骨移植物(n = 165)。结果发现,在患者术后两年时,i-Factor™骨移植和自体移植者的融合率分别为97.30%和94.44%,神经功能恢复率为94.87%和93.79%。与自体移植受试者相比,i-Factor™受试者的总体成功率更高。12名(7.45%)i-Factor™受试者和16名(10.53%)自体移植受试者进行再次手术。没有发现与i-Factor™相关的过敏反应。
因而作者认为,在颈椎前路椎间盘切除融合术中使用i-Factor™骨移植是有效和安全的,并且与手术后2年的局部自体移植骨相比产生相似的结果。
【薛鑫】
17. 增加放射剂量+贝伐珠单抗治疗复发性/进展性胶质母细胞瘤的临床I期研究
Phase I Trial of Radiosurgery Dose Escalation Plus Bevacizumab in Patients With Recurrent/Progressive Glioblastoma.
PMID: 28973311 DOI: 10.1093/neuros/nyx369
立体定向放射外科(SRS)对复发性胶质母细胞瘤(rGBM)的有效性仍不确定,且SRS与胶质瘤中放射性坏死的高风险有关。该研究是一项前瞻性临床I期试验,通过在SRS之前给予单剂量的贝伐单抗并持续至进展,以确定使用贝伐珠单抗治疗rGBM 的高剂量SRS的安全性和两者的协同益处。。
共有7例男性和2例女性参加了这项研究,结果显示,在SRS之前使用贝伐珠单抗治疗,能够使患者病灶体积在SRS治疗(剂量从18Gy-22Gy不等)当天明显缩小(从平均4.7cm3降至2.86cm3),且无一例患者出现与SRS治疗相关的副作用。SRS+贝伐珠单抗联合应用下,有3例患者出现部分反应,6例患者病情稳定。所有患者中位生存期和总生存期分别为7.5和13个月。
因而作者认为,在SRS之前使用贝伐珠单抗治疗的患者,其放射安全剂量可递增至22Gy剂量的,尚需更多研究来证实贝伐珠单抗治疗后SRS对rGBM的疗效。
![]()
【薛鑫】
18.动脉瘤性蛛网膜下腔出血后分流依赖性脑积水:预测因子和长期预后
Shunt-Dependent Hydrocephalus After Aneurysmal Subarachnoid Hemorrhage: Predictors and Long-Term Functional Outcomes.
PMID: 28973194 DOI: 10.1093/neuros/nyx393
该研究的目的是明确动脉瘤性蛛网膜下腔出血(aSAH)后分流依赖性脑积水和分流并发症的预测因素,并确定分流依赖对aSAH患者功能预后的影响。
自2000年至2015年,该研究筛选出来自单中心的888例aSAH患者,其中有116例患有分流依赖性脑积水(13%),数据分析结果显示:年龄较大、脑室内出血(IVH)、外科动脉瘤治疗、血管造影和血管痉挛是分流依赖性脑积水的独立预测因子。该研究共对527例aSAH患者中进行了功能预后的评估(平均随访18.6个月),结果发现:所有患者不良预后率为17%。分流放置、分流感染、年龄较大和较高的WFNS分级与多变量分析中的不良预后独立相关。
因而,研究者认为,具有分流依赖性脑积水的aSAH患者,其长期功能预后显著较差。
【薛鑫】
19.颅内脊索瘤:新型术前分级系统
Cranial Chordoma: A New Preoperative Grading System.
PMID: 29126120 DOI: 10.1093/neuros/nyx423
脊索瘤是罕见但具有挑战性的肿瘤,涉及颅底。术前分级系统将有助于确定治疗区域和风险因素,并与切除程度,并发症和复发相关。本文提出了新的颅脊索瘤分级系统。
新的分级系统包括肿瘤大小,肿瘤部位,血管包裹,硬膜内扩张,脑干侵犯,以及手术或放疗后肿瘤复发,得分为2至25分。在该研究中,采用新分级系统评估42例颅脊索瘤患者的风险,包括低风险(0至7分),中等风险(8至12分),高风险(≥13分),验证了新分级系统与切除手术次数,切除程度,并发症的数量和类型,复发和生存等均相关。
作者认为,新的脊索瘤分级系统可以帮助外科医生预测病例的难度,在术前掌握需要重点关注的颅底区域,以便于后续治疗方案的制定。
![]()
【薛鑫】
20.经颅多普勒超声波形 在主动脉球囊泵反搏期间对蛛网膜下腔出血后血管痉挛的监测
Transcranial Doppler Waveforms During Intra-aortic Balloon Pump Counterpulsation for Vasospasm Detection After Subarachnoid Hemorrhage.
PMID: 28973669 DOI: 10.1093/neuros/nyx405
为评估与血管痉挛相关的经颅多普勒波形的特征,该研究回顾性地分析了31例经颅多普勒超声检查和血管造影检查结果相匹配的的蛛网膜下腔出血病例,主要观察指标有经颅多普勒波形的平均速度,收缩期峰值速度,球囊泵增强的舒张速度,以及新的特征delta速度(球囊泵增强的速度-收缩速度)。
结果发现,31例患者中,有14例发生近端血管痉挛。经颅多普勒波形特征的结果显示,近端血管痉挛与平均速度无显著相关性,而与delta速度显著相关。由此作者认为,Delta速度是一种最新的经颅多普勒血流速度特征,在血管痉挛的评估方面有重要的临床价值。
【薛鑫】
21. NuNec™人工颈椎间盘置换术对改善神经根型和脊髓型颈椎病患者生活质量的随访研究
NuNec™ Cervical Disc Arthroplasty Improves Quality of Life in Cervical Radiculopathy and Myelopathy: A 2-yr Follow-up.
PMID: 28973309 DOI: 10.1093/neuros/nyx424
颈椎前路置换术是治疗特定的神经根型和脊髓型颈椎病的一种替代治疗方法,该研究回顾性分析了使用NuNec™人工颈椎间盘行置换术后的临床及放射学结果。
结果发现,33名患者共植入了44个NuNec™椎间盘,所有患者均出现临床上的改善,包括在NDI,EQ-5D和SF-36躯体评分及心理评分等方面的显著改善。在术后2年时,NuNec™椎间盘平均移动范围为4°,与基线相比明显减少; 异位骨化也有一定程度的进展。主要并发症包括暂时性吞咽困难(10%)和需要椎间孔切开术的疾病进展(6%)。
基于该研究的结果,作者认为,使用NuNec™椎间盘置换术的临床结果与其他椎间盘置换术相当,虽然位移范围减小,但再次手术率非常低。
![]()
【杨宝慧】
22.伽玛刀放射外科治疗Nelson综合征的长期研究
A Long-Term Study of the Treatment of Nelson's Syndrome With Gamma Knife Radiosurgery.
PMID: 28950324 DOI: 10.1093/neuros/nyx426
对于接受双侧肾上腺切除术的库欣病患者,Nelson综合征可能是一种灾难性的并发症。以前的研究表明,立体定向放射外科(SRS)可用于治疗Nelson综合征。该研究纳入了27例经双侧肾上腺切除术后接受伽玛刀放射外科治疗的Nelson综合征患者,通过放射外科治疗后,对患者进行系列的促肾上腺皮质激素(ACTH)水平测定(中位随访时间84.5个月)和MRI检查,来评估内分泌缓解和肿瘤控制的长期疗效。
研究结果显示:在行SRS治疗前,有21例患者ACTH水平升高;而行SRS治疗后,ACTH检测发现,原来ACTH水平升高的患者中有14例(67%)患者ACTH水平出现降低或保持稳定,7例恢复正常水平。MRI检查结果显示,SRS治疗后92.6%的患者(25/27)可见肿瘤体积稳定或减少。
作者认为,这项回顾性分析表明,SRS是Nelson综合征患者实现内分泌缓解和肿瘤控制的有效手段。
【杨宝慧】
23.使用安全剂量的单次放射治疗脑转移瘤:降低毒性作用并能产生持久作用
Single-Fraction Radiosurgery Using Conservative Doses for Brain Metastases: Durable Responses in Select Primaries With Limited Toxicity.
PMID: 28945885 DOI: 10.1093/neuros/nyx427
单次立体定向放射外科(SRS)治疗脑转移的最佳剂量尚未确定,该研究探讨了安全单次剂量SRS对脑转移瘤患者的个体病变控制(LC),并确定影响LC的因素。
研究纳入2003年至2015年的188名患者,共有519个病灶,所有患者中位生存期为13.1个月,肿瘤周围剂量中位数为15Gy。结果发现,对于大小在1-10mm, 11-20mm, 21-30mm,>31mm 的病灶,所对应的一年粗估LC分别为80%,73%,56%和38%。多变量分析结果显示,剂量是多变量模型中LC的重要预测因子。
因而作者认为,使用安全剂量的单次SRS治疗脑转移瘤(尤其是乳腺癌),能够最大程度地降低毒性作用并能产生持久作用。
![]()
【杨宝慧】
24.美国脊髓损伤协会损伤等级与伤后住院治疗及胸椎脊髓损伤治疗费用的关系
Relationship of American Spinal Injury Association Impairment Scale Grade to Post-injury Hospitalization and Costs in Thoracic Spinal Cord Injury.
PMID: 28945855 DOI: 10.1093/neuros/nyx425
众所周知,胸椎脊髓损伤(SCI)的终生经济负担很高,但是与美国脊髓损伤协会(ASIA)损害量表(AIS)等级相关的成本可变性的证据是有限的。该研究的目的便是探索通过AIS分级评估患者住院治疗胸椎SCI的终生经济花费的可行性。
结果发现,伤后一年,平均每年住院天数从AIS-D损伤患者的2.1天到AIS-A患者的5.9天。胸椎SCI后5年和10年也发现了类似的差异。 在35岁时胸椎SCI后住院预期终身医疗费用的估计净现值321 534美元,249 514美元,188 989美元和68 120美元,分别对应AIS分级中的AIS-A,AIS-B,AIS-C和AIS-D。
因而研究者认为,采用AIS分级评估后认为患者胸椎SCI严重程度较轻的患者,在其一生中的住院时间较短,住院治疗费用相对较少。
![]()
【杨宝慧】
25.利用质量和预后数据库建立腰椎融合术后患者出院处置预测评分的进展
Development of a Predictive Score for Discharge Disposition After Lumbar Fusion Using the Quality Outcomes Database.
PMID: 28950363 DOI: 10.1093/neuros/nyx436
该研究旨在采用质量和预后数据库(QOD)建立一个简单的评分系统,来预测腰椎融合术后的患者出院后的医疗费用。
研究共纳入了217名患者,所建立的评分系统包括以下五个变量:骨质疏松症,术前主要症状,辅助行走装置,美国麻醉医师协会等级和年龄。分数较高的患者不太可能需要额外的医疗服务。在高分(8-10)的患者中,我们的量表正确预测了88.7%患者的出院需求。在低分(0-5)的患者中,我们的量表预测了75%患者的出院需求。对于最终确定的评分系统,其接受者操作特性曲线(ROC)下的面积是0.809(95%的可信区间为0.720-0.897)。
研究者认为,新提出的这一个简单的评分系统,能够帮助预测因腰椎退行性疾病行腰椎融合手术患者的出院后医疗需求。
![]()
【杨宝慧】
26.一种测量半规管裂的新方法,以及对其作为中颅窝开颅后症状预后预测指标的评估
Novel Method of Measuring Canal Dehiscence and Evaluation of its Potential as a Predictor of Symptom Outcomes After Middle Fossa Craniotomy.
PMID: 28945893 DOI: 10.1093/neuros/nyx430
上半规管裂是发生于颞骨岩部岩尖弓状隆起的骨质缺损,本文介绍了一种测量上半规管裂的新方法,并评估了其作为外科修复半规管术后症状转归的预测指标的价值。
研究共纳入37例半规管裂开的患者,予采用了测量裂口体积的新方法,结果发现,与测量裂口长度的方法相比,采用测量体积的新方法所得到的结果更稳定。且半规管裂开的体积与头痛症状呈正相关,也与术后眩晕的改善呈正相关,但均无统计学意义。
作者认为,与测量裂开长度相比,测量上半规管裂开的体积是一种新颖的方法,具有临床应用可行性,但若作为一种潜在的症状转归预测指标,仍需更多的证据。
![]()
【杨鹏宇】
27.术前MRI评估矢状位活动性畸形的应用
The Utility of Preoperative Magnetic Resonance Imaging for Determining the Flexibility of Sagittal Imbalance.
PMID: 28973386 DOI: 10.1093/neuros/nyx431
脊柱侧凸的X线检查是术前评估腰椎前凸的金标准;但是,一些活动性腰椎畸形,由于X线是在立位下拍摄,而手术是卧位,故X线的影像资料很难准确预测和评估术中需要矫正多大的程度。鉴于此,该研究试图探讨术前MRI在一些活动性矢状位畸形手术计划中的应用是否优于X线检查。
研究共纳入138例矢状位畸形的病例,结果发现:仰卧位的术前MRI与术中X线透视相差大概2.9°,而术前站立位的X线片与术中透视相差5.53°。在可活动的脊柱畸形病例中(24例),术前仰卧位MRI与术中透视的偏差在3.08°,而术前站位X线的偏差则为11.46°。
因而作者认为,MRI完全能确诊矢状位的脊柱畸形及其是否为活动性。而且,在可活动的脊柱矢状位畸形中,腰椎前凸的术前MRI能比站立位的X线检查更精确地反映术中腰椎前凸的情况。
![]()
【杨鹏宇】
28.评价激光热疗治疗颅内肿瘤术后疗效的最佳影像学序列
Assessment of Optimal Imaging Protocol Sequences After Laser-Induced Thermal Therapy for Intracranial Tumors.
PMID: 28945908 DOI: 10.1093/neuros/nyx439
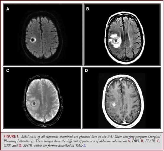
背景:MRI引导下激光间质热疗(MRgLITT)是一种新型、微创的方法,现今被广泛用于颅内各种病理性疾病。本文探讨了经过MRgLITT治疗的患者,在估算消融体积时,选择何种MRI序列能够提供最高的可信度和最小的变异率。
研究选取了20例经过MRI引导下激光热疗的患者,3位评测者随后使用MRI的不同序列:毁损梯度回波序列(SPGR),FLAIR序列,弥散加权序列(DWI),及梯度回波序列(GRE)。测量的结果使用组间相关分析来确定3位测评者的一致性。
结果:SPGR序列具有最高的一致性,组间关系0.981,其次为DWI序列,组间关系为0.958,一致性最低的为GRE序列(0.895)和FLAIR序列(0.866)。与其他序列相比,SPGR还具有最小的变异率和一致性最高的体积。
基于该研究结果,作者认为,SPGR序列在评估MRgLITT后病变区域的一致性方面占据最高地位,而对于不能做增强MRI的患者,DWI序列可以作为相对可靠的次选项目。
![]()
【杨鹏宇】
29.小儿脑积水外科治疗疗效的比较
Comparative Effectiveness of Surgical Treatments for Pediatric Hydrocephalus.
PMID: 28945918 DOI: 10.1093/neuros/nyx440
该研究采用倾向评分匹配的方法,对美国大数据库中的脑积水患儿进行分析,以对比第三脑室底造瘘术(ETV)和分流术的疗效。
研究共纳入3231例病例(ETV478例,分流术2753例),倾向评分匹配了455对病例。在匹配的样本中,有326对(72%)在手术后3个月内的转归是一致的,另外129对则不一致。在这些不一致的匹配中,接受ETV手术的患儿手术失败率要高于接受分流手术的患儿。此外,小于1岁的患儿ETV失败率要高于分流术的失败率(P=0.009)。但在1岁及以上的患儿中两种手术方式的转归则无显著差异。
因而作者得出结论:小于1岁的患儿行ETV手术的失败率稍高,但1岁及以上患儿ETV手术及分流手术的疗效无明显差异。
![]()
【杨鹏宇】
30.关于Pineline国际性回顾性研究的亚组分析:后循动脉瘤患者使用Pipeline栓塞后的发病率和死亡率
Morbidity and Mortality in Patients With Posterior Circulation Aneurysms Treated With the Pipeline Embolization Device: A Subgroup Analysis of the International Retrospective Study of the Pipeline Embolization Device.
PMID: 28945879 DOI: 10.1093/neuros/nyx467
Pineline栓塞装置应用于后循环动脉瘤的安全性仍有争议,本文是基于Pineline的国际性回顾性研究的亚组分析,探讨了使用Pineline治疗后循环动脉瘤的并发症。
研究共纳入2008年7月至2013年2月来自17个医疗中心的91例后循环动脉瘤患者(共95个动脉瘤)。主要终点为并发症引起神经功能症状或死亡。结果发现:所有动脉瘤平均大小为13.8mm,其中囊泡样占36.8%,梭形29.5%,夹层动脉瘤28.4%,其他类型5.3%。随访时间平均21.1个月。12例患者发生终点事件。对终点事件采用多变量分析发现,使用3个及以上PED和梭形动脉瘤有较高的风险比,分别为7.77和3.48。植入PED后动脉瘤大小与神经功能症状的多变量风险比为1.11,而已破裂动脉瘤和年龄与神经功能症状的风险比分别为8.1和1.07。在转归的单变量分析发现基底动脉瘤的风险比为3.54。
作者认为,PED植入是治疗后循环动脉瘤的方法之一,尤其是囊状或夹层动脉瘤。本研究的并发症与之前文献报道的行夹闭和栓塞术后的患者类似。此外,充分考虑动脉瘤的形状、大小、是否破裂、后循环动脉瘤复合体的位置以及年龄、PED植入的等多种因素,有助于帮助神经介入医生做出准确判断。
![]()
【杨鹏宇】
31.神经外科手术开始时间对并发症的影响
The Effect of Surgical Start Time on Complications Associated With Neurological Surgeries.
PMID: 29040696 DOI: 10.1093/neuros/nyx485
神经外科的手术在一天的任何时间都可能进行,那么在不同时间开始手术对患者并发症的发生会有影响吗?作者对此进行了该项研究,这是一项回顾性队列研究,采用多层次逻辑回归分析手术时间对并发症的影响。
结果发现,共纳入了15807例患者,其中785例发生了并发症。数据分析结果显示,在21:01至07:00间进行手术会使并发症的发生率增加50%。但研究同样表明,是否为急诊手术是预测手术并发症严重程度的唯一具有统计学意义的因素。
通过该研究,作者认为,相比于其他时间段,在21:01至07:00这一时间段开始实施神经外科手术,会使手术的并发症明显增加。
【严贵忠】
32.儿童分流手术检查表对感染发生的影响
The Impact of a Pediatric Shunt Surgery Checklist on Infection Rate at a Single Institution.
PMID: 29048591 DOI: 10.1093/neuros/nyx478
分流手术感染仍是小儿神经外科面临的一大挑战,目前已有很多的手术检查表用于降低感染的发生率。作者在此介绍了一种具有循证医学基础的检查表,并研究了其对分流感染发生率的影响。
该研究中共纳入2008年-2015年间实施的1813次分流手术,其中37例发生了感染。检查表应用前(前4年)感染发生率为3.03%,应用检查表后(后4年)发生率降到了1.01%,相对危险性降低了66.6%。这些在应用了检查表后仍发生感染的患者中,年龄都偏小(0.95岁VS 3.4岁)。
基于该研究结果,研究者认为,分流手术检查表的使用与后4年间感染率的降低有关。
![]()
【严贵忠】
33.多中心队列研究先天性颈椎管狭窄患者退行性脊髓型颈椎病:基于核磁共振诊断原则的报告
Congenital Cervical Spine Stenosis in a Multicenter Global Cohort of Patients With Degenerative Cervical Myelopathy: An Ambispective Report Based on a Magnetic Resonance Imaging Diagnostic Criterion.
PMID: 29462433 DOI: 10.1093/neuros/nyx521
先天性颈椎管狭窄是急性脊髓损伤和发展为退行性脊髓型颈椎病的危险因素。本研究的目的是开发基于磁共振成像(MRI)的标准来诊断先前存在的先天性颈椎管狭窄(CSS),并评价CSS患者与无CSS患者间的差异。
该研究共纳入349例手术的脊髓型颈椎病患者和27例对照组患者,结果发现:脊髓占位比(SCOR,通过在非压迫部位测量椎管和脊髓前后径计算出)≥70%是诊断CSS的有效标准。CSS患者在较年轻的年龄发展为脊髓型颈椎病,并且神经功能的损伤和致残程度更严重。尽管如此,与无CSS的脊髓型颈椎病患者相比,CSS患者在症状持续时间,MRI表现及手术效果方面与其相似。
![]()
【严贵忠】
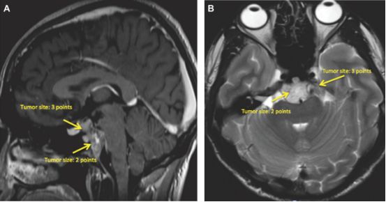
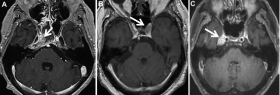
34.海绵窦和Meckel腔区不确定病变活检的诊断和预后:基于85例患者的回顾性病例分析
Diagnosis and Outcome of Biopsies of Indeterminate Lesions of the Cavernous Sinus and Meckel's Cave: A Retrospective Case Series in 85 Patients.
PMID: 29040711 DOI: 10.1093/neuros/nyx501
当海绵窦和Meckel腔区病变不能通过患者临床表现、实验室检查及影像学来确诊时,有必要进行活检确诊。作者对其所在机构收治的海绵窦和Meckel腔区无法确诊病灶的活检病例进行了分析研究,汇报如下:
研究中共纳入85例患者,其中22例有肿瘤病史。手术入路包括额颞入路(48例),内镜下经鼻入路(20例),经皮卵圆孔入路(12例)乙状窦后入路(5例)。最后确诊为转移瘤27例,颅内原发性肿瘤21例,炎症反应13例,出血11例,真菌感染5例,无法确诊或诊断的患者8例。13例有肿瘤病史的患者诊断结果与其先前的肿瘤诊断一致。2例患者因手术并发症死亡。
由上面的结果可知,在这些患者中,转移瘤最常见。因而,对于海绵窦和Meckel腔区病变的患者(尤其是有肿瘤病史者),如果临床或影像学诊断不确定,选择活检有更大的可能性诊断出转移瘤。尽管如此,作者认为活检应作为最后考虑的手段,因为活检可能会引起严重的并发症甚至死亡。
![]()
【严贵忠】
35.深部脑刺激相关感染:发生率、时机及季节性的研究
Deep Brain Stimulation-Related Infections: Analysis of Rates, Timing, and Seasonality.
PMID: 29048556 DOI: 10.1093/neuros/nyx505
感染是深部脑刺激(DBS)常见并发症之一,目前很少对术后长期感染率进行评价。该文作者对DBS相关感染的短期和长期的发生率进行了研究,评估了与DBS相关感染相关的潜在季节性。
这是一项回顾性临床研究,纳入了过去5年内的443例接受了DBS手术(共计592次)的患者,结果发现:初次DBS植入引起的感染发生率为2.6%,若连同后续更换脉冲发生器(IPG)引起的感染也算在内,则DBS的感染发生率为2.9%。38%的感染患者在术后6个月发生,夏季的感染率相比其他季节要高。与其他月份相比,8月份进行的手术感染的比值比为4.15。
最终作者得出结论:DBS植入第一年的时间内,持续存在感染的可能,手术实施的季节与感染率的发生相关。
![]()
【严贵忠】
36. 随机研究:未破裂脑动静脉畸形的治疗效果
Treatment Outcomes of A Randomized Trial of Unruptured Brain Arteriovenous Malformation-Eligible Unruptured Brain Arteriovenous Malformation Patients.
PMID: 29040773 DOI: 10.1093/neuros/nyx506
近期一项随机研究(代号ARUBA)表明,保守治疗未破裂动静脉畸形发生卒中或死亡的风险更低。但这项研究有很多不足,比如随访时间较短,手术治疗和栓塞治疗的患者比例不协调。本文研究者回顾性分析了符合上述ARUBA研究纳入标准的、接受了显微外科或伽马刀治疗的未破裂脑动静脉畸形患者,探讨其治疗后取得的效果。
研究从673例脑动静脉畸形患者中筛选出了105例未破裂的动静脉畸形患者。根据患者最终接受治疗的方式,分为显微外科治疗组和伽马刀放射治疗组。平均随访时间为43个月,主要观察指标为卒中或死亡。结果发现:共有8例患者发生卒中或死亡。显微外科组中发生卒中或死亡的风险为11.4%,而伽马刀放射治疗组为4.9%;卒中或死亡的年发病率在整个患者队列、显微外科组、伽马刀放射治疗组中分别为2.1%、4.0%、1.2%。随访结束时AVM在显微外科组和伽马刀放射治疗组的闭塞率分别为95.5%和47.5%。
因而作者认为,未破裂动静脉畸形患者治疗后发生卒中或死亡的风险较低,相比于ARUBA中的保守治疗,显微外科和伽马刀放射治疗是未破裂动静脉畸形患者更合适的选择。
![]()
【严贵忠】
37.核磁共振影像引导激光间质热疗治疗胼胝体胶质母细胞瘤
Magnetic Resonance Imaging-Guided Laser Interstitial Thermal Therapy for Glioblastoma of the Corpus Callosum.
PMID: 29438526 DOI: 10.1093/neuros/nyx518
胼胝体胶质母细胞瘤治疗困难,手术切除的风险通常超过潜在的生存获益。已有研究证实激光间质热疗对丘脑和岛叶恶性胶质瘤来说是一种安全有效的治疗方法。为评价激光间质热疗治疗胼胝体胶质母细胞瘤的安全性和有效性,研究者设计了该项多中心的前瞻性临床研究。
该研究共纳入原发性或复发性胼胝体胶质母细胞瘤患者15例,平均年龄为54.7岁,治疗前Karnofsky评分平均为80.7,亚组织间之间无明显差异性。肿瘤的体积平均为18.7cm3。其中26.6%的患者发生偏瘫。并发症更多见于肿瘤体积大于15cm3,与治疗后生存期下降32%相关。中位无进展生存期、激光间质热疗治疗后生存期及总生存期分别为3.4个月、7.2个月和18.2个月。
研究者认为,激光间质热疗是治疗胼胝体胶质母细胞瘤的一种安全有效的方法,与肿瘤次全切联合化疗放疗相比,能取得更好的生存效果。激光间质热疗相关的并发症主要与肿瘤的体积有关,而将肿瘤体积限制在15cm3以下基本可以避免。
![]()
【严贵忠】
38. 脑转移瘤术后瘤腔立体定向放射治疗与全脑放射治疗的比较
Evaluation of Stereotactic Radiotherapy of the Resection Cavity After Surgery of Brain Metastases Compared to Postoperative Whole-Brain Radiotherapy (ESTRON)—A Single-Center Prospective Randomized Trial.
PMID: 29528419 DOI: 10.1093/neuros/nyy021
这项代号为ESTRON的研究是一项单中心前瞻性随机对照临床研究,主要目的是对比脑转移瘤术后,立体定向放射治疗和全脑放射治疗的局部控制能力和毒性反应。研究共纳入50例患者,随机分为术后瘤腔立体定向放射治疗组和全脑放射治疗组,定期对患者进行随访观察,神经功能无进展生存的主要终点用核磁共振成像评估。每隔3个月用标准化测试和EORTC问卷对患者的生存质量和神经认知功能进行评价。
该研究期望的结果是,与全脑放射治疗相比,术后瘤腔立体定向放射是提高局部控制,并且神经毒性较低的一种方法。目前的该研究是首次比较立体定向放射治疗和全脑放射治疗对脑转移瘤患者局部控制及神经毒性的前瞻性随机对照临床研究,并且患者的数量超过10名,研究结果值得期待。
【严贵忠】
39.相对滞留时间对动脉瘤形成的影响
Influence of Relative Residence Time on Side-Wall Aneurysm Inception.
PMID: 28945849 DOI: 10.1093/neuros/nyx433
相对滞留时间是血流紊乱的一个标志,对侧壁形成低幅和高频的剪切应力。文献中已将详细的阐述了血管内皮细胞附近血液滞留时间和动脉粥样硬化形成过程的关系。本研究以评价相对滞留时间对侧壁动脉瘤形成的影响,以期更好的理解动脉粥样硬化在动脉瘤形成中的作用。
研究中共纳入14例颈内动脉侧壁动脉瘤,结果显示:相关滞留时间与颈内动脉侧壁动脉瘤的形成呈负相关性,12/14例患者在动脉瘤前血管未发现局部升高的相对滞留时间。接着对剪切应力进行分析,显示11例动脉瘤形成于抗动脉粥样硬化环境中,仅有1例形成于致动脉粥样硬化环境中,另外2例的形成不确定环境因素。
动脉粥样硬化一直被认为是脑血管动脉瘤形成的主要因素,作者提出侧壁动脉瘤的形成发生于抗动脉粥样硬化内皮细胞表型的血流动力学环境中,因此,抗动脉粥样硬化表型是动脉瘤形成的因素。
![]()
【严贵忠】
40.美国神经外科住院医师职业倦怠的现状
The Prevalence of Burnout Among US Neurosurgery Residents.
PMID: 29088408 DOI: 10.1093/neuros/nyx494
职业倦怠是一种情绪低落,人格解体和个人成就感降低的综合症。在美国内科医师中发生率超过50%,尤其是住院医师更加严重。这对于神经外科来说非常重要,因为倦怠不仅与身体健康不良相关,也会使药物滥用风险以及医疗错误增加。但目前为止,尚无关于神经外科住院医师职业倦怠相关的调查研究。
为比较神经外科住院医师职业倦怠的发生情况与其他专业住院医师职业倦怠的差异,该研究共调查了106个美国住院医师规范化培训项目中的神经外科住院医师。结果发现,在约1200名受调查的神经外科住院医师中,有255名做出了回应,其中职业倦怠的发生率为36.5%,在这些人群中,中位倦怠评分在年龄、性别及学历方面无明显的差异。神经外科住院医师职业倦怠的发生率相比其他专业较低。
该研究结果表明神经外科住院医师职业倦怠的发生率较其他专业相比较低,但作者并未对其发生的潜在原因进行评价,推测与很多因素相关,未来的研究应关注这一现象发生的原因。
![]()
【严贵忠】




