
今天为大家分享的是《贝朗时间》第四十期,由青岛大学附属医院神经外科丰育功教授带来的:显微手术治疗颈内动脉血泡样动脉瘤,欢迎阅读、分享!
丰育功教授:自体硬脑膜加动脉瘤夹技术

丰育功 教授,医学博士,主任医师,博士研究生导师。青岛大学医学院附属脑科医院副院长兼神经外科主任,青岛大学脑血管病研究所副所长。
中华医学会神经外科学分会委员、山东省医学会神经外科学分会副主任委员、青岛市医学会神经外科学分会主任委员、山东省医学会神经外科学分会脑血管病学科组副组长、山东省医师协会神经外科医师分会委员、青岛市解剖学会副理事长、卫生部科普专家、山东省解剖学会神经外科临床解剖委员会副主任委员、《中国临床神经外科杂志》、《中国神经肿瘤杂志》和《中华神经外科疾病研究杂志》编委,第一届《中华神经外科杂志》英文版编委、《中华神经外科杂志》审稿专家。
目前已行颅内动脉瘤显微夹闭手术近2000例,其技术达国内先进水平;同时擅长各种颅底肿瘤的显微手术以及微血管减压术治疗三叉神经痛、面肌痉挛及舌咽神经痛、颈内动脉内膜剥脱术治疗颈动脉狭窄等各类显微手术。
丰育功教授在国内首次提出“鞍区四个解剖间隙”的中文命名,论文《经翼点入路鞍区手术间隙的显微解剖研究》被引用率高达60余次。在国际上首创自体硬脑膜包裹技术结合窗式动脉瘤夹成功处理泡样动脉瘤这一颅内最凶险动脉瘤,取得了非常好的临床疗效,相关成果在SCI杂志Clinical Neurology and Neurosurgery上发表。
近几年发表论文60余篇,获省市科研成果奖5项,在研课题3项。出版论著4部。获荣誉称号:2002年青岛市首届百名优秀引进人才、2003年青岛市优秀临床医学专家、2003年度青岛市第四届青年科技奖、2004年获青岛市专业技术拔尖人才、2012年获青岛市市南区专业技术拔尖人才、2013年1月再获青岛市专业技术拔尖人才。2014年、2015年、2016年连续三年入选“中国名医百强榜”动脉瘤组及颅咽管瘤组全国十强、“华医纵横榜—中国最具影响力医生排行榜”等权威榜单,在国内同行中拥有较高知名度。
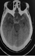
患者,女,35岁,
3天前无明显诱因突发剧烈头痛、恶心呕吐,神志清于2018年8月16日由外院转入青岛大学附属医院,CT示鞍上池中等量出血,以右侧侧裂池出血明显多。DSA和CTA示右侧ICA内侧壁有类圆形的囊状膨出,术前考虑为血泡样动脉瘤,术前Hunt-Hess分级II级。
于8月18日在全麻下行右侧翼点入路,自体硬脑膜包绕后夹闭,术后康复。








往期回顾




