提示
“浙二神外周刊”不定期接收外院投稿,审核后发表。欢迎各专业同道联系我们,分享精彩病例、研究热点或前沿资讯。投稿请联系:shishi74@163.com
病史简介
患者女,55岁,因“反复发作性左侧头面部及肢体感觉异常10天”入院。
患者10天前无明显诱因出现自觉左侧头面部及肢体发热,伴左上肢肢体乏力及口齿不清,至我院就诊。头部增强MRI示:右侧额叶占位性病变,T1低信号,T2高信号,强化后呈不均匀强化(图1)。以“颅内占位性病变”收住入院。
入院查体:患者消瘦,左侧鼻唇沟略变浅,其余未见神经系统阳性体征。
![]()
![]()
![]()
图1.头部MRI增强右侧额叶可见一片状不规则肿块; T1WI上为稍低信号,T2WI上为略高但混杂信号,有不均匀明显强化,约2.8cm×4.3cm×1.9cm。伴有周围水肿。有轻度占位效应。灌注成像:强化肿块区CBF、CBV增高。磁共振波谱:额病灶及周围NAA峰下降,Cho峰升高,伴有脂质乳酸峰出现,提示肿瘤性病变。
诊疗经过
术前科室讨论,诊断考虑:右额颞叶高级别胶质瘤。有明确手术指证。建议加做薄层磁共振扫描,包括弥散张量成像(DTI)和磁共振血管成像(MRA),以确定肿瘤边界和锥体束及主要血管的位置关系(图2)。
图2. 术前薄层扫描融合DTI与MRA,可见肿瘤(蓝色)周围包含水肿区域(橙色),大脑中动脉主要分支位于肿瘤下方,肿瘤水肿带紧邻右侧锥体束。
排除手术禁忌后,于2018-1-26行开颅肿瘤切除术。术中可见肿瘤强化部分血供非常丰富,肿瘤具有荧光染色,和正常脑组织分界不清(图3)。术中冰冻报告:高级别胶质瘤。
![]()
![]()
图3. 手术截图,可见肿瘤血供丰富,和脑组织分界不清。肿瘤强化区域伴有明显荧光素钠(黄荧光)染色。
术后磁共振增强可见肿瘤增强区域全切(图4)。查体仍有左侧鼻唇沟变浅,无新增神经功能障碍。
![]()
图4. 术后第2天复查头部增强磁共振,显示肿瘤增强部分全切。
病理报告
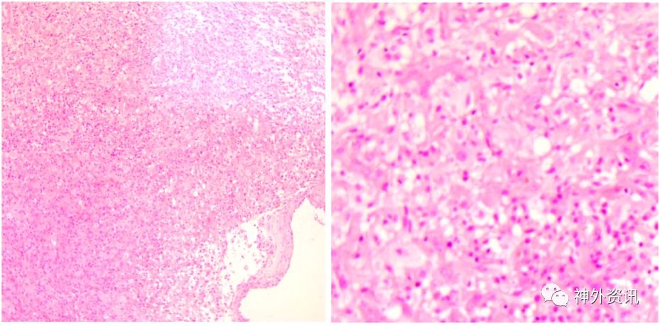
术后常规病理报告:(右额颞)胶质母细胞瘤,IDH野生型,WHO IV 级(图5)。
![]()
图5. 石蜡切片HE染色,提示胶质母细胞瘤。
免疫组化结果:PTEN +,GFAP +,Ki-67 30%,NF -,NSE +,P53 散在+,MGMT +,Olig2 散在+,ATRX +,BRAF-V600E -,H3K27M -,IDH1 -,S-100 -。
分子病理结果:
概述:
突变负荷(TMB):56
微卫星不稳定(MSI):0.13%
染色体拷贝数变异(CNV):1.36%
胶质瘤诊断相关:
![]()
关键驱动基因:
![]()
MDT讨论
本例患者为伴有EGFR扩增的胶质母细胞瘤,IDH野生型患者,分子病理提示MGMT启动子非甲基化,表明可能对目前一线治疗药物——替莫唑胺不敏感,患者具有EGFR扩增,临床试验并未证明抗EGFR治疗使胶质母细胞瘤可使患者获益,建议患者首选同步放化疗60Gy/30Fx+替莫唑胺75mg/m2,然后加用替莫唑胺150-200mg/m2 6-12周期。
术后2.5个月(图5)可见术腔异常增强病灶,经MDT门诊讨论,认为放疗过程中或者放疗刚结束的增强病灶通常考虑假性进展,建议继续服用替莫唑胺。每3个月影像学随访,术后6个月增强病灶增大,此后增大不明显(图5)。
![]()
图5. 术后序贯磁共振影像:术后2.5个月,在手术区域出现增强结节,术后6个月增强部分增大,术后9.6个月进一步增大。
术后9.6个月加做灌注成像和Flair增强(图6)
![]()
图6. 术后9.6个月的磁共振灌注影像和Flair增强,显示增强病灶具有升高的血流量和血容量,Flair增强较T1增强略弱。
再次MDT讨论
鉴于肿瘤血流速度和血容量高于正常,Flair序列增强强度低于T1增强。诊断考虑肿瘤复发。
考虑患者对TMZ不敏感,同分子病理结果吻合,建议停用TMZ。目前EGFR拮抗剂靶向药物在胶质瘤临床试验中效果不满意,经患者和家属考虑,参加琥珀酸依吡替尼药物临床试验,目前患者处于筛选期。
讨论
胶质母细胞瘤的初始治疗
目前认为:胶质母细胞瘤并非一种单一的疾病,而是一类具有类似的影像学表现以及病理特征,但是具有遗传学异质性的恶性肿瘤。根据2016版WHO中枢神经系统肿瘤分类,胶质母细胞瘤可以分为IDH突变型和IDH野生型两大类。IDH野生型预后较IDH突变型差,通常具有EGFR信号转导途径的异常,本病例为IDH野生型胶质母细胞瘤。
目前胶质母细胞瘤的标准治疗手段不多,对于年龄不超过65岁,KPS不小于60分的患者,初始治疗首选Stupp方案[1]或类似方案,每3个月影像学随访一次。
磁共振灌注和Flair增强是单次影像判断假性进展和肿瘤复发的推荐方法
胶质母细胞瘤在随访过程中往往会出现假性进展,即出现异常的强化病灶,有时有占位效应。但此增强病灶会自行消退,如果做病理检查,往往提示炎症反应[2]。
通常认为,在放疗过程中或者刚刚结束时候发生的异常增强病灶,通常认为都是治疗的反应。[3]本例是一个例外,术后2.5个月就出现异常强化病灶,但并非假性进展,因为患者对放疗和替莫唑胺非常不敏感。假性进展往往是治疗敏感的表现,因此对于替莫唑胺不敏感的病例(主要依据是MGMT启动子非甲基化),早期出现强化病灶诊断为假性进展要非常慎重。
判断胶质母细胞瘤假性进展的手段尚没有单次检查的金标准。多次磁共振检查中,通常假性进展在数个月时间之内,病灶会变小。但是我们也见过1年之后假性进展慢慢消退的病例。
鉴别间变假性进展与肿瘤复发的单次检查目前首选磁共振灌注成像[4]。但是并非所有医院都有条件做磁共振灌注检查。我们推荐做“液体衰减反转恢复(flair)”序列的增强检测,是一种简便易行的检查。通常肿瘤复发病灶的flair增强低于或等于T1增强的信号,而假性进展病灶的flair增强后信号通常超过T1增强序列[5]。(图7)
![]()
图7. 本患者Flair增强和T1增强的对比,可见Flair增强弱于T1增强,提示此病灶为肿瘤复发。
因此建议任何首次疑似复发的病例做flair增强和/或磁共振灌注成像。
EGFR在胶质母细胞瘤预后判断和治疗选择中的作用
EGFR是IDH野生型胶质母细胞瘤中常见的分子病理改变。
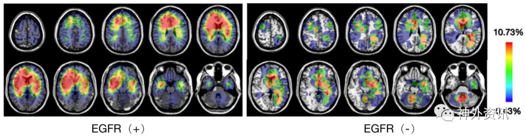
我院2012-2017年胶质母细胞瘤中,用免疫组化方法区分EGFR阳性与EGFR阴性的病例,在肿瘤位置分布上有明显的差别,分布在后颅凹第四脑室周围的胶质母细胞瘤,几乎均为EGFR免疫组化阴性(图8)
![]()
图8. EGFR免疫组化阳性与阴性胶质母细胞瘤的位置分布差异。红色体素表示肿瘤出现的频率高,蓝色体素标识肿瘤出现的频率低。(浙医二院未发表资料)
在胶质母细胞瘤肿瘤,常见的EGFR改变有两种:一种是野生型的扩增,一种是突变体EGFRvIII的形成,另有一部分患者未表现出EGFR的异常。这三组病例中,其中位生存期没有显著性差别,但是EGFR扩增或者EGFRvIII形成的病例中,几乎没有长期生存的病例[6](图9)。
![]()
图9. EGFR扩增(灰色虚线),vIII突变体形成(点虚线)和无改变(实线)的患者的生存曲线,可见其中位生存期没有显著性差别,但是EGFR扩增或者EGFRvIII形成的病例中,几乎没有长期生存的病例。自参考文献6。
但是在蛋白质表达水平,EGFR的过表达则对应着明显的生存期的缩短(图10)[7]。
![]()
图10. EGFR高表达(虚线)的胶质母细胞瘤患者的中位生存期短于无高表达(实线)的患者。自参考文献7。
抗EGFR治疗,即酪氨酸激酶抑制剂(TKI),在肺癌的靶向治疗中,已经有非常大的进展,但是在胶质母细胞瘤的临床试验中,TKI大多数是失败的,可能是因为血脑屏障存在的缘故。本例患者选择的依吡替尼,是一种可以通过血脑屏障的TKI类药物。目前尚在IB-II期临床试验中。
参考文献
1. Stupp R , Mason W P , Van d B M J , et al. Radiotherapy plus concomitant and adjuvant temozolomide for glioblastoma.[J]. Clinical Medicine Insights Oncology, 2005, 9(3):196-197
2. Gahramanov S, Muldoon L L, Varallyay C G, et al. Pseudoprogression of Glioblastoma after Chemo- and Radiation Therapy: Diagnosis by Using Dynamic Susceptibility-weighted Contrast-enhanced Perfusion MR Imaging with Ferumoxytol versus Gadoteridol and Correlation with Survival[J]. Radiology, 2013, 266(3):842-852
3. Shirakawa Y, Yoshiura T, Hiwatashi A, et al. Pseudoprogression following concurrent temozolomide and radiotherapy in a patient with glioblastoma: findings on functional imaging techniques[J]. Fukuoka Igaku Zasshi, 2010, 101(12):257-264.
4. Young R J, Gupta A, Shah A D, et al. MRI perfusion in determining pseudoprogression in patients with glioblastoma[J]. Clinical Imaging, 2013, 37(1):41-49.
5. Perry L A , Korfiatis P , Agrawal J P , et al. Increased signal intensity within glioblastoma resection cavities on fluid-attenuated inversion recovery imaging to detect early progressive disease in patients receiving radiotherapy with concomitant temozolomide therapy[J]. Neuroradiology, 2018, 60(1):35-42.
6. Heimberger A B , Hlatky R , Suki D , et al. Prognostic effect of epidermal growth factor receptor and EGFRvIII in glioblastoma multiforme patients.[J]. Clinical Cancer Research An Official Journal of the American Association for Cancer Research, 2005, 11(4):1462-6.
7. Chakravarti A , Delaney M A , Noll E , et al. Prognostic and pathologic significance of quantitative protein expression profiling in human gliomas[J]. Clinical Cancer Research An Official Journal of the American Association for Cancer Research, 2001, 7(8):2387-95
(本文由浙二神外频道原创,浙江大学医学院附属第二医院神经外科孙崇然副主任医师整理并审校,张建民主任终审)
往期回顾
浙二神外周刊(第一百七十期)误诊为脑脓肿的成人小脑髓母细胞瘤一例
浙二神外周刊(第一百六十七期)含有鳞状分化上皮成分的垂体腺瘤一例
浙二神外周刊(第一百六十五期)原发性IDH突变型胶质肉瘤一例
浙二神外周刊(第一百六十四期)侧裂深部不典型脑膜瘤一例
浙二神外周刊(第一百六十三期)脊顽固复发性慢性硬膜下血肿一例
浙二神外周刊(第一百六十期)儿童鞍区生殖细胞瘤一例
浙二神外周刊(第一百五十九期)小脑脂肪神经细胞瘤一例
浙二神外周刊(第一百五十八期)眼外伤手术后重水迁移入脑室蛛网膜下腔一例
浙二神外周刊(第一百五十七期)重型颅脑损伤术后诱发应激性心肌病一例
浙二神外周刊(第一百五十五期)源于嗅神经的毛细胞星形细胞瘤一例
浙二神外周刊(第一百五十三期)不典型脑膜瘤一例
浙二神外周刊(第一百五十二期)无症状颅内巨大海绵状血管瘤一例
浙二神外周刊(一百五十一期)佳作赏析|柳夫义医师获中国医师协会“神外手术视频展播秀”新锐组最佳人气奖
浙二神外周刊(一百五十)--左侧额颞岛叶弥漫性胶质瘤一例(2018华东胶质瘤MDT病例四)
浙二神外周刊(一百四十九)--节细胞胶质瘤一例(2018华东胶质瘤MDT病例三)
浙二神外周刊(一百四十八)--上皮样胶质母细胞瘤一例(2018华东胶质瘤MDT病例二)
浙二神外周刊(一百四十七)--历经三年浙沪接力诊疗的疑难复杂病例一例
浙二神外周刊(一百四十六)--多技术应用切除优势半球岛叶胶质瘤一例
浙二神外周刊(一百四十四)--佳作赏析丨洪远主任获2018全国青年医师”齐柏林杯“神经内镜手术视频大赛特等奖
浙二神外周刊(一百四十三)--研究进展 | 脑胶质瘤MRI浸润征象与预后
浙二神外周刊(一百四十二)--“2018西湖神经外科论坛”成功召开
浙二神外周刊(一百四十)--颅内多发粘液性动脉瘤一例
浙二神外周刊(一百三十九)--创伤性脑膜中动脉假性动脉瘤一例
浙二神外周刊(一百三十八)--侧脑室三角区肿瘤术后孤立颞角综合征一例
浙二神外周刊(一百三十七)--以出血为首发症状的多形性黄色星形细胞瘤一例
浙二神外周刊(一百三十六)--垂体ACTH细胞增生性库欣病一例
浙二神外周刊(一百三十四)--腰髓动静脉畸形出血导致颅内蛛网膜下腔出血一例
浙二神外周刊(一百三十三)--疑似鞍区海绵状血管瘤一例
浙二神外周刊(一百三十一)--以腰椎播散灶为首发症状的颅内室管膜瘤一例
浙二神外周刊(一百三十)--亚裔学生的美国神经外科医师成长之路(来自UCLA华裔学生的经历分享)
浙二神外周刊(一百二十九)--开颅术后继发硬脑膜动静脉瘘一例
浙二神外周刊(一百二十八)--sternberg管未闭脑膜脑膨出致脑脊液鼻漏一例
浙二神外周刊(一百二十七)--中药皂角刺致颅内脊索瘤术后残余肿瘤萎陷?
浙二神外周刊(一百二十六)--利用复合手术室多学科合作处理头部刀刺伤一例
浙二神外周刊(一百二十五)--经静脉入路栓塞深部脑动静脉畸形一例
浙二神外周刊(一百二十四)--颅咽管瘤术后并发尾状核、壳核脱髓鞘1例
浙二神外周刊(一百二十三)--库欣病合并全身多发占位性病变一例
浙二神外周刊(一百二十二)--经皮脊柱内镜手术切除腰椎巨大滑膜囊肿一例
浙二神外周刊(一百二十一)--孤立性室管膜下巨细胞星形细胞瘤一例
浙二神外周刊(一百二十)--伴有ALK融合基因的颅内转移性肺神经内分泌癌一例
浙二神外周刊(一百一十九)--静脉入路栓塞舌下神经管区硬脑膜动静脉瘘一例
浙二神外周刊(一百一十八)--儿童中央区病灶致顽固性癫痫外科手术一例
浙二神外周刊(一百一十七)--丙戊酸钠相关高血氨脑病一例
浙二神外周刊(一百一十六)--儿童眶尖-海绵窦-颞下窝病变一例
浙二神外周刊(一百一十四)--高血压性脑干出血治疗--浙二的观点
浙二神外周刊(一百一十三)--“复合高压锅技术”治疗横窦区硬脑膜动静脉瘘一例
浙二神外周刊(一百一一十二)--应用新型动脉瘤内栓塞装置(WEB)栓塞前交通未破裂动脉瘤一例
浙二神外周刊(一百一十一)--儿童四脑室室管膜瘤术后并发胃瘫综合征一例
浙二神外周刊(一百零八)--新发现AIP基因突变位点的家族性单纯性GH瘤家系一例
浙二神外周刊(一百零七)--自发性低颅压致双侧硬膜下血肿一例
浙二神外周刊(一百零六)--张建民教授牵头国家重点研发计划:“基于脑机接口的脑血管病主动康复技术研究及应用”正式启动
浙二神外周刊(一百零五)--颅骨板障表皮样囊肿合并慢性硬膜外血肿一例
浙二神外周刊(一百零四)--内镜辅助显微手术半椎板入路切除儿童颈髓腹侧肠源性囊肿一例
浙二神外周刊(一百零三)--颅骨缺损修补术后并发急性脑肿胀一例
浙二神外周刊(一百零一)--胶质瘤的病理特征与位置分布的关系
浙二神外周刊(九十九)--垂体生长激素腺瘤卒中伴发脑梗塞一例
浙二神外周刊(九十六)--桥小脑角脑膜瘤伽马刀后并发PICA血栓性动脉瘤一例
浙二神外周刊(九十四)--颅内表皮样囊肿自发破裂伴血清CA-199显著升高一例
浙二神外周刊(九十二)--鞍上毛细胞黏液样星形细胞瘤伴自发性出血一例
浙二神外周刊(九十一)--2017西湖神经外科论坛成功召开!
浙二神外周刊(九十)--以尿崩症为首发表现的Erdheim-Chester病一例并文献复习
浙二神外周刊(三十七)--垂体瘤伴发鞍结...
浙二神外周刊(三十六)--脑膜血管瘤病...




