今天为大家分享的是由浙江省中医院陈成伟医师翻译,王小峰医师审校:迷走神经副神经节瘤的影像学特征,欢迎观看、阅读!
![]()
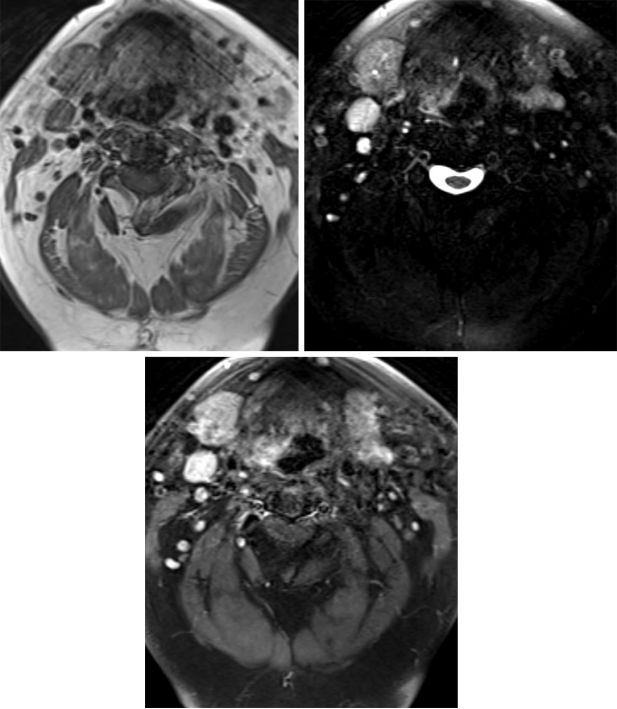
图1:T1加权(左上)提示随颈动脉间隙走行的迷走神经存在一个低信号的占位病变,这种损伤很容易被误诊为淋巴结。与其他副交感神经节瘤相同,这些损伤在T2加权相显示为典型的“椒盐征”,即混杂的血管流空高信号(右上),并且在T1增强加权相表现为持续增强。
基本描述
良性,高血运神经内分泌肿瘤起源于神经嵴细胞
比颈动脉体瘤及颈静脉球瘤少见
病理学
起源于第X对颅神经的神经节球体
包含了来源于神经嵴的化学感受器细胞
血供来源于咽升动脉
家族遗传或散发病例
与NF-1、MEN-2、Von Hippel–Lindau综合征及多副神经节瘤综合征密切联系
甲状腺髓样癌、肾上腺嗜铬细胞瘤、多副神经节瘤、肾脏及胰腺肿瘤
纤维肌性基质中出现细胞球是显微病理特征
电子显微镜下可以观察都神经分泌颗粒
临床表现
好发于中年(40-50岁);若是年轻患者,则需考虑家族性
好发于女性
常见的症状
搏动、无痛的颈部肿块
第IX-XII对颅神经病变(第X对颅神经最常见);声带麻痹,嘶哑
治疗:手术切除VS观察;术后可能出现第X颅神经功能缺失(声带麻痹)
如果是双侧病变,只能够切除一侧病变
预后:必须权衡风险与手术获益,进展性第X颅神经病变若未获治疗;少数可出现恶变
影像学特征
一般表现
鼻咽部 / 颈静脉孔下方约2cm处的舌骨上颈动脉间隙存在分叶状、增强性占位病变
占据了颈内动脉的前内侧、颈外动脉的后外侧以及咽旁脂肪的前外侧
颈内动脉及颈内静脉无向外伸展;若存在向外伸展则意味着颈动脉体副神经节瘤
单发或多发
大小不一
右侧多于左侧
“椒盐征”为MRI特征性表现
T1高信号“盐”是由于亚急性出血,低信号的“椒”是由于动脉血管流空现象(在大肿瘤中更常见)
有或无颅底邻近浸润性破坏
CT
肿块质软界清,主要集中于颈静脉孔下方约2cm处的舌骨上颈动脉间隙
CT增强效应明显
有或无骨性浸润性变化
MRI
T1加权相:呈不均一信号,可伴有亚急性出血的高信号区域(“盐”),这是一种不常见的表现,存在低信号的血管流空现象(“椒”)
T2加权相:呈不均一高信号, 低信号的血管流空现象
T1增强加权相:早期增强明显
MRA: 颈内动脉向前内侧移位
影像学建议
颅底至颈动脉分叉处MRI平扫或增强;可行CT评估相邻组织的骨性变化
评估多发性肿瘤
对家族性迷走神经副神经节瘤则需留意有无其他肿瘤
编译:陈成伟
审校:王小峰
Contributor: Rachel Seltman, MD
DOI: https://doi.org/10.18791/nsatlas.v1.ch02.1.32
中文版链接:
https://www.medtion.com/atlas/5137.jspx
参考文献
Eriksen C, et al. Vagal paragangliomas: a report of nine cases. Am J Otolaryngol. 1991;12:278-287.
Mafee MF, et al. Glomus faciale, glomus jugulare, glomus tympanicum, glomus vagale, carotid body tumors, and simulating lesions. Role of MR imaging. Radiol Clin North Am. 2000;38:1059-1076.
Muhm M, et al. Diagnostic and therapeutic approaches to carotid body tumors. Review of 24 patients. Arch Surg. 1997;132:279-284.
Netterville JL, et al. Vagal paraganglioma: a review of 46 patients treated during a 20-year period. Arch Otolaryngol Head Neck Surg. 1998;124:1133-1140.
Olsen WL, et al. MR imaging of paragangliomas. AJR Am J Roentgenol. 1987;148:201-204.
Osborn AG, Salzman KL, Jhaveri MD. Diagnostic Imaging (3rd ed). Philadelpha, PA: Elsevier, 2016.
Paal E: Head and neck pathology–radiology classics: vagal paraganglioma. Head Neck Path. 2007;1:35-37.
Rao AB, et al. From the archives of the AFIP. Paragangliomas of the head and neck: radiologic-pathologic correlation. Armed Forces Institute of Pathology. Radiographics. 1999;19:1605-1632.
相关链接





