【Ref: Jeon C , et al. J Clin Neurosci. 2017 Nov;45:227-231. doi: 10.1016/j.jocn.2017.07.012. Epub 2017 Jul 29.】
过去十几年,内镜下经鼻治疗颅底病变的技术不断发展。经鼻入路治疗颅底复杂病变的常见并发症是发生脑脊液漏。韩国首尔成均馆大学医学院内镜颅底手术部神经外科的Chi-Man Jeon 等研究内镜下经鼻治疗颅底肿瘤的术后脑脊液漏修补效果以及颅底修复失败的原因,结果发表在2017年7月的《J Clin Neurosci 》在线上。
该研究纳入2009年2月至2014年12月在作者单位收治的788例因颅底病变而行内镜下经鼻手术的患者。95例为非垂体性肿瘤者;其中38例采用多层无血管筋膜组织修补,57例应用筋膜结合带血管蒂鼻中隔黏膜瓣进行修补(图1)。
![]()
图1. A.多层无血管筋膜组织修补;B.带血管蒂鼻中隔黏膜瓣修补。
结果显示,95例患者年龄9-77岁,平均49岁。术后随访时间6-48月,平均10.7月。95例中,13例为涉及后颅窝的脊索瘤、42例颅咽管瘤和17例脑膜瘤。总体上,14例(14.7%)患者在术后发生脑脊液漏,发生的时间在术后1-66天,平均5.3天。修补失败的主要原因有:在采用多层无血管筋膜组织修补的患者中,因移植物的特性无法固定到临近的硬脑膜上;在采用带血管蒂鼻中隔黏膜瓣修补的患者中,可因黏膜瓣完整性的破坏或黏膜瓣长度不足所致;脑脊液压力和重力的作用导致黏膜瓣移位。分析修补失败的因素发现,男性患者脑脊液漏修补失败率较高。逻辑回归分析显示修补失败与年龄、性别、修复重建的方法以及原发肿瘤类型均无关系。
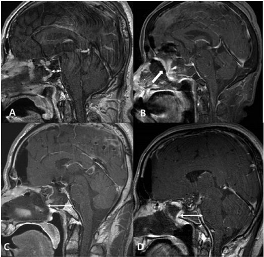
![]()
图2. 带血管蒂鼻中隔黏膜瓣修补失败的原因。A.黏膜瓣完整性破坏;B.黏膜瓣移位;C、D.黏膜瓣长度不足。
最后作者指出,内镜下经鼻入路的颅底修复仍然存在挑战,尤其是对需要进入蛛网膜下腔切除的非垂体性颅底肿瘤。同时,手术者需通过大量练习积累颅底重建技术的经验,以提高修复成功率。
(Tim编译,查定军审校,《神外资讯》主编、复旦大学附属华山医院陈衔城教授终审)
相关链接




