【Ref: Morotti A , et al. Stroke. 2018 May;49(5):1163-1169. doi: 10.1161/STROKEAHA.117.020138. Epub 2018 Apr 18.】
脑出血是神经外科常见的急诊疾病,1个月内病死率高达40%,大部分患者遗留严重的神经功能障碍。影响患者预后的因素中,血肿大小是关键。约半数脑出血患者初次出血后,血肿可能继续扩大。有效地预测血肿增大,进而干预,尤为重要。目前文献报道CTA的点征(spot sign)是脑出血血肿扩大(hematoma expansion,HE)的预测指标。然而,鉴于CTA的操作要求,即使在发达国家也有80%以上的患者无法在入院时做到CTA检查。于是,便有应用CT平扫影像(noncontrast computed tomography,NCCT)对脑出血血肿增大的研究。NCCT相应指标有,混合征、黑洞征、岛征和液平等。意大利帕维亚IRCCS Mondino基金会脑卒中单元的Andrea Morotti等在通过对多家医疗部门脑出血病例的分析,提出BAT评分法用于预测脑出血急性期血肿扩大的风险,结果发表于2018年5月《Stroke》杂志上。
作者在美国波士顿马萨诸塞州总医院344例脑出血患者的临床和影像学资料的基础上,制定用于预测脑出血急性期HE风险的BAT评分。然后,采用ATACH-II临床试验的344例患者和PREDICT临床试验的241例患者的临床和影像学数据,验证BAT评分的有效性。NCCT预测HE的指标,包括黑洞征、混合征、血肿形状、血肿密度和液平。血肿扩大指血肿体积增加6mL或增大33%。研究者首先采用引导程序(bootstrap)法建立模拟样本;从中选取预测指标,进一步应用多变量逻辑回归(multivariable logistic regression)法验证预测指标的有效性,制定评分标准。
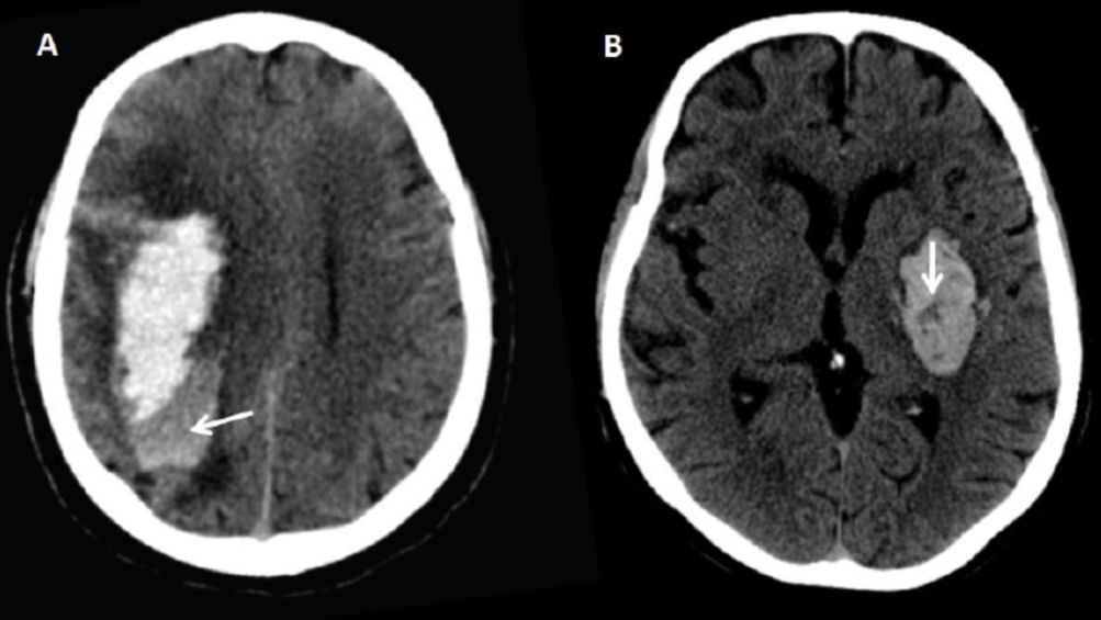
研究结果发现,混合征(blend sign)(OR=3.09;95% CI,1.49-6.40;P=0.002)、黑洞征(intrahematoma Hypodensity)(OR=4.54;95% CI,2.44-8.43;P<0.0001)和发病到NCCT的时间<2.5小时(OR=3.73;95% CI,1.86-7.51;P=0.0002)是预测脑出血后HE的独立危险因素。基于以上指标,作者提出BAT评分,即5分计分法(图1、表1)。
![]()
图 1. A.CT平扫示脑出血的混合征表现(箭头所示部位);混合征指血肿中出现既相邻又有清楚分界的高低密度区,密度相差至少18HU,低密度区不被高密度区包裹。B.CT平扫示脑出血的黑洞征表现(箭头所示部位);黑洞症指在血肿高密度区内边界清楚的低密度灶,其 CT值至少比周围的血肿区小28HU。
表1. 来自NCCT的 BAT评分表。
![]()
总分为5分。
应用c statistic法对单中心的344例脑出血患者BAT评分有效性进行评估,c statistic值为0.77(95% CI,0.70–0.83);对2项临床试验的验证患者BAT评分有效性评估,c statistic值分别为0.65(95% CI,0.61–0.68)和0.70(95% CI,0.64–0.77),说明BAT评分法具有临床应用价值。BAT评分>3分时,其预测脑出血血肿扩大的敏感性和特异性分别为0.50和0.89。
作者认为,该BAT评分对于脑出血后血肿扩大的预测具有良好的敏感性和特异性。采用CT平扫判断脑出血血肿扩大,既有效又简单便捷。
(哈尔滨医科大学附属第一医院神经外科吴培编译,复旦大学附属华山医院王知秋教授审校,《神外资讯》主编、复旦大学附属华山医院陈衔城教授终审)
相关链接




