提示
“浙二神外周刊”不定期接收外院投稿,审核后发表。欢迎各专业同道联系我们,分享精彩病例、研究热点或前沿资讯。投稿请联系:shishi74@163.com
病史简介
患者,男性,42岁,因“牙龈感染伴发热1月,头痛半月”于2018-09-07入院。
患者1月前无明显诱因下发现牙龈小脓肿,自行将脓肿挤破后当天出现发热,最高体温38.8℃,持续3天后自行消退。半月前出现头部胀痛,无恶心呕吐,无发热畏寒,无肢体抽搐,就诊于当地医院,查头颅MRI提示:右侧小脑半球多囊占位性病变,为求进一步诊治来我院。
入院查体:
生命体征平稳,无发热,神经系统查体:颈抵抗(-),Kernig征(-),Brudzinski征(-),眼球震颤(-),肌张力正常,双手轮替(-),闭目难立征(-)直线行走(+)。余神经系统查体亦未见明显异常。
诊疗经过
入院后血常规:
白细胞:6.6 X 10^9/L, 中性粒细胞百分比 45.9 %,淋巴细胞百分比 45.0%,C-反应蛋白 4.6 mg/L。行腰椎穿刺:脑脊液压力:145cmH2O,脑脊液澄清透明,有核细胞计数 5 /μL,红细胞计数 15.00 /μL,葡萄糖 4.28 mmol/L,蛋白质 57.90 mg/dL,氯 127.8 mmol/L,培养未见细菌、真菌生长。
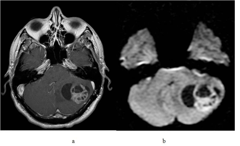
查头颅MRI示:
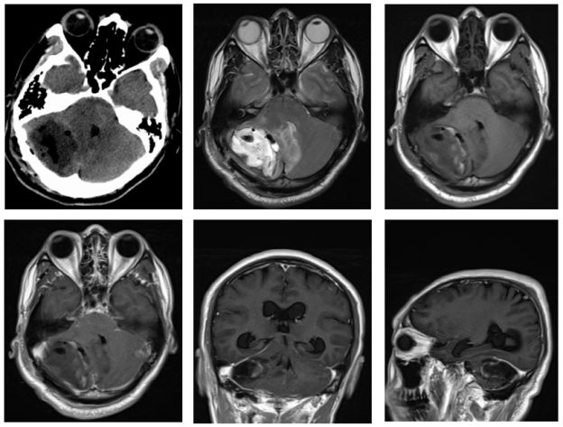
右侧小脑半球见团片状不均匀长T1长T2信号影,DWI局部高信号,增强扫描可见不均匀环形强化,病灶边界欠清,范围约为48mmX19mm,周围可见水肿带(图1)。影像学诊断:首先考虑感染性病变伴脑脓肿形成,肿瘤不能排除。MRS检查示:NAA明显下降,Cho峰升高,Cho/NAA比值增高。Cr峰降低,宽大LL峰出现,诊断考虑病变坏死明显,梗塞局部软化或脓肿(如寄生虫感染)可能,不支持脑肿瘤诊断(图2)。
![]()
图1. 右侧小脑半球见团片状不均匀长T1长T2信号影,DWI局部高信号,增强扫描可见不均匀环形强化,病灶边界欠清,范围为48mmX19mm,周围可见水肿带。
![]()
![]()
图2. MRS中ROI 19区提示:NAA明显下降,Cho峰升高,Cho/NAA比值增高。Cr峰降低,宽大LL峰出现,诊断考虑病变坏死明显,梗塞局部软化或脓肿(如寄生虫感染)可能。
结合患者1月前的挤牙龈脓肿伴发热病史、头颅DWI上局部弥散表现及MRS信号峰分布,右侧小脑占位感染性病变可能性大。但因当时患者体温正常、脑脊液未提示明显感染征象,因此肿瘤性病变不能排除。经科室讨论,考虑感染性病变可能性大,与家属沟通后,决定先予经验性抗感染治疗,糖肽类抗生素+广谱碳青霉烯类抗生素足量联用,观察效果。治疗期间,患者家属携相关病案资料至上海华山医院专家门诊就诊,同样诊断:右侧小脑病灶考虑感染可能性大;治疗:建议抗生素治疗,并定期复查。
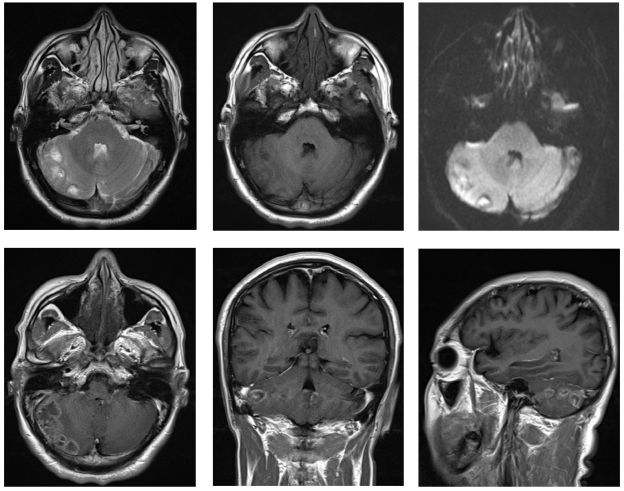
经抗感染治疗10天后,再次行腰穿检查,压力:120cmH2O,脑脊液澄清透明,有核细胞计数 2 /μL,红细胞计数 0.00 /μL,葡萄糖 4.04 mmol/L,蛋白质 41.50 mg/dL,氯 128.3 mmol/L,培养未见细菌、真菌生长。脑脊液寄生虫抗体检测亦未见明显异常。复查头颅MRI示:图3右侧小脑半球见团片状不均匀长T1长T2信号影,DWI呈高信号,增强扫描可见不均匀环形强化,病灶边界欠清,范围约为48mmX19mm,周围可见水肿带(图3)。诊断考虑:感染性病变伴脑脓肿形成,对照前片病灶液化、水肿略增加。
![]()
图3. 右侧小脑半球见团片状不均匀长T1长T2信号影,DWI呈高信号,增强扫描可见不均匀环形强化,病灶边界欠清,范围约为48mmX19mm,周围可见水肿带,对照前片病灶液化、水肿略增加。
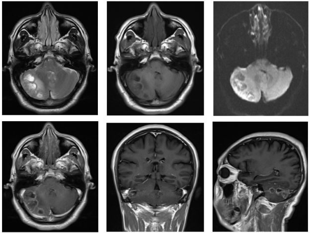
继续抗感染治疗10天,复查头颅MRI提示右侧小脑占位病灶较前增大(图4),提示抗生素对病灶无明显疗效,且血象、CRP、脑脊液相关检查均不支持感染性病变,倾向考虑肿瘤性质病变可能大。排除手术禁忌后,在全麻下行右侧小脑半球病变切除术,术中见病灶为肿瘤,位于右侧小脑半球,色红,质地软,与周围脑组织分界不清,血供丰富,中间伴囊性变,囊液清,呈浅黄色。取少量肿瘤组织(图5),送冰冻提示:小细胞恶性肿瘤,髓母细胞瘤可能。肿瘤予显微镜下全切。术后患者恢复良好,复查头颅MRI提示肿瘤全切(图6),术后一周顺利出院,至放化疗科进一步治疗。
![]()
图4. 小脑半球见团片状不均匀长T1长T2信号影,增强扫描可见环形强化,DWI病灶周边轻度受限,周围可见水肿带,占位效应可见,四脑室受压。
![]()
![]()
图5. 术中见肿瘤位于右侧小脑半球,色红,质地软,与周围脑组织分界不清,血供丰富,中间伴囊性变,囊液清,呈浅黄色。
![]()
图6. CT提示右侧小脑半球病变切除术后,局部颅骨呈术后改变,术区肿胀、积血、积气,第四脑室稍受压。MRI提示右侧小脑半球见片状T1WI低信号,T2WI高信号影,内信号不均匀,增强后未见明显强化,周围有明显水肿。
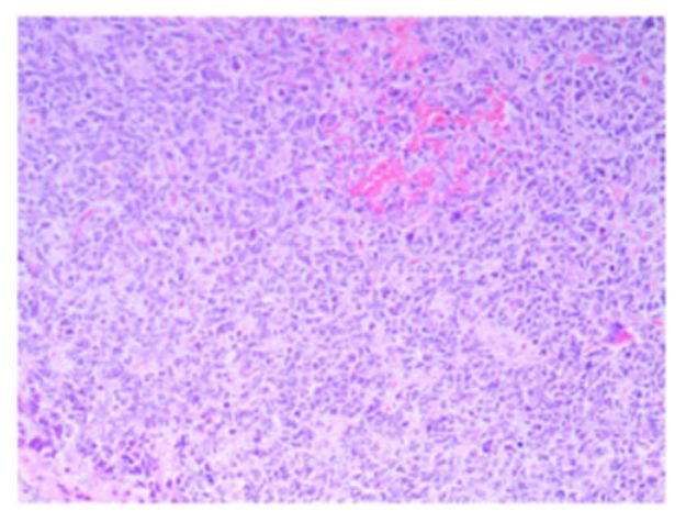
病理结果
常规病理结果为右侧小脑恶性肿瘤伴坏死,结合免疫组化,考虑成人型髓母细胞瘤(图7)。免疫组化结果:CK(AE1/AE3)-,Vimentin – ,CD99 - ,NSE +,Syn 部分+,CgA -,C···D56 +,TTF-1 -,Ki-67 60%+,GFAP +,CD34 -,CD31 -,S-100 -,Bcl-2 -,Calcitonin -。
![]()
图7. 病理结果为右侧小脑恶性肿瘤伴坏死,结合免疫组化,考虑成人型髓母细胞瘤。
讨论
髓母细胞瘤属于原始神经外胚瘤,是儿童时期常见的后颅窝恶性肿瘤,约占儿童期所有中枢神经系统肿瘤的10%,发病高峰在5-9岁,男女发病比例约为1.7:1。成人型髓母细胞瘤较为少见,尤其是大于40岁后发病的更为罕见。 髓母细胞瘤主要分为四大亚型:即WNT、SHH、Group3和Group4,分型与患者的预后密切相关[1]。主要的治疗方案为手术切除加术后放化疗[2]。
诊断
髓母细胞瘤的诊断主要依靠临床表现(颅高压症状、小脑症状、颅神经症状)和辅助检查。头颅MRI是诊断髓母细胞瘤重要的辅助检查方法。儿童的髓母细胞瘤大多起源于髓帆生殖中心的胚胎残余细胞,因此肿瘤常位于小脑蚓部,多为圆形实质性肿块,边界清,可见偏心性多发性囊变或坏死。而成人髓母细胞瘤被认为起源于一侧小脑半球的外颗粒层,因此常可发生于小脑半球,肿瘤多靠近小脑表面,内侧可见多发性小囊变、坏死和瘤旁水肿。大多数髓母细胞瘤在T1加权像上呈等信号或低信号,T2加权像上为混杂信号[3]。钆对比增强后,90%病灶呈现不均匀强化,另可存在坏死、出血或囊性变区域[4](图8a)。
由于第四脑室水平发生梗阻,可能出现脑积水。当出现脑膜播散时,在脑室内、脑部表面或椎管内,MRI可观察到明显的结节样强化或线样强化。目前,还有更多的磁共振成像技术如弥散加权成像(DWI)和氢质子磁共振波谱成像(1H-MRS)来辅助髓母细胞瘤的诊断。髓母细胞组织学特征为由细胞核大、细胞质稀少、核质比高的小圆细胞构成,排列紧密,细胞外间隙的体积小,限制了组织内水分子的弥散,因此在DWI上表现为高信号[5](图8b)。
在1H-MRS上高胆碱(Cho)峰、低N-乙酰天冬氨酸(NAA)峰与肿瘤侵袭性密切相关。研究表明髓母细胞瘤在MRS会表现为Cho峰、Cho/肌酸(Cr)比值及Cho/NAA比值显著升高,NAA峰明显降低,并且髓母细胞瘤Cho峰明显高于其他后颅窝肿瘤[6](图9)。同时在MRS中选择短TE(20ms)的激励回波成像,可检测到所有髓母细胞瘤均出现了牛磺酸(Tau)峰,其共振峰位于3.3ppm,认为Tau是髓母细胞瘤特异性的生物标记物[6]。
![]()
图8. a.髓母细胞瘤在增强像上呈现不均匀强化,b.髓母细胞瘤在DWI上表现为肿瘤本身弥散受限,囊腔不受限。[7]
![]()
图9. 髓母细胞瘤在MRS表现为Cho峰、Cho/肌酸(Cr)比值及Cho/NAA比值显著升高,NAA峰明显降低 [8]
鉴别诊断
该病例病灶呈现多囊性,与脑脓肿极为相似。脓肿可伴有前驱病史或发热等临床症状,T1WI上脓腔和其周围水肿为低信号,T2WI上脓腔和其周围水肿为高信号,脓肿壁为等或低信号,增强后脓肿壁显著强化,表现为完整、薄壁、厚度均一的环形强化,脓腔不强化,多发脓肿可见“子环征”。DWI提示弥散受限。囊性髓母细胞瘤常为多囊,肿瘤本身在DWI上弥散受限,而分泌的浆液弥散常不受限或轻度受限。
当然,与髓母细胞瘤需要鉴别的病变还包括常见的颅后窝肿瘤及转移瘤等:
(1)毛细胞型星形细胞瘤:通常为伴有壁结节的囊性结构或者伴有环状厚壁强化的中央坏死结构;如果髓母细胞瘤中存在囊性变,通常为多发、小囊样改变。
(2)室管膜瘤通常与脑室相关,可充满第四脑室,并通过中间孔向下延伸或通过外侧孔向外延伸。髓母细胞瘤向孔外延伸的情况较少见。
(3)非典型畸胎样/横纹肌样瘤(atypical teratoid/rhabdoid tumor, ATRT):ATRT与髓母细胞瘤有相似的MRI表现。与髓母细胞瘤相比,ATRT更有可能累及两侧的小脑半球或桥小脑角,并伴有瘤内出血。
(4)转移瘤:成人髓母细胞瘤需要与转移瘤相鉴别,发现原发灶可进行相应鉴别。
经验教训
成人型髓母细胞瘤较为少见,其影像学特征也较为多变,临床上常会导致术前诊断偏差,但结合临床症状并合理解读DWI、MRS、脑脊液检查,可将该偏差大大缩小。查阅文献发现有瘤形脑脓肿误诊为髓母细胞瘤的病例[9],但未发现原发髓母细胞瘤误诊为脑脓肿的案例。
回顾本案例,初次误判为脑脓肿的主要原因为:
①成人,一个月前有前驱感染史
②MRI片显像与脑脓肿相似,DWI局部弥散受限
③MRS信号峰分布与感染性病变信号峰分布相符合,不符合肿瘤信号峰分布。
如能进一步综合分析,仍有一些与脑脓肿不相符合之处:
①患者虽然有前驱感染史,但在最近半个月的头痛病程中并无发热现象,更符合单纯的颅高压症状;
②仔细观察DWI图像,可以发现局部弥散受限的主要集中在囊外区域(肿瘤本身),三个囊腔病灶中只有后方一个有弥散受限,与脓肿特点不完全符合。
③MRS支持感染性病变,可能与肿瘤明显坏死及较大范围囊性变有关。相反,磁共振成像上T1低信号、T2高信号、增强后囊壁强化不均匀、多囊,且肿瘤本身弥散受限的征象更符合髓母细胞瘤的表现,
④患者无发热、血象、脑脊液检测均正常,也不支持脑脓肿的诊断。因此,神经外科医生今后在面对成人小脑囊实性病变时,应警惕髓母细胞瘤的可能,结合病史,对影像检查结果进行谨慎解读。
参考文献
[1] Millard NE, De Braganca KC. Medulloblastoma. J Child Neurol. 2016 Oct;31(12):1341-53.
[2] Northcott PA, Korshunov A, Witt H.Medulloblastoma comprises four distinct molecular variants. J Clin Oncol. 2011;29(11):1408. Epub 2010 Sep 7.
[3] Poretti A, Meoded A, Huisman TA. Neuroimaging of pediatric posterior fossa tumors including review of the literature. J Magn Reson Imaging. 2012 Jan;35(1):32-47. Epub 2011 Oct 11.
[4] Bourgouin PM, Tampieri D, Grahovac SZ. et al. CT and MR imaging findings in adults with cerebellar medulloblastoma: comparison with findings in children. AJR Am J Roentgenol. 1992;159(3):609.
[5] Bull JG, Saunders DE, Clark CA.Discrimination of paediatric brain tumours using apparent diffusion coefficient histograms. Eur Radiol. 2012 Feb;22(2):447-57.
[6] Brandão LA, Shiroishi MS, Law M. Brain tumors: a multimodality approach with diffusion-weighted imaging, diffusion tensor imaging, magnetic resonance spectroscopy, dynamic susceptibility contrast and dynamic contrast-enhanced magnetic resonance imaging. Magn Reson Imaging Clin N Am. 2013 May;21(2):199-239.
[7]https://radiopaedia.org/cases/medulloblastoma-adult
[8] https://radiopaedia.org/cases/medulloblastoma-43
[9] 张静华. 瘤形脑脓肿10例误诊分析. 山东医药. 2012年第42卷第7期P.66
(本文由浙二神外周刊原创,浙江大学医学院附属第二医院神经外科俞晓波住院医师整理,王俊兴主任医师审校,张建民主任整理)
往期回顾
浙二神外周刊(第一百六十七期)含有鳞状分化上皮成分的垂体腺瘤一例
浙二神外周刊(第一百六十五期)原发性IDH突变型胶质肉瘤一例
浙二神外周刊(第一百六十四期)侧裂深部不典型脑膜瘤一例
浙二神外周刊(第一百六十三期)脊顽固复发性慢性硬膜下血肿一例
浙二神外周刊(第一百六十期)儿童鞍区生殖细胞瘤一例
浙二神外周刊(第一百五十九期)小脑脂肪神经细胞瘤一例
浙二神外周刊(第一百五十八期)眼外伤手术后重水迁移入脑室蛛网膜下腔一例
浙二神外周刊(第一百五十七期)重型颅脑损伤术后诱发应激性心肌病一例
浙二神外周刊(第一百五十五期)源于嗅神经的毛细胞星形细胞瘤一例
浙二神外周刊(第一百五十三期)不典型脑膜瘤一例
浙二神外周刊(第一百五十二期)无症状颅内巨大海绵状血管瘤一例
浙二神外周刊(一百五十一期)佳作赏析|柳夫义医师获中国医师协会“神外手术视频展播秀”新锐组最佳人气奖
浙二神外周刊(一百五十)--左侧额颞岛叶弥漫性胶质瘤一例(2018华东胶质瘤MDT病例四)
浙二神外周刊(一百四十九)--节细胞胶质瘤一例(2018华东胶质瘤MDT病例三)
浙二神外周刊(一百四十八)--上皮样胶质母细胞瘤一例(2018华东胶质瘤MDT病例二)
浙二神外周刊(一百四十七)--历经三年浙沪接力诊疗的疑难复杂病例一例
浙二神外周刊(一百四十六)--多技术应用切除优势半球岛叶胶质瘤一例
浙二神外周刊(一百四十四)--佳作赏析丨洪远主任获2018全国青年医师”齐柏林杯“神经内镜手术视频大赛特等奖
浙二神外周刊(一百四十三)--研究进展 | 脑胶质瘤MRI浸润征象与预后
浙二神外周刊(一百四十二)--“2018西湖神经外科论坛”成功召开
浙二神外周刊(一百四十)--颅内多发粘液性动脉瘤一例
浙二神外周刊(一百三十九)--创伤性脑膜中动脉假性动脉瘤一例
浙二神外周刊(一百三十八)--侧脑室三角区肿瘤术后孤立颞角综合征一例
浙二神外周刊(一百三十七)--以出血为首发症状的多形性黄色星形细胞瘤一例
浙二神外周刊(一百三十六)--垂体ACTH细胞增生性库欣病一例
浙二神外周刊(一百三十四)--腰髓动静脉畸形出血导致颅内蛛网膜下腔出血一例
浙二神外周刊(一百三十三)--疑似鞍区海绵状血管瘤一例
浙二神外周刊(一百三十一)--以腰椎播散灶为首发症状的颅内室管膜瘤一例
浙二神外周刊(一百三十)--亚裔学生的美国神经外科医师成长之路(来自UCLA华裔学生的经历分享)
浙二神外周刊(一百二十九)--开颅术后继发硬脑膜动静脉瘘一例
浙二神外周刊(一百二十八)--sternberg管未闭脑膜脑膨出致脑脊液鼻漏一例
浙二神外周刊(一百二十七)--中药皂角刺致颅内脊索瘤术后残余肿瘤萎陷?
浙二神外周刊(一百二十六)--利用复合手术室多学科合作处理头部刀刺伤一例
浙二神外周刊(一百二十五)--经静脉入路栓塞深部脑动静脉畸形一例
浙二神外周刊(一百二十四)--颅咽管瘤术后并发尾状核、壳核脱髓鞘1例
浙二神外周刊(一百二十三)--库欣病合并全身多发占位性病变一例
浙二神外周刊(一百二十二)--经皮脊柱内镜手术切除腰椎巨大滑膜囊肿一例
浙二神外周刊(一百二十一)--孤立性室管膜下巨细胞星形细胞瘤一例
浙二神外周刊(一百二十)--伴有ALK融合基因的颅内转移性肺神经内分泌癌一例
浙二神外周刊(一百一十九)--静脉入路栓塞舌下神经管区硬脑膜动静脉瘘一例
浙二神外周刊(一百一十八)--儿童中央区病灶致顽固性癫痫外科手术一例
浙二神外周刊(一百一十七)--丙戊酸钠相关高血氨脑病一例
浙二神外周刊(一百一十六)--儿童眶尖-海绵窦-颞下窝病变一例
浙二神外周刊(一百一十四)--高血压性脑干出血治疗--浙二的观点
浙二神外周刊(一百一十三)--“复合高压锅技术”治疗横窦区硬脑膜动静脉瘘一例
浙二神外周刊(一百一一十二)--应用新型动脉瘤内栓塞装置(WEB)栓塞前交通未破裂动脉瘤一例
浙二神外周刊(一百一十一)--儿童四脑室室管膜瘤术后并发胃瘫综合征一例
浙二神外周刊(一百零八)--新发现AIP基因突变位点的家族性单纯性GH瘤家系一例
浙二神外周刊(一百零七)--自发性低颅压致双侧硬膜下血肿一例
浙二神外周刊(一百零六)--张建民教授牵头国家重点研发计划:“基于脑机接口的脑血管病主动康复技术研究及应用”正式启动
浙二神外周刊(一百零五)--颅骨板障表皮样囊肿合并慢性硬膜外血肿一例
浙二神外周刊(一百零四)--内镜辅助显微手术半椎板入路切除儿童颈髓腹侧肠源性囊肿一例
浙二神外周刊(一百零三)--颅骨缺损修补术后并发急性脑肿胀一例
浙二神外周刊(一百零一)--胶质瘤的病理特征与位置分布的关系
浙二神外周刊(九十九)--垂体生长激素腺瘤卒中伴发脑梗塞一例
浙二神外周刊(九十六)--桥小脑角脑膜瘤伽马刀后并发PICA血栓性动脉瘤一例
浙二神外周刊(九十四)--颅内表皮样囊肿自发破裂伴血清CA-199显著升高一例
浙二神外周刊(九十二)--鞍上毛细胞黏液样星形细胞瘤伴自发性出血一例
浙二神外周刊(九十一)--2017西湖神经外科论坛成功召开!
浙二神外周刊(九十)--以尿崩症为首发表现的Erdheim-Chester病一例并文献复习
浙二神外周刊(三十七)--垂体瘤伴发鞍结...
浙二神外周刊(三十六)--脑膜血管瘤病...




