![]()
今日与大家分享的是《正海-妙术视界》第一百二十二期,由重庆医科大学附属第一医院神经外科钟东,夏海坚,唐文渊,孙晓川带来的:“'双镜联合'切除A型颈静脉孔区神经鞘瘤”,欢迎观看、分享。
“双镜联合”切除A型颈静脉孔区神经鞘瘤
![]()
钟东 教授
钟东,医学博士、教授、主任医师、硕士研究生导师。旅美、旅德临床访问学者。重庆市医师协会神经外科医师分会颅底神经外科学组组长、中国医促会神经外科分会委员、中国医师协会显微外科医师分会显微神经外科疾病专业委员会委员、重庆市抗癌协会神经外科专委会委员、重庆市医学会神经外科专委会神经内镜学组委员。重庆市神经外科疾病诊治中心副主任。重庆医科大学附属第一医院神经外科后颅窝、后颅底及脑干病变治疗组组长。《BMC Neurology》、《Chinese Neurosurgical Journal》审稿专家。
1991年毕业于卫生部重点华西医科大学六年制医学本科,同年分配到重庆医科大学附属第一医院神经外科,在神经外科工作至今已有27年。分别于1998年、2010年获得重庆医科大学神经外科硕士、博士学位。在科内分管重庆医科大学附属第一医院显微神经外科培训中心,已面对重庆及西南地区举办过颅底显微解剖培训班、血管重建技术等学习班。常年在重庆市内、市外(包括四川、贵州)进行会诊手术。
1999年开始作神经内镜手术并发表多篇文章;2008年开始主攻后颅窝、后颅底、脑干肿瘤手术。目前已独立主刀听神经瘤200余例。公开发表国内CSCD论著20余篇,公开发表国外SCI论著3篇。2005年获得全军医疗卫生成果二等奖;2005年获得重庆市科技进步三等奖;2015获得重庆医科大学附属第一医院医疗特色技术奖;2010-2013年连续4年获得重庆医科大学附属第一医院受好评教师;2014年荣获重庆医科大学附属第一医院院级优秀教师。
曾在美国凤凰城BARROW神经科学研究所神经外科、德国汉诺威INI-Hannover国际神经科学研究所神经外科、美国西雅图华盛顿大学附属港景医院及北京天坛医院、复旦华山医院等多家国内外著名机构进修,曾三次在国外举办的国际性神经外科大会上发言,近年来每年均有在全国性神经外科大会上发言。
![]()
![]()
![]()
![]()
![]()
![]()
![]()
![]()
![]()
![]()
![]()
![]()
![]()
![]()
![]()
![]()
![]()
![]()
![]()
![]()
![]()
![]()
![]()
![]()
![]()
![]()
![]()
![]()
![]()
![]()
![]()
![]()
![]()
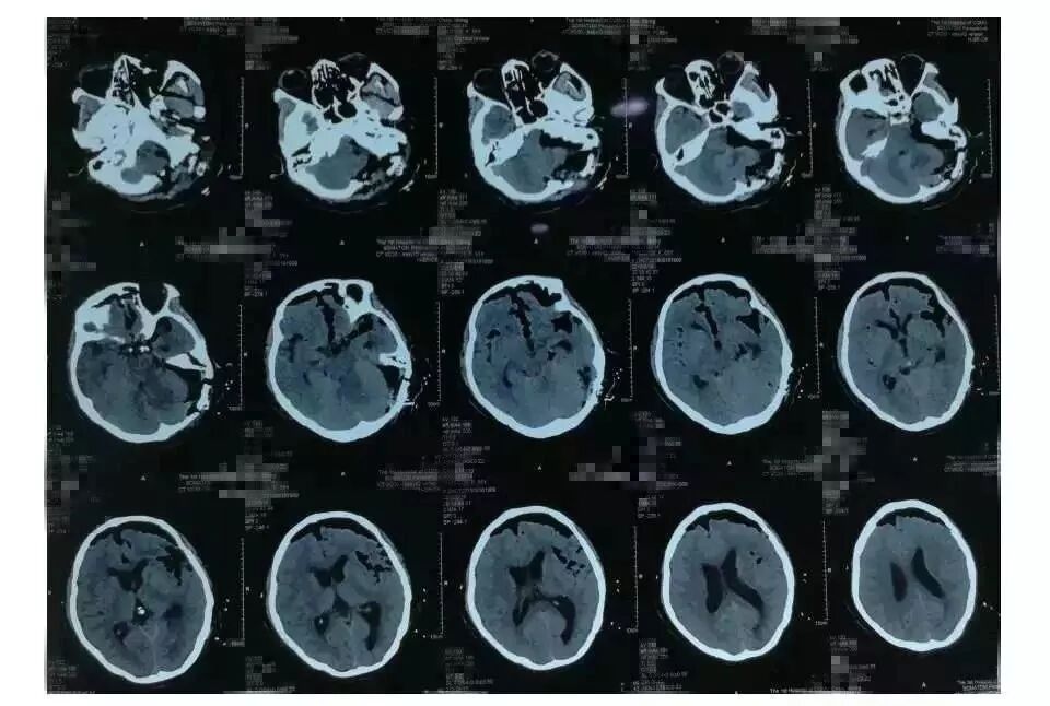
术后6小时患者头颅CT
术后6小时患者录像
![]()
(术后一天患者录像)
![]()
![]()
![]()
![]()
术后14天患者录像
术后14天患者面部表情
术后14天患者语言情况
术后14天患者饮水情况
术后14天患者行走录像
![]()
![]()
“双镜联合”切除A型颈静脉孔区神经鞘瘤
![]()





