![]()
今天为大家分享的是《贝朗时间》第三十八期,由中国人民解放军武汉总医院神经外科副主任姚国杰教授带来的:远外侧入路全斜坡巨大脑膜瘤显微手术1例,欢迎阅读、分享!
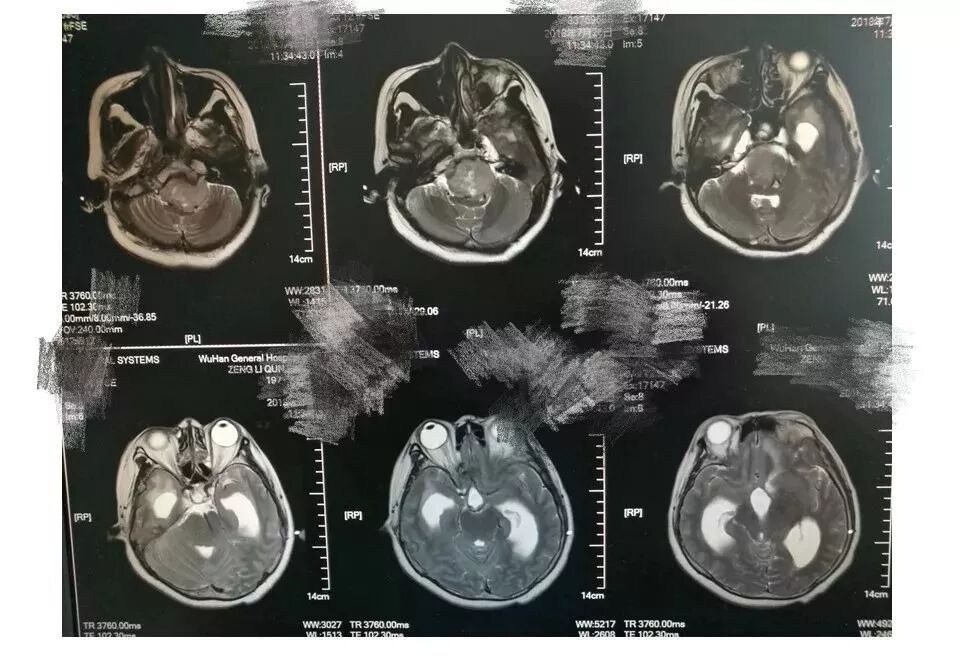
远外侧入路全斜坡巨大脑膜瘤显微手术1例
![]()
姚国杰,中国人民解放军武汉总医院神经外科副主任,毕业于空军军医大学医疗系,师从于著名神经外科专家马廉亭教授。从事颅底肿瘤和脑干肿瘤的显微外科治疗工作。湖北省医学会神经外科分会委员兼秘书,湖北省中西医结合学会神经外科专业委员会副主任委员,南方医科大学硕士研究生导师,《中华临床医师杂志》特约编辑,《中华实验外科杂志》,《中国临床神经外科杂志》编委,共撰写论文20篇,其中14篇在核心期刊杂志发表,3篇被SCI收录。参与《创伤性假性动脉瘤和动静脉瘘》、《介入神经放射外科学》、《鞍区神经外科学》、《现代微创外科学》、《脑脊髓血管病血管内治疗学》、《实用神经外科手册》的编写。2001年完成的“中枢性低钠血症的诊断及肠内外综合治疗”获军队科技进步三等奖(第一作者),2004年完成的“近红外光谱仪对脑梗塞的早期诊断研究” 获军队医疗成果三等奖(第1作者)。参与国家自然科学基金2项。
![]()
![]()
![]()
![]()
![]()
![]()
![]()
![]()
![]()
![]()
![]()
![]()
![]()
![]()
![]()
![]()
![]()
![]()
往期回顾




