提示
“浙二神外周刊”不定期接收外院投稿,审核后发表。欢迎各专业同道联系我们,分享精彩病例、研究热点或前沿资讯。投稿请联系:shishi74@163.com
病史简介
患者, 女性,52岁,因“头晕半年,加重1月”入院。
患者半年前出现间歇性头晕,当时程度较轻,出现频率不高,未就诊。近1月来出现头晕加重,无恶心呕吐,无肢体乏力及麻木,无肢体抽搐发作。后至当地医院就诊,查头颅磁共振提示:“右侧尾状核头部占位,胶质瘤可能”,现为求进一步诊治入住浙江大学医学院附属第二医院。
入院查体:神清,无明显神经系统阳性体征。
诊疗经过
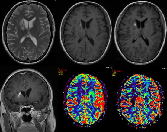
患者入院后复查头颅增强磁共振提示:右侧尾状核头部可见一片状不规则肿块,于T1WI上为低信号,其内并见斑片状高信号,T2WI上为略高但混杂信号,增强后有不均匀性强化,约1.7cm×3.3cm×2.5cm大小。其周围有轻度水肿区,呈长T1长T2信号。有轻度占位效应,使邻近脑室变形和轻度移位,中线结构向健侧轻度移位,其他部位未见异常,结论:胶质瘤可能性大(图1)。
图1.右侧尾状核头部可见一片状不规则肿块,T1为低信号,T2为略高但混杂信号,边界尚清,增强后有不均匀性强化,周围轻度水肿,有轻度占位效应,邻近脑室变形和轻度移位。
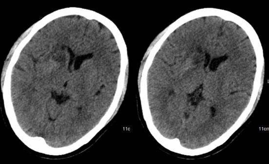
完善术前检查后,经科室讨论,考虑胶质瘤可能性大。但由于病变位置较深,直接行开颅切除术风险大,也可先行穿刺活检术明确诊断。与患者家属沟通后,其选择后者。遂择期行立体定向穿刺活检术,手术过程顺利。术中冰冻提示:胶质细胞增生伴血管增生,考虑胶质瘤。术后复查CT提示:穿刺术后改变,穿刺部位未见明显出血,病灶呈低密度(图2)。
![]()
图2.术后复查CT提示:穿刺部位未见明显出血,病灶呈低密度。
病理诊断
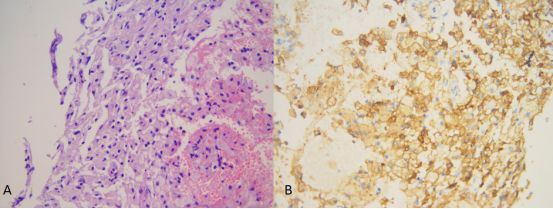
术后常规病理回报,其结果与冰冻结果不同。常规病理HE结果显示:少量脑组织,见胶质细胞和血管增生,细胞密度轻度增加,并有泡沫细胞。免疫组化见大量组织细胞增生:P53 散在+,ATRX +,Olig2 -,NeuN -,IDH1 -,CD68 弥漫+,CD163 弥漫+,MGMT +,Ki-67 3%。诊断脱髓鞘病变首先考虑(图3)
![]()
图3. A:见少量的脑组织见出血和毛细血管增生,脑实质内大量泡沫样组织细胞增生;B:免疫组化CD163证实增生的细胞主要为组织细胞,而非胶质细胞增生。
术后患者恢复良好。因病理诊断考虑脱髓鞘病变,故建议患者回当地医院神经内科继续治疗,并定期复查。经电话随访,患者在当地医院予以糖皮质激素等对症治疗,具体剂量不详。1月后来浙江大学医学院附属第二医院复诊。复查头颅磁共振增强扫描+灌注成像提示:右侧尾状核头部占位,周围轻度水肿, PWI示病灶区灌注减低,增强后病灶示有不均匀强化,余双侧大脑半球对称,中线结构无明显移位。意见:右尾状核头部病变活检术后改变,较前片病灶缩小,结合病灶低灌注,倾向非肿瘤性病变。(图4)
![]()
图4.术后1月患者复查磁共振增强+灌注扫描,提示增强后病灶较前有所缩小,占位效应减轻,病灶灌注成像未见高灌注。
因该病例的临床、冰冻及常规病理诊断比较特殊,逐与浙江大学医学院附属第二医院病理科就该病例进行了讨论。病理科认为颅内大量泡沫样组织细胞增生的情况,可见于慢性炎症、脱髓鞘、寄生虫、肿瘤边缘及治疗后等多种情况,在活检组织不能完全明确的情况下,结合患者的病史、影像资料,或者实验性治疗均有助于准确诊断。神经髓鞘的主要成分是磷脂,当髓鞘崩解被吞噬细胞吞噬后,磷脂不能被完全溶解吸收,就形成细胞浆丰富的泡沫样细胞,这与该例病理较为符合。而在脱髓鞘病变内往往伴有胶质细胞的增生和血管周围的淋巴细胞聚集,在本例内由于活检组织较少,这些特征不明显。但根据患者病史、影像学特点及变化,结合病理,最终诊断为大脑瘤样脱髓鞘病变。
讨论
瘤样脱髓鞘病变(tumefactive demylinating lesions,TDLs)是中枢神经系统一种相对特殊类型的免疫介导的炎性脱髓鞘病变[1]。也有学者认为它是介于多发性硬化与急性播散性脑脊髓炎之间的一种独立疾病。
临床特征
TDLs 以急性或亚急性起病居多,少数慢性起病,男女患者比例基本相当,各年龄段均可发病,以中青年为主,国内有文献报道的平均发病年龄约35岁[2]。近年来,国内外临床研究发现,多数TDLs为单次病程,少数可向复发-缓解型多发性硬化转化,或再次以TDLs形式复发。绝大多数患者TDLs 脑内受累,少数累及脊髓。与胶质瘤相比,多数TDLs临床症状相对较显著。TDLs 以头痛、言语不清、肢体无力等起病多见,这与胶质瘤相似,但很少表现为癫痫发作[2]。当TDLs 病变较弥漫或多发时,可影响认知功能。
实验室检查
脑脊液检查中,部分患者CSF 的寡克隆区带(OB)呈弱阳性或阳性。部分患者的髓鞘碱性蛋白(MBP)或IgG 合成率不同程度增高。血清学免疫相关检查中,少数TDLs血清水通道蛋白4(AQP4)抗体阳性[3]。
影像学检查
头颅CT检查中,CT平扫检查显示绝大多数为边界较清楚的低密度影,个别可为等密度,CT 强化多不显著。
头颅MRI平扫中,MRI检查显示的TDLs 病灶一般较CT 显示的范围大,水肿也更明显,T1WI、T2WI 像多为高信号,边界较清楚,TDLs多有占位效应,但多不及肿瘤明显,病灶周围多可见水肿带。急性或亚急性期,以细胞源性水肿为主,弥散加权成像(DWI)多为高信号,经激素规范治疗后,病灶多在数周内逐渐缩小或消散[4]。MRI增强扫描中,因血-脑屏障的破坏,TDLs在急性期与亚急性期增强检查结果表现为结节样、闭合环样、开环样、火焰状等不同形式的强化。其中“开环样”强化(也称“C”形强化)最具特征,即周边不连续的半环或开环形强化,该特点对于TDLs 的诊断具有一定特异性,脑肿瘤一般无此特点[5]。TDLs 的磁共振波普分析(MRS)主要表现为:胆碱(Cho)峰升高、N-乙酰天门冬氨酸(NAA)峰降低,尽管脑肿瘤也有类似表现,但后者Cho 峰升高、NAA降低程度更为显著,一般Cho/NAA多≥2。在磁共振灌注(PWI)中,TDLs常表现为低灌注[6]。
病理学特征
TDLs 病变以白质受累为主,还可累及皮层及皮层下白质。其病理学特征如下[7,8]:(1)苏木精伊红染色(HE)和髓鞘染色显示病变区域组织结构破坏,髓鞘脱失;(2)轴索染色和免疫组织化学标记神经丝蛋白可显示髓鞘脱失区域轴索相对保留;(3)HE染色和免疫组织化学标记CD68可显示病变区域内有大量吞噬髓鞘碎片的泡沫细胞;(4)病变区域及周围组织内可见血管周围“套袖样”淋巴细胞浸润,渗出细胞以T 淋巴细胞为主;(5)HE染色和免疫组织化学标记胶质纤维酸性蛋白(GFAP)检查结果显示,病变组织内不同程度反应性增生的星形胶质细胞,其胞质丰富,核常偏位;(6)多数患者病变组织中可见散在分布的变异的肥胖型星形细胞,易误诊为胶质瘤,该细胞对TDLs 的诊断虽不具有特异性,但结合其他改变高度提示该病诊断。(7)TDLs的病理学改变也会随病程而发生相应变化:病程急性期(≤3 周)病理表现符合病理上的急性活动期改变:病灶处于显著的炎性反应阶段,髓鞘大量脱失,轴索可见不同程度肿胀损伤。亚急性期(4-6周)病理符合慢性活动期病理改变:病灶边缘清晰,轴索相对保留,含有髓鞘降解物的巨噬细胞呈放射状聚集在病灶边缘。病程慢性期(≥7 周)病理以非活动期表现为主:病灶髓鞘部分再生,炎性细胞数减少,周围环绕巨噬细胞和小胶质细胞。不同时期病理改变可同时存在。
鉴别诊断
该疾病主要需要与胶质瘤相鉴别,其主要鉴别点如下表:
![]()
表1:瘤样脱髓鞘病变与脑胶质瘤主要鉴别点
虽然上述鉴别点较多,最终确诊仍需穿刺活检后行病理学检查,但该方法也有其局限性:(1)因患者恐惧心理或医院条件所限,脑活检难以广泛开展;(2)当TDLs 病理不典型时,如伴有胶质细胞过度增殖表现或假性异型性,易与脑胶质瘤相混淆;(3)活检术前使用糖皮质激素可导致原发性中枢神经系统淋巴瘤病变组织失去典型淋巴瘤病理结构,且病变边缘常伴反应性T 细胞增多,易被误诊为TDLs[7];(4)当脑活检取材少或定位不够精确时,缺乏典型病理改变,难以确诊,需再次活检。
治疗方法
激素治疗:可作为首选[9],可促进急性期TDLs 临床症状的缓解,在影像学上,可使颅内占位病灶缩小及病灶强化消退。治疗原则:大剂量冲击、缓慢阶梯减量,逐步减停。方法:成人:甲泼尼龙1000 mg/d,静脉点滴3-4h*3-5d,此后剂量阶梯依次减半,每个剂量2-3天,至120 mg/d、80 mg/d、40 mg/d 以下,改为口服甲泼尼龙片20mg/d,每周减量4 mg直至减停。
激素联合免疫抑制剂:适用于激素冲击效果不佳者,主要包括:硫唑嘌呤、环磷酰胺、吗替麦考酚酯、甲氨蝶呤、他克莫司等。
大剂量免疫球蛋白治疗:适用于血清AQP4 抗体阳性的患者,也可用于不适合激素治疗或激素治疗无效者,亦适合于不宜使用免疫抑制剂的特殊人群,如妊娠或哺乳期妇女、儿童。推荐用法:免疫球蛋白用量为0.4 g/(kg*d),静滴,连用5d为一疗程。
预后和随访
TDLs 一般预后良好,国外尚缺大样本随访数据。刘建国等[2]对60 例TDLs 进行3-6 年的随访发现,绝大多数的TDLs 预后良好,多为单病程,也可复发,部分患者有向多发性硬化转化的趋势,TDLs的复发频率较低,上述随访中,复发次数最高仅3次,复发的形式以多发斑片状异常信号为主(呈多发性硬化),少数为TDLs。因此,推荐随访意见如下:对所有TDLs 患者均应进行电话随访,至少每年1 次,建议每3-6个月进行1 次头颅增强MRI检查;对于随访中病灶再次出现或有增大趋势者,必要时再次脑活检检查。
总结
瘤样脱髓鞘病变是一种容易和脑胶质瘤混淆的病变,术前通过临床症状、影像学和实验室检查诊断的难度较大,穿刺活检后病理学检查是诊断的金标准,但也存在一定局限性。因此需要病理学检查结合患者的病史、实验室检查、影像资料及实验性治疗,才能更加准确地诊断该疾病。
参考文献
1. Adamek D, Radwanska E, Rog T, et a.l Tumefactive demyelinating lesion. Trying to find unity in diversity. Comparison of two cases[J]. Clin Neurol Neurosurg,2014, 116:90-92.
2.刘建国,董秦雯,张海玲,等. 病理证实的瘤样脱髓鞘病60例影像学特点[J]. 中华神经科杂志,2014,47 (10 ): 680-686.
3. Jeong IH, Kim SH, Hyun JW, et a.l Tumefactive demyelinating lesions as a first clinical event: Clinical, imaging,and follow-up observations [J].J Neurol Sci,2015, 358(1-2):118-124.
4. 刘建国,乔文颖,郑奎宏,等.瘤样脱髓鞘病与胶质瘤的临床、影像对比研究[J]. 中华医学杂志,2014,94 (39 ): 3047-3051.
5. Javalkar V, Manix M, Wilson J, et a.l Open ring enhancement in atypical brain demyelination [J ]. J Clin Neurosci,2012,19(6):910-912.
6. Fallah A,Banglawala S,Ebrahim S,et a.l Case series: tumefactive demyelinating lesions:a diagnostic challenge [J]. Can J Surg,2010,53(1):69-70.
7. 卢德宏,付永娟,王雅杰.重视中枢神经系统脱髓鞘假瘤的病理学诊断[J].中华病理学杂志,2013,42(5):289-291.
8. Sugita Y,Terasaki M,Shigemori M,et a.l Acute focal demyelinating disease simulating brain tumors: histopathologic guidelines for an accurate diagnosis [J ]. Neuropathology,2001,21(1):25-31.
9. Siffrin V,Muller-Forell W,Pein HV,et a.l How to treat tumefactive demyelinating disease? [J]. Mult Scler,2014,20 (5):631-633.
(本文由浙二神外周刊原创,浙江大学医学院附属第二医院神经外科陈挺主治医师整理,徐锦芳副主任医师校审,病理科李百周主任提供病理切片及病理诊断依据。张建民主任校审并终审)
往期回顾
浙二神外周刊(第一百六十七期)含有鳞状分化上皮成分的垂体腺瘤一例
浙二神外周刊(第一百六十五期)原发性IDH突变型胶质肉瘤一例
浙二神外周刊(第一百六十四期)侧裂深部不典型脑膜瘤一例
浙二神外周刊(第一百六十三期)脊顽固复发性慢性硬膜下血肿一例
浙二神外周刊(第一百六十期)儿童鞍区生殖细胞瘤一例
浙二神外周刊(第一百五十九期)小脑脂肪神经细胞瘤一例
浙二神外周刊(第一百五十八期)眼外伤手术后重水迁移入脑室蛛网膜下腔一例
浙二神外周刊(第一百五十七期)重型颅脑损伤术后诱发应激性心肌病一例
浙二神外周刊(第一百五十五期)源于嗅神经的毛细胞星形细胞瘤一例
浙二神外周刊(第一百五十三期)不典型脑膜瘤一例
浙二神外周刊(第一百五十二期)无症状颅内巨大海绵状血管瘤一例
浙二神外周刊(一百五十一期)佳作赏析|柳夫义医师获中国医师协会“神外手术视频展播秀”新锐组最佳人气奖
浙二神外周刊(一百五十)--左侧额颞岛叶弥漫性胶质瘤一例(2018华东胶质瘤MDT病例四)
浙二神外周刊(一百四十九)--节细胞胶质瘤一例(2018华东胶质瘤MDT病例三)
浙二神外周刊(一百四十八)--上皮样胶质母细胞瘤一例(2018华东胶质瘤MDT病例二)
浙二神外周刊(一百四十七)--历经三年浙沪接力诊疗的疑难复杂病例一例
浙二神外周刊(一百四十六)--多技术应用切除优势半球岛叶胶质瘤一例
浙二神外周刊(一百四十四)--佳作赏析丨洪远主任获2018全国青年医师”齐柏林杯“神经内镜手术视频大赛特等奖
浙二神外周刊(一百四十三)--研究进展 | 脑胶质瘤MRI浸润征象与预后
浙二神外周刊(一百四十二)--“2018西湖神经外科论坛”成功召开
浙二神外周刊(一百四十)--颅内多发粘液性动脉瘤一例
浙二神外周刊(一百三十九)--创伤性脑膜中动脉假性动脉瘤一例
浙二神外周刊(一百三十八)--侧脑室三角区肿瘤术后孤立颞角综合征一例
浙二神外周刊(一百三十七)--以出血为首发症状的多形性黄色星形细胞瘤一例
浙二神外周刊(一百三十六)--垂体ACTH细胞增生性库欣病一例
浙二神外周刊(一百三十四)--腰髓动静脉畸形出血导致颅内蛛网膜下腔出血一例
浙二神外周刊(一百三十三)--疑似鞍区海绵状血管瘤一例
浙二神外周刊(一百三十一)--以腰椎播散灶为首发症状的颅内室管膜瘤一例
浙二神外周刊(一百三十)--亚裔学生的美国神经外科医师成长之路(来自UCLA华裔学生的经历分享)
浙二神外周刊(一百二十九)--开颅术后继发硬脑膜动静脉瘘一例
浙二神外周刊(一百二十八)--sternberg管未闭脑膜脑膨出致脑脊液鼻漏一例
浙二神外周刊(一百二十七)--中药皂角刺致颅内脊索瘤术后残余肿瘤萎陷?
浙二神外周刊(一百二十六)--利用复合手术室多学科合作处理头部刀刺伤一例
浙二神外周刊(一百二十五)--经静脉入路栓塞深部脑动静脉畸形一例
浙二神外周刊(一百二十四)--颅咽管瘤术后并发尾状核、壳核脱髓鞘1例
浙二神外周刊(一百二十三)--库欣病合并全身多发占位性病变一例
浙二神外周刊(一百二十二)--经皮脊柱内镜手术切除腰椎巨大滑膜囊肿一例
浙二神外周刊(一百二十一)--孤立性室管膜下巨细胞星形细胞瘤一例
浙二神外周刊(一百二十)--伴有ALK融合基因的颅内转移性肺神经内分泌癌一例
浙二神外周刊(一百一十九)--静脉入路栓塞舌下神经管区硬脑膜动静脉瘘一例
浙二神外周刊(一百一十八)--儿童中央区病灶致顽固性癫痫外科手术一例
浙二神外周刊(一百一十七)--丙戊酸钠相关高血氨脑病一例
浙二神外周刊(一百一十六)--儿童眶尖-海绵窦-颞下窝病变一例
浙二神外周刊(一百一十四)--高血压性脑干出血治疗--浙二的观点
浙二神外周刊(一百一十三)--“复合高压锅技术”治疗横窦区硬脑膜动静脉瘘一例
浙二神外周刊(一百一一十二)--应用新型动脉瘤内栓塞装置(WEB)栓塞前交通未破裂动脉瘤一例
浙二神外周刊(一百一十一)--儿童四脑室室管膜瘤术后并发胃瘫综合征一例
浙二神外周刊(一百零八)--新发现AIP基因突变位点的家族性单纯性GH瘤家系一例
浙二神外周刊(一百零七)--自发性低颅压致双侧硬膜下血肿一例
浙二神外周刊(一百零六)--张建民教授牵头国家重点研发计划:“基于脑机接口的脑血管病主动康复技术研究及应用”正式启动
浙二神外周刊(一百零五)--颅骨板障表皮样囊肿合并慢性硬膜外血肿一例
浙二神外周刊(一百零四)--内镜辅助显微手术半椎板入路切除儿童颈髓腹侧肠源性囊肿一例
浙二神外周刊(一百零三)--颅骨缺损修补术后并发急性脑肿胀一例
浙二神外周刊(一百零一)--胶质瘤的病理特征与位置分布的关系
浙二神外周刊(九十九)--垂体生长激素腺瘤卒中伴发脑梗塞一例
浙二神外周刊(九十六)--桥小脑角脑膜瘤伽马刀后并发PICA血栓性动脉瘤一例
浙二神外周刊(九十四)--颅内表皮样囊肿自发破裂伴血清CA-199显著升高一例
浙二神外周刊(九十二)--鞍上毛细胞黏液样星形细胞瘤伴自发性出血一例
浙二神外周刊(九十一)--2017西湖神经外科论坛成功召开!
浙二神外周刊(九十)--以尿崩症为首发表现的Erdheim-Chester病一例并文献复习
浙二神外周刊(三十七)--垂体瘤伴发鞍结...
浙二神外周刊(三十六)--脑膜血管瘤病...




