【Ref: Sorar M , et al. Parkinsons Dis. 2018 Jul 22;2018:3056018. doi: 10.1155/2018/3056018. eCollection 2018.】
深部脑刺激(DBS)是治疗帕金森病(PD)等运动障碍的有效方法。和所有外科手术一样,DBS也可出现手术并发症以及与DBS硬件和电刺激相关的不良事故。土耳其健康科学大学Diskapi Yildirim Beyazit培训和研究医院神经外科的Mehmet Sorar等报告181例经DBS治疗的患者术后近期和远期并发症发生情况,文章发表在2018年7月的《Parkinson’s Disease》上。
181例研究对象为2012年至2017年在该医学中心进行治疗的帕金森病、肌张力障碍和原发性震颤(ET)患者;所采用的DBS治疗靶点分别是丘脑底核(STN)、苍白球(GPi)和丘脑腹中核(Vim)。作者回顾性分析患者的临床资料、术后近期和远期并发症发生情况。近期指DBS植入后的前30天,远期为DBS术后30天之后。手术相关并发症指手术或术后30天内发生的、与手术过程直接相关的并发症,如颅内出血和癫痫等。与硬件相关并发症指硬件部件与身体,如皮肤部位,直接接触引起的不良事故,与发生的时间无关。排除因更换内部脉冲发生器(IPG)失败引起的事件。
181例患者中,男性113例,女性68例;年龄9-74岁,平均55.2±11.7岁;包括159例帕金森病、13例肌张力障碍和9例特发性震颤患者。共进行359例次相应靶点的电极植入术。术后平均随访3.4±1.6年;无出现死亡或永久性病残者。
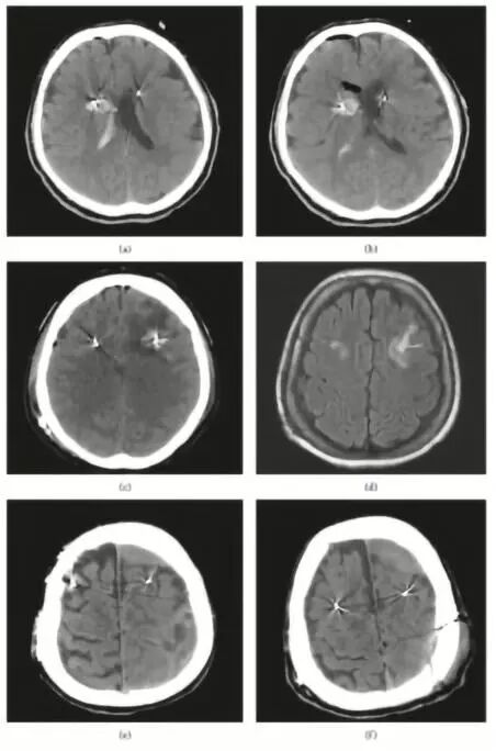
近期并发症主要有,6.6%患者意识混乱或精神状态改变、2.2%脑出血、1.1%脑缺血性卒中和1.1%癫痫发作。远期并发症有,7.2%患者伤口感染和5.5%出现与硬件相关的不良事故。其它并发症包括慢性硬脑膜下血肿,占1.1%(图1)。
![]()
图1. DBS术后CT扫描显示并发症。a、b.右侧尾状核血肿伴右侧脑室内出血;c.左额电极周围静脉性梗死灶;d.6个月后CT复查,病灶消失;e.左侧额、顶叶慢性硬膜下血肿;f.为避免电极移位,清除左顶血肿后,左额血肿未处理。
该研究发现,年龄、性别与并发症发生风险无关;疾病诊断、手术指征、解剖位置和设备制造商与并发症发生率无关(P=0.776)。而手术经验与总体并发症发生率呈直接相关性,2012年至2014年并发症发生率为31.0%,2015年至2017年为10.6%(P<0.001)。
作者认为,DBS手术依然会出现与手术和硬件相关的并发症,应给予重视。过去几十年来,对疾病理解的深入、技术的提高,尤其是随着手术经验的累积,使DBS手术并发症发生率显著降低。
(Fu编译,复旦大学附属华山医院王知秋教授审校,《神外资讯》主编、复旦大学附属华山医院陈衔城教授终审)





