提示
“浙二神外周刊”不定期接收外院投稿,审核后发表。欢迎各专业同道联系我们,分享精彩病例、研究热点或前沿资讯。投稿请联系:shishi74@163.com
病史简介
患者,男性,49岁,因“行走不稳并间歇发热3月”入院。
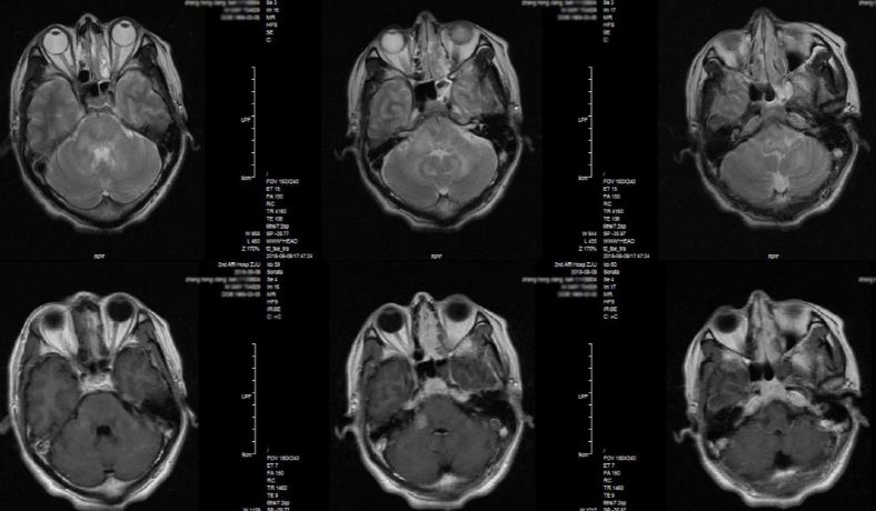
患者3月前发热后出现行走不稳,走路摇晃,伴口齿不利,偶有饮水呛咳,间歇发热,具体体温不详。 2月前症状逐渐加重,至外院就诊,头颅增强MRI:延髓、桥脑、中脑和桥小脑臂异常信号。诊断为“颅内多发病灶(脑干、小脑),代谢、炎症首先考虑,肿瘤不排除”(图1),入院后脑脊液检查:蛋白72.7mg/dL,有核细胞10/ul,墨汁染色及抗酸杆菌染色阴性。予呋喃硫铵、弥可保营养神经治疗,症状稍好转后出院,但仍间断发热。近1月来病情复发加重,来浙医二院就诊,头部增强磁共振显示脑干多发强化灶(图2)。为明确病因来浙医二院行立体定向活检术。门诊以“颅内多发病灶,性质待查”收住院。
![]()
图1. 外院MRI检查,提示颅内多发病灶(脑干、小脑),代谢、炎症首先考虑,肿瘤不排除。
![]()
图2. 头部增强磁共振显示小脑及脑干多发占位,右桥臂脑干部占位增强明显。
患者平素体健,一般可。2年前体检监测血压偏高,最高血压145/90mmHg,未服药治疗。
诊疗经过
科室术前讨论,考虑病灶多发,性质待查,有明确活检指证。在多发病灶中,选择强化明显且体积较大,位于右侧桥臂病灶作为活检目标靶点。经术前准备,立体定向导航下经右侧小脑沿病灶长轴穿刺取材。手术顺利,术中冰冻提示(右侧桥脑)见异型小细胞,考虑为肿瘤,待常规进一步明确。术后予甲强龙80mg/天,患者病情平稳后,转回当地医院等待常规病理结果并继续对症治疗。
患者转回当地医院后,精神、睡眠、饮食较差,近一周腹泻多次,为黄色水样便,小便无明显异常。一天前突发高热,体温39.1℃,逐再返回本院急诊并收住。
当时查体:双肺呼吸音粗,可闻及散在湿罗音,颈软无抵抗,腹部平软,无压痛反跳痛。专科查体:患者神志清楚,对答切题,精神差,GCS 15分,双侧瞳孔等大等圆,对光反应灵敏,左侧肢体肌力4+级,右侧肢体肌力3级,病理征未引出,颈软无抵抗。
进一步脑脊液常规及生化:红细胞148×10^6/L↑、潘氏试验(Pandys test)阳性↑、蛋白含量108.00mg/dL↑、葡萄糖2.79mmol/L、氯 122.9mmol/L,脑脊液培养未见细菌生长。血常规:血红蛋白144g/L, 白细胞计数5.2×10^9/L,血小板计数190×10^9/L中性粒细胞百分比89.1%, 淋巴细胞百分比22.7%。C反应蛋白13.2mg/L。
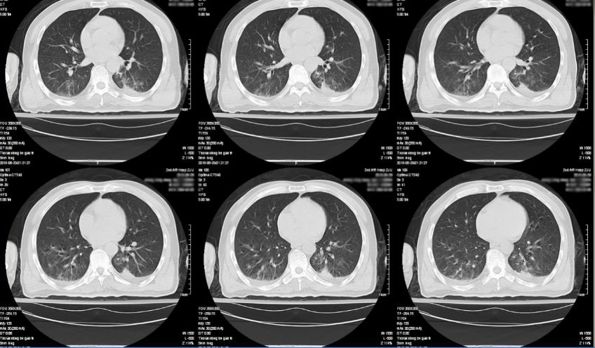
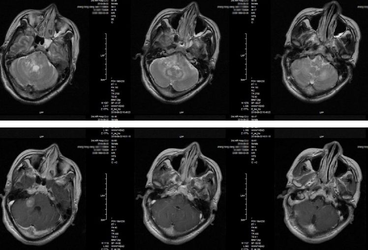
复查头部增强磁共振显示病灶较前有增大(图3)。胸部CT检查提示肺部感染合并少量胸腔积液(图4)
![]()
图3. 复查头部增强磁共振,提示右侧桥臂及左小脑病变较前增大。
![]()
图4. 胸部CT,提示肺部感染合并少量胸腔积液。
因患者有肺部感染合并少量胸腔积液,不排除颅内感染,予抗感染治疗:万古霉素 1g Q12H;美罗培南 1g Q8H。但发热症状无明显缓解(图5)。
![]()
图5. 再入院后第一周体温表。
请院感染科会诊,认为患者近一周频繁腹泻症状不能解释,暂时维持原有抗感染治疗,复查脑脊液检查,完善粪培养、血培养及腹部增强CT检查。 复查脑脊液:初压59mmH2O。隐球菌抗原阴性、颜色无色、性状清、隐血试验阳性↑、有核细胞4×10^6/L、红细胞6×10^6/L↑、潘氏试验弱阳性。腹部增强CT,大便常规及培养、血培养均无阳性发现。
此时常规病理最后结果仍未回,与病理科联系沟通,倾向于EBV病毒感染可能,建议再行相关检查。结果提示:(EBV)病毒DNA阳性;EB病毒衣壳抗原IgM阴性,EBV衣壳抗原IgA阴性。
在检查过程中患者发热症状无明显缓解(图6)
![]()
图6. 再入院后第二周体温表。
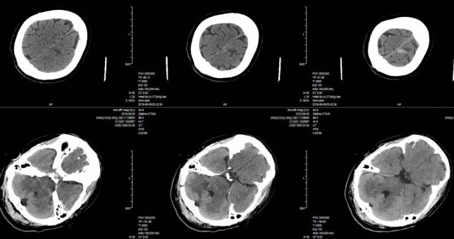
入院后第14日,患者意识水平下降,查体:昏睡状态,瞳孔左侧直径2mm,右侧直径3mm,对光反射迟钝,舌根后坠,肢端青紫,氧饱和度下降至80%,紧急联系气管插管转脑重症监护室。急诊头胸部CT检查,提示左额出现新发病灶(图7),肺部感染较前加重(图8)。
![]()
图7. 入院后第14天急诊复查患者头部CT提示左额顶叶出现新发病灶。
![]()
图8. 入院后第14天,胸部CT提示患者肺部感染较前加重。
病理结果
再次入院后第15日,常规病理诊断为:结外NK/T细胞淋巴瘤,鼻型(图9)。
![]()
![]()
图9. 脑干病变常规病理结果提示为结外NK/T细胞淋巴瘤,鼻型。
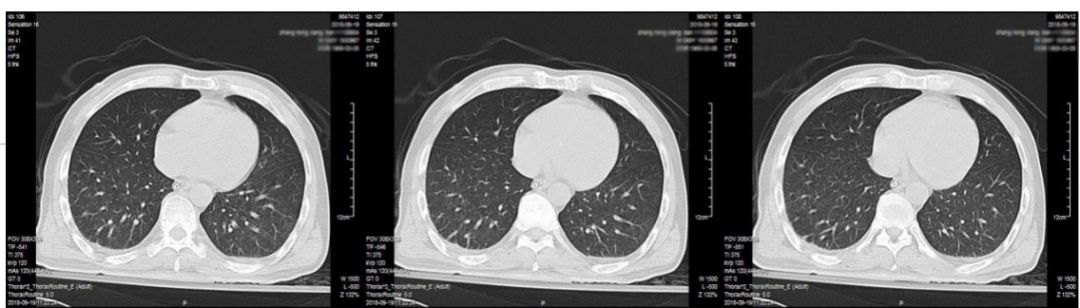
转入脑重症监护室后,予以斯沃600mg Q12H及美罗培南1g Q8H抗感染治疗,沐舒坦30mg Q12H化痰治疗,甘露醇125ml Q6H加强脱水降压、甲强龙80mg QD减轻水肿及泮立苏护胃等对症治疗。患者发热症状较前缓解(图10),于再入院后28日转回普通病房,查体:嗜睡状态,气管切开,双肺呼吸音粗,可闻及散在湿罗音,颈软无抵抗,腹部平软,无压痛反跳痛,左侧肌力5级,右侧肌力2级。复查头部CT示左额顶病灶继续增大(图11),胸部CT示肺部感染较前好转(图12)。
![]()
图10. 再入院第三周体温表。
![]()
图11. 再复查头部CT提示额顶部病变较前增大。
![]()
图12. 复查胸部CT提示肺部炎症较前减轻,胸腔积液较前吸收。
鉴于患者病理结果为淋巴瘤,请血液科会诊,血液科会诊考虑患者病情仍较重,一般情况较差,不能耐受化疗,建议先行局部放疗。放疗科会诊后,决定予以放疗。目前放疗及随访中。
讨论
结外NK/T细胞淋巴瘤的临床特征:
结外NK/T细胞淋巴瘤是一类少见且具有种族特异性和地域特异性的侵袭性非霍奇金淋巴瘤,约占髓外T细胞淋巴瘤的11%,其中2/3是鼻型[1]。据报道在亚裔人群和拉丁美洲人群中,结外NK/T细胞淋巴瘤约占全部非霍奇金淋巴瘤的7%至10%,而在高加索人群中只占不到1%。结外NK/T细胞淋巴瘤多起源自上呼吸道及上消化道,80%左右的患者起源自鼻部及鼻旁区域,其余的起源于鼻外的组织器官,包括皮肤、肝脏、脾、肺及胃肠道[2]。
联系本病例,浙医二院头部增强MRI检查未见鼻部及鼻旁明显病变,但胸部CT平扫及腹部增强CT也未见明显异常,因此不排除原发于颅内的鼻型淋巴瘤。
结外NK/T细胞淋巴瘤的临床表现不典型,表现常类似于感染性疾病(如侵入性真菌感染)、炎性病变(如韦格纳肉芽肿)或其他肿瘤(如粘液性表皮样瘤),这一特性增加了结外NK/T细胞淋巴瘤诊断的难度,常导致治疗延误[3,4]。
结外NK/T细胞淋巴瘤的病理特征:
包括混合细胞种类的血管浸润及坏死;免疫表型可见CD2+,CD56+,CD3ε+(细胞质),CD3-(细胞膜)细胞;原位杂交结果EBV病毒阳性具有诊断意义[5]。
回顾本病例,患者主要症状为反复发热与步态不稳,结合影像学特点,初期考虑病变性质为脑炎,但外院脑脊液检查除蛋白含量增高外,其余无明显异常;本次再入院前1天突发高热,表现为感染症状,但脑脊液检查无明显异常,胸部CT提示肺部炎症较轻,不能完全解释高热症状。因此患者反复间断发热可能与结外NK/T细胞淋巴瘤本身相关。浙医二院神经外科完善外周血EBV病毒检测提示EBV病毒DNA阳性, 进一步证实了本院病理科推断:病变与EBV感染相关,符合结外NK/T细胞淋巴瘤的病理特点。
结外NK/T细胞淋巴瘤生物学行为与预后:
大多数结外NK/T细胞淋巴瘤仅表现为原发灶,累及局部淋巴结约占15%至30%,远处转移的约占20%。早期的结外NK/T细胞淋巴瘤虽然局部损伤重,但是可以治愈,晚期的结外NK/T细胞淋巴瘤则预后较差,整体上结外NK/T细胞淋巴瘤预后差于颅内常见的弥漫大B淋巴瘤[6]。
结外NK/T细胞淋巴瘤治疗原则:
在治疗上,根据NCCN中枢神经系统淋巴瘤治疗指南,中枢淋巴瘤活检病理证实后,需进一步评估患者病情,包括:裂隙灯眼检查、脊髓MRI、HIV检测、CBC综合化学检测、全身CT或PET/CT,骨髓活检、睾丸超声(>60岁)。评估患者病情后的诱导治疗,包括高剂量甲氨蝶呤为基础的化疗方案和全脑放疗。选择化疗的患者,若脊髓MRI阳性可考虑鞘内化疗;眼部检查阳性可考虑眼球局部放疗或眼内化疗[7] 。
而根据NCCN非霍奇金淋巴瘤治疗指南,对于局灶性结外NK/T细胞淋巴瘤和播散性结外NK/T细胞淋巴瘤的治疗存在巨大差异,且与常规中枢神经系统淋巴瘤治疗方案不同。NCCN建议对于局灶性的结外NK/T细胞淋巴瘤,鼻型可考虑化疗后予以局部放疗,而播散性的晚期结外NK/T细胞淋巴瘤则仅进行化疗,化疗方案包括了基于蒽环类化合物的治疗方案(CHOP),基于依托泊苷的方案(VIPD或EPOCH)和基于L-天冬酰胺酶的治疗方案(SMILE或GELOX)。造血干细胞移植在某些患者身上也起到了良好的效果[8,9]。然而因为结外NK/T细胞淋巴瘤病例较少,诊断困难,缺乏临床试验的证据支持,因此较难获得有循证医学证据支持的公认治疗方案。
本病例诊治过程的反思
该患者嗜睡状态,气管切开,部分检查难以配合,受经济条件所限,未能继续完善PET/CT等相关检查。患者肺部感染得到初步控制,生命体征平稳定,但血液科会诊评估该患者不能耐受全身化疗,建议先行放疗;放疗科则基于相关指南的考量,主张先行化疗。患者的进一步治疗存在争议。
本次入院时影像与活检前对比,颅内病灶有进展。浙医二院神经外科认为:病情恶化的责任在于脑干病灶的进展;逆转恶化趋势的关键在于病因学治疗,尤其对脑干病灶的局部控制。不应拘泥于指南的大体原则而忽略患者的个性化需求,因此更倾向于接受血液科建议,进行颅内病变局部放疗。
在临床工作中对于一些少见疾病,常常缺乏基于高级别循证证据的治疗指南,当指南的大体原则与个体化需求较难统一时,如何制定合理的治疗策略,需要我们突破惯性思维,时常反思与总结。
参考文献
[1] Au WY, Weisenburger DD, Intragumtornchai T, et al. Clinical differences between nasal and extranasal natural killer/T-cell lymphoma: a study of 136 cases from the International Peripheral T-Cell Lymphoma Project. Blood, 2009, 113: 3931-3937.
[2] Abouyabis AN, Shenoy PJ, Lechowicz MJ, et al. Incidence and outcomes of the peripheral T-cell lymphoma subtypes in the United States. Leuk Lymphoma, 2008, 49: 2099-2107.
[3] Yamaguchi M. Current and future management of NK/T-cell lymphoma based on clinical trials. Int J Hematol, 2012, 96: 562-571.
[4] Jaccard A, Hermine O. Extranodal natural killer/T-cell lymphoma: advances in the management. Curr Opin Oncol, 2011, 23: 429-435.
[5] Chaudhary RK, Bhatt VR, Vose JM. Management of extranodal natural killer/t-cell lymphoma, nasal type. Clin Lymphoma Myeloma Leuk, 2015, 15: 245-252.
[6] Au WY. Current management of nasal NK/T-cell lymphoma. Oncology (Williston Park), 2010, 24: 352-358.
[7] Nabors LB, Portnow J, Ammirati M, et al. NCCN Guidelines Insights: Central Nervous System Cancers, Version 1.2017. J Natl Compr Canc Netw, 2017, 15: 1331-1345.
[8] Zelenetz AD, Abramson JS, Advani RH, et al. NCCN Clinical Practice Guidelines in Oncology: non-Hodgkin's lymphomas. J Natl Compr Canc Netw, 2010, 8: 288-334.
[9] Brammer JE, Chihara D, Poon LM, et al. Management of Advanced and Relapsed/Refractory Extranodal Natural Killer T-Cell Lymphoma: An Analysis of Stem Cell Transplantation and Chemotherapy Outcomes. Clin Lymphoma Myeloma Leuk, 2018, 18: e41-e50.
(本文由浙二神外周刊原创,浙江大学医学院附属第二医院神经外科谢之易医师整理,刘凤强主任医师审校,病理科许晶虹主任提供病理诊断意见,张建民主任终审)
往期回顾
浙二神外周刊(第一百六十五期)原发性IDH突变型胶质肉瘤一例
浙二神外周刊(第一百六十四期)侧裂深部不典型脑膜瘤一例
浙二神外周刊(第一百六十三期)脊顽固复发性慢性硬膜下血肿一例
浙二神外周刊(第一百六十期)儿童鞍区生殖细胞瘤一例
浙二神外周刊(第一百五十九期)小脑脂肪神经细胞瘤一例
浙二神外周刊(第一百五十八期)眼外伤手术后重水迁移入脑室蛛网膜下腔一例
浙二神外周刊(第一百五十七期)重型颅脑损伤术后诱发应激性心肌病一例
浙二神外周刊(第一百五十五期)源于嗅神经的毛细胞星形细胞瘤一例
浙二神外周刊(第一百五十三期)不典型脑膜瘤一例
浙二神外周刊(第一百五十二期)无症状颅内巨大海绵状血管瘤一例
浙二神外周刊(一百五十一期)佳作赏析|柳夫义医师获中国医师协会“神外手术视频展播秀”新锐组最佳人气奖
浙二神外周刊(一百五十)--左侧额颞岛叶弥漫性胶质瘤一例(2018华东胶质瘤MDT病例四)
浙二神外周刊(一百四十九)--节细胞胶质瘤一例(2018华东胶质瘤MDT病例三)
浙二神外周刊(一百四十八)--上皮样胶质母细胞瘤一例(2018华东胶质瘤MDT病例二)
浙二神外周刊(一百四十七)--历经三年浙沪接力诊疗的疑难复杂病例一例
浙二神外周刊(一百四十六)--多技术应用切除优势半球岛叶胶质瘤一例
浙二神外周刊(一百四十四)--佳作赏析丨洪远主任获2018全国青年医师”齐柏林杯“神经内镜手术视频大赛特等奖
浙二神外周刊(一百四十三)--研究进展 | 脑胶质瘤MRI浸润征象与预后
浙二神外周刊(一百四十二)--“2018西湖神经外科论坛”成功召开
浙二神外周刊(一百四十)--颅内多发粘液性动脉瘤一例
浙二神外周刊(一百三十九)--创伤性脑膜中动脉假性动脉瘤一例
浙二神外周刊(一百三十八)--侧脑室三角区肿瘤术后孤立颞角综合征一例
浙二神外周刊(一百三十七)--以出血为首发症状的多形性黄色星形细胞瘤一例
浙二神外周刊(一百三十六)--垂体ACTH细胞增生性库欣病一例
浙二神外周刊(一百三十四)--腰髓动静脉畸形出血导致颅内蛛网膜下腔出血一例
浙二神外周刊(一百三十三)--疑似鞍区海绵状血管瘤一例
浙二神外周刊(一百三十一)--以腰椎播散灶为首发症状的颅内室管膜瘤一例
浙二神外周刊(一百三十)--亚裔学生的美国神经外科医师成长之路(来自UCLA华裔学生的经历分享)
浙二神外周刊(一百二十九)--开颅术后继发硬脑膜动静脉瘘一例
浙二神外周刊(一百二十八)--sternberg管未闭脑膜脑膨出致脑脊液鼻漏一例
浙二神外周刊(一百二十七)--中药皂角刺致颅内脊索瘤术后残余肿瘤萎陷?
浙二神外周刊(一百二十六)--利用复合手术室多学科合作处理头部刀刺伤一例
浙二神外周刊(一百二十五)--经静脉入路栓塞深部脑动静脉畸形一例
浙二神外周刊(一百二十四)--颅咽管瘤术后并发尾状核、壳核脱髓鞘1例
浙二神外周刊(一百二十三)--库欣病合并全身多发占位性病变一例
浙二神外周刊(一百二十二)--经皮脊柱内镜手术切除腰椎巨大滑膜囊肿一例
浙二神外周刊(一百二十一)--孤立性室管膜下巨细胞星形细胞瘤一例
浙二神外周刊(一百二十)--伴有ALK融合基因的颅内转移性肺神经内分泌癌一例
浙二神外周刊(一百一十九)--静脉入路栓塞舌下神经管区硬脑膜动静脉瘘一例
浙二神外周刊(一百一十八)--儿童中央区病灶致顽固性癫痫外科手术一例
浙二神外周刊(一百一十七)--丙戊酸钠相关高血氨脑病一例
浙二神外周刊(一百一十六)--儿童眶尖-海绵窦-颞下窝病变一例
浙二神外周刊(一百一十四)--高血压性脑干出血治疗--浙二的观点
浙二神外周刊(一百一十三)--“复合高压锅技术”治疗横窦区硬脑膜动静脉瘘一例
浙二神外周刊(一百一一十二)--应用新型动脉瘤内栓塞装置(WEB)栓塞前交通未破裂动脉瘤一例
浙二神外周刊(一百一十一)--儿童四脑室室管膜瘤术后并发胃瘫综合征一例
浙二神外周刊(一百零八)--新发现AIP基因突变位点的家族性单纯性GH瘤家系一例
浙二神外周刊(一百零七)--自发性低颅压致双侧硬膜下血肿一例
浙二神外周刊(一百零六)--张建民教授牵头国家重点研发计划:“基于脑机接口的脑血管病主动康复技术研究及应用”正式启动
浙二神外周刊(一百零五)--颅骨板障表皮样囊肿合并慢性硬膜外血肿一例
浙二神外周刊(一百零四)--内镜辅助显微手术半椎板入路切除儿童颈髓腹侧肠源性囊肿一例
浙二神外周刊(一百零三)--颅骨缺损修补术后并发急性脑肿胀一例
浙二神外周刊(一百零一)--胶质瘤的病理特征与位置分布的关系
浙二神外周刊(九十九)--垂体生长激素腺瘤卒中伴发脑梗塞一例
浙二神外周刊(九十六)--桥小脑角脑膜瘤伽马刀后并发PICA血栓性动脉瘤一例
浙二神外周刊(九十四)--颅内表皮样囊肿自发破裂伴血清CA-199显著升高一例
浙二神外周刊(九十二)--鞍上毛细胞黏液样星形细胞瘤伴自发性出血一例
浙二神外周刊(九十一)--2017西湖神经外科论坛成功召开!
浙二神外周刊(九十)--以尿崩症为首发表现的Erdheim-Chester病一例并文献复习
浙二神外周刊(三十七)--垂体瘤伴发鞍结...
浙二神外周刊(三十六)--脑膜血管瘤病...




