![]()
本期编译人员:
茅伟伟 (上海新华医院小儿神经外科)
田帅伟 (上海新华医院小儿神经外科)
张 钦 (海南省儿童医院神经外科)
李春旭 (哈医大附一院神经外科)
王子璇 (上海东方医院神经外科)
审校:
张晨冉(上海新华医院小儿神经外科)
杨孔宾
马 杰(上海新华医院小儿神经外科)
JNS Pediatrics
九月文章速览
1. 儿童去骨瓣减压术后行颅骨修补术的并发症:一项多中心回顾性研究
Complications following pediatric cranioplasty after decompressive craniectomy: a multicenter retrospective study.
DOI: 10.3171/2018.3.PEDS17234.
儿童去骨瓣减压术后的颅骨修补术非常具有挑战性,既往的单中心研究报道了影响颅骨修补术后材料吸收和感染的不同危险因素,本文的多中心回顾性研究望明确儿童颅骨修补术后出现颅骨吸收和感染的风险因素。作者分析了2000-2011年间,在美国13家小儿神经外科中心行颅骨修补术(去骨瓣减压术后)患儿的临床资料,包括去骨瓣减压术的指征、头部外伤史、离体骨瓣保存方法(冰冻保存或腹部皮下保存)、骨瓣固定方法(缝线、可吸收或钛链接片)、是否引流、移植骨大小、是否有其他植入物(如VP分流装置)、是否有帽状腱膜下积液、颅骨修补术时年龄、去骨瓣减压术和颅骨修补术的间隔时间等。研究共纳入359位患儿,术时平均年龄8.4岁,51.5%为女孩,颅骨修补术后平均随访时间为32个月。38例(10.5%)并发感染,多因素分析发现颅内植入物(主要为VP分流装置)、胃造瘘术和呼吸机依赖,与修补术后感染显著相关。在240例行骨瓣移植(216例为保存的自体颅骨骨瓣,22例为其他的自体骨,2例为异体骨)的患儿中,21.7%的病人因骨瓣吸收明显需再次手术,预测骨瓣吸收最重要的因素是术时年龄,病人年龄每增加1个月,骨瓣吸收的风险就降低1%。此项研究也存在一定不足,比如既往研究提出的部分危险因素未纳入研究,如是否有粉碎性骨折等。在有限的随访时间内,单从移植骨吸收的角度,本文结论倾向于使用人工修补材料,但需要前瞻性对照研究来明确。
![]()
图1.去骨瓣减压术的病因总结
![]()
表2.颅骨修补术后感染的多因素回归分析
【王子璇】
2. 儿童和青少年高空坠落后脑外伤的回顾性分析
Traumatic brain injury in high versus low falls in young children and adolescents: a retrospective analysis.
DOI: 10.3171/2018.2.PEDS17714.
所谓的低空坠落伤在创伤学中备受关注,迄今为止,尚无儿童人群中低空和高空坠落伤的对比研究。本研究通过比较高低空坠落伤的临床症状、诊断标准和受伤程度,以评估坠落高度对损伤程度和预后的影响。本研究获得了当地伦理研究会的批准,回顾分析了从2009年1月到2014年8月期间,在德国汉堡大学医学中心附属医院诊断为脑外伤并接受治疗的患儿(5-17岁),收集了电子病例中患者的以下临床数据,包括:受伤机制;初诊时的神经系统查体情况,如意识状态、症状、GCS评分等;影像学资料;诊断;住院时间;所有的颅脑操作史包括侵袭性颅内压监测和Glasgow预后量表(GOS)。在380位患者中,共有65例系坠落伤,其中26例坠落高度≥3米,28例坠落高度低于3米(11例未记录坠落高度)。坠落高度≥3米的患者在急诊室接受螺旋CT检查的概率是坠落高度小于3米患者的22倍(p=0.05);而且,前者接受头颅CT检查的概率是后者的7.4倍(p=0.02)。≥3米的高处坠落伤患儿接受更多的非颅脑损伤相关手术,但两组之间颅脑手术的次数无明显差异。随访时间为0到92个月,平均12.5月,高低空坠落组在GOS评分5级(恢复良好)和4级(轻度残疾)的分布没有明显差别。可见低处坠落伤与颅内出血密切关系,需要ICU监护和(或)手术干预。作者提倡,应根据病情而非坠落高度,对坠落伤患儿进行神经重症监护和CT检查。
【王子璇】
3. 家庭和个人精神病史对运动相关脑震荡的脑震荡后综合征影响
The role of family and personal psychiatric history in postconcussion syndrome following sport-related concussion: a story of compounding risk.
DOI: 10.3171/2018.3.PEDS1850.
运动相关脑震荡(Sport-related concussion, SRC)目前已经成为一个重要的公共卫生问题,SRC的恢复期延长,又被称为脑震荡后综合征(postconcussion syndrome, PCS),它跟多种生物心理社会学因素相关,然而家庭成员精神病史(family psychiatric history,FPH)(如焦虑症、抑郁症、双相情感障碍和精神分裂症等)和个人精神病史(personal psychiatric history,PPH)(如抑郁症)对PCS的影响未见报道。作者回顾收集了154名被诊断为脑震荡后综合征高中生运动员的资料。PCS定义为SRC后6周,患者仍有3个或以上脑震荡症状。这些研究人群被分为以下三组:1)具有FPH和PPH病史(FPH/PPH),2)只有FPH,3)无FPH和PPH(对照组)。具有FPH/PPH的运动员与对照组相比,PCS的发病率增加5倍;具有FPH的运动员与对照组相比,PCS的发病率增加2.5倍。具有FPH/PPH与FPH的运动员相比,PCS的发病概率无增加。在多种FPH因素中,焦虑和双项情感障碍与PCS的发病显著相关。可见,在处理SRC和PCS时,应详细采集FPH和PPH。
【张 钦】
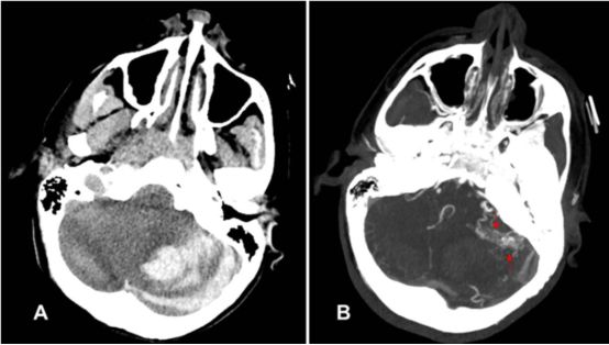
4.儿童未确诊大脑动静脉畸形引起的急性致命性脑出血:单中心回顾性研究
Acute fatal hemorrhage from previously undiagnosed cerebral arteriovenous malformations in children: a single-center experience.
DOI: 10.3171/2018.3.PEDS1825.
动静脉畸形(AVM)引起的脑出血最严重的并发症就是死亡,该单中心研究分析之前未确诊的AVM出血致突发死亡的发生率,明确相关的临床和影像学因素。作者回顾分析了2006-2017年间之前未确诊的AVM首次颅内出血的57位患者,平均年龄10.8岁。其中7位(12%)患儿(平均年龄11.5岁)的脑出血导致死亡,死亡患儿罹患后颅窝AVM的概率是存活患儿的4倍,未发现明显的诱发因素(如剧烈运动、外伤等),死亡的7例患儿中3例在入院前出现过心脏骤停。42/50例(84%)存活的患儿最后行AVM切除术,这些数据说明积极主动的处理儿童动静脉畸形是非常必要的。
![]()
左侧小脑半球AVM突发出血致患儿死亡
【张 钦】
5.基于血池显像剂(纳米氧化铁)的高分辨率3D容积增强磁共振在儿童脑动静脉畸形诊疗中的应用研究
High-resolution 3D volumetric contrast-enhanced MR angiography with a blood pool agent (ferumoxytol) for diagnostic evaluation of pediatric brain arteriovenous malformations.
DOI: 10.3171/2018.3.PEDS17723.
动静脉畸形(AVMs)患者常常需要反复行MRI或MRA、CTA和DSA等检查。理想的成像方式既可以提供良好的血管成像,又不额外增加风险,如辐射线暴露。本研究的目的是使用高分辨率3D容积序列纳米氧化铁增强MRA(fe-SPGR),通过与CTA和DSA比较,评价其在儿童AVM可视化和评分中的作用。作者回顾性研究了2014年4月至2017年8月期间的21例AVM患者,均使用fe-SPGR, CTA和DSA来评估病情。两位经验丰富的评分人员利用Spetzler-Martin评分标准对所有的AVM进行评分。采用5点李克特量表评估病灶显著性(Lesion conspicuity,LC)和诊断可靠性(diagnostic confidence,DC),并确定评价者的一致性。关于AVM的Spetzler-Martin评分,上述三种检查方法未见显著差异;fe-SPGR的LC和DC评分高于CTA;CTA和fe-SPGR,CTA和DSA之间的LC评分有显著差异,而fe-SPGR和DSA之间的LC评分无差异。DSA, fe-SPGR和CTA三者间以及两两比较,DC评分均有明显差异。评分者的一致性在所有检查方法中均表现良好。作者认为Fe-SPGR在脑AVMs诊断评价中表现良好,其影像效果优于CTA,其Spetzler-Martin分级与CTA和DSA相当。
![]()
右侧额叶AVM(A-MRA、B-CTA、C-Fe-SPGR、D-DSA)
【张 钦】
6.病例报道:夹杂脂肪组织的单纯小脑后下动脉动脉畸形1例
Pure arterial malformation of the posterior inferior cerebellar artery with interspersed adipose tissue: case report.
DOI: 10.3171/2018.4.PEDS18135.
“纯动脉畸形”(pure arterial malformation,PAM)是指在没有动静脉分流的情况下,扩张、重叠和扭曲的动脉形成的线圈样外观的动脉环。这些病变的发病机制不清,被怀疑系先天性疾病。作者报告了1例17岁女性患者,因先兆偏头痛行头部MRI,偶然发现小脑后下动脉(PICA)近端PAM,其中有脂肪组织分布在动脉环内。随访8年,MRI均显示血管及脂肪组织结构稳定,DSA亦证实为PICA近端PAM。作者认为这种异常的颅内血管和脂肪组织间的关联进一步支持PAMs是先天性畸形的理论,考虑到其预想的良性自然病程,对该疾病行保守治疗是安全的。
![]()
经右侧椎动脉DSA造影显示小脑PICA近端PAM:正位片(A) ,侧位片(B),3D旋转成像(C)。
【田帅伟】
7.病例报道:一例对氯吡格雷不敏感的巨大颈段颈内动脉动脉瘤患儿的复合血管介入治疗
Hybrid vascular intervention for a giant cervical carotid artery aneurysm in a clopidogrel-hyporesponsive child.
DOI: 10.3171/2018.3.PEDS17669.
儿童颈内动脉(ICA)颅外段动脉瘤是一种罕见的动脉瘤,多采用外科手术治疗。作者报道了一例造成气道压迫的儿童ICA颅外段动脉瘤。治疗计划为先手术探查动脉瘤,术中矫正动脉迂曲,便于颈动脉重建失败后行血管内介入治疗。最后,作者采用分期复合治疗手段成功处理了该动脉瘤,即先外科矫正载瘤动脉迂曲,后置入支架。患儿耐受了该手术,无不良反应。术后5月的头颈部CTA显示支架通畅,气道压迫解除。然后,术后14个月的随访CTA显示同侧颈动脉完全闭塞,无临床后遗症,气道受压完全解除。该患儿的处理很特殊,因为他是首例报道的对氯吡格雷反应差且接受血管介入治疗,后行普拉格雷单药治疗。
![]()
颈段ICA动脉瘤的影像:A.C-CTA, B-CT、D.E-DSA
【田帅伟】
8. 小儿颞叶癫痫静息态连通性的变化
Changes in resting-state connectivity in pediatric temporal lobe epilepsy.
DOI: 10.3171/2018.3.PEDS17701.
功能连通性磁共振成像(FcMRI)是指在无任务、静息状态下分析血氧水平依赖的信号改变的功能磁共振,该技术已被证明在评估癫痫的网络连通性变化方面是有效的。利用18例单侧颞叶癫痫患儿的术前FcMRI资料,作者在患侧和健侧颞叶内行seed-based分析,测量并比较颞叶种子内部和彼此的连通性。研究发现,患侧颞叶局部连通性明显高于健侧颞叶;患侧到健侧颞叶的连通性,显著低于健侧到患侧。患侧颞叶局部连通性的变化低于颞叶间连通性的变化。有或无颞叶内侧硬化症的病人间比较,患侧的连通性改变差异显著。在单侧颞叶癫痫中,应用fcMRI可以观察到患侧颞叶和颞叶间连通性的显著变化。此外,fcMRI可能对顽固性颞叶癫痫患者的术前评估有一定作用。
![]()
颞叶癫痫患者的FcMRI连通性变化
【田帅伟】
9. 两种儿童药物难治性颞叶癫痫手术:选择性杏仁海马切除术与颞叶前叶切除术,术后的癫痫情况对比
Seizure outcome in pediatric medically refractory temporal lobe epilepsy surgery: selective amygdalohippocampectomy versus anterior temporal. lobectomy.
DOI: 10.3171/2018.4.PEDS17607.
外科手术是治疗儿童药物难治性颞叶癫痫(TLE)的主要手段。该研究的目的是比较TLE行选择性杏仁海马切除术(selective amygdalohippocampectomy,SelAH)或前颞叶切除术(anterior temporal lobectomy,ATL)后,患者的长期癫痫控制情况,再手术率和术后神经心理学表现。作者回顾性分析了79例手术患者(18例接受SelAH,61例行ATL)的术前术后评估资料,包括癫痫发作图、头皮和长程视频脑电图、1.5T-MRI和神经心理学测试。平均随访时间为5.3年,首次手术时的平均年龄为10.6岁,癫痫发作和手术的间隔时间平均为5.7年。首次行ALT手术患儿的Engle I级比例(47/61,77%)明显高于SelAH组(8/18,44%;p=0.017)。两种术式患儿术后出现神经心理障碍的比例无明显差异。然而,SelAH术后再次手术的比例(8/18,44%)高于ATL组(7/61,11%;p=0.004),且再次手术的耐受性好,未见显著的神经心理功能恶化。最近随访显示,包括15例再次手术的患者在内,58例(58/79例,73%)患者的癫痫没有发作。在药物难治性单侧TLE患儿中,SelAH的癫痫控制率明显低于ATL组。SelAH后,再手术的可能性大,作者反对SelAH治疗儿童TLE。
【田帅伟】
10.近期感染EB病毒的8岁女童同时罹患EB病毒相关的颅底及肾上腺平滑肌肿瘤
Synchronous Epstein-Barr virus–associated skull base and adrenal smooth-muscle tumors in an 8-year-old girl with recent Epstein-Barr virus infection.
DOI:10.3171/2018.3.PEDS17609.
EB病毒相关的的平滑肌肿瘤是一种见于免疫功能不全患者的罕见肿瘤。大多数见于艾滋病或器官移植后患者,个别见于先天性免疫功能不全者(近来文献仅见5例报道)。
作者报道了一例既往健康的8岁女童,因头痛及性早熟就诊,检查发现一个巨大的颅底(颈静脉孔区)病变,同时发现左侧肾上腺占位,患儿接受了两处病变的切除手术。对患儿行已知免疫缺陷综合症的详细检测均为阴性结果。患儿接受了免疫球蛋白的短程治疗,在接下来17个月的随访中未见复发。作者对这种机会性感染病例是否进展、有无新发和复发病变等进行了密切监测,推荐出现其它病变将对其进行再次手术切除或放疗。
![]()
【茅伟伟】
11.帕比司他经对流增强给药法(CED法)的分布、代谢和脑干毒性
The distribution, clearance, and brainstem toxicity of panobinostat administered by convection-enhanced delivery.
DOI:10.3171/2018.2.PEDS17663.
泛素脱乙酰酶抑制剂——帕比司他在实验研究中认为对弥漫性内生型桥脑胶质瘤(DIPG)有效,其口服剂型已进入一期临床试验。但该药物无法通过人的血脑屏障,对流增强给药法(CED)是一种新的可以通过血脑屏障的神经外科给药技术,在目前的DIPG治疗研究中广受关注。
作者开展了在小型及大型动物模型的研究,研究通过CED法帕比司他的水溶性制剂——MTX110的毒性、分布、清除。作者将幼年雄性Wista大鼠分为两组对照组,24例通过CED法将帕比司他注射入桥脑,12例仅注射入脑室。临床观察持续两周,实验动物在术后72小时或2周处理,对其大脑进行神经病理学检查。另外8例大鼠将帕比司他CED法注射至纹状体,注射后0,2,6及24小时处理后,大脑迅速分离并冷冻。使用液相色谱-串联质谱法(LC-MS/MS) 检测组织药物浓度。使用MRI引导下CED法(使用了为人类设计的药物递送系统)处理猪动物模型研究大动物毒性,对2只幼年长白猪腹侧脑桥注射30μM帕比司他,并在1周或2周后进行临床和神经病理分析,与对照组进行比较,用LC-MS/MS法测定CED后猪白质、灰质的药物分布。结果显示,在小动物和大动物模型中,输注浓度达30μM药物没有临床或神经病理学毒性表现。帕比司他CED后大鼠脑内半衰期为2.9小时,药物分布在猪白质和灰质,容量输注分配比为2比3。水溶性帕比司他CED给药至30μM无毒性且有效分布于正常脑组织。
![]()
【茅伟伟】
12.自体颈筋膜硬脑膜成形术治疗123例Chiari畸形I型:手术技巧和并发症。
Autologous cervical fascia duraplasty in 123 children and adults with Chiari malformation type I: surgical technique and complications.
DOI:10.3171/2018.3.PEDS17550.
硬膜内外联合减压及扩张硬膜成形术技术治疗Chiari畸形Ⅰ型(CM-I)已广为人知,目前有各种异体及自体硬膜成形材料。然而20世纪90年代由作者团队开展的硬脑膜成形术治疗CM-I的方法和手术技术尚未广为人知。
作者从2003年3月开展前瞻性研究并建立数据库,纳入罹患CMI-I的成人及儿童患者(无论有无合并脊髓空洞),记录颈筋膜在硬脑膜成形术中的应用及其并发症。2013年至2016年期间,379例CMI-I 共进行了389次手术,其中123例患者进行了后颅窝硬膜外减压术和硬膜内减压术。作者通过回顾分析这一时间段的数据,总结了CMI-I治疗中获取使用颈筋膜来进行硬膜成形术的外科技巧及其并发症。
作者发现所有年龄段患者(2-61岁)的颈筋膜均获取容易,且能极好应用于CMI-I患者硬脑膜扩张成形,它具有较好的延展性和相容度以保证缝合严密。并发症少,儿童组78例无一例发生诸如无菌性脑膜炎、脑脊液漏,假性脑膜膨出、脑积水等并发症,成人组并发症发生率为6.7%(无菌性脑膜炎1例,脑脊液漏2例)。作者据此得出结论, CM-I的治疗中自体颈筋膜较易获得,且在硬膜成形术中效果显著,自体颈筋膜硬膜成形术联合硬膜内外减压并发症较少。
![]()
【茅伟伟】
13.一项基于CT的研究——双生长棒技术对早发型脊柱侧凸患者顶椎旋转的影响及至少两种延长方法的重新评价
A re-evaluation of the effects of dual growing rods onapical vertebral rotation in patients with early-onsetscoliosis and a minimum of two lengthening procedures:a CT-based study.
DOI: 10.3171/2018.3.PEDS1832.
本研究探讨早发型脊柱侧凸(EOS)患者传统双生长棒(DGRs)轴位旋转矫正效果,进一步探讨轴位和躯干畸形的关系。
作者回顾性分析2006年1月至2014年12月间应用传统DGRs治疗EOS患者的临床资料。X线平片评估冠状位和矢状位畸形的程度。在顶椎层面CT扫描上测量顶椎旋转(AVR)和肋骨驼峰样隆起(RH)。用Pearson 或Spearman相关分析方法来分析脊柱和躯干畸形之间的关系。作者共纳入27例患者(男10例,女17例,平均年龄6.5±1.7岁)。每例患者的延长数为5±1.9,平均随访时间为52.9±18.2个月。顶椎偏移、顶椎椎体肋骨比(AVB-R)、AVR和RH参数在初次手术后显著降低(p<0.05),但在最近的随访评估中显示出显著进展(p<0.05)。AVR术前值及术后矫正值与Cobb角、AVB-R、RH的矫正值显著相关。从最初的手术到最近的随访期间,AVR与AVB-R的恶化,以及AVR与RH的恶化之间均发现显著的相关性。
作者据此给出结论,DGRs技术在初次手术后可明显改善AVR矫正情况,但该技术在随访中很难防止AVR的恶化。
![]()
【茅伟伟】
14.病例报告:寄生性脊柱连胎
Parasitic rachipagus conjoined twin: case report.
DOI:10.3171/2018.3.PEDS1822.
寄生双胞胎是一种罕见的发育异常,表现为在出生时,连接到宿主身体的一个不对称且无法存活的连体双胞胎。脊柱连胎是最稀有的连体双胞胎亚型之一,典型特征是寄生胎附着在脊柱上。本文作者回顾有关文献,报道了一个9月龄女孩的寄生双胞胎案例,表现为宿主上背部中线连接了一对发育完全的下肢。详尽研究了寄体和联胎自养体解剖后,多学科外科团队成功切除寄生胎部分,同时修复了背部缺陷。
![]()
【李春旭】
15.颅内积脓引流后即刻还纳骨瓣的疗效分析
Efficacy of immediate replacement of cranial bone graft following drainage of intracranial empyema.
DOI:10.3171/2018.3.PEDS17509.
颅内积脓若不及时诊断和正确处理,可能会导致患者死亡,并遗留严重的神经功能残疾。本文作者介绍了他们中心的经验,即开颅清除脓肿术后立即还纳骨瓣,并阐明了该方法在颅骨完整性、降低感染复发风险和减少二次手术可能等方面的有效性。
作者回顾分析了19年间(1997-2016年)诊治的脑脓肿患者资料,33例患者接受了脓肿急诊引流+去骨瓣减压术,随访时间超过6个月,其中23人即刻还纳骨瓣。对患者的以下临床资料进行了分析,包括人口统计学信息、感染的范围和部位、骨瓣的大小和固定方法、再次手术干预的可能性以及静脉使用抗生素的疗程。患者术时的平均年龄为8.7±5.7岁,感染大多数继发于鼻窦炎(52.8%),最常见的部位是额叶/颞叶(61.3%)。手术去除了31个骨瓣,平均表面积为22.8±26.9 cm2。初次手术还纳的几乎所有(96.8%)骨瓣长期都具有活力。18名患者(78.3%)需进行一次去骨瓣手术联合抗生素治疗,以解决感染问题;而剩下的21.7%患者需要1次以上的手术。在31个成功复位的骨瓣中,只有1例(3.2%)骨瓣部分重吸收。该患者最终去除了原来的骨瓣,接受了分离式颅骨修复术。21名患者(91.3%)接受了术后CT扫描,以评估颅骨的完整性,平均随访时间为43.9±54.0个月。本研究结果表明,颅内积脓去骨瓣引流术后即刻还纳骨瓣,其感染复发的风险低,是一种恢复颅骨完整性安全有效的方法。
![]()
【李春旭】
16.评估儿童从出生到24个月的囟门大小变化和闭合时间
Evaluation of fontanel size variation and closure time in children followed up from birth to 24 months.
DOI:10.3171/2018.3.PEDS17675.
前囟的大小和闭合时间可作为疾病早期诊断的重要临床标志,了解年龄相关的正常变异对于进一步的治疗决策有重要意义。本文作者根据年龄来描述囟门的大小变化,确定囟门闭合时间,以明确评估囟门大小的最佳方案。 该研究为前瞻性队列研究,连续招募321名符合入选标准的健康婴儿,制作从出生到24个月的平均前囟大小和斜测量结果的百分比图表。结果显示前囟闭合的平均时间为个9.7±5.0月(女孩10.3±4.7个月,男孩9.2±5.1个月),传统测量方法和斜测量之间没有发现差异;囟门早期闭合与小头畸形无关。斜测量和传统方法一样精确,可以常规使用。应密切监测囟门测量超过95百分位以上的儿童,并进一步检查以排除潜在疾患。
![]()
【李春旭】






