![]()
今天为大家分享的是《贝朗时间》第三十四期,由首都儿科研究所神经外科主任张冰克教授带来的:鞍上池蛛网膜囊肿造瘘后分流一例,欢迎阅读、分享!
鞍上池蛛网膜囊肿造瘘后分流
![]()
张冰克,首都儿科研究所神经外科主任,北京医师协会理事,北京医学会小儿外科理事,任北京大学医学部神经外科学学系教授委员,从事神经外科三十余年,从事小儿神经外科二十六年成功实施了6000余例神经外科手术,其中儿童颅内肿瘤及脊髓肿瘤手术就达3000余例,多为疑难手术,三四级手术占总手术的80%以上。同时对小儿脑积水,脑室炎,新生儿颅脑出血,新生儿先天畸形的处理有丰富经验,总体有效率在90%以上,治愈率达70%以上。目前主要从事新生儿及婴幼儿神经系统肿瘤及先天疾病的治疗。
病史简介
患者,男,1岁5个月,就诊时头围54cm,明显大于正常,运动发育迟缓。
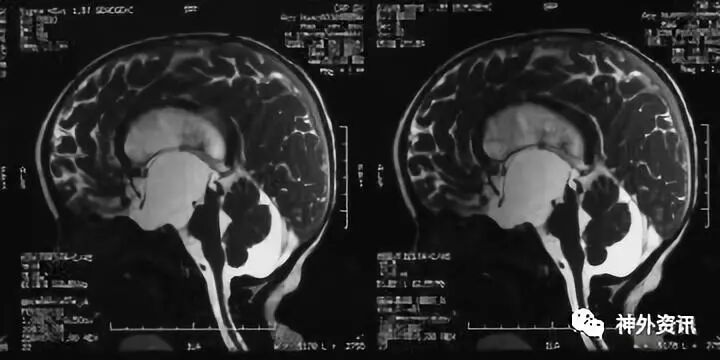
检查头颅磁共振如图:
![]()
可见鞍上池蛛网膜囊肿,并堵塞室间孔和中脑导水管上口导致脑积水。
诊疗经过
鞍上池蛛网膜囊肿最有效、安全的方法是内镜下囊肿造瘘术。内镜下囊肿造瘘术有脑室-囊肿造瘘(VC)和脑室-囊肿-脑池(VCC)造瘘两种术式。儿研所神外医生采用的方法是有效率最高的VCC
![]()
第一次术后1月复查MRI可见 囊肿消失,造瘘口通畅(粗箭头)导水管通畅(细箭头)
术后患儿语言较前进步。但头围继续生长,运动发育迟缓,需要人搀扶才能走路。造瘘术后5月头围增长到57cm。
经过讨论后决定再次手术:内镜探查及脑室腹腔分流术。
![]()
![]()
![]()
二次内镜探查可见造瘘口及导水管都是通畅的,考虑患儿存在交通性脑积水,医生使用贝朗蛇牌proGAV2.0分流管 进一步为患儿做了脑室腹腔分流术。
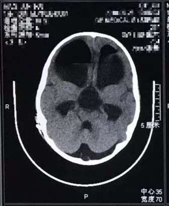
术后复查CT如图:
![]()
![]()
目前患儿尚在进一步恢复中。
经验体会
鞍上池蛛网膜囊肿经VCC后囊肿消失可达到100%,但仍有15%左右的病人因脑脊液吸收障碍,需要进一步行脑室腹腔分流手术。
往期回顾




