今天神介资讯“教学病例专栏”为大家分享的是海军军医大学附属长海医院黄清海教授、吴曦副教授等带来的椎基底动脉冗长扩张症,欢迎阅读。
一、病例简介
病例1椎基底动脉冗长扩张症
1.临床表现
患者,57岁,男性,以左侧枕顶部慢性胀痛起病,病程5年余,近7个月头痛症状逐渐加重,布洛芬缓释胶囊治疗无效,至我院就诊。既往有吸烟史42年,高血压病Ⅲ级(极高危组),甲状腺腺瘤手术史。
2.影像学表现
MRI:头颅MRI平扫显示椎基底动脉均增粗,基底动脉偏向左侧并超过鞍背外侧,基底动脉桥脑水平从左侧压迫脑干,脑干无明显水肿。T₂WI可见增粗的基底动脉内有血栓形成(图16-1A)。
CTA:椎基底动脉明显增粗,以右侧椎动脉为优势椎动脉,双侧椎动脉硬化,椎基底动脉汇合处明显向左侧偏移,基底动脉中下段可见梭形动脉扩张(图16-1B)。
DSA:前后位的右侧椎动脉造影显示右侧椎动脉及基底动脉增粗,基底动脉中下段管腔膨大,椎基底动脉明显向左侧偏移(图16-1C)。
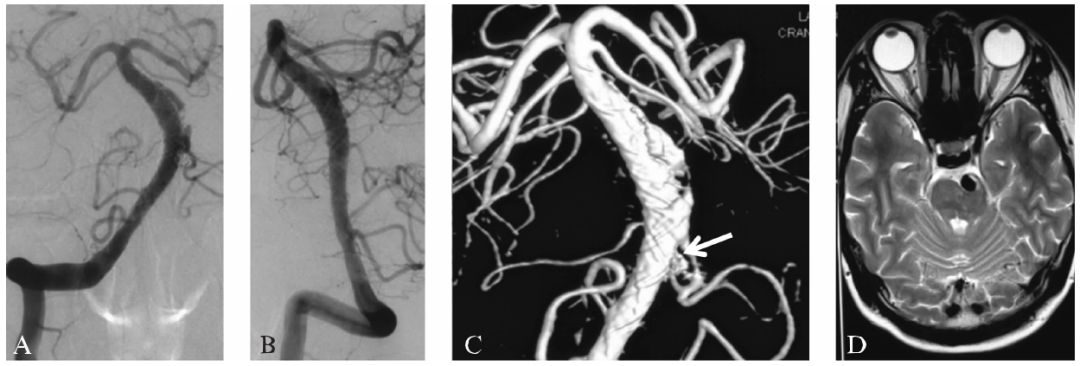
![]()
图16-1椎基底动脉冗长扩张症患者术前影像学检查
A:MRI平扫T₂WI轴位示基底动脉血管腔内血栓形成;
B:CTA三维成像(后前位观);
C:椎基底动脉冗长扩张症血管造影图像
3.诊断
椎基底动脉冗长扩张症。
4.治疗
(1)治疗策略
分阶段多支架血管重建术。
(2)材料及药物
7F鞘管;
6F导引导管;
0.035 inch导丝(Terumo,Somerset,NJ);
弹簧圈微导管(Echelon 10);
弹簧圈:Cosmos 10 mm/36 cm(Microvention);
支架微导管Vasco;
0.014 inch微导丝(Transcend Platinum,Boston Scientific);
三头Y型阀X2,普通Y型阀X2;
支架:LEO支架5.5mmX75mm,5.5mmX50mm(Balt Extrusion,Montmorency,France);
造影剂;
肝素;
阿司匹林、硫酸氢氯吡格雷(波立维)。
(3)手术过程
术前3d双联抗血小板治疗(阿司匹林100mg/d+波立维75mg/d)。
7F导引导管超选至右侧椎动脉的C₁~C₂水平。使用双导管技术,由于基底动脉扩张段的管径明显大于支架管径,因此我们使用1枚Cosmos 10mm/36cm的弹簧圈在基底动脉扩张处释放但不解脱,从而辅助稳定另1根微导管释放支架(图16-2A)。使用多支架的Telescoping技术,植入2枚LEO支架重建动脉管腔(图16-2B),并在支架释放后撤出弹簧圈,Dyna CT示支架之间部分重叠覆盖(图16-2C)。术后患者症状减轻,第7天时症状完全消失。
![]()
图16-2患者首次介入治疗的过程及术后复查影像
A:在基底动脉膨胀部位暂时植入弹簧圈为支架作支撑;
B:使用Telescoping技术释放2枚LEO支架覆盖病变动脉,而后收回弹簧圈以减少局部血流动力学影响;
C:术后Dyna CT显示支架的形态(前后位观);
D:术后1个月CTA复查示病变瘤样扩张消失,管径与支架管径一致
(4)术后处理及随访
术后予常规双联抗血小板治疗6周(波立维75mg/d,阿司匹林100mg/d),后改为阿司匹林100mg/d终身服用。
术后1个月复查CTA,提示病变管腔较前缩小(图16-2D)。术后5个月复查DSA提示原有的右侧支架外管腔消失,但病变左侧出现新的支架外管腔(图16-3A~C)。在球囊闭塞试验阴性的情况下,以Hypersoft 2mm/6cm、1.5mm/4cm弹簧圈在左侧椎动脉V4段的小脑前下动脉(AICA)开口与双侧椎动脉汇合部之间进行了椎动脉闭塞术(图16-3D)。
首次术后8个月DSA随访,发现病变影像上仍无明显改善(图16-4A、B),遂再次植入2枚LEO支架覆盖膨出段病变血管(图16-4C~E),可见血管壁膨出部分管腔内血流明显延迟。
![]()
图16-3首次术后5个月时右侧椎动脉DSA随访及第2次介入治疗
A:右侧椎动脉造影显示支架外的右侧管腔消失(前后位观);
B:Dyna CT显示支架左侧新出现了血管的管腔膨出(箭头,前后位观);
C:Dyna CT显示支架外血管膨出的管腔(轴位);
D:以弹簧圈闭塞左侧椎动脉术后即刻造影表现(不减影前后位观)
![]()
![]()
图16-4首次术后8个月复查及第3次介入治疗
A:血管形态较首次术后5个月随访时相仿(前后位减影观),形态学改善不明显;
B:Dyna CT显示支架形态与膨出血管的关系;
C:再次给予植入2枚LEO支架,植入后右侧椎动脉造影(减影的前后位观);
D:植入后右侧推动脉造影(不减影的前后位观);
E:静脉期可见支架外血管管腔内造影剂滞留(箭头,侧位像);
F:Dyna CT显示术后支架的形态,支架覆盖病变血管的密度明显增加
首次术后24个月DSA随访提示病变形态较前改善,但仍有部分管腔膨出,并向穿支动脉供血(图16-5A~C)。临床随访28个月,症状无复发,复查MRI未见新发脑干梗死(图16-5D)。
![]()
图16-5首次术后24个月DSA和28个月MRI复查
A:DSA(前后位)复查提示病变形态进一步改善,仍有少量支架外管腔存在,并向穿支动脉供血;
B:DSA侧位像造影;
C:三维重建后显示的支架外管腔及其供应的穿支动脉(白色箭头);
D:首次术后28个月复查MRI显示未见明显脑干梗死(T₂WI轴位)
二、病例讨论
1.背景与诊断
(1)自然病史
基底动脉冗长扩张症(VBD)是指累及椎基底动脉的以脑血管冗长扩张为特征的血管病变,占颅内动脉冗长扩张症的大部分。对于年龄>40岁的成人而言,VBD发生的主要原因是动脉粥样硬化。患者可以无明显症状,也可出现4类症状,且这些症状会随着年龄的增加和病程的延长逐渐加重,并且趋于更加复杂。4类症状包括:颅神经受压、后循环缺血、动脉破裂出血和脑积水。其中以后循环的缺血和梗死为主。
VBD患者的自然病程虽然较长,但病情逐渐加重并且预后较差,长期的随访研究显示VBD患者往往因为反复的后循环脑梗而死亡,并且死亡率与椎基底动脉形态的恶化程度有关。1篇包括9篇共440例患者的综述总结发现,冗扩患者7年内的死亡率约40%,其中神经系统症状主要以缺血性症状为主,表现为占位效应的患者预后较差,40%会在4年左右死亡。一项观察了平均11.7年的研究发现,没有发生不良健康事件患者的累积比例为第5年时54.1%,第10年时39.5%,第15年时23.5%。VBD患者的长期预后取决于其疾病的严重程度,包括形态学特点(扩张程度、基底动脉分叉高度等)。
(2)非侵袭性影像诊断
目前没有VBD的统一诊断标准,一般认为基底动脉(BA)内腔>4.5mm可以诊断
VBD。Smoker等制定了CT诊断VBD的标准,BA的高度评分:BA分叉(大脑后动脉分又部)低于或平鞍背水平计为0分,达到鞍上池或低于鞍上池计为1分,超过鞍上池及达第三脑室底间计为2分,达或超过第三脑室为3分;水平位移评分:位于鞍背或斜坡的正中线为0分,位于鞍背或斜坡的中线及旁正中线之间为1分,位于鞍背或斜坡的旁正中至边缘间为2分,位于鞍背或斜坡边缘以外或达桥小脑脚为3分。诊断标准规定若高度评分≥2分或位置评分≥2分,直径≥4.5mm即可定义为VBD。
Giang等认为MR比CT更精确,但是水平位移评分可能会与Smoker等稍不同,由于MR缺少骨性标志,所以对于BA位于中线或可疑中线的情况可以评为1级,明显靠向一侧的评2级,达到小脑桥脑角的评3级。
(3)侵袭性影像诊断
DSA血管造影仍是VBD诊断的金标准,其较MRA的优势在于可以更好地观察血
管内血流形态,从而鉴别动脉夹层引起的血管形态扭曲增粗。但是需要注意的是VBD往往会合并管腔的斑块、囊性动脉瘤、梭形动脉瘤、开窗畸形甚至是夹层等其他疾病。
2.治疗
目前还没有针对颅内动脉冗长扩张症(IADE)的特异性治疗方法。因此,当IADE
患者发生出血或缺血症状时,只能按照常规的神经内科诊疗规范进行治疗。有学者认为可以对无症状的VBD患者给予抗血小板和(或)华法林抗凝治疗以减少缺血性卒中的风险,但是有质疑认为抗凝等原因可导致患者颅内出血的风险增高,而且阿司匹林和(或)华法林并不能有效降低卒中的发生率。
(1)血管内介入治疗
对于手术治疗IADE的方法,主要由受累血管的部位和引起的症状而定。有研究
认为干预前循环IADE较后循环IADE效果更好。Mount等最早报道了通过闭塞双侧椎动脉(VA)来治疗VBD的案例,其他一些学者在这一原理的基础上。使用介入或手术的方法治疗VBD。但是即使双侧VA均被闭塞,VBD仍可以继续生长;而且IADE往往同时累及前后循环,双侧VA闭塞后是否会加速前循环病变的演变进程。还需要进一步观察。也有使用单支架、多支架、血流导向装置辅助以弹簧圈通过各种介入治疗的方法来重建BA上的动脉瘤管腔以及VBD及其血管壁上的动脉瘤样小泡。但这些介入治疗的方法主要针对动脉瘤而非VBD本身,因此往往重建的管腔并没有覆盖VBD全长,并且这些研究同样没有长期的随访结果以证实它们可以预防VBD患者后循环缺血性事件的发生。因此,探索可以长期有效预防VBD后循环缺血事件发生的介入治疗方法,对于VBD的治疗格外重要。
(2)手术治疗
在微血管减压术中使用特氟龙束带(Dupont,Wilmington,Delaware)对基底动脉进行复位治疗,可以缓解VBD对脑干和三叉神经造成的压迫。手术行基底动脉血管阻断及血管干移植也可以减少血管的直径。闭塞椎动脉减少基底动脉内的血流,也可以减轻血管管径的扩张程度。但这些手术复位或减压术的治疗效果不确切、手术创伤大,且只能解除VBD的占位效应而没有证据证实它们可以预防后循环缺血事件的发生。
(3)可能的并发症
与所有神经介入手术一样,VBD的介入治疗可出现出血、梗死、夹层等情况,其最主要的并发症是基底动脉的穿支事件,可能导致患者出现严重的神经功能障碍甚至死亡。
三、策略选择及实施要点
1.减少围手术期基底动脉穿支闭塞的风险
(1)坚持药物治疗
平诊患者争取术前连续服用阿司匹林和氯吡格雷14d再进行手术。
(2)分步改变血流动力学
VBD患者往往存在动脉壁上的附壁血栓,并且有基底动脉内血流轴流减缓。因此,如果大量使用弹簧圈和多层支架技术可能引起基底动脉内血流动力学的剧烈改变,导致2种原因引起基底动脉穿支动脉的闭塞:①支架或弹簧圈推挤附壁血栓导致“雪泥”效应,闭塞穿支动脉;②与血流导向装置治疗基底动脉梭形或夹层动脉瘤类似,重叠多支架技术尽管能够获得较为满意的血管重建效果,但高金属覆盖率对基底动脉穿支的影响,使其应用受到限制。早期应用重叠多支架或支架结合弹簧圈栓塞治疗VBD的缺血并发症发生率极高。因此,尽量避免使用弹簧圈或分期多次支架成形术可降低此类并发症的发生。
2.完全覆盖病变血管的要点
VBD病变血管壁往往较长,可以使用Telescoping技术覆盖全部病变血管,采用支架半释放技术可以对支架的位置进行适当调整。
3.早期连续随访
由于无法术前准确评估支架引起血流动力学改变后,是否足以使病变血管逐渐恢复管腔直径,且即使管腔形态稳定,后续随访发现有病情进展的可能,因此术后1个月的早期影像学随访及规律的每6个月1次的影像学随访是非常必要的。
(吴曦 黄清海)
![]()
![]()
![]()






