![]()
今天为大家分享的是《贝朗时间》第三十一期,由河北医科大学第二医院东院区神经外科吴建梁教授带来的:经右侧翼点入路夹闭右侧后交通及左侧脉络膜前动脉动脉瘤,欢迎阅读、分享!
经右侧翼点入路夹闭
右侧后交通及左侧脉络膜前动脉动脉瘤
![]()
吴建梁,河北医科大学第二医院东院区神经外科教授,主任医师,医学博士,博士后,河北医科大学硕士研究生导师,国家自然基金委员会专家库成员,国家教育部科研基金和科技奖励评审专家,国家科技部国际科技合作计划评价专家库成员,河北省卒中学会出血性卒中外科分会副主任委员,河北省社区康复医学会昏迷促醒专业委员会副主任委员,河北省中西医结合学会神经外科委员会常委,河北省血管健康与技术协会常委,欧美同学会河北省分会执委等。曾分别于日本、美国及德国进行学习或访学,承担国家自然科学基金项目及省部级科研基金多项,国内外专业杂志发表论文40多篇。目前主要从事神经系统血管性疾病的诊断与治疗工作,对颅内微小动脉瘤、颅内巨大动脉瘤、颅内多发动脉瘤、脑动静脉畸形以及烟雾病等疾病的治疗积累了比较丰富的经验。
病史简介
患者,男性,47岁,
主因突发头痛伴恶心呕吐10天、右眼视物不清及右眼睑下垂1天入院。
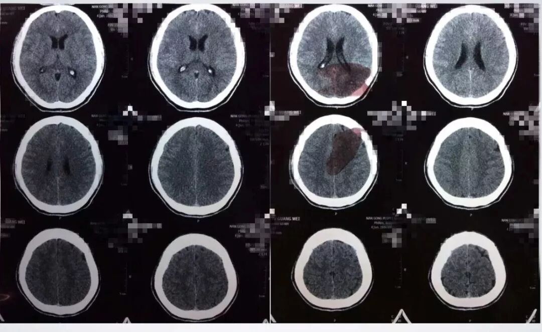
患者缘于10天前无明显诱因突发头痛伴呕吐,于当地医院就诊查头部CT提示:SAH;遂于当地医院予以保守治疗,其后症状逐渐好转;于发病9天后突然出现右眼眼睑下垂及右眼视物不清,遂到河北医科大学第二医院东院区就诊。头部CT提示未见明显出血;头部CTA提示:右侧后交通动脉动脉瘤及左侧脉络膜前动脉动脉瘤。
![]()
![]()
发病当天CT
![]()
![]()
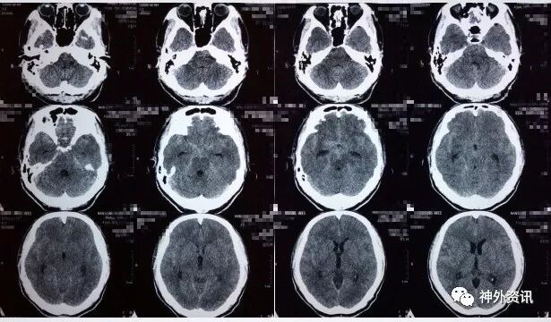
发病后9天CT
![]()
![]()
![]()
![]()
经右侧翼点入路夹闭
右侧后交通及左侧脉络膜前动脉动脉瘤
![]()
![]()
![]()
![]()
![]()
![]()
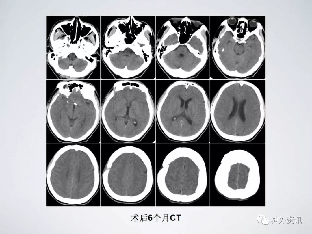
术后6个月
讨论
颅内多发动脉瘤(MIA,multiple intracranial aneurysms)是指2个或2个以上的颅内动脉瘤,约占颅内动脉瘤的15%~45%,具有高破裂率、高致残率和高死亡率的风险。由于动脉瘤数量的增加及空间分布的多样性,MIA一直是颅内动脉瘤治疗的难点之一。特别是涉及双侧半球或者是同时涉及前后循环的多发动脉瘤,目前临床上基本上都是分期手术或者手术与介入联合治疗。
相关研究表明,对于MIA来说,介入治疗与开颅夹闭治疗的术后并发症并无统计学差异,但是开颅夹闭治疗的复发率更低。由于MIA空间分布的特殊性以及解剖结构的复杂性,一次性夹闭治愈MIA手术风险高、技术难度大,一直困扰着神经外科临床医师。但是随着手术器材和显微技术的进步,吴建梁教授的团队不断探索,制定了一系列的术前评估、术中操作及术后管理的质控标准。截止目前,吴建梁教授团队已开展了两百多例由单侧入路夹闭颅内多发动脉瘤病例的手术治疗,并且经过专项影像学和认知功能测评和随访,其与同期单发动脉瘤夹闭手术相比无统计学差异,是一种安全有效的治疗策略。
因此对于颅内多发动脉瘤患者,尤其是双侧颅内多发动脉瘤的病例,通过综合评估可行单侧开颅夹闭的应积极手术治疗,这样既可以减少患者再次手术的痛苦及治疗时间,又能节省患者住院费用,从而使患者获得最大的收益。
参考文献
1. Meybodi A T, Lawton M T, Rubio R R, et al. Contralateral approach to middle cerebral artery aneurysms: an anatomical-clinical analysis to improve patient selection[J]. World Neurosurgery, Elsevier Inc, 2018, 109: e274-e280.
2. Asiltürk M, Abdallah A. Clinical outcomes of multiple aneurysms microsurgical clipping: Evaluation of 90 patients[J]. Journal of Dermatological Science, Polish Neurological Society, 2017: 1-10.
3. Sato K, Yoshimoto Y. Risk profile of intracranial aneurysms[J]. Stroke, 2011, 42(12): 3376-3381.
4. Suocheng G, Yazhou X. Surgical treatment of multiple intracranial aneurysms[J]. Turkish Neurosurgery, 2013: 1-6.
5. Rajesh A, Praveen A, Purohit A K, et al. Unilateral craniotomy for bilateral cerebral aneurysms[J]. Journal of Clinical Neuroscience, Elsevier Ltd, 2010, 17(10): 1294-1297.
6. Bründl E, Böhm C, Lürding R, et al. Treatment of unruptured intracranial aneurysms and cognitive performance: preliminary results of a prospective clinical trial[J]. World Neurosurgery, Elsevier Inc, 2016, 94(C): 145-156.
7. Preiss M, Netuka D, Koblihová J, et al. Cognitive functions before and 1 year after surgical and endovascular treatment in patients with unruptured intracranial aneurysms[J]. British Journal of Neurosurgery, 2012, 26(4): 514-516.
8. Koso M, Dizdarevic K. Attention and executive functions in microsurgically treated patients after subarachnoid hemorrhage[J]. Asian Journal of Neurosurgery, 2015, 10(4): 260-6
往期回顾




