
“琴弦效应”,当触摸很短的一段吉他琴弦一端时,我们感觉是非常坚硬和锋利的,而很长的一段琴弦会表现的非常柔软,暂且称这种现象为“琴弦效应”,这种现象还见于钢丝刷的刷毛。
![]()

当推送弹簧圈从微导管出来,微观世界里表现为一段金属柱出管道,刚出来一小段会表现为“琴弦效应”,显得很硬和有力量,因此在微小动脉瘤,微导管头端抵着瘤顶释放是有非常高的出血危险,因此一级螺旋丝的越柔软就越能减低“琴弦效应”, Axium™ Prime ES弹簧圈采用全新设计,具有更细的一级螺旋丝使之更柔软,栓塞全程瘤壁受到的张力较低,从而提高推送弹簧圈时的安全性,减少破裂风险;另外,解脱区采用关节式设计,在结尾时解脱前,推送丝是顺应和弯曲状态,而非尾部焊接式设计圈的直挺状态,使收尾的“琴弦效应”进一步降低。我们通过一例多发动脉瘤的手术,谈谈使用对Axium™ Prime ES弹簧圈的体会。
患者以“劳累后突发昏迷12小时”为主诉入院,入院查体颈强直,脑膜刺激征阳性,余神经系统查体无异常。头部CTA提示蛛网膜下腔出血,右侧大脑中动脉动脉瘤。完善术前准备后,于次日行全脑血管造影术,造影见右侧大脑中动脉动脉瘤,M1M2分叉处动脉瘤,2.8*2.5mm,瘤颈3.0mm;另一处脉络膜前动脉动脉瘤,1.5*1.0mm,瘤颈1.5mm。计划同时处理两处动脉瘤。
先处理大脑中动脉分叉部动脉瘤,应用Echelon-10微导管在微导丝导引下置于动脉瘤的中心,将支架导管置入同侧大脑中动脉M2中,释放4*15mm Solitaire™ AB支架一枚,跨越动脉瘤颈,应用Axium™ Prime ES 1.5mm*3cm弹簧圈及1mm*3cm弹簧圈将大脑中动脉动脉瘤致密填塞,在栓塞过程中微导管始终保持稳定,弹簧圈顺利推送无顶管现象,完成对该动脉瘤的栓塞;继续处理右脉络膜前动脉动脉瘤, Echelon 10在微导丝导引下置于动脉瘤的中心,释放3.5*15mm支架一枚,跨越动脉瘤颈,应用一枚Axium™ Prime ES 1mm*3cm弹簧圈将动脉瘤致密填塞,完成对两个动脉瘤的栓塞。

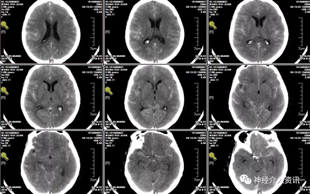
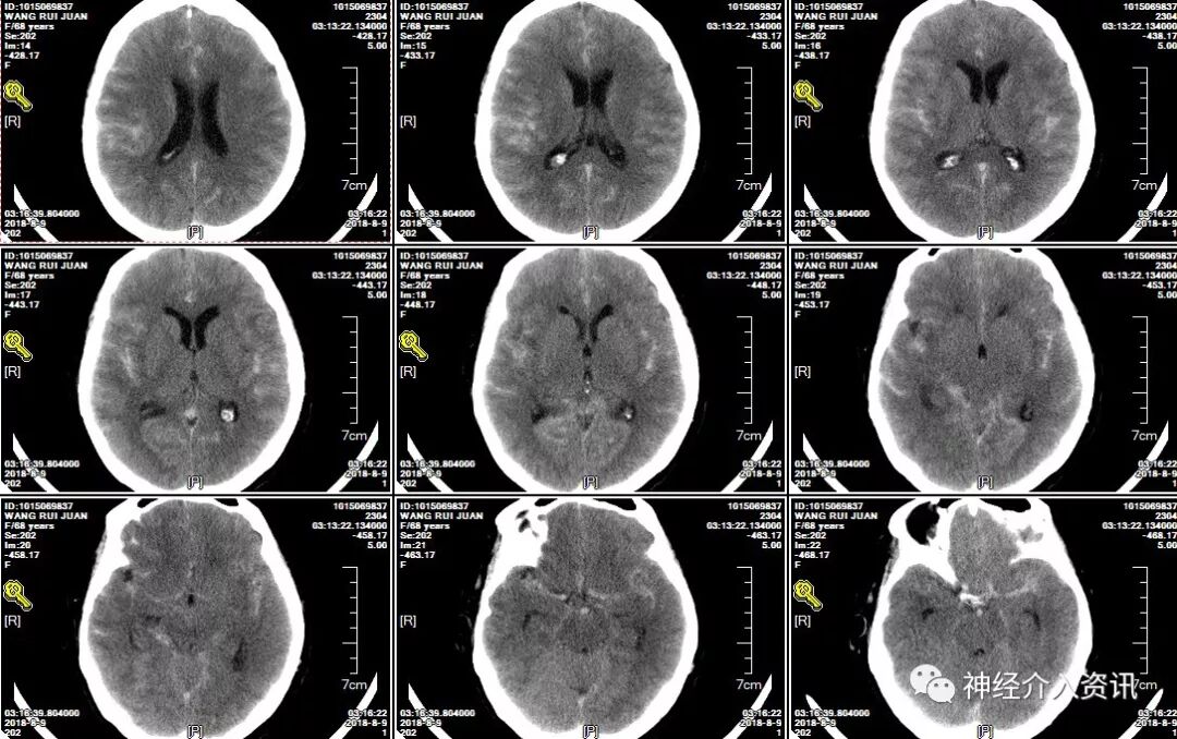
图一 入院CT广泛蛛网膜下腔出血

图二 多发动脉瘤

图三 大脑中动脉瘤致密栓塞

图四 黄箭头显示应用一枚Axium™ Prime ES 1mm*3cm弹簧圈将脉络膜前动脉动脉瘤致密栓塞,脉络膜前动脉保存良好(红箭头)

1抗“琴弦效应”,超柔安全
微小动脉瘤一旦微导管移位,在管内还有余圈时精准复位会非常困难,在本例1.2mm微小动脉瘤的栓塞术中,推送弹簧圈时无“踢管”现象,微导管非常稳定,超柔软的圈的稳定安全效应尽显。
2三维空间顺应性良好
当动脉瘤成篮完成后,会被分隔成好多空间,3D圈的柔软和不规则设计水平将影响到后继填塞,Axium™ Prime ES弹簧圈3D设计随机均匀,更好的填充分隔和动脉瘤的分叶,包括支架和动脉瘤的交角,从而使瘤颈的修复满意。
3虽然柔软,但成篮能力卓越
单纯柔软而牺牲形态维持会使复发风险增高,另外对分支血管的保护会有困难,本例脉络膜前动脉微小动脉瘤,在调整好弹簧圈的满意位置后,血流冲击并不能改变弹簧圈的位置形态,从而使脉络膜前动脉的保护更有信心。

喻博 教授
硕士研究生导师、博士后
中国医科大学盛京医院神经外科副主任
中国医科大学盛京医院卒中中心副主任
2016年中国医科大学校优秀共产党员
中华医学会神经外科分会神经介入学组委员
中国转化医学联盟理事
中华医学会辽宁介入分会委员
中国研究型医院学会脑血管病学专业委员会委员
中国抗衰老促进会神经系统疾病专业委员会委员
年神经介入手术500例,另行脑血管病开颅手术,脑血管搭桥术,及承担中国医科大学盛京医院急诊取栓绿色通道。
发表SCI论文十余篇,省市级课题三项,省级科技进步奖两项。






