
股动脉是最常见的神经介入路径,但某些解剖变异使得操作需要一定的技术,而路径不佳将与较差的急性缺血性卒中预后相关。
来自浙江省台州市第一人民医院神经内科的王鹏主任,将为我们带来一例肱动脉入路的缺血性卒中取栓。
病例概要
◆ 基本信息:78岁,男性。
◆ 主诉:
➢突发右侧肢体力弱50分钟。
➢高血压病史5年余。查体见血压正常,双侧瞳孔对光反射迟钝,两眼向左侧凝视,完全性运动性失语,右侧鼻唇沟浅,伸舌右偏,右侧肢体肌力0级,左侧肢体肌力5级,右巴氏征阳性。
➢NIHSS评分18。
◆ 诊断影像:
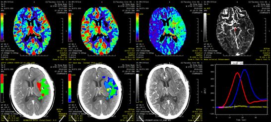
CT平扫未见早期梗死表现;CT灌注成像示:左侧半球MTT延长,CBF见内囊有部分核心坏死,CBV下降不显著。
![]()
影像表现与评分不符,图像经MIStar处理后,左侧CBV核心区为4ml,半暗带>15ml。
![]()
CTA示左侧颈内动脉起始部闭塞,ICA末端显影,大脑中动脉M1闭塞。
![]()
诊断分析
左侧颈内动脉串联病变,行常规介入取栓。
手术情况
◆ 耗材:
6F血管鞘
6F导引导管
Rebar-18微导管
0.014微导丝
Solitaire 4-20支架
SpiderFX保护伞
4-30球囊
◆ 手术过程:
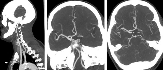
欲从股动脉入路,股动脉置鞘造影示双侧未显影。
![]()
桡动脉评估:Allen试验证实无尺动脉代偿,遂行肱动脉穿刺后进入(6F心内科短鞘,6F导引导管)。腹主动脉造影证实双侧髂动脉闭塞,主动脉弓造影示情况良好。
R-CCA情况良好,L-CCA起始端闭塞。

R-CCA

L-CCA
使用球囊扩张开通颈内动脉。


Rebar-18微导管,微导丝至大脑中动脉,行双造影确定血栓长度。


取栓(Solitaire 4-20支架)。


左侧大脑前动脉未显影,释放保护伞(Spider FX5.0mm),颈动脉球囊扩张。


撤回颈总动脉造影,示远端情况尚可,回头造影情况良好。
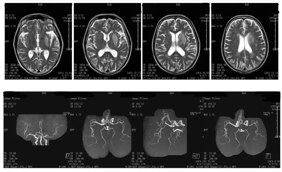
术后随访
![]()
术后7天NIHSS至出院时:NIHSS 2分;3个月后行走自如,mRS评分0分。
病例总结:
1、股动脉入路难度相关因素:细长主动脉弓或头臂干、腹主动脉病变、过度肥胖、重度外周血管疾病、既往髂股搭桥术、髂动脉闭塞。
2、可CTA评估主动脉弓筛查困难颈动脉,肱动脉/颈动脉穿刺为备选。
3、本例因桡动脉穿刺试验失败,肱动脉成为替代路径,尺动脉、腋动脉也可考虑。
4、肱动脉直径大,用7F动脉鞘穿刺,距离短更易操作(注意患者身材与导管长度),注意成袢及支撑技巧。
5、国内报道3例肱动脉入路取栓均成功,是安全有效的替代方案。
大咖点评:
➢通路碰到拦路虎是让我们神经介入医生比较绝望的事,这个病例提供了一个很好的、可供参考的应急手段。
➢CT灌注目前仍然在指南方向是属于研究阶段,我们不是为了看着灌注去做灌注,我们仍然看着临床去做灌注。
➢经过6F的guiding,能够放的几种颈动脉支架:PRECISE的8mm支架,Protégé 8mm支架,波科的7mm支架。
专家介绍

—— 王 鹏 ——
副主任医师
台州市第一人民医院脑血管病中心副主任
中国卒中学会青年理事
浙江省神经病学分会神经介学组委员
从事急性缺血性卒中静脉溶栓质量控制及血管内治疗,2014年较早开展急性缺血性卒中支架取栓手术,擅长缺血性卒中(脑梗死)病因及发病机制的筛查,颅内外动脉支架植入等神经介入手术。
介入之音 · 第二季
中赛区&南赛区报名通道

相关链接:
![]()




