![]()
乙状窦前后联合+颅颈联合入路
颈静脉孔区神经鞘瘤切除术
![]()
梁建涛 主任
梁建涛,首都医科大学宣武医院神经外科肿瘤中心主任医师,副教授,硕士研究生导师。
师从凌锋教授、鲍遇海教授,主攻方向为颅底肿瘤、颅神经疾病的显微外科治疗。2014年、2017年分别到奥地利萨尔茨堡、德国汉诺威访问学习。可根据肿瘤大小,个体化选择侧卧位或半坐位显微外科治疗听神经瘤,在国内率先采用“面神经-舌下神经降支吻合术”治疗CPA肿瘤术后重度面瘫。2015年到新疆和田人民医院神经外科工作一年。
以第一作者发表SCI文章5篇,中文核心期刊文章20余篇,主译«三叉神经痛»一部,参编专业书籍2部,拥有国家发明专利2项。主持国家自然科学基金课题、北京市科委首都特色基金资助课题及北京市医管局扬帆计划课题。获北京市215高层次卫生技术人才学术骨干、北京市优秀人才青年骨干人才基金资助。
诊疗经过
![]()
(点击图片查看大图)
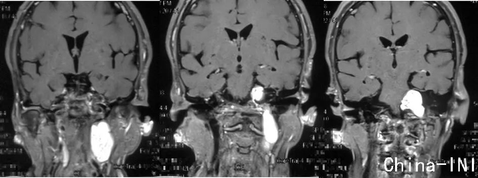
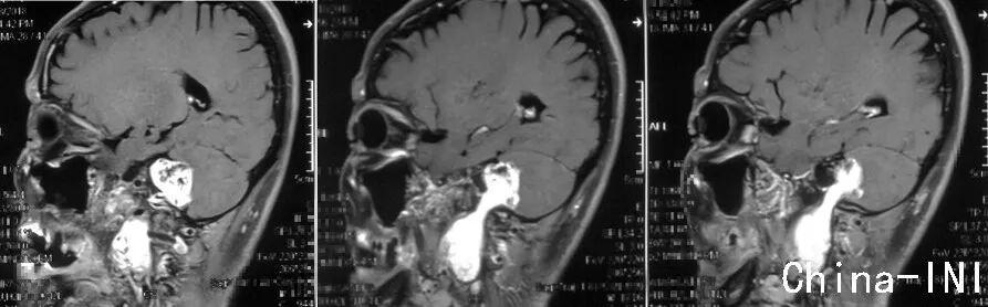
MRI轴位增强像示左侧颈静脉孔区神经鞘瘤,肿瘤呈哑铃型,同时侵及颅内、颈静脉孔及颈部,属于Samii颈静脉孔神经鞘瘤分型之D型,Fukushima分型之C型。
MRI冠状位增强像示肿瘤同时波及颅内、颈静脉孔及颈部,上端接近小脑幕水平,下端达第三颈椎水平。
MRI矢状位增强像示肿瘤呈哑铃型,从颅内经颈静脉孔,向颈部延伸到第三颈椎水平。
左侧颈静脉孔轻微扩大,边缘光滑,舌下神经管及颈动脉管未受累,这是神经鞘瘤的特征;如果是颈静脉球瘤,骨质会呈“虫蚀样”改变,破坏明显;脑膜瘤可伴有骨质增生。肿瘤外侧界为茎乳孔,为暴露颈静脉孔内肿瘤,术中需磨除枕骨颈静脉突。
左侧颈内动脉造影,显示左侧颈段颈内动脉受压向前移位,肿瘤无明显血供;左侧乙状窦、颈静脉球及颈内静脉都未显影。肿瘤有无血供及其程度有助于鉴别神经鞘瘤、脑膜瘤及颈静脉球瘤。
MRI轴位增强像示左侧颈静脉孔区神经鞘瘤,肿瘤呈哑铃型,同时侵及颅内、颈静脉孔及颈部,属于Samii颈静脉孔神经鞘瘤分型之D型,Fukushima分型之C型。
头皮及皮下翻向前方,直到外耳道水平;上项线以上保留足够厚的筋膜,便于术后严密缝合。
在上项线水平横行切开,上方的筋膜向后上方牵开,下方的胸锁乳突肌、头夹肌作为一层向后下方牵开。
将胸锁乳突肌和头夹肌向后下翻开后,暴露寰椎横突、上斜肌、下斜肌、肩胛提肌及头外侧直肌;将二腹肌翻向前下方,暴露二腹肌沟。
乙状窦后骨瓣开颅;骨瓣保留乳突表面骨皮质。
出茎乳孔后向前下方走行进入腮腺的面神经。
打开颈静脉孔,暴露孔内肿瘤。
磨除枕骨颈静脉突(Jugular process),贯通颈静脉孔与颈部;暴露颈静脉孔,但无需暴露颈静脉孔上方的半规管及外侧的乳突段面神经,“没有暴露,就没有伤害”。
在电生理监测下,首先切除颈静脉孔内及颈部肿瘤,然后切除颅内部分肿瘤。
颅内肿瘤切除后;(患者有5年的声音嘶哑、吞咽困难、饮水呛咳(洼田饮水实验2级)病史,手术过程中,肿瘤与后组颅神经难以分辨,难以分离,电生理刺激,未见明确的肌电反应,遂将肿瘤与后组颅神经一并切除)
术毕颅内观
术毕术区整体观
以脂肪组织填塞于颈静脉孔及附近骨缺损处,生物蛋白胶固定,将颈静脉孔与颅内隔绝;水密缝合硬脑膜,骨瓣复位、固定。
术区肌肉、筋膜对位缝合。
术后MRI复查,显示肿瘤切除彻底;
患者术后无新发颅神经症状,一周后拆线,伤口愈合良好,无皮下积液。

颈静脉孔神经鞘瘤分型
1995年,Samii将颈静脉孔神经鞘瘤分为四型:
A型:肿瘤主要位于桥小脑角,伴随颈静脉孔轻微扩大;
B型:肿瘤主要位于颈静脉孔内,可向颅内延伸;
C型:肿瘤主要位于颅外,可向颈静脉孔延伸;
D型:肿瘤呈哑铃型,同时位于颅内、颈静脉孔孔及颅外。
2015年,Samii在1995年分型的基础上,又将B型细分为B1型、B2型及B3型:
B1型:肿瘤完全位于颈静脉孔内;
B2型:肿瘤向颅内蛛网膜下腔延伸;
B3型:肿瘤向颞下窝延伸。
2008年,Fukushima等将颈静脉孔神经鞘瘤分为三型:
A型:肿瘤单纯位于硬膜内;
B型:肿瘤呈哑铃型,位于硬膜内及颈静脉孔;
C型:肿瘤呈“三藕节”型,同时位于硬膜内、颈静脉孔及颈部。

手术入路选择
◾对于单纯位于硬膜内的肿瘤,即Samii A型和Fukushima A型肿瘤,Samii采用枕下乙状窦后入路,Fukushima采用枕下乙状窦后入路或极外侧颈静脉下经颈静脉结节入路(Eetreme Lateral Infrajugular Transtubercular approach, ELITE)。
◾对于Samii B、C、D型及Fukushima B、C型肿瘤,手术入路并不完全一致,甚至差异比较大。
1978年,瑞士耳鼻喉科医生Fisch提出颞下窝入路(infratemporal fossa approach),该入路对于暴露、切除颈静脉孔区域肿瘤是一个里程碑式的进步,但该入路需要切断、封闭外耳道,移位面神经,创伤大,听力减退及面瘫风险较高,且对于硬膜内肿瘤暴露有限。
2006年,意大利耳鼻喉科医生Sanna对于大多数颈静脉孔区肿瘤,采用颞枕经乙状窦入路(Petrooccipital transsigmoid approach, POTS),术中切开乙状窦及乙状窦前、后硬脑膜,直视颅内、颈静脉孔及颈部,一期切除肿瘤,无需面神经移位,无需打开迷路,无需封闭外耳道。
Fukushima对于颅内、颅外沟通型肿瘤,采用乙状窦后联合经颈静脉入路±经颈入路。其手术要点包括:
1)耳后“C”形切口;
2)迷路后及迷路下磨除乳突
3)完全暴露颈静脉球;
4)轮廓化面神颈管
5)枕下外侧开颅,磨除颈静脉结节及部分枕骨髁6)暴露、结扎颈内静脉、乙状窦;
7)硬膜内处理。
2005年以前,对于B、C、D型肿瘤,Samii采用乙状窦前±经颈入路,术中在迷路下方,暴露、游离横窦、乙状窦及颈静脉球,磨除颈静脉突甚至部分枕骨髁,经乙状窦前入路切除颅内、颈静脉孔内及颈部肿瘤。2005年以后,Samii结合术中内镜,手术入路趋于简化。对于B型肿瘤,采用内镜辅助-乙状窦后入路(Endoscope-assisted retrosigmoid, EA-RS),对于、 EA-RS联合迷路下入路±经颈入路。

术者体会
颈静脉孔区位置深在,结构繁多,名称繁杂,方寸之间,颈内动脉、椎动脉、颈内静脉、颈静脉球、横窦、乙状窦、髁后导静脉、枕骨髁、颈静脉结节、颈静脉突、骨迷路、寰椎横突、二腹肌、头外侧直肌、枕下三角、耳大神经、面神经、舌咽、迷走、副及舌下神经等结构密集,空间关系复杂
显微神经解剖实验室训练是神经外科手术,尤其是颅底手术的基础,这一点在颈静脉孔区域尤其突出。
“手术不等同于解剖”。尤其是神经鞘瘤,血供少,边界清,对于面神经管、半规管等结构,应尽量减少暴露,因为“暴露本身可能就意味着伤害”。
解剖图片由宣武医院神经外科
临床解剖实验室李茗初老师提供
【正海-妙术视界】往期回顾





