![]()
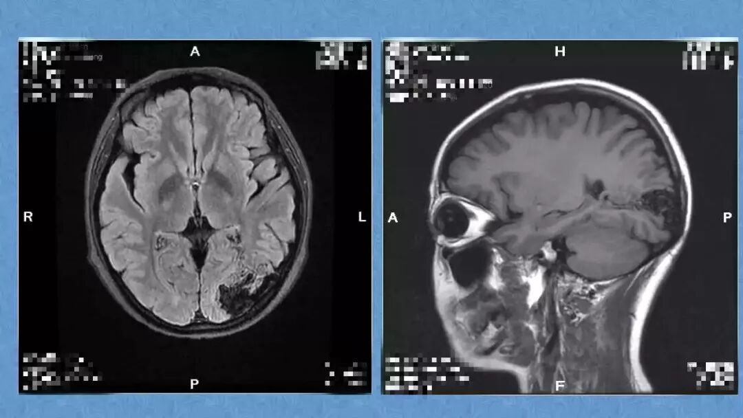
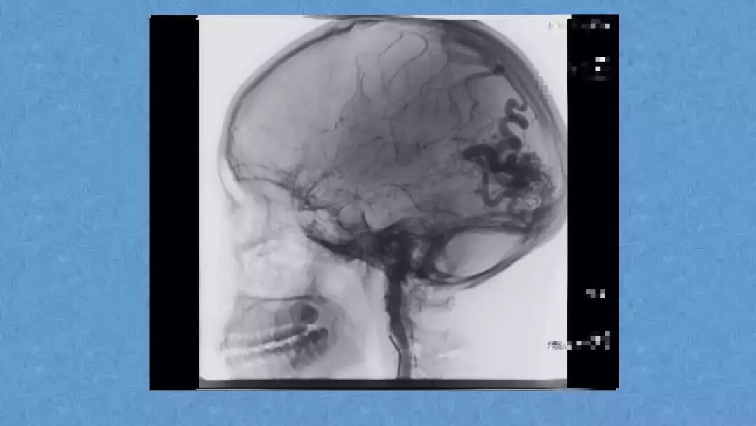
今天为大家分享的是《贝朗时间》第二十九期,湖北十堰市太和医院神经外科张力教授团队带来的:一个AVM患者的48小时纪实,欢迎阅读、分享!
张力教授:AVM切除术

张力 教授
张力,湖北十堰市太和医院神经外科主任(湖北省重点专科)兼I病区主任,主任医师,教授。复旦大学附属华山医院神经外科博士,武汉大学及湖北医药学院研究生导师;湖北医药学院外科学教研室(省级重点学科)副主任,湖北省神经科学学会神经外科专业委员会常委;湖北省卒中学会神经外科分会常委;湖北省暨武汉市第五届病理生理学会神经系统疾病专业委员会常委;湖北省神经电生理学会常务理事;湖北地区暨武汉市脑电图及神经电生理协会常委;湖北省医学会神经外科学分会第七届委员会委员;湖北省抗癌协会第一/二届神经肿瘤专业委员会委员;十堰市神经外科医疗质量控制中心委员会秘书。
《临床神经外科杂志》编委;《湖北医药学报》杂志编委。主要从事颅底疾病及脑血管病的临床研究,参与国家自然科学基金面上项目(No.81671831)、国家自然科学基金青年项目(No.81702482)共两项,省部级科研项目多项;近年来在SCI、中华及核心期刊发表论文近二十篇,著作三部;先后荣获全国卫生系统青年岗位能手,湖北省突出贡献中青年专家,十堰市“五一劳动奖章”,十堰市太和医院“五一劳动奖章”等荣誉称号。
自受聘为三级教授以来,带领科室圆满完成三级医院等级评审,湖北省临床重点专科达标,常规开展颅底疾病的显微外科治疗及脑血管疾病的显微外科治疗。同时涉足面—舌下神经吻合治疗面瘫、痉挛性斜颈等功能性疾病的手术治疗。近三年积极推广神经内镜技术,同时成立功能神经外科亚专科积极开展脑深部核团电刺激术(DBS)治疗帕金森病,皮层电极监测下癫痫的手术治疗,神经电生理监测下迷走神经电刺激植入术(VNS)治疗难治性癫痫,还致力于癫痫的显微外科手术治疗与临床研究。
![]()
![]()
![]()
![]()
![]()
![]()
![]()
![]()
![]()
![]()
![]()
![]()
![]()
![]()
![]()
![]()
![]()
![]()
![]()
![]()
![]()
![]()
往期回顾




