提示
“浙二神外周刊”不定期接收外院投稿,审核后发表。欢迎各专业同道联系我们,分享精彩病例、研究热点或前沿资讯。投稿请联系:shishi74@163.com
引言
本周刊第156期报道了脑外伤后眼内硅油迁移入脑室一例病例,引起广泛讨论,近期收到另外一篇投稿,有类似之处,整理后刊出。本病例由金华中心医院神经外科童民锋主任供稿。
病史简介
患者,男性,65岁。因“左眼石头砸伤致视物不见1小时”入院。
患者1小时前不慎被石头砸伤左眼,当即视物不清,眼痛,伴头痛头晕,送我院急诊,拟“左眼球挫伤、左眼睑裂伤、左眼晶状体脱位”收住入院。
入院查体:
神志清楚,右眼视力0.3,左眼光感,光定位差,左眼结膜充血水肿,角膜水肿,前房可见积血及玻璃体,瞳孔畸形散大,对光反射消失,晶体脱位至下方玻璃体腔,玻璃体积血,眼底窥不入。
入院诊断:
左眼球钝挫伤,左眼晶体脱位,左眼玻璃体积血,左视网膜脱离,左眼睑裂伤
诊疗经过
入院完善检查后,局麻下行“左眼脱位晶状体超声粉碎+后段玻璃体切割+眼内探查+重水+眼内光凝+气液交换术”。术中切除脱位晶状体周围玻璃体,超声粉碎吸除脱位晶体,切除所有玻璃体和积血,见颞下方及颞上方视网膜裂孔,视网膜隆起高,注入重水4ml,视网膜平伏。再行视网膜裂孔激光光凝,气压35mmHg气液交换,置换重水。准备缝合巩膜和结膜切口时,患者突发胸闷不适,随即呼之不应,血氧饱和度低,血压下降,考虑休克、呼吸衰竭。立即心肺复苏抢救,气管插管和机械通气,查肺动脉CT(CTPA):双侧胸腔积液伴肺膨胀不全,未见肺动脉栓塞;头颅CT提示:颅内积气,左侧眼球、小脑幕、第三脑室、中脑导水管及第四脑室内多发高密度影。结合患者病史和影像学资料,诊断为“眼内重水迁移入脑室”(图1)。立即转入ICU予以对症生命支持,同时行体外膜肺氧合术(ECOM)。ECOM持续4天后,患者神志转清。

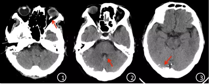
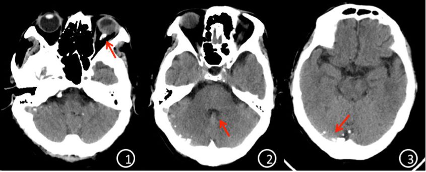
图1. ①头颅CT平扫显示枕叶蛛网膜下腔高密度影,提示重水沉积于枕叶蛛网膜下腔;②显示重水蓄积于第四脑室。
考虑重水在蛛网膜下腔和脑室内多发散在分布,为促使重水从颅内迁移入腰椎椎管,并最终经腰穿予抽出,反复多次更换体位,椎管CT检查,显示脊柱胸髓段及骶管内高密度影,证实多数重水已迁移入腰骶管内(图2)。

图2. 椎管CT平扫示:脊柱胸髓段及骶管内高密度影,提示重水已大部分迁入腰骶管。
遂行腰大池置管取重水。方法如下:行腰椎穿刺置管后,予抬高下肢及抬高头胸部,使置腰骶部为低点,分别在左侧和右侧卧位抽吸出分层液共约4ml(图3)。

图3. 腰大池穿刺置管引流液,呈分层状,上层为血性脑脊液,下层为重水。
经上述治疗后,患者病情稳定,顺利出院,除左眼视力失明外,无其他神经功能缺失。复查头颅CT见颅内重水已明显减少,门诊随访(图4)。

图4. ①头颅CT平扫红色箭头提示眼眶内仍有重水残留;②四脑室已无重水蓄积;③仍有少量重水蓄积于枕叶蛛网膜下腔。
讨论
严重眼外伤引起外伤性视网膜裂孔而导致视网膜脱落,往往需要行玻璃体切割探查术。一般玻璃体腔多采用硅油充填来封闭视网膜裂孔,使视网膜与色素上皮粘着。硅油异位至颅内等已有较多研究报道[1-5]。本刊第156期也报道一例。
重水也叫全氟化碳液体(Perfluorocarbon Liquid),是由饱和的全氟化碳链组成的低分子或高分子聚合物,为透明不可混合无色的化学合成物,比重是1.76~2.0。严重眼外伤术中根据视网膜脱离的程度和范围,术者有时需要辅助用重水来压平视网膜[6]。压平视网膜的力量是等体积硅油的10倍。由于重水对眼部组织的一定毒副作用,临床上往往作为玻璃体手术的辅助工具,并通过气-液或油-液交换置换出眼内的重水[7,8]。
临床上由于虽然作了气-液交换或油-液体交换,但仍然会有部分患者会有少量重水在眼内的残留,甚至因操作不当导致重水进入视网膜下,引起网膜下重水残留而产生视网膜毒性反应。而有关重水自眼内进人神经鞘和颅内的病例报道较为罕见,其中一例眼眶枪伤的患者,眼科术后重水迁移入枕骨大孔附近的蛛网膜下腔,患者无不适,给与门诊随访[9]。
本例患者因外伤致左眼孔源性视网膜脱离,予玻璃体切割手术治疗,并行重水填充,术中突发意识不清、呼吸障碍及休克。头颅CT提示气颅,左侧眼球、小脑幕、三脑室中脑导水管及四脑室多发高密度影。因重水的低透辐射特性使得重水的CT征象为高信号。因此,本病例重水进入颅内诊断明确。
正常情况下,眼部的血视网膜屏障和血视神经屏障保证了视网膜视神经与蛛网膜下腔的无沟通。但在严重的眼挫伤时往往可导致血视网膜屏障的损害、脉络膜的破裂而导致沟通。有学者认为,在眼压增高导致视神经萎缩、视神经盘深度凹陷时两者之间可出现异常通道[10,11]。本例患者眼部外伤较严重,我们认为外伤不但引起了视网膜视神经屏障的破坏,甚至可能导致了视神经鞘的撕裂,在气液交换时,由于眼内压力的骤增,重水可能通过视网膜裂孔迅速进入视网膜下,突破视网膜屏障,进入视神经鞘沿视神经管进入蛛网膜下腔从而进入颅内的蛛网膜下腔和脑室系统。重水为惰性物质,引起过敏可能性小。查阅文献,也未发现重水致过敏的资料。本例患者重水入颅后病情突发恶化,其原因和机制不完全明了,考虑还是大量重水入颅后,对脑皮层及脑室壁造成物理及化学性刺激,进而造成脑功能紊乱,影响呼吸及循环系统,导致休克及呼吸功能障碍。并经对症支持治疗后好转。
重水为惰性物质,少量进入颅内若无症状可考虑门诊长期随访。若进入颅内的量较多,可存在病情突发急剧恶化及长期持续对脑的刺激,造成相应的神经功能障碍。急性期治疗以维持生命体征为主。远期存在堵塞脑脊液循环通路及对脑持续刺激等风险,可根据本病例的治疗经验,改变体位,待重水蓄积于腰大池后给与腰大池置管引流出重水。
小结
重水在眼科术中填充后可使视网膜平整并封闭视网膜裂口,在玻璃体视网膜手术中较为常用。但需注意其潜在的并发症。迁移入颅内虽较为罕见,但仍存在不可预计的风险,需注意术前评估和术中防范。一当发生,明确诊断并及时处理非常重要。去除进入颅内的重水,利用体位使其进入腰骶部,并最终通过腰大池引流,不失为简便而有效的方法。
参考文献
[1] Herrick RC, Hayman LA, MaturiRK, Diaz-Marchan PJ, Tang RA, Lambert HM. Optimal imaging protocol afterintraocular silicone oil tamponade. AJNR Am J Neuroradiol. 1998. 19(1): 101-8.
[2] Williams RL, Beatty RL, Kanal E,Weissman JL. MR imaging of intraventricular silicone: case report. Radiology. 1999.212(1): 151-4.
[3] Chang CC, Chang HS, Toh CH.Intraventricular silicone oil. J Neurosurg. 2013. 118(5): 1127-9.
[4] Filippidis AS, Conroy TJ,Maragkos GA, Holsapple JW, Davies KG. Intraocular Silicone Oil Migration intothe Ventricles Resembling Intraventricular Hemorrhage: Case Report and Reviewof the Literature. World Neurosurg. 2017. 102: 695.e7-695.e10.
[5] Potts MB, Wu AC, Rusinak DJ,Kesavabhotla K, Jahromi BS. Seeing Floaters: A Case Report and LiteratureReview of Intraventricular Migration of Silicone Oil Tamponade Material forRetinal Detachment. World Neurosurg. 2018. 115: 201-205.
[6] Chang S. Low viscosity liquidfluorochemicals in vitreous surgery. Am J Ophthalmol. 1987. 103(1): 38-43.
[7] Yu Q, Liu K, Su L, Xia X, Xu X. Perfluorocarbonliquid: its application in vitreoretinal surgery and related ocularinflammation. Biomed Res Int. 2014. 2014: 250323.
[8] 万光明, 刘舒静, 梁申芝, 钱诚, 王炯, 郑玉宝. 38G针头抽吸视网膜下残留重水小滴三只眼. 中华眼底病杂志. 2018. (2): 172-173.
[9] Malin DR, Aulino JM, Recchia FM.Intracranial hyperdense subarachnoid perfluorocarbon droplets after attemptedretinal detachment treatment. Emerg Radiol. 2007. 14(4): 261-3.
[10] Shields CL, Eagle RC.Pseudo-Schnabel's cavernous degeneration of the optic nerve secondary tointraocular silicone oil. Arch Ophthalmol. 1989. 107(5): 714-7.
[11] Fangtian D, Rongping D, Lin Z,Weihong Y. Migration of intraocular silicone into the cerebral ventricles. Am JOphthalmol. 2005. 140(1): 156-8.
(本文由浙二神外周刊原创,金华中心医院神经外科童民锋主任医师整理并审校,浙二眼科中心陈佩卿主任医师帮助再审,浙二神经外科张建民主任终审)
往期回顾
浙二神外周刊(第一百五十七期)重型颅脑损伤术后诱发应激性心肌病一例
浙二神外周刊(第一百五十五期)源于嗅神经的毛细胞星形细胞瘤一例
浙二神外周刊(第一百五十三期)不典型脑膜瘤一例
浙二神外周刊(第一百五十二期)无症状颅内巨大海绵状血管瘤一例
浙二神外周刊(一百五十一期)佳作赏析|柳夫义医师获中国医师协会“神外手术视频展播秀”新锐组最佳人气奖
浙二神外周刊(一百五十)--左侧额颞岛叶弥漫性胶质瘤一例(2018华东胶质瘤MDT病例四)
浙二神外周刊(一百四十九)--节细胞胶质瘤一例(2018华东胶质瘤MDT病例三)
浙二神外周刊(一百四十八)--上皮样胶质母细胞瘤一例(2018华东胶质瘤MDT病例二)
浙二神外周刊(一百四十七)--历经三年浙沪接力诊疗的疑难复杂病例一例
浙二神外周刊(一百四十六)--多技术应用切除优势半球岛叶胶质瘤一例
浙二神外周刊(一百四十四)--佳作赏析丨洪远主任获2018全国青年医师”齐柏林杯“神经内镜手术视频大赛特等奖
浙二神外周刊(一百四十三)--研究进展 | 脑胶质瘤MRI浸润征象与预后
浙二神外周刊(一百四十二)--“2018西湖神经外科论坛”成功召开
浙二神外周刊(一百四十)--颅内多发粘液性动脉瘤一例
浙二神外周刊(一百三十九)--创伤性脑膜中动脉假性动脉瘤一例
浙二神外周刊(一百三十八)--侧脑室三角区肿瘤术后孤立颞角综合征一例
浙二神外周刊(一百三十七)--以出血为首发症状的多形性黄色星形细胞瘤一例
浙二神外周刊(一百三十六)--垂体ACTH细胞增生性库欣病一例
浙二神外周刊(一百三十四)--腰髓动静脉畸形出血导致颅内蛛网膜下腔出血一例
浙二神外周刊(一百三十三)--疑似鞍区海绵状血管瘤一例
浙二神外周刊(一百三十一)--以腰椎播散灶为首发症状的颅内室管膜瘤一例
浙二神外周刊(一百三十)--亚裔学生的美国神经外科医师成长之路(来自UCLA华裔学生的经历分享)
浙二神外周刊(一百二十九)--开颅术后继发硬脑膜动静脉瘘一例
浙二神外周刊(一百二十八)--sternberg管未闭脑膜脑膨出致脑脊液鼻漏一例
浙二神外周刊(一百二十七)--中药皂角刺致颅内脊索瘤术后残余肿瘤萎陷?
浙二神外周刊(一百二十六)--利用复合手术室多学科合作处理头部刀刺伤一例
浙二神外周刊(一百二十五)--经静脉入路栓塞深部脑动静脉畸形一例
浙二神外周刊(一百二十四)--颅咽管瘤术后并发尾状核、壳核脱髓鞘1例
浙二神外周刊(一百二十三)--库欣病合并全身多发占位性病变一例
浙二神外周刊(一百二十二)--经皮脊柱内镜手术切除腰椎巨大滑膜囊肿一例
浙二神外周刊(一百二十一)--孤立性室管膜下巨细胞星形细胞瘤一例
浙二神外周刊(一百二十)--伴有ALK融合基因的颅内转移性肺神经内分泌癌一例
浙二神外周刊(一百一十九)--静脉入路栓塞舌下神经管区硬脑膜动静脉瘘一例
浙二神外周刊(一百一十八)--儿童中央区病灶致顽固性癫痫外科手术一例
浙二神外周刊(一百一十七)--丙戊酸钠相关高血氨脑病一例
浙二神外周刊(一百一十六)--儿童眶尖-海绵窦-颞下窝病变一例
浙二神外周刊(一百一十四)--高血压性脑干出血治疗--浙二的观点
浙二神外周刊(一百一十三)--“复合高压锅技术”治疗横窦区硬脑膜动静脉瘘一例
浙二神外周刊(一百一一十二)--应用新型动脉瘤内栓塞装置(WEB)栓塞前交通未破裂动脉瘤一例
浙二神外周刊(一百一十一)--儿童四脑室室管膜瘤术后并发胃瘫综合征一例
浙二神外周刊(一百零八)--新发现AIP基因突变位点的家族性单纯性GH瘤家系一例
浙二神外周刊(一百零七)--自发性低颅压致双侧硬膜下血肿一例
浙二神外周刊(一百零六)--张建民教授牵头国家重点研发计划:“基于脑机接口的脑血管病主动康复技术研究及应用”正式启动
浙二神外周刊(一百零五)--颅骨板障表皮样囊肿合并慢性硬膜外血肿一例
浙二神外周刊(一百零四)--内镜辅助显微手术半椎板入路切除儿童颈髓腹侧肠源性囊肿一例
浙二神外周刊(一百零三)--颅骨缺损修补术后并发急性脑肿胀一例
浙二神外周刊(一百零一)--胶质瘤的病理特征与位置分布的关系
浙二神外周刊(九十九)--垂体生长激素腺瘤卒中伴发脑梗塞一例
浙二神外周刊(九十六)--桥小脑角脑膜瘤伽马刀后并发PICA血栓性动脉瘤一例
浙二神外周刊(九十四)--颅内表皮样囊肿自发破裂伴血清CA-199显著升高一例
浙二神外周刊(九十二)--鞍上毛细胞黏液样星形细胞瘤伴自发性出血一例
浙二神外周刊(九十一)--2017西湖神经外科论坛成功召开!
浙二神外周刊(九十)--以尿崩症为首发表现的Erdheim-Chester病一例并文献复习
浙二神外周刊(三十七)--垂体瘤伴发鞍结...
浙二神外周刊(三十六)--脑膜血管瘤病...




