

病史简介
患者女,27岁,6月前因癫痫发作,头晕,经DSA检查诊断为、右侧颞叶脑动静脉畸形,行动静脉畸形部分栓塞术。
今以右颞叶脑动静脉畸形术后残余再次入院治疗。
血管造影显示大脑中动脉下干数分支参与畸形团供血,异常引流静脉向右侧乙状窦引流。


手术步骤
经讨论,大家一致认为,经动脉入路无法完全栓塞该畸形团,决定采用动静脉联合入路的方式栓塞畸形团。在右侧股动脉和右侧股静脉处各放置一根6F导管鞘。



将navien导引导管经股静脉导管鞘超选到右侧乙状窦。用Traxcess14导丝将阿波罗导管经navien超选到回流静脉畸形团处。


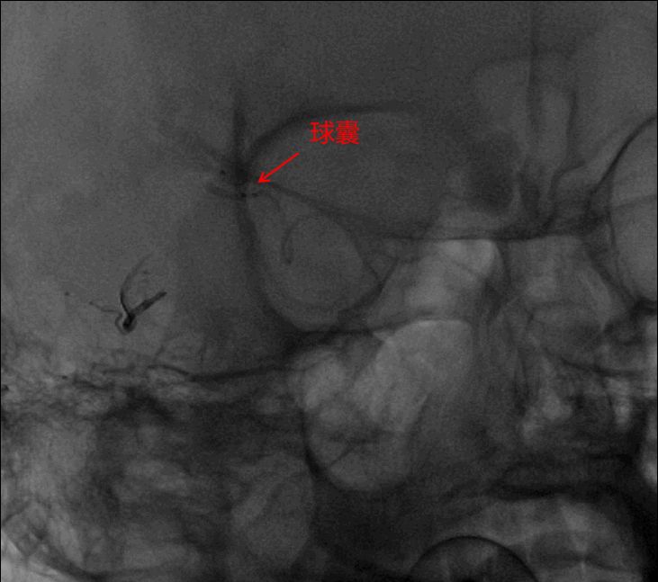
将Scepter C 4*15球囊经颈内动脉超选到大脑中动脉颞支(畸形团主要供血动脉),充盈球囊,阻断动脉端畸形团血流。

经静脉及动脉依次注射ONYX18约4ml,注胶时,球囊的阻断起到了关键作用(高压锅技术)。

静脉端持续打胶。


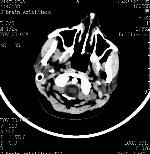
术后造影见AVM已经完全栓塞。

术后CT
专家简介
蔺志清 教授
浙江大学宁波医院、宁波市第一医院神经外科主任医师,科室副主任,宁波大学医学院硕士生导师。中国数字医学全国委员,华东地区神经介入委员,浙江省脑血管病组委员,宁波市老年医学脑血管病副主任委员。从事神经外科工作 35 年,曾在海军军医大学长海医院进修学习神经介入,师从上海长海医院脑卒中中心兼神经介入中心主任刘建民教授。擅长脑血管病的介入治疗,在宁波市率先开展了多项神经介入新技术。发表专业论文十余篇,有 5 项科研成果获市级成果奖。

往期回顾





