

病史简介
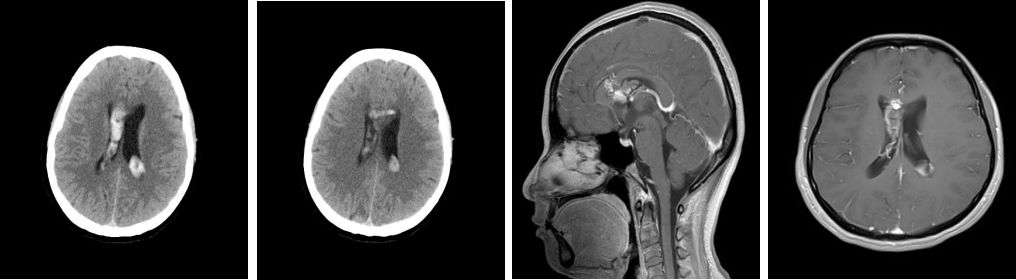
患者女性,39岁,以头痛1月余入院,患者入院前1个月无明显诱因出现头痛、头晕并呕吐,伴有短暂昏迷,当地医院头颅CT、MRI(图1),查体:未见异常。当地医院给予保守治疗,转入我院行DSA(图2)示:右侧胼胝体动静脉畸形。

图1:头颅CT:示脑室出血,头颅MRI:考虑右侧胼胝体动静脉畸形

图2:右侧颈内动脉造影,右侧胼胝体动静脉畸形,供血动脉为胼周动脉供应胼胝体动脉分支,引流静脉通过透明隔静脉向大脑内静脉引流及通过下矢状窦向直窦引流红色箭头为供血动脉,蓝色箭头为引流静脉。

动静脉畸形模式图
手术步骤
全麻插管,右侧股动脉置6F鞘,右侧颈内静脉置5F鞘。右侧颈内动脉放置6F导引导管,路图下,在Traxcess14微导丝导引下把Scepter 4*10球囊放置在畸形血管团供血动脉处,充盈球囊,造影,见畸形血管团不显影。然后通过颈静脉鞘,5F125cmsofia导引导管在marathon和Traxcess14导引下超选至直窦,marathon在Traxcess14导引下超选至畸形血管团静脉起始段内。充盈Scepter球囊,marathon静脉内造影,造影剂淤滞,予以充盈球囊后通过静脉内注胶,但发现胶依然快速向静脉移位,考虑仍有供血动脉球囊仍未完全覆盖,调整球囊并通过球囊导管造影发现该畸形血管团由相对独立两部分组成。重新调整球囊并完全覆盖供血动脉后再次通过静脉内注Onyx胶,较弥散良好。但因畸形血管团由两个相对独立部分组成,胶未能弥散另一部分畸形血管团内,予以通过球囊导管动脉入路栓塞,Scepter球囊导管超选供血动脉,予以16.6%GLUBRAN胶栓塞,造影见畸形血管团完全治愈性栓塞,术中控制性降压(比打胶前将低20mmHg),并中和肝素术后CT未见出血,术后患者清醒,功能无障碍。




讨论
复杂的高级别Spetzler-Martin分级脑动静脉畸形患者,传统干预方式疗效均欠佳,包括经动脉途径的血管内栓塞治疗,因为AVM的供血动脉往往较多、 管径较细及走行迂曲[1]。随着对AVM血管构筑的深入认识,国外一些学者研究显示经静脉途径栓塞治疗复杂脑AVM可能是一种前景较好的治疗方式,经静脉途径栓塞治疗复杂脑动静脉畸形的治愈率达95%[2],目前经静脉途径栓塞治疗复杂AVM在国外有少量个案报道[3]。国内以中文文献发表仅河南省人民医院李天晓发表一篇经颈内静脉途径治疗脑动静脉畸形一例报道[4]。 christina losif[3]等总结经静脉途径栓塞动静脉畸形标准:Spetzler-Martin分级高,动脉入路途径复杂,常规治疗失败,单支静脉引流,相对小的动静脉畸形。 本例动静脉畸形血管团位于胼胝体前部,供血动脉系胼胝体动脉分支,正常胼胝体供血动脉为胼周动脉向下面及内侧面发出短支和长支胼胝体动脉,在没有AVM时这些供血动脉非常细小,但存在AVM时这些动脉扩张,该畸形血管团供血胼胝体动脉多且较迂曲,引流主要通过透明隔静脉向深部引流,同时该畸形血管团还通过下矢状窦引流,并且分别引流两个相对独立nidus。鉴于该AVM小且位置深在、供血动脉多且迂曲,同时向深部引流,故考虑静脉入路栓塞。该技术类似高压锅技术[5][6],区别在于高压锅技术静脉入路使用双微导管,使用弹簧圈形成塞子,避免打胶时胶返流逃逸。本例特点是在静脉并未使用弹簧圈做塞子,因此最重要是球囊导管能完全阻断供血动脉血流,否则胶不但不能完全弥散畸形血管团而且还有向静脉逃逸可能。由于该畸形血管团由两个独立nidus组成,因此通过静脉途径只能栓塞该静脉引流的畸形团,另一部分通过动脉入路达到完美栓塞。
参考文献
[1] Mohr JP,Parides MK,Stapf C,et al. Medical management with or without interventional therapy for unruptured brain arteriovenous malformations (Aruba): a multicentre,non-blinded,randomised trial[J]. Lancet,2013,383(9917):614-621
[2]ConsoliA,RenieriL,NappiniS,etal.Endovascular treatment of deep hemorrhagic brain arteriovenousmalformations with transvenous onyx embolization[J].AJNRAmJNeuroradiol.2013,34(9):1805-11
[3]Christina Losif, MSc, georges A.C. Mendes, et al. Endovascular transvenous cure for ruptured brain arteriovenous malformations in complex cases with high Spetzler-Martin grades[J]. J Neurosurg,2015,122(5): 1229-1238.
[4]白卫星,贺迎坤,何艳艳,等.经颈内静脉途径治疗脑动静脉畸形一例[J].中华介入放射学电子杂志,2017,5(2):115-117.
[5]Guang Zhang, Shiyi Zhu, Pei Wu, et al.The transvenous pressure cooker technique:A treatment for brain arteriovenous malformations[J]. InterventionalNeuroradiology,2017,23(2):194-199.
[6] Chapot R,Stracke P,Velasco A,et al. The pressure cooker technique for the treatment of brain AVMs[J]. J Neurosurg,2014,41(1): 87-91.
往期回顾




