
神外资讯【中华神外】专栏,每周发布一篇精选文章,今天刊登的是,由首都医科大学附属北京天坛医院神经外科桂松柏、赵澎、白吉伟、刘春晖、曹磊、李振业、王新生、宗绪毅以及北京市神经外科研究所李储忠、张亚卓在《中华神经外科杂志》2018年第六期“神经内镜”上发表的“复发颅底脊索瘤的神经内镜经鼻手术治疗”,欢迎阅读。
摘要
目的
探讨复发颅底脊索瘤的神经内镜经鼻手术的治疗策略和技巧。
方法
回顾性分析2007年8月至2018年3月首都医科大学附属北京天坛医院神经外科手术治疗的123例复发颅底脊索瘤患者的临床资料。根据肿瘤位置将其分为4种类型:全斜坡型(43例)、中上斜坡型(51例)、中下斜坡型(8例)、广泛型(21例)。123例患者均采用神经内镜经鼻入路手术治疗。
结果123例患者中,39例(31.7%)肿瘤全切除,58例(47.2%)次全切除,26例(21.1%)部分切除。术后9例(7.3%)出现脑脊液鼻漏,并再次行修补术;3例发生颅内感染,其中2例经治疗后康复,1例死亡;术后新发生脑神经损伤14例;术中颈内动脉破裂3例,其中2例为微小破口,经电凝后止血满意,1例破口较大,鼻腔填塞止血后立即行介入手术置入覆膜支架治疗,3例患者均康复。
术后6个月随访,视力下降及视野缺损的改善率为47.6%(10/21),复视的改善率为32.3%(10/31),面部麻木及疼痛的改善率为41.7%(5/12),耳鸣及听力下降的改善率为30.0%(3/10),吞咽困难、声音嘶哑以及饮水呛咳的改善率为25.0%(4/16),头痛、头晕的改善率为86.6%(58/67),鼻塞的改善率为100%(9/9),肢体偏瘫或运动障碍的改善率为66.7%(8/12)。
结论
复发颅底脊索瘤手术难度增大,神经内镜经鼻手术治疗的优势明显。正确的手术策略和技巧,并结合神经导航、神经电生理监测、多普勒超声等辅助设备,是保证手术质量的关键因素。
颅底脊索瘤一般起源于颅底中线区域骨质。部分脊索瘤生长局限,侵袭范围较小,手术相对简单和安全;但另有部分脊索瘤广泛侵袭颅底骨质,并侵入硬脑膜内,与视神经、下丘脑、脑干、椎-基底动脉系统以及脑神经粘连紧密[1-3]。复发颅底脊索瘤多广泛侵袭中线区域以及中线旁区域骨质,并包裹、侵袭在颅底骨质内或周围走行的颈内动脉、重要分支和脑神经,部分肿瘤和脑干、基底动脉、下丘脑组织粘连紧密。
另外,由于首次手术对局部解剖的破坏,也会增加再次手术的难度。对于这些侵袭广泛、与硬脑膜下结构紧密粘连的复发颅底脊索瘤,手术可能极其复杂且极具挑战性[4-6]。本文回顾性分析2007年8月至2018年3月首都医科大学附属北京天坛医院神经外科行神经内镜经鼻手术治疗的123例复发脊索瘤患者的临床资料,以探讨复发颅底脊索瘤的手术策略和技巧。
资料与方法
1.一般资料:
123例患者中,男71例,女52例;年龄为6~78岁,平均(44.3±15.9)岁。患者术前均行MRI、CT、视力视野以及垂体相关内分泌检查。根据肿瘤位置将颅底复发脊索瘤分为4种类型:全斜坡型(43例)、中上斜坡型(51例)、中下斜坡型(8例)、广泛型(21例)。对于垂体功能低下的患者,术前常规补充激素。所有患者或家属均签署知情同意书。
2.手术方法:
123例患者均采用神经内镜经鼻入路切除肿瘤。患者气管插管全身麻醉,取仰卧位。使用德国Storz超高清内镜。如果首次手术为经鼻手术,首先需要清除鼻腔内的粘连,然后寻找正常骨性结构作为参照标志。尽量磨除肿瘤表面覆盖的骨质,扩大肿瘤腹侧面的显露。肿瘤分块切除过程中,常规行实时神经导航和实时神经电生理监测。
肿瘤两侧为颈内动脉区域,在该区域操作时,应动态使用多普勒超声明确颈内动脉的位置和走行,以避免术中损伤。对于复发颅底硬膜外脊索瘤,肿瘤切除后,尽量保留残存硬膜,以减少术后并发症的发生(图1)。对于已经侵入硬脑膜内的肿瘤或本身就是硬膜内的脊索瘤,肿瘤切除后可清晰显示后方的脑干、基底动脉、视神经等肿瘤背侧结构,此时的颅底缺损应尽量使用带血管蒂的黏膜组织进行重建(图2)。

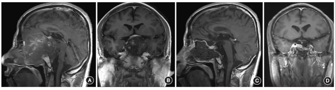
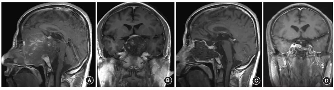
图1:复发巨大全斜坡脊髓瘤,肿瘤未侵入硬脑膜内A,B.术前头颅MRI增强扫描显示肿瘤全部切除

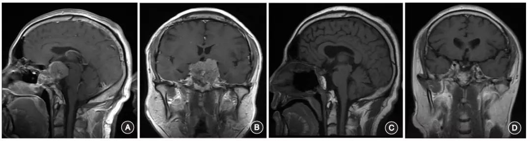
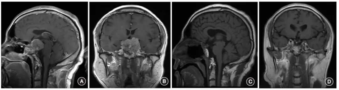
图2:复发全斜坡脊髓瘤,肿瘤侵入硬脑膜内A,B.术前头颅MRI增强扫描显示肿瘤全部切除,鼻中隔粘膜瓣重建颅底
3. 肿瘤切除程度评估标准:
全切除为MRI及CT复查无病灶残留;近全切除为残留病灶<5%;部分切除为残留病灶≥ 5%。
4.随访方法及时间:
术后1周、3个月复查MRI、CT、视力视野、脑神经功能以及垂体相关内分泌检查,此后每年复查1次。随访时间为1~127个月,平均(46.0±23.0)个月。
结果
1.手术结果:
123例患者中,肿瘤全切除39例(31.7%),次全切除58例(47.2%),部分切除26例(21.1%)。
2.手术并发症:
9例(7.3%)术后发生脑脊液鼻漏,并再次行修补术;3例(2.4%)发生颅内感染,2例经治疗后康复,1例死亡。术后新发脑神经损伤14例(包括外展神经6例,动眼神经5例,面神经1例,后组脑神经2例)。术中颈内动脉破裂3例,其中2例为微小破口,经电凝后止血满意,1例破口较大,鼻腔填塞止血后立即行介入手术置入覆膜支架,这3例患者均康复,未再次出血。
3.随访结果:
术后6个月随访,视力下降及视野缺损症状改善率为47.6%(10/21),复视症状改善率为32.3%(10/31),面部麻木以及疼痛症状改善率为41.7%(5/12),耳鸣及听力下降症状改善率为30.0%(3/10),吞咽困难、声音嘶哑以及饮水呛咳症状改善率为25.0%(4/16),头痛、头晕症状改善率为86.6%(58/67),鼻塞症状改善率为100.0%(9/9),肢体偏瘫或运动障碍症状改善率为66.7%(8/12)。
讨论
对于颅底脊索瘤的手术入路目前有多种选择,总体可以分为神经内镜经鼻手术和开颅显微镜手术。颅底脊索瘤起源于颅底中线区域骨质,为硬膜外肿瘤。对于该类肿瘤,经鼻入路可通过鼻腔自然通道直接到达肿瘤本身,可避免牵拉脑组织,同时可减少损伤肿瘤周围重要结构的风险,是最符合微创原则的手术入路[7-9]。随着神经内镜设备的不断更新以及神经内镜经鼻手术技术的不断进步,目前神经内镜经鼻手术已成为颅底脊索瘤的首选治疗方法[10-12]。
1.鼻腔阶段:
对于复发颅底脊索瘤的切除,通常需要经双侧鼻道“双人四手”方法切除肿瘤。因为首次手术对于颅底骨质或鼻腔通道正常结构的破坏,复发颅底脊索瘤的再次经鼻手术通常需要熟悉掌握手术区域的解剖。术中常需要分离鼻腔内结构的粘连,如中鼻甲和鼻中隔之间的粘连。另外,在初次手术中经常可以见到正常梨状骨结构,通常在复发肿瘤的手术操作中无法识别。此时,首先要分离鼻腔内各种粘连,分辨鼻腔内结构,为后续操作找到参考标志。
另外,同样需要找到斜坡表面的某一个残存结构作为后续操作的参考标志,例如蝶骨嘴的残余部分。同时需要神经导航辅助确认手术路径。本组部分复发肿瘤已突入鼻腔,有9例患者甚至出现了鼻塞症状,此时需要切除部分肿瘤,才能显露周边骨质。如果术前影像学提示肿瘤有侵袭生长入硬脑膜内的可能,则需要制作鼻中隔黏膜瓣。但是,对于复发颅底脊索瘤,由于首次手术对鼻腔黏膜的损伤,很可能无法制作符合要求的鼻中隔黏膜瓣。如果鼻中隔后部缺损不充足,使用反咬钳切除鼻中隔后部区域的骨质和黏膜,以方便器械进入双侧鼻腔。
2.颅底阶段:
对于复发颅底脊索瘤,覆盖肿瘤腹侧正中的组织往往不是正常骨质,而是增生的黏膜和疤痕。清除黏膜和疤痕后,可以显露肿瘤。但此时不宜急于切除肿瘤,应尽量找到肿瘤周围残存的骨质,根据肿瘤的大小、累及区域和神经导航的指示,扩大骨质磨除范围,以充分显露肿瘤腹侧面,且肿瘤显露必须充分。
3.肿瘤切除阶段:
首先尽量辨别并分离部分肿瘤边界,找到正常骨性结构作为参考标志。使用吸引器、磨钻、剥离子以及取瘤钳分块切除所有硬脑膜外软性或硬质肿瘤。对于质地较软的肿瘤,可用不同角度以及不同直径的吸引器吸除肿瘤;对于稍韧的肿瘤,需要取瘤钳和吸引器配合切除肿瘤;对于骨性肿瘤,则往往需要使用磨钻切除肿瘤。对于复发颅底硬膜外脊索瘤,在切除肿瘤、显露后方硬脑膜的同时,需继续扩大磨除肿瘤周围骨质,以减少肿瘤复发的概率。如果硬脑膜完整,肿瘤未侵犯硬脑膜,建议保留硬脑膜,可明显降低术后并发症的发生率。
对于已经广泛侵袭到硬膜内的复发颅底脊索瘤或复发颅底硬膜内脊索瘤,在硬脑膜外肿瘤切除以及骨质磨除步骤完成后,继续切除硬脑膜内的肿瘤。侵入硬脑膜内的肿瘤通常和脑干、重要神经血管之间有一层蛛网膜隔离,需沿着肿瘤包膜和脑干以及神经血管结构表面的蛛网膜之间的界限锐性分离,以保留蛛网膜屏障。有时肿瘤已经破坏蛛网膜,切除残余肿瘤后可清晰显露后方脑干等结构。如果肿瘤完全包裹重要动脉或与脑干组织粘连紧密,不宜勉强切除,可残留少许肿瘤。对于部分侵袭包裹颈内动脉的肿瘤,其动脉管壁可能已经瘤化,肿瘤切除后,会有动脉出血。
本组共有3例颈内动脉破裂,其中2例破口较小,使用低功率电凝准确夹闭止血,然后用自体肌肉和海绵局部覆盖;1例破口较大,鼻腔填塞止血后立即行介入手术置入覆膜支架。3例颈内动脉破裂的患者术后常规早期行数字减影血管造影(DSA)检查,如发现有假性动脉瘤,应及时介入治疗。
4.颅底重建阶段:
对于硬膜外复发脊索瘤,硬膜基本完整或可能有小的脑脊液渗漏,可以使用自体游离组织,例如脂肪、筋膜、肌肉等进行颅底重建。如果术后硬膜广泛缺损,则需要使用带血管蒂的鼻腔黏膜瓣进行颅底重建[13]。
本组所有病例均使用神经导航实时明确手术路径和方向,同时术中常规应用经鼻多普勒超声明确颈内动脉的位置和走行。对于复发颅底脊索瘤,术中神经导航应该常规应用,以动态了解重要结构的位置和肿瘤的切除程度,从而减少损伤肿瘤周围正常结构的风险,帮助最大程度地切除肿瘤。
另外,颅底复发脊索瘤手术中最大的风险来自于对斜坡和鞍底两侧颈内动脉系统的损伤,所以经鼻多普勒超声同样是必不可少的设备,可实时动态了解颈内动脉的位置,避免误伤。另外,神经电生理监测可减少脑神经损伤并发症的发生。以上设备的应用均是提高神经内镜经鼻切除复发颅底脊索瘤手术质量的重要保障。
参考文献
[1]Fernandes Cabral DT, Zenonos GA, Fernandez-Miranda JC,et al.Iatrogenic seeding of skull base chordoma following endoscopic endonasal surgery[J].J Neurosurg, 2017:1-7. DOI:10.3171/2017.6.JNS17111.
[2]Fraser JF,Nyquist GG,Moore N,et al.Endoscopic endonasal transclival resection of chordomas: operative technique, clinical outcome, and review of the literature[J]. J Neurosurg,2010,112(5):1061-1069.DOI:10.3171/2009.7.JNS081504.
[3]Holzmann D,Reisch R, Krayenbühl N, et al. The transnasal transclival approach for clivus chordoma[J].Minim Invasive.Neurosurg,2010,53(5/6):211-217.DOI: 10.1055/s-0030-1267929.
[4]Fernandez-Miranda JC,Gardner PA,Snyderman CH,et al.Clival chordomas: A pathological, surgical, and radiotherapeutic review[J].Head Neck, 2014,36(6):892-906.DOI:10.1002/hed.23415.
[5]Gui S,Zong X,Wang X,et al.Classification and surgical approaches for transnasal endoscopic skull base chordoma resection: a 6-year experience with 161 cases[J]. Neurosurg Rev,2016,39(2):321-332;discussion 332-333.DOI: 10.1007/s10143-015-0696-1.
[6]Chibbaro S,Cornelius JF,Froelich S,et al.Endoscopic endonasal approach in the management of skull base chordomas--clinical experience on a large series, technique, outcome, and pitfalls[J]. Neurosurg Rev,2014,37(2):217-224;discussion 224-225.DOI: 10.1007/s10143-013-0503-9.
[7]Koutourousiou M, Gardner PA,Tormenti MJ,et al.Endoscopic endonasal approach for resection of cranial base chordomas:outcomes and learning curve[J]. Neurosurgery,2012,71(3):614-624;discussion 624-625.DOI: 10.1227/NEU.0b013e31825ea3e0.
[8]Stippler M, Gardner PA, Snyderman CH, et al. Endoscopic endonasal approach for clival chordomas[J].Neurosurgery, 2009,64(2):268-277;discussion 277-278.DOI: 10.1227/01.NEU.0000338071.01241.E2.
[9]Koutourousiou M,Snyderman CH,Fernandez-Miranda J,et al.Skull base chordomas[J].Otolaryngol Clin North Am,2011,44(5):1155-1171.DOI: 10.1016/j.otc.2011.06.002.
[10]Saito K,Toda M,Tomita T,et al.Surgical results of an endoscopic endonasal approach for clival chordomas[J].Acta Neurochir (Wien),2012,154(5):879-886.DOI: 10.1007/s00701-012-1317-1.
[11]Tan NC, Naidoo Y,Oue S,et al.Endoscopic surgery of skull base chordomas[J].J Neurol Surg B Skull Base, 2012,73(6):379-386.DOI:10.1055/s-0032-1321508.
[12]Walcott BP, Nahed BV, Mohyeldin A, et al. Chordoma: current concepts, management, and future directions[J].Lancet Oncol,2012,13(2):e69-76.DOI: 10.1016/S1470-2045(11)70337-0.
[13]桂松柏,曹磊,宗绪毅,等.颅底脊索瘤内镜经鼻手术后的颅底重建技术[J].中华神经外科杂志,2014,30(10):1027-1030. DOI: 10.3760/cma.j.issn.1001-2346.2014.10.015.
【中华神外】往期回顾
2018年第六期“专家共识” | 肌张力障碍脑深部电刺激疗法中国专家共识
2018年第五期“临床论著” | 不断挑战复杂难治性颅内动脉瘤
2017年第六期“功能神经外科”丨PET-MRI影像融合技术在药物难治性癫痫术前评估中的价值
2017年第六期“临床论著”丨血管超声在颈动脉内膜切除术前风险评估中的价值
2017年第五期“名医讲堂” |精准医学时代带给脑干胶质瘤治疗的新模式





