一、病例简介
病例1 左侧大脑中动脉分叉部动脉瘤
1.临床表现
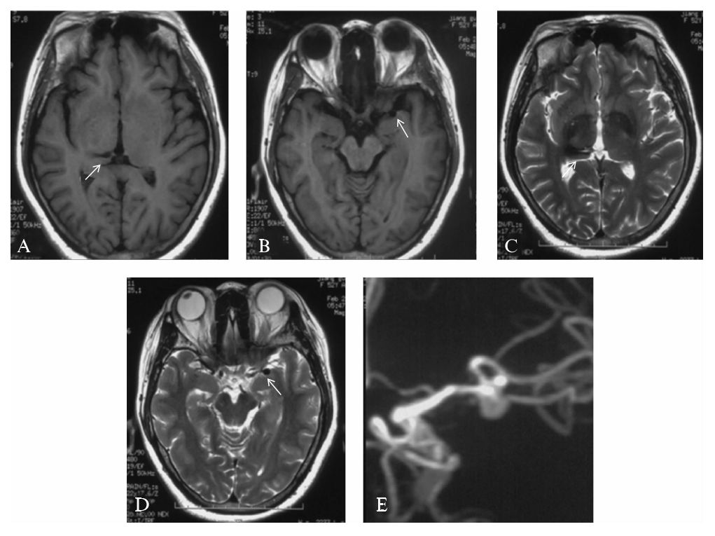
患者,55岁,女性,因“头痛3周”就诊,MRI检查可见右侧丘脑出血后陈旧性软化灶(图10-1A、C),左侧侧裂池内T1WI及T2WI可见局部血管流空影(图10-1B、D),进一步MRA检查证实左侧大脑中动脉动脉瘤(图10-1E)。
患者既往高血压病史7年,最高达180/100 mmHg(1 mmHg=0.133 kPa),平时药物控制不详;3年前有“脑出血”病史。
神经系统查体:神志清楚,言语流利,面纹对称,眼球活动正常,无眼睑下垂等异常,伸舌居中,左侧肢体肌力V-,左侧肢体浅感觉减退。
图10-1 患者入院前MRI及MRA检查
A,C:右侧丘脑出血后T1WI低信号,T2WI高信号的陈旧性软化灶(箭头);
B,D:左侧侧裂池内T1WI及T2WI可见局部血管流空影;
E:头颅MRA证实左侧大脑中动脉动脉瘤
2.影像学检查
MRI、MRA:头颅MRI平扫可见右侧丘脑出血后的T1WI低信号,T2WI高信号的陈旧性软化灶(图10-1A、C),同时左侧侧裂池内T1WI及T2WI可见局部血管流空影(图10一1B、D);MRA证实左侧大脑中动脉动脉瘤,动脉瘤呈分叶状,形态欠规则(图10-1E)。
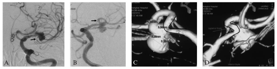
DSA:左侧颈内动脉造影显示左侧大脑中动脉分叉部相对宽颈动脉瘤,动脉瘤呈分叶状,且同时累及上干和下干(图10-2A、B);三维旋转造影重建显示载瘤动脉在瘤颈处成约60°的锐角,主要累及上干,下干自瘤颈处发出。标记测量:动脉瘤最大径约9.7 mm,瘤颈约2.8 mm,两分叶小泡大小分别为6.28 mmX5.26 mm,4.1 mmX3.39 mm,载瘤动脉近远端直径分别为2.03 mm及1. 65 mm(图10-2C、D)。

图10-2 患者术前DSA及三维重建影像
A,B:工作角度造影显示左侧大脑中动脉分叉部宽颈动脉瘤.动脉瘤呈分叶状,且同时累及上干和下干;
C:三维旋转造影重建显示M2,M3在瘤颈处成明显约60°的锐角,下干自瘤颈处发出
3.诊断
左侧大脑中动脉分叉部动脉瘤;脑出血后遗症;高血压病3级(极高危组)。
4.治疗
(1)治疗策略
患者动脉瘤为宽颈呈分叶状,瘤颈处有下干发出,且载瘤动脉成明显夹角,动脉瘤治疗需保持分支通畅的同时尽量致密栓塞;为改善动脉瘤预后,需考虑支架植入以改善动脉瘤局部血流动力学。拟首先双导管技术栓塞,分部填塞动脉瘤,操作中注意保留下干血流;而后支架植入大脑中动脉上干,保护上干血流的同时改变上干曲率,促进动脉瘤愈合。
(2)材料及药物
6F鞘管;
三头Y型阀X1,普通Y型阀X2;
6F导引导管(Chaperon);
0.035 inch导丝(Terumo,Somerset,NJ);
弹簧圈微导管,直头(Echelon 10,ev3);
Traxcess 14微导丝;
支架微导管Rebar 18;
Transcend 300 Floppy交换导丝;
支架:Solitaire 4 mm X 20 mm;
弹簧圈:Axium 3D 6 mm/15 cm,4 mm/8 cm,3 mm/8 cm, 2 mm/4 cm, Axium Helix 2 mm/8 cm,Axium 3D 2 mm/4 cm,2 mm/4 cm,Axium Helix 2 mm/6 cm,2 mm/4 cm,2 mm/2 cm,1. 5 mm/2 cm;
造影剂;
肝素;
阿司匹林、硫酸氢氯吡格雷(波立维)。
(3)手术过程
患者术前阿司匹林100 mg/d、硫酸氢氯毗格雷75 mg/d口服3d。气管插管全麻,右侧股动脉穿刺,置6F股动脉鞘管。全身肝素化。6F导引导管在0. 035 inch导丝导引下超选至右侧颈内动脉岩骨段,行旋转造影并三维重建,选择合适工作角度,并测量动脉瘤大小及载瘤动脉远近端直径(图10-2)。
鉴于血管迁曲,支架导管直接导向远端较为困难。我们首先使用了双微导管技术,2根微导管通过塑形分别超选入动脉瘤的两个子囊内(图10-3A、B),于大囊及小囊内分别填入Axium 3D 6 mm/15 cm及Axium 3D 4 mm/8 cm弹簧圈各1枚顺利成篮,而后依次填入Axium 3D 3 mm/8 cm,2 mm/4 cm,Axium Helix 2 mm/8 cm,Axium 3D 2 mm/4 cm,2 mm/4 cm,Axium Helix 2 mmX 6 cm,2 mm/4 cm,2 mm/2 cm,1.5 mm/2 cm共11枚弹簧圈,期间通过反复调整微导管位置、张力控制弹簧圈的填塞部位,保持载瘤动脉及其分支的通畅(图10-3E、F)。
图10-3 患者弹簧圈栓塞过程的DSA影像
A~D:动脉瘤术中操作示意图,2根微导管通过塑形分别超选入动脉瘤的两个子囊内,通过反复调整微导管位置、张力控制弹簧圈的填塞部位;白色及黑色线所示为动脉瘤上下子囊微导管超选示意(A,B)及填塞效果示意(C,D),图B因对比度需要白色曲线改用虚线代替;E~G为术后造影图,显示动脉瘤栓塞后载瘤动脉及分支保持通畅
因动脉瘤瘤颈主要累及上干,且上干粗大,成角更大,故选择大脑中动脉M1至M2上干行支架成形术。在动脉瘤内弹簧圈支撑下,Echelon 10微导管顺利通过上干与M1段成角处(图10-4A),到达上干远端;因远端血管迁曲,微导管难以走远,故考虑植入Solitaire支架。微导管路图下,使用Transcend 300 Floppy交换导丝,交换Rebar 18微导管到位(图10-4B、C),释放Solitaire 4 mmX20 mm支架1枚(图10-4D),术后造影显示动脉瘤致密栓塞,上下干通畅(图10-4E)。与术前造影(图10-4A)相比,上干明显变直,曲度减小。
图10-4 患者支架植入过程图示及术后、随访造影
A:白色曲线为微导管超选示意图,注意大脑中动脉上干与M1段处成角明显(黑色箭头),该处弹簧圈予以相应支撑使得微导管得以超选远端;
B:Echelon 10微导管路图后Floppy交换导丝到达大脑中动脉M3段;
C:Rebar 18微导管交换到位;
D:Solitaire支架顺利释放,覆盖瘤颈;
E:术后即刻工作角度造影,显示动脉瘤致密栓塞.上下干通畅,与术前造影(A)相比,上干明显变直,曲度减小(白色曲线);
F:术后6个月后DSA复查结果,动脉瘤完全不显影,分支通畅,白色曲线所示大脑中动脉上干,与术前相比(A)血管曲度进一步变直
对支架植入前后载瘤动脉的血流动力学进行了分析,显示支架植入后,剪切震荡指数(OSI)明显降低(图10-5)。

图10-5 手术前后患者载瘤动脉血流动力学OSI的比较
A:术前,B:术后;OSI:剪切震荡指数,是动脉瘤生成和复发的重要参数
(4)术后处理及随访
患者术后恢复良好,无新发的神经系统阳性体征,3d后顺利出院。予以双联抗血小板聚集治疗6周(阿司匹林100 mg/d,波立维75 mg/d),后改为阿司匹林100 mg/d终身服用。
患者术后按时随访,术后6个月复查DSA显示动脉瘤完全不显影,分支通畅,上干较术后进一步变直(图10-4F)。
二、病例讨论
1.背景及诊断
大脑中动脉(MCA)动脉瘤约占颅内动脉瘤的20%,按部位分为M1段动脉瘤、分叉部动脉瘤及MLA远端动脉瘤,其中绝大部分(可达80%)位于大脑中动脉分叉部。以往对MLA分叉部动脉瘤的研究表明其多为小型或微型,且多合并其他颅内动脉瘤。Rinne等对561例大脑中动脉动脉瘤患者的统计显示分叉部动脉瘤36%为微型(2~7 mm),41%为小型(8~14 mm),16%为大型(15~24 mm),巨大型动脉瘤约占6%。Dashti等对1166例大脑中动脉动脉瘤患者的分析中发现44%的患者有多发动脉瘤,17%的患者有多发的大脑中
动脉动脉瘤,其中14%为双侧(镜像)。
大脑中动脉动脉瘤常无特殊的临床表现,如动脉瘤体积较大,引起占位效应可导致患者出现头痛、或是对侧肢体无力等占位症状。如动脉瘤发生破裂,根据动脉瘤的指向往往可出现蛛网膜下腔出血、侧裂血肿及脑内血肿等不同临床表现。在以往的文献报道中,脑内血肿的发生比例可达45%,且主要位于颞叶;由于脑内血肿或出血引发的脑血管痉挛,患者可出现偏瘫或失语等神经功能障碍。
大脑中动脉动脉瘤如体积较大,可在CT上显示为高密度影,MRI上可出现血管的局部流空影。而动脉瘤如破裂可出现蛛网膜下腔出血、侧裂血肿及脑内血肿等不同的CT表现,较为典型的MCA动脉瘤破裂出血的表现为蛛网膜下腔出血伴发外侧裂血肿。
DSA造影仍是动脉瘤诊断的金标准。但大脑中动脉往往分支较多,在常规正侧位脑血管造影上可因动脉血管的重叠而漏诊,多角度的投照或三维DSA旋转造影可减低漏诊率。并注意仔细阅片,明确动脉瘤瘤颈的位置、所累及的分支及与分支的关系,以指导进一步的治疗。
未破裂的大脑中动脉动脉瘤,尤其是伴有瘤内血栓的巨大动脉瘤需要与颅内占位性病变相鉴别,血管检查可明确诊断。破裂动脉瘤如形成脑内血肿,需注意与颅内肿瘤卒中、烟雾病、血管畸形等鉴别。部分动脉瘤破裂口指向内上方,如出血量大,可形成颞叶深部血肿,甚至破入脑室,有时与高血压脑出血难以鉴别,需DSA血管造影才能确诊。MCA动脉瘤与周围分支关系密切,尤其是豆纹动脉等又属动脉终末分支,在颅内压力增高、脑内血肿形成或脑血管痉挛时,容易受到损伤引起脑梗死,应注意与原发性脑梗死鉴别。
2.治疗方法
(1)血管内介入治疗
大部分大脑中动脉动脉瘤瘤体结构皆适用于弹簧圈栓塞;部分瘤颈较宽、结构复杂的大脑中动脉动脉瘤,需使用双导管、球囊或支架等辅助栓塞技术进行栓塞治疗。
(2)手术夹闭
大脑中动脉分叉部动脉瘤开颅夹闭多采用经翼点侧裂入路,沿蝶骨岭进入,相关结构及分支辨认清楚后沿Ml段解剖大脑中动脉分叉部,再按平行于载瘤动脉的方向进行分离,暴露瘤颈。如颅内压很高,脑脊液引流不能施行或术中脑室穿刺无效时,可经颖上回入路进入。动脉瘤暴露后放置动脉瘤夹时,应格外注意避免引起周围分支血管和载瘤动脉的扭曲、闭塞。如果动脉瘤较大难以夹闭,常需行血管重建或行颅内外血管搭桥术后行动脉瘤切除。
(3)可能的并发症
动脉瘤在治疗过程中破裂出血及早期再出血;周围分支受到影响而引起脑梗死等缺血性并发症。
三、策略选择与实施要点
1.策略选择
大脑中动脉动脉瘤相比其他位置动脉瘤而言位置浅,容易暴露,且因同时合并颅内血肿需行血肿清除等原因,传统认为开颅动脉瘤夹闭是MCA动脉瘤治疗的经典术式。但随着介入技术的发展,如三维旋转DSA的普及、新型弹簧圈的引入以及支架和球囊等辅助技术的应用使得越来越多复杂的动脉瘤得以通过血管内介入的方式治疗;而ISAT后多项临床研究亦显示MCA动脉瘤的血管内介入治疗可达到与手术夹闭相当的效果,在有些中心弹簧圈栓塞甚至已成为MCA动脉瘤治疗的首选方法。Brinjikji等曾就12篇MCA介入治疗的文献进行了系统分析(systematic review,SR),未破裂动脉瘤术中破裂风险为1.7%(95%CI 0.7%~3.6%),破裂动脉瘤术中破裂风险为4.8%(95%CI 3.1%~7.4%),术后早期再出血风险为1.1%(95%CI 0.5%~2.5%),未破裂和破裂动脉瘤总体的致残率/致死率为5.1%和6.0%,与手术相仿。手术方案的选择更多地取决于操作者的判断及患者的选择。
如选择介入治疗,窄颈的大脑中动脉动脉瘤可通过微导管的塑形较好地完成动脉瘤栓塞。但对于有着宽颈等复杂形态的动脉瘤,我们常需要采用辅助技术对动脉瘤进行栓塞。
支架辅助仍是目前最常用的方法。支架植入时需综合考虑动脉瘤瘤颈所累及的载瘤血管,分支与M1段主干之间的夹角,以期望在辅助弹簧圈栓塞的同时最大程度地改善局部血流动力学,保持动脉瘤的长期稳定。对于单支架治疗时仍有弹簧圈脱出或是考虑单支架难以完全覆盖瘤颈的情况,应考虑Y形支架的植入。“冰激凌”技术因不能改善动脉瘤的血流动力学,有着极高的复发率,应谨慎使用。
球囊辅助栓塞也是目前常用的方法。但其操作需要两根微导管,使得操作复杂化;对于宽颈动脉瘤,该技术存在球囊撤掉后弹簧圈有脱出及逃逸可能。此外,因为豆纹动脉对缺血耐受力较差,如果使用球囊辅助,担心缺血事件的发生。Suziki等的病例中就1例患者使用球囊辅助后发生脑梗死,而且球囊辅助并未改变局部血流动力学,往往导致更高的复发率。但对于未破裂MLA动脉瘤急性期的治疗,球囊辅助栓塞技术仍是重要的方法之一。
近年来,血流导向装置被用于治疗各种颅内复杂动脉瘤,且被证实即便细小分支被覆盖,也是安全而有效的。Yavuz等曾发表使用血流导向装置治疗MLA动脉瘤的经验,但是分支闭塞的可能性仍应慎重考虑。MLA动脉瘤破裂常合并颅内血肿(29%),这些患者可选择直接开颅手术,但另一可供选择是,如果血肿量少,可以栓塞治疗后密切观察;如果血肿量大,而患者病情稳定,没有脑
庙的迹象,可将动脉瘤快速栓塞再开颅清除血肿,或是血肿腔穿刺引流,以减少动脉瘤术中破裂出血的风险,同时避免术中解剖动脉瘤所造成的神经损伤。
2.技术要点
本例患者我们采用了双微导管、支架辅助栓塞等多种技术结合的血管内介入治疗,获得了良好的结果。该病例有3个值得注意的地方:首先对于分叶状的囊腔采用双微导管良好塑形,分别超选后进行了较好的填塞;其次,动脉瘤瘤颈处载瘤动脉成明显的锐角,支架微导管难以向远端超选,术者利用动脉瘤内弹簧圈的支撑,顺利将顺应性较好的Echelon 10微导管超选到位,而后交换了顺应性相对较差的支架微导管进行了支架植入;最后,动脉瘤支架植入上干或下干需结合动脉瘤瘤颈及载瘤动脉血流动力学综合判断,本例患者因动脉瘤瘤颈主要累及上干,且上干粗大,成角更大,直接植入M2上干能更好地保护载瘤动脉,同时利用支架改变了血管曲率,从而改变了血流动力学,促进了动脉瘤的愈合。
3.注意事项
大脑中动脉分支众多,大脑中动脉动脉瘤进行栓塞治疗时,应行多角度投照或三维DSA旋转造影,明确动脉瘤瘤颈的位置、所累及的分支及与分支的关系。临床医生应根据动脉瘤的形态及与分支血管关系,选择合适的治疗策略。
如使用支架辅助可能的并发症尚包括分支的受累、支架内血栓及操作引起的出血等,其中较为常见仍是围手术期缺血性并发症。在最近大脑中动脉动脉瘤支架治疗的文献中,缺血性并发症可高达11%~20%,但多为术中出现,通过积极予以欣维宁等处理,大部分患者恢复良好,致残和致死率仅分别为。0%~4.3%和0%~1%。因而,最近多篇关于大脑中动脉支架治疗的文献普遍认为未破裂大脑中动脉动脉瘤支架治疗是安全的,但术中术后应注意观察,及时发现并发症应及时处理。
(周 宇 赵文元)

刘建民教授任主编的《颅内动脉瘤介入治疗学——基于病例的研究》精华版正在神经介入资讯连载,欢迎阅读、分享!(本书的实体书也在神经介入资讯微商城发售,精彩内容抢先观看!)

往期回顾







