研究背景
临床上对颅内未破裂动脉瘤的处理尚有争议,显微手术和介入栓塞都有风险。因此评估未破裂动脉瘤的破裂风险有很大的价值。动脉瘤的大小是破裂的特异危险因素,大的动脉瘤比小的动脉瘤更易于破裂。然而,小的动脉瘤也有可能破裂。血流动力学在预测动脉瘤的破裂中起重要作用,但近来有研究提出单纯的血流动力学不能为区分破裂风险提供更多的价值。其他因素如年龄、动脉瘤位置、形态不规则、长宽比等也与动脉瘤破裂相关。然而,这些因素的敏感性和特异性还需要改进。因此,需要更可靠的办法区分动脉瘤是否处于破裂风险。
高分辨MRI已经用于评估颅内动脉疾病,包括造影阴性的非中脑周围蛛网膜下腔出血,粥样硬化斑块,血管炎,可逆性脑血管收缩综合征,烟雾病,以及颅内动脉瘤。动脉瘤壁增强反映了瘤壁的炎症反应,是一种新的风险评估的影像学标志。但是研究还不够充分。作者假设,动脉瘤壁增强是动脉瘤壁炎症以及破裂相关炎症反应的标志,因此,动脉瘤壁增强的程度在破裂动脉瘤中比未破裂动脉瘤要高。
研究方法
本研究回顾性研究106例CTA证实的囊性动脉瘤,行高分辨MRI检查。排除标准:1.儿童,妊娠,MRI检查或造影剂禁忌的患者,如起搏器置入、幽闭恐惧症、肾功能不全、造影剂过敏等;2.外伤性的梭型动脉瘤,AVM,图像质量差的;3.近期使用过阿司匹林或非甾体抗炎药的;4.破裂动脉瘤患者严重的意识障碍或不能配合检查的。最后91例患者的106个动脉瘤(19个破裂,87个未破裂)入组分析。18个破裂动脉瘤和30个未破裂动脉瘤经过介入或夹闭手术治疗,58个未破裂动脉瘤随访。CTA或MRA随访期间,平均8.3个月,1个动脉瘤破裂,并归入破裂组,7例患者(8个动脉瘤)失访,剩余的动脉瘤未破裂。在多发动脉瘤的患者中,破裂的动脉瘤经过CT、造影或术中确诊。患者临床资料见表1。

表1. 91例患者的临床资料:女62例,男29例,男女比例1:2.1。平均年龄56.76±9.91岁。因此选取56岁作为两分组的界限。经卡方检验,动脉瘤破裂与临床资料无相关性。
MR使用GE3.0T机器,8通道头部线圈。检查方案包括3D TOF MRA,增强前/后的T1WI HRMRI。所有图像由2名经验丰富的放射科医师在GE工作站上分析。CTA重建后,最佳角度测量动脉瘤的瘤颈、深度、宽度,动脉瘤与载瘤动脉的夹角,部位,是否双分叉,形态。动脉瘤的位置分为前循环和后循环。MRI分析,分析者定义增强模式,增强程度,以及瘤壁厚度。与增强前扫描相比,瘤壁增强模式分为无增强,全部增强(全部瘤壁增强),部分瘤壁增强。在PACS系统上3倍放大增强前后的图像上,手动测量瘤颈部、瘤体部、瘤顶的信号强度。增强程度的计算:增强程度=(增强后最大信号强度-增强前信号强度)/增强前信号强度x100%。不同部位的瘤壁厚度在增强后图像上手动测量。统计分析时使用平均值。(图1-4)
图1.右侧大脑中动脉分叉部的动脉瘤(A),增强前(B)后(C)相比,瘤壁无增强。

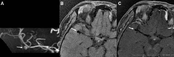
图2.右侧大脑中动脉分叉部的动脉瘤(A),与增强前(B)相比,增强后可见瘤壁完全增强(C)。

图3.前交通动脉瘤,CTA 3D图像显示形态不规则(A),与增强前(B)相比,增强后可见瘤壁部分增强(C),19天后,动脉瘤破裂出血(D)。

图4.在增强前(A)后(B)的图像上,分别测量瘤颈部、瘤体部、瘤顶部的信号强度。使用瘤壁兴趣区环形区域的信号平均值。
结果
动脉瘤形态不规则、瘤壁无增强、部分瘤壁增强、深度、最大径、瘤壁厚度、增强程度,都与动脉瘤的破裂显著相关(表2)。这些变量进一步回归分析,显示增强程度、部分瘤壁增强,是动脉瘤破裂的预测因素。ROC曲线:增强程度的界值是61.5%,ROC曲线下面积0.798,预测动脉瘤破裂的敏感度和特异度分别是89.5%,63.2%(图5)。

表2. 动脉瘤的形态学特点。

图5.ROC曲线:增强程度的界值是61.5%,ROC曲线下面积0.798,预测动脉瘤破裂的敏感度和特异度分别是89.5%,63.2%。
讨论
动物实验和人体研究提示炎症反应是颅内动脉瘤形成和破裂的关键病生机制。动脉瘤壁的病理改变是非常复杂的,包括很多组织病理学改变,包括内弹力膜的断裂,平滑肌细胞迁移,肌内膜增生,脆弱滋养血管或动脉粥样硬化的壁内出血,炎症细胞浸润,炎症因子和内肽酶类的释放。这些过程破坏了细胞外基质蛋白,使细胞壁薄弱。有研究使用三氧化二铁的微粒子作为炎症的MRI的特异对比剂,但是临床很难实现。近期,高分辨率MRI用于研究颅内动脉瘤,动脉瘤壁增强被认为是瘤壁炎症的征象。本研究使用黑血序列和普通的钆增强剂研究动脉瘤的瘤壁,发现增强程度和瘤壁部分增强与动脉瘤破裂相关。
高分辨MRI中动脉瘤壁增强是动脉瘤不稳定和破裂的重要提示。以往研究报道瘤壁增强在破裂动脉瘤中更常见,根据增强程度分为不明显增强,低增强和高增强,发现高增强对破裂动脉瘤有高度特异性。然而,这种评估方法有时不准确,比如,区分低增强和高增强有困难。本文采用增强前后的瘤壁信号强度定量计算方法,以避免这种误差。发现增强程度≥61.5%与动脉瘤的破裂相关,而且比既往CTA研究中的敏感度更高。同时也支持瘤壁增强在破裂动脉瘤中比未破裂动脉瘤中更高的观点。
有研究报道,动脉瘤瘤壁增强在多发动脉瘤合并蛛网膜下腔出血时是有帮助的,可能提示破裂点。本研究中有6例部分增强位置与HRMRI或术中确认的破裂点吻合。研究中1例部分瘤壁增强的未破裂动脉瘤,在19天后出现破裂。因此,动脉瘤的部分瘤壁增强可能预示破裂点,对临床医生有价值。
实际上,本研究中包括16例部分瘤壁增强的动脉瘤,所有的增强点出现在不规则形态位置或者子囊上。此外,16例破裂动脉瘤的形态不规则,其中9例有部分瘤壁增强。作者以前的研究发现不规则形态的动脉瘤有更高的破裂风险,原因是不规则形态导致血流模式不稳定,导致内皮细胞的损害,炎症细胞浸润,瘤壁变薄,滋养血管处增厚,以及通透性增加,造影剂的瘀滞或渗漏。所有这些都可能导致部分瘤壁增强。
动脉瘤破裂点常位于动脉瘤顶部,瘤壁薄弱与动脉瘤的破裂正相关。有研究也提出瘤颈部位的厚度比瘤顶部位更厚。本研究也测量了瘤壁厚度,有意思的是,破裂动脉瘤的厚度比未破裂的厚度大。这种矛盾的原因可能是我们测量的是增强后的瘤壁厚度,测量的瘤壁厚度可能包括了真正的瘤壁以及其他成分,比如邻近的组织或增强剂的外渗。另外原因可能是因为部分容积效应导致过高估计了瘤壁厚度。因此,作者建议增强的瘤壁厚度应该从破裂风险的指标中去除。
本研究同时研究了患者临床资料,如年龄和脑动脉粥样硬化。作者既往的研究指出这些因素和破裂相关。然而,本研究中在破裂组和未破裂组之间没有统计学差异。原因可能是本研究样本较小。
局限
作者提出了本研究的局限性:1.数据来源于相对较小的单个中心。2.是回顾性的研究,破裂动脉瘤的大小可能已经变化,并在瘤壁周围产生炎症变化,虽然有研究提出动脉瘤大小在破裂后并没有皱缩。3.研究者在测量数据时,动脉瘤破裂和未破裂并不是完全盲法, 可能导致偏移。4.SAH可能在瘤壁周围产生炎症反应,可能产生假阳性结果;然而,既往有报道动脉瘤壁增强是先于破裂出现,而不是破裂的结果。5.HRMRI分辨率仍不够高以精确测量瘤壁,尤其是瘤壁<1mm时。6.没有分析增强程度和炎症程度之间的关系,因为很难获得病理结果。未来需要前瞻性的研究进一步证实。
结论
基于HRMRI,增强程度≥61.5%,以及瘤壁部分增强的动脉瘤更常见于破裂动脉瘤。
(复旦大学附属华东医院张颖影组稿、青岛解放军第401医院神经外科潘源编译,上海长海医院方亦斌副教授审校,《神经介入资讯》主编、上海长海医院脑卒中中心兼神经介入中心主任刘建民教授终审)
【Ref:Wang G, et al. J NeuroIntervent Surg 2018;10:569–573. doi:10.1136/neurintsurg-2017-013308】




