今天为大家分享的是由王小峰医师编译,空军军医大学唐都医院神经外科颅底组组长衡立君副教授审校的:脊索瘤和软骨肉瘤手术策略与技巧,欢迎观看、阅读!
Endonasal Lateral Petroclival Chondrosarcoma
Olfactory Groove Chondrosarcoma
Petroclival chondrosarcoma-Retrocarotid space
颅底脊索瘤通常属于硬膜外肿瘤,起源于中线斜坡区域,可能发生少见的向硬膜内延伸。软骨肉瘤则起源于颅底中线旁的胚胎间叶残余组织,位于蝶岩斜交界区,大多以颞枕交界处为中心。
脊索瘤和软骨肉瘤属于罕见病变,约占颅内肿瘤不到1%。脊索瘤会发生远处转移,并出现局部症状,发生转移概率从4%至43%不等,主要转移到淋巴结、中轴骨、肺和皮肤。软骨肉瘤发生转移的情况则极为罕见。
从影像学表现上难以区分脊索瘤和软骨肉瘤,组织病理学的不同有助于明确诊断。
脊索瘤组织学类型分三种:典型低分化型、肉瘤样、软骨型。脊索瘤组织学染色显示S-100蛋白、上皮细胞膜抗原、细胞角蛋白和brachyury蛋白阳性。肿瘤组织染色有含大包涵体囊的特征性细胞,即空泡细胞。
软骨肉瘤上皮细胞膜抗原和细胞角蛋白染色均为阴性,由此可与脊索瘤明确鉴别。软骨肉瘤的组织学类型可分为经典型、间质型、去分化型,间质型和去分化型预后差。且按照世界卫生组织(WHO)组织学分级为1、2、3级,分别对应1至3级逐渐变差的预后等级。
由于病变所处位置解剖结构复杂,邻近脑干、颅神经和后循环血管,从而使得肿瘤有效切除面临挑战。脊索瘤和软骨肉瘤若未能达到完全切除就会存在复发倾向,因此建议积极安全切除。
根据美国监测、流行病学和最终结果(SEER)数据库的脊索瘤和软骨肉瘤患者预后资料表明:脊索瘤患者预后明显较差,脊索瘤患者中位总生存期为12.6年,10年生存率为54.7%;而软骨肉瘤的患者中位总生存期限为22年,10年生存率为68.2%。
临床表现
最常见的首发症状为复视,这是外展神经麻痹所致,因为Dorello’s管靠近中线斜坡。头痛是第二常见的主要临床表现。
也可能出现视野缺损、面瘫、听力障碍、眩晕、吞咽困难、声音嘶哑、腭或舌肌无力等症状。而稍不常见的表现为面部麻木、面部疼痛以及锥体束征和小脑症状。若四脑室受压则会引起脑积水。
术前评估
可疑颅底脊索瘤的检查方法包括磁共振成像(MRI)和计算机断层扫描(CT)。病变累及海绵窦时尤其要注意Ⅲ-VI颅神经。
脊索瘤和软骨肉瘤在MRI影像表现上难以区分,病变在T1加权相上与灰质相比表现为等低信号,在T2加权相表现为高信号,增强相常稍有强化。脊索瘤内常因瘤内出血有含铁血黄素或铁蛋白沉积。颅底高分辨率CT可以显示周围正常及受侵犯骨质解剖、瘤内钙化以及周围骨质破坏的程度。也能判断肿瘤是否包绕岩骨段颈内动脉或使其狭窄。
按照计划手术切除中侵袭性程度,需要进行同侧颈内动脉(ICA)临时球囊闭塞试验以评估术中颈内动脉受损导致缺血的风险。因肿瘤常发生局部浸润和侵袭海绵窦即使影像学上海绵窦内为阴性,故脊索瘤和软骨肉瘤全切可能性小,不建议通过搭桥侵袭性切除肿瘤。
根据肿瘤在蝶枕区和蝶岩斜区的分布,决定最大程度切除脊索瘤和软骨肉瘤的最佳手术入路。95%的病例中斜坡吻侧受累,斜坡尾侧受累仅占30%。枕骨髁受累占30%。70%的脊索瘤患者存在海绵窦受累,局部侵袭较强的肿瘤往往可向前生长至翼腭窝、鼻旁窦和鼻咽部。
在此颅底区域还常会遇到许多其他常见肿瘤。因此,脊索瘤和软骨肉瘤需要与表现为沿斜坡侵蚀骨质的其他硬膜外占位进行鉴别,其中包括软骨粘液样纤维瘤、转移瘤、脑膜瘤、原发性骨肿瘤、神经纤维瘤、神经母细胞瘤、淋巴瘤、血管瘤和骨纤维异常增殖症。由于该区域肿瘤的差异性和缺乏鉴别特征,可在手术切除前行肿瘤活检。
如果患者第Ⅷ对颅神经可能受累,需要做基线听力检查。同样若肿瘤影响到吻侧颅神经,需通过正规视野检查,评估视觉状态。向前生长的肿瘤可能侵犯患者的咽后壁软组织时,需在术前检查患者的发音和吞咽功能有无受损。若肿瘤广泛侵及咽部,造成气道狭窄时可能需要行气管切开术。

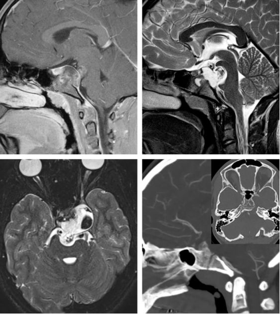
图1:向硬膜下生长的斜坡脊索瘤。肿瘤在T1加权相表现为等低信号,局部高信号(肿瘤内出血或粘液囊肿),在T2加权相表现为高信号。需注意增强相的不均匀强化表现。CT上表现为骨质破坏性改变,有时可伴边缘硬化。相对于周围的脑组织肿瘤呈等高密度。

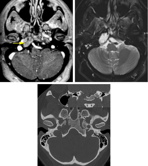
图2:软骨肉瘤(黄色箭头)表现为不均匀强化,在T2加权相表现为高信号。CT上与脊索瘤不同,软骨肉瘤更易向一侧生长且骨质边缘处侵蚀迹象较少。
治疗方案
蝶枕脊索瘤和蝶岩斜坡软骨肉瘤的治疗几乎均包括手术切除。手术治疗不仅有助于明确诊断,而且解除脑干和颅神经受压,进而为神经功能改善创造条件。手术治疗还能够通过使治疗区域局限化,增加辅助放疗的安全性。
肿瘤的治疗方法包括:随访观察、活检、手术治疗、放射治疗和综合治疗方案。随访观察需要连续定期行影像学检查,影像检查并不适合鉴别诊断考虑为脊索瘤时,但对于无症状且经活检证实的低级别软骨肉瘤可采取随访观察。
当诊断不明确预计行手术切除时,可先行手术活检。由于肿瘤定位于硬膜外,通过鼻腔/口咽、或者乳突区较容易留取标本。而对于特征性旁正中生长的软骨肉瘤,病变多累及颞骨岩部,手术活检有挑战性。而对于侵及咽后壁软组织的脊索瘤,易于通过此部位活检。
单独采用放射治疗治疗脊索瘤和软骨肉瘤尚缺乏足够的证据支持。辅助放射治疗的数据显示:对于低级别的软骨肉瘤,单独采用放射治疗有一定的效果,但需要作行进一步研究以支持该治疗方法有效。放射治疗的主要作用在于防止肿瘤的术后复发。放射治疗的模式包括立体定向放射外科治疗、质子束放射治疗和调强放射治疗。
目前,脊索瘤和软骨肉瘤的化疗尚无确切效果,但是对于某些进展期和转移性的患者作为姑息性的治疗手段可有一定的帮助。
由于这类肿瘤具有很高的复发率,所以手术的目的就是肿瘤全切。但不幸的是仅有不到30%的患者可达到肿瘤全切。当患者出现症状时,大多数的脊索瘤和软骨肉瘤已经很大(2-5cm),且常常包裹着周围多个结构,包括脑血管系统、颅神经和脑干。替代治疗方案是安全地尽可能次全切除肿瘤,再结合术后按计划行放射治疗。
对于肿瘤进展或复发的患者,发现肿瘤转移灶是手术禁忌。术前计划治疗阶段,请放射肿瘤科医生协助确定特定的肿瘤区域行手术治疗还是辅助放射治疗为好很有帮助。所以手术切除前要明确手术和放射治疗的目的。
手术解剖
脊索瘤通常起源于中线区域,而软骨肉瘤起源于旁中线中央颅底,所以掌握周围复杂的骨性解剖结构对于成功手术治疗至关重要。
脊索瘤几乎均以斜坡为中心,而软骨肉瘤往往向中线延伸,也常会侵犯斜坡。
斜坡分为三个部分。斜坡上段起自后床突,沿着鞍背,终止于岩尖。这一区域临近的重要神经血管结构包括动眼神经、滑车神经、三叉神经眼支和上颌支、颈内动脉海绵窦段、基底动脉上段和海绵窦。斜坡中段起自临近Dorello’s管的岩尖,止于颈静脉孔(神经部分)。这部分重要的神经血管结构包括面神经、前庭蜗神经、基底动脉下段、椎基底动脉汇合部和岩下窦。斜坡下段起自颈静脉孔(神经部分),止于枕骨大孔。这部分包括基底动脉、枕骨髁、舌下神经管,以及舌咽神经、迷走神经、副神经和舌下神经。
大部分的软骨肉瘤向中线延伸至颞骨岩部。岩尖与斜坡中段和蝶骨大翼后缘相连。颈内动脉的岩骨段在岩尖前方穿过破裂孔。掌握颈内动脉岩骨段解剖走行对于切除岩尖部肿瘤相当重要。

图3:斜坡上段的骨性、神经解剖。去除斜坡表面右半部分的硬膜,保留第Ⅴ-Ⅻ颅神经。外展神经穿过硬膜的位置是斜坡上中段分界线,颈静脉孔是斜坡中下段分界线。红色虚线所示为斜坡上中段分界线,黄色虚线为斜坡中下段的分界线(上排图)。Gruber’s韧带起自鞍背侧缘下方,止于岩尖上方。Dorello’s管(白色虚线)以上方的Gruber’s韧带,外下方的岩尖,内下方的斜坡为界(中排图)。颈静脉孔的解剖(下排图):斜坡上中段分界线靠近岩尖上缘,斜坡中下段分界线靠近舌咽神经穿硬膜处。(图片由AL Rhoton, Jr提供)。

图4:内镜下经鼻入路的中线骨性解剖。筛骨垂直板、犁骨和蝶骨嵴构成鼻中隔骨性部分。蝶腭孔位于鼻腔外侧壁筛骨嵴的上方,颚骨蝶突和眶突之间(右上图)。蝶窦后壁的解剖结构:翼管在蝶窦的下外侧角(左中图)。45°内镜下的蝶窦右侧壁(左下图)。另一标本上蝶窦后壁解剖结构(右下图)。(图片由AL Rhoton, Jr提供)。

图5:暴露右侧斜坡下段(上排图)。颈内动脉垂直段沿着蝶窦后壁的外侧缘,称为斜坡旁段,岩部颈内动脉破裂孔段位于颈内动脉前膝以远。斜坡中下段后部保留有薄层硬膜桥作为分界(下排图)。(图片由AL Rhoton, Jr提供)。

图6:逐层显露斜坡上段解剖结构。海绵窦内侧壁已切除。注意经斜坡入路所显露的相关神经血管结构。许多软骨肉瘤包饶斜坡旁段和岩骨段颈内动脉并侵入海绵窦。(图片由AL Rhoton, Jr提供)。

图7:内镜下斜坡中段的解剖结构。45°内镜下观察破裂孔区,切开翼管(上排图)。斜坡右侧部骨质被磨除,去除硬膜,可以看见斜坡上中段的硬膜桥分界线和斜坡中下段的薄层骨桥分界线(中排图)。45°内镜近距离观察斜坡的一侧(左下图),磨除岩尖和颈动脉管远端下面的骨质后暴露第Ⅶ/Ⅷ颅神经复合体脑池段(右下图)。(图片由AL Rhoton, Jr提供)。

图8:右侧斜坡下部解剖结构(左上图)。注意后组颅神经的相关解剖。双侧斜坡下部切除后解剖结构(右上图)。可见延髓前表面、椎动脉、小脑后下动脉、脊髓前动脉(上排图)。其他中线矢状位标本,显露了鼻咽后部及其相关肌肉和斜坡下段(下排图)。(图片由AL Rhoton, Jr提供)。
脊索瘤和软骨肉瘤的手术切除
手术入路
对颅底中央结构深入地解剖,针对具体的解剖区域可以设计多种手术入路;因此,每例脊索瘤或软骨肉瘤的手术路径需要个体化选择。神经外科医生和鼻科医生应该共同合作,根据每个患者肿瘤特点决定具体的手术方案。主要依据肿瘤的大小、起源、肿瘤延伸的(长轴)方向、邻近或被肿瘤包绕的神经血管结构、骨质受侵程度以及手术医生的专长来决定最佳手术入路。如果肿瘤靠近脑干,术前可以请放射肿瘤科医生指导手术方案,指出放射治疗不能有效治疗的具体肿瘤区域。
经鼻内镜入路是切除脊索瘤和软骨肉瘤的理想入路,因为肿瘤位于硬膜外且不太可能呈纤维状;通过局部显微外科操作借助成角内镜更适于切除肿瘤。此外,采用微创开颅入路切除颅底中线肿瘤,是不太可能达到的。
手术操作可以保持在硬膜外进行,除非遇到一部分肿瘤向硬膜内生长的情况。硬膜内切除肿瘤后需行硬膜重建。
尽管可能没有明确影像学证据,脊索瘤和软骨肉瘤可能已经侵犯海绵窦。一旦海绵窦受累就会限制肿瘤全切;因此,此时不建议积极全切肿瘤,否则会使邻近神经血管组织面临受损风险。
表1:笔者的斜坡旁肿瘤手术入路总结。注意笔者放弃了大部分到达此部位肿瘤的入路,更倾向于经鼻内镜下斜坡旁入路。
表1:脊索瘤和软骨肉瘤的最佳手术入路 | |
手术入路 | 斜坡旁区域 |
经鼻 | |
内镜下经鼻经斜坡入路/斜坡旁入路 | 斜坡上、中、下段 |
经颅 | |
双侧额下入路 | 斜坡上段 |
额颞开颅经海绵窦入路 | 斜坡上段 |
前岩骨切除经海绵窦入路 | 斜坡上段 |
后岩骨切除经海绵窦入路 | 斜坡中段 |
经枕骨髁入路 | 斜坡下段 |
其他 | |
前方经面部入路 | 全部 |
内镜下经鼻经斜坡入路
笔者术中应用以高分辨率CT血管成像为基础的术中影像导航定位肿瘤、血管和骨性解剖结构。定位斜坡旁颈内动脉,使其免受损伤。
游离鼻中隔粘膜瓣、暴露斜坡后,用金刚砂磨钻磨除肿瘤所处斜坡及岩斜交界处骨质,磨除范围上至鞍底,下至枕骨大孔,两侧至颈内动脉和枕骨髁。
肿瘤压迫的斜坡骨质可变薄弱,常以此为磨除起点。磨除肿瘤中心所覆盖的斜坡骨质,进而用环状刮匙清除质软肿瘤组织。瘤内减压后可继续磨除、暴露肿瘤边界。
大多数软骨肉瘤会包绕颈内动脉岩骨段,但不会侵犯血管壁。一旦切除动脉周围的肿瘤并辨认颈内动脉后,用Kerrison咬骨钳继续暴露动脉。辨识其走行以免术中损伤。在内镜下全景直视轮廓化的颈内动脉周围,将位于手术盲区的颈内动脉后外侧方的肿瘤用带角度的刮匙娩出、清除。
切除硬膜周边肿瘤的过程中要注意保护后颅窝硬膜。侵袭至硬膜内的肿瘤提供了经硬膜切除肿瘤的通路。术者可沿着颈内动脉周围的肿瘤进入海绵窦,并切除可移出部分的肿瘤。海绵窦内出血可用Floseal止血海绵(Baxter,Deerfield,IL)填塞止血。肿瘤切除后,用条形脂肪封闭硬膜通路,异体硬膜覆盖,鼻中隔黏膜瓣覆盖术区。
应用带角度内镜和熟练掌握复杂颅底内镜的操作技巧,能使术者以最小风险最大限度切除深部肿瘤。

图9:分层形式的示意图展示了斜坡周围区手术路线图。注意外展神经与斜坡硬脑膜和颈动脉的解剖关系。肿瘤位于颈动脉后间隙内,使其暴露更加困难。注意翼管与破裂孔的关系。斜坡旁颈内动脉骨性轮廓化是切除大多数蝶岩斜软骨肉瘤/脊索瘤需要的。注意骨与其下脑血管结构的关系。

图10:蝶翼裂是破裂孔的标志和磨骨的起点。早期暴露颈内动脉并去除骨质覆盖。早期识别动脉可避免随后意外损伤。斜坡旁颈内动脉可能会被肿瘤移位,但在破裂孔内的位置较为恒定。早期暴露颈内动脉同时也能暴露肿瘤。通过薄层CT导航定位肿瘤和动脉走行的方法较为可取。“变色骨”指示了肿瘤的典型位置。

图11:此图展示手术区域,正在使用环形刮匙切除肿瘤。质软肿瘤在角度内镜下切除。为了避免损伤,可能需要对外展神经进行诱发电位定位,本图显示了其预期的位置。去除颈动脉表面覆盖至海绵窦水平,可轻轻地将其向侧方移位,以到达颈动脉后间隙。受侵袭的软骨也可通过刮圈及磨钻清除。通常硬脑膜完整,不应骚扰,除非术前影像学检查已证实其开放。

图12:上述解剖关系在左侧尸头解剖中逐步展示(图片由Juan Fernandez-Miranda提供)。
关于此入路的更多细节,可以参阅《内镜下经鼻扩大入路》章节。胆固醇肉芽肿和粘液囊肿也可通过此入路切除。

图13:内镜下经鼻经岩斜入路切除左侧岩斜区软骨肉瘤(最上排图)。第二排图中标明手术入路相关解剖标志。第三排图所示为角度内镜下用成角环形刮匙切除隐藏在颈内动脉岩骨段内侧的肿瘤。最下图所示为术区最终情况。图中蓝色箭头所指为轮廓化的颈内动脉进入海绵窦的位置。这种手术经颅入路显露非常艰难。
非内镜前方经面部入路
非内镜前方经面部入路可以直接和广泛暴露斜坡,此入路可进一步提供个体化的扩大经蝶、经筛窦、经斜坡、经上颌和经口入路。
此入路可切除斜坡上中下段肿瘤。“开放式”的经面部入路缺点包括正常前方面部结构的破坏,脑脊液漏风险较大,以及进行斜坡旁后颅窝分离操作的局限性。
双侧额下入路
双侧额下入路能到达斜坡上段,相比内镜下经鼻经斜坡入路可达到更加广泛的侧方暴露。
使用带度内镜可以扩大,显微镜下经额下入路分离岩骨尖和颈内动脉外侧区的视野。额下入路的不足之处在于其侵袭性较大,及到达下方病变的局限性。关于此入路,将在《额下开颅》章节进一步讨论。

图14:图为前颅底巨大软骨肉瘤。矢状位CT显示肿瘤侵袭周围骨质的程度(上图)。经双侧额下入路(中图)联合内镜经鼻入路切除肿瘤。蓝色箭头所指为肿瘤侵袭筛板部位(术中照片第二张)。在肿瘤切除结束前经双侧额下入路(下图),暴露出双侧视神经(左侧的视神经被硬膜遮盖,黄色箭头)及颈内动脉(红色箭头)。
额颞开颅经海绵窦入路
对于偏侧生长肿瘤,向硬膜内生长且可切除的侵犯海绵窦成分占主要部分的肿瘤,额颞开颅经海绵窦入路是合理的手术入路选择。需要联合经额颞入路、眶颧截骨入路和硬膜外床突磨除等操作步骤。
切除海绵窦内肿瘤时,需沿海绵窦段和床突段颈内动脉行血管控制,以处理切除已浸润到血管壁的肿瘤部分时引起的意外出血。
部分选择的病例中,可以在患者颈部作小切口以控制颈内动脉近端。笔者认为,为了更切底地大部切除肿瘤而行高流量血运重建或损害颅脑神经往往得不偿失。
此入路无法提供足够的暴露和灵活的工作角度去切除明显侵犯骨质的肿瘤。这些限制导致术后肿瘤复发风险较高,因此需要联合其他入路(经鼻入路)以最大化的切除侵犯骨质的肿瘤。
岩前入路
岩前入路适于切除累及斜坡上段和岩骨的肿瘤,尤其是软骨肉瘤。由于软骨肉瘤定位于侧方且易侵犯蝶岩斜交汇处,使此入路适用于切除这种亚型的肿瘤。应用此入路时需考虑其到达下方和对侧中线区域的局限性。此入路除可到达岩尖部和斜坡上段外,还可到达中颅窝底。
此入路的具体步骤在《岩前入路》章节中有描述。
完成标准的经岩骨前部开颅后,可用环形刮匙做瘤内减压。脊索瘤和软骨肉瘤质地较软和可吸除的特点,明显有助于通过有限的手术通路切除肿瘤。在清除质软的部分肿瘤后,借助术中CT导航引导下磨除受侵袭的边界骨质。内镜辅助显微外科手术可提高肿瘤切除程度。
对位于岩斜交界区内下方的肿瘤,将颈内动脉从颈内动脉管移位,以磨除岩斜软骨结合处的骨质。该操作首先要在中颅底前内侧部沿三叉神经下颌支与岩浅大神经交回处确认岩骨段颈内动脉。
然后,顺着颈内动脉远端分离,沿岩骨段水平部完成颈内动脉骨性轮廓化,至其与海绵窦交汇处。为了完全暴露岩斜区结合部的软骨,笔者会将岩骨段颈内动脉向前旋转,以便磨除颈动脉内侧的骨质。随后,可根据肿瘤范围,进一步磨除从岩尖至枕骨大孔的斜坡骨质。需要找到滑车神经并尽可能加以保护。
操作中可行海绵窦探查。建议以不操作有功能的颅神经为前提安全地进行瘤内减压。原则上应沿肿瘤进入海绵窦的路径,轻柔的清除肿瘤。具体的步骤将在《海绵窦脑膜瘤》章节中讨论。
此入路的缺点包括可能出现脑脊液漏,由于其临近咽鼓管。术中确认咽鼓管的位置,必要时做预防性脂肪填塞,可避免持续性脑脊液漏。磨除气化的斜坡骨质,也可导致脑脊液漏。
后岩骨切除入路
后岩骨切除入路能够暴露斜坡更尾侧(中段)的病变,具体手术步骤参见《扩大经岩骨后入路》章节。
此入路包括迷路后、经迷路和经耳蜗等不同变体,能够更好的分别到达脑干侧方、前外侧和其前方。这些入路对于乙状窦前的后颅底有更好视角。此入路的明显缺点在于应用更广泛的颅骨切除变体会造成患者听力下降和面神经功能受损。
经枕骨髁入路
经枕骨髁入路适用于切除斜坡下段、枕骨髁和枕骨大孔前外侧方的病变。此入路可切除寰椎侧块以利于更好的到达斜坡下段。具体的手术步骤将在《经枕骨髁入路》章节讨论。
此入路缺点包括若超过50%的肿瘤累及的枕骨髁被磨除或是重要韧带被破坏,则需行枕颈融合。
术后注意事项
术者在术中磨除乳突、蝶骨、斜坡或岩骨的骨质时,需警惕脑脊液漏。术中气房受损时,要反复用骨蜡封闭,然后用脂肪和骨膜两层修补漏口可以降低术后脑脊液漏的发生。硬膜周边潜在的空腔需用脂肪填塞。
如果术后怀疑发生脑脊液漏,颅底高分辨率(薄层)CT可以帮助确认漏口位置。短期的腰大池引流或重复腰穿释放脑脊液可以减少脑脊液从持续的漏口流出。如果腰部引流难以闭合脑脊液漏,需行手术探查。
术中颅神经操作会导致一过性颅神经功能障碍。手术创害或神经缺血会导致永久性的颅神经功能障碍。
点睛之笔
切除脊索瘤和软骨肉瘤最佳手术路径应该是通过灵活的切除颅底骨性结构达到的,而不是靠牵拉脑实质。所以内镜经鼻手术是切除这类肿瘤的最灵活的入路。
(编译:王小峰;审校:衡立君)
Contributor: Benjamin K. Hendricks, MD
DOI: https://doi.org/10.18791/nsatlas.v5.ch09.4
中文版链接:
https://www.medtion.com/atlas/2312.jspx
参考文献
Jones PS, Aghi MK, Muzikansky A, Shih HA, Barker FG. Outcomes and patterns of care in adult skull base chondrosarcomas from the SEER database. J Clin Neurosci. 2014;21:1497-1502.
Jones PS, Aghi MK, Muzikansky A, Shih HA, Barker FG, Curry WT. Outcomes and patterns of care in adult skull base chordomas from the Surveillance, Epidemiology, and End Results (SEER) database. J Clin Neurosci. 2014;21:1490–1496.
Nader R, Gragnaniello C, Berta SC, Sabbagh AJ, Levy ML (eds): Procedure No. 52, in: Neurosurgery Tricks of the Trade—Cranial. New York, Stuttgart, Delhi, Rio: Thieme Medical Publishers, 2014.
Raper DMS, Komotar RJ, Fraser JF, Anand VK, Moore N, Schwartz TH. Skull base chordomas: endonasal endoscopic transclival approach, in Hayat MA (ed): Tumors of the Central Nervous System, Volume 8. Netherlands: Springer, 2012.
Rhoton LA, Seoane E. Surgical anatomy of the skull base, in Harsh GR, Janecka IP, Mankin HJ, Ojemann RG, Suit H (eds): Chordoma and Chondrosarcomas of the Skull Base and Spine. New York: Thieme Medical Publishers, 2003.
Rostomily RC, Sekhar LN, Elahi F. Chordomas and chondrosarcomas, in Sekhar LN, Fessler RG (eds): Atlas of Neurosurgical Techniques: Brain. New York: Thieme Medical Publishers, 2006.
Sen CN, Sekhar LN, Schramm VL, Janecka IP. Chordomas and chondrosarcomas of the cranial base. Neurosurgery. 1989:25:931–941.
Sim H, Frassica FJ, Wold LE, McLeod RA. Chondrosarcoma of the spine: the Mayo Clinic, in Sundaresan N, Schmidek HH, Schiller AL, Rosenthal DI (eds): Tumors of the Spine. Philadelphia: WB Saunders, 1990:155–162.
Van Gompel JJ, Janus JR. Chordoma and chondrosarcoma. Otolaryngol Clin N Am. 2015;48:501–514.
Volpe R, Mazabraud A. A clinicopathologic review of 25 cases of chordomas (a pleomorphic and metastasizing neoplasm). Am J Surg Pathol. 1983;7:161–170.
Weber AL, Brown EW, Hug EB, Liebsch NJ. Cartilaginous tumors and chordomas of the cranial base. Otolaryngol Clin North Am. 1995;28:453–471.





