
本期编译:
周 川 (首都医科大学宣武医院)
郑 璇 (上海交通大学医学院附属新华医院)
祝海平 (苏州大学附属常熟一院神经外科)
李信晓 (宁夏医科大学总医院)
吴宁波 (宁夏医科大学总医院)
审校:
李信晓 (宁夏医科大学总医院)
Journal of Neurosurgery
七月文章速览
1. WHO Ⅲ级胶质瘤切除范围:基于术中MRI对122例胶质瘤患者肿瘤切除体积的回顾性分析
Threshold of the extent of resection for WHO Grade III gliomas: retrospective volumetric analysis of 122 cases using intraoperative MRI.
PMID: 28885120 DOI: 10.3171/2017.3.JNS162383
肿瘤切除范围(extent of resection, EOR)对不同肿瘤类型患者的生存率影响尚不清楚;Ⅲ级胶质瘤在影像学上表现各异,MRI表现与肿瘤体积的最佳相关性也未知。基于以上背景,本研究回顾分析了122例WHO Ⅲ级胶质瘤患者的临床和影像学数据(均行术中MRI导航切除手术),并通过术前、术后的核磁资料对比计算病灶切除程度,单因素和多因素回归分析评估肿瘤EOR对总体生存率(overall survival, OS)的影响。
在该研究中,所纳入的样本依据肿瘤组织学类型可分为两大类,其一是间变性星形细胞瘤(anaplastic astrocytoma, AA)或间变性少突胶质细胞瘤(anaplastic oligoastrocytoma, AOA)组(81例),其二是间变性少突胶质细胞瘤(anaplastic oligodendroglioma, AO)组(41例)。研究结果发现,T2WI的高信号病灶切除程度是预测AA与AOA患者预后的重要因素,肿瘤切除程度达到术前T2WI高信号病灶的53%或以上可获得较长的生存时间。

【周川】
2.肽基纳米纤维在对流增强给药后的分布和清除
Volume of distribution and clearance of peptide-based nanofiber after convection-enhanced delivery.
PMID: 28885119 DOI: 10.3171/2017.2.JNS162273
药物清除可能是对流增强给药( convection-enhanced delivery, CED)临床应用的一个限制因素。肽基纳米纤维(Peptide-based nanofbers , NFPs)具有高长径比的特点,载药的NFPs可在很长一段时间内保持有效的药物浓度,延长癌症的治疗期。本研究的目的是评估使用CED给药时NFPs的体积分布( volume of distribution, Vd)和清除率。研究将多甲氧基聚乙二醇(methoxypolyethylene glycol, mPEG)的一种共轭结构在水性缓冲液中组成NFPs,其宽度约5 nm,可形成不同的长度:100 nm (NFP-100)、400 nm (NFP-400)和1000 nm (NFP-1000)。对42只6-8周的Ntv-a;p53fl/fl小鼠进行纹状体CED。利用小鼠脑片评估NFP的Vd和输注量(volume of infusion, Vi)比,荧光显微镜下观察清除率。
结果显示,Vd/Vi比值和清除率与其他纳米载体相当。在3个NFP中,NFP-400在CED24小时后出现了最佳的药物分布和最缓慢的药物清除。该研究结果表明,NFP提供了一个动态的热疗平台,有可能在CED后向脑肿瘤提供临床有作用的药物有效载荷。

【周川】
3. 偶发弥漫浸润性低级别胶质瘤的外科治疗
Surgical management of incidentally discovered diffusely infiltrating low-grade glioma.
PMID: 28984519 DOI: 10.3171/2017.3.JNS17159
随着医学成像技术的大量增加,偶发的无症状弥漫浸润性低级别胶质瘤(low-grade gliomas, LGGs)的诊断越来越常见,但这些病变的治疗至今仍有争议。本研究对接受手术治疗的偶发性LGGs患者的临床特点和手术预后进行回顾性分析。501例成人LGG患者中34例(6.8%)为偶然发现肿瘤。34例患者中,其中4例在影像学上发现肿瘤后进行了首次活检;有5例患者选择立即切除;其余病例采用“观察和等待”疗法,仅在出现疾病进展的影像学或临床证据后才进行干预。34例患者的平均随访时间为5年。
结果显示,12例(35.3%)出现病情进展,平均进展时间为43.8个月(3~105个月)。恶性进展5例(14.7%),死亡4例(11.8%)。少突胶质细胞瘤16例(47%),星形细胞瘤15例(44%)。IDH 1基因突变25例(74%),存活时间较长。仅2例有轻度手术相关并发症,16例(47%)在发病过程中发生癫痫。该研究结果表明,对于偶发的无症状弥漫浸润性LGGs,手术治疗可显著改善患者预后,建议早期手术治疗。

【周川】
4.通过MRI成像识别BRAF突变型颅咽管瘤
Prediction of BRAF mutation status of craniopharyngioma using magnetic resonance imaging features.
PMID: 28984520 DOI: 10.3171/2017.4.JNS163113
通过52例颅咽管瘤患者的MRI特征,预测BRAF突变。经对比发现,BRAF突变型颅咽管瘤比BRAF野生型颅咽管瘤有更易鞍上生长、呈球型、主要为实质性结构、均匀强化和垂体柄增粗等显著的5个MRI表现特征。

【周川】
5.中等风险脑膜瘤的放疗结果:NRG Oncology RTOG 0539的第一份临床报告
Intermediate-risk meningioma: initial outcomes from NRG Oncology RTOG 0539.
PMID: 28984517 DOI: 10.3171/2016.11.JNS161170
这是NRG肿瘤学RTOG 0539的第一份临床结果报告,详细描述了肿瘤的主要终点、3年无进展生存期(3-year progression-free survival, 3yPFS)、与预先确定的中危脑膜瘤进行历史对照,并二次评估总体生存率(overall survival, OS)、局部失败和前瞻性评分不良事件(adverse events, AEs)。研究表明,中等风险脑膜瘤患者RT治疗后具有良好的3yPFS,局部失败率低且AEs风险低。

【周川】
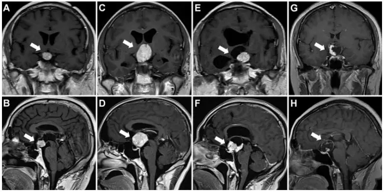
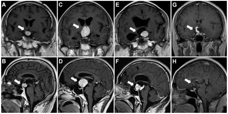
6.多毛症合并颅内黑色素瘤1例报道
Hypertrichosis lanuginosa acquisita associated with intracranial melanoma: case illustration.
PMID: 28707995 DOI: 10.3171/2017.2.JNS162723.
本文首次在文献中报道1例多毛症(Hypertrichosis lanuginosa acquisita, HTLA)合并颅内黑色素瘤病例,临床表现、影像图片、术中所见如下图所示。
【周川】
7.黑色素瘤脑转移:立体定向放疗、BRAF突变状态、靶向/免疫治疗对治疗结果的影响
Melanoma brain metastasis: the impact of stereotactic radiosurgery, BRAF mutational status, and targeted and/or immune-based therapies on treatment outcome.
PMID: 28799876 DOI: 10.3171/2017.1.JNS162797
来自美国克利夫兰医学中心的Kotecha R等通过366名黑色素瘤脑转移(melanoma brain metastasis, MBM)患者(共1336个转移病灶)的临床资料,分析了立体定向放射外科(stereotactic radiosurgery, SRS)治疗、BRAF状态、靶向/免疫治疗对患者MBM复发模式和总体生存率(overall survival, OS)的影响。结果显示,BRAF抑制剂、免疫治疗状态和靶向药物的使用情况均对预后产生影响。在行SRS后的4周内使用BRAF抑制剂治疗可提升肿瘤局部控制率,而不会增加放射性脑坏死的风险。

【郑 璇】
8.中床突及鞍旁区域的形态学测量分析
A morphometric survey of the parasellar region in more than 2700 skulls: emphasis on the middle clinoid process variants and implications in endoscopic and microsurgical approaches.
PMID: 28799880 DOI: 10.3171/2017.2.JNS162114
美国凯斯西储大学医学院的Sharma A等对2726例颅骨标本的鞍旁区域进行形态测量分析,包括观察中床突(middle clinoid process, MCP)是否存在,以及其尺寸、形态学分类、比邻结构,并根据年龄,性别和种族进行分类。研究认为,骨性MCP的变异可能是鞍旁手术中颈内动脉损伤的重大危险因素。

【郑 璇】
9.伽马刀治疗肺癌脑转移患者的生活质量和生存率的预测因素
Predictors of quality of life and survival following Gamma Knife surgery for lung cancer brain metastases: a prospective study.
PMID: 28820304 DOI: 10.3171/2017.2.JNS161659
发生脑转移(brain metastases, BM)的肺癌患者往往预后不良;评估其生存率和生活质量(quality of life, QOL)是指导治疗的重要组成部分。基于这一背景,挪威霍克兰大学医院神经外科的Bragstad S等对44例接受伽马刀治疗的肺癌脑转移患者进行前瞻性分析,结果表明脑转移患者生活质量([brain cancer subscale, BRCS评分])可作为患者生存率的预测因子,有助于制定最佳的治疗方案。伽马刀治疗对肺癌脑转移肿瘤≤5cm3患者安全有效,可以改善患者的QOL。密切随访和抢救治疗可以预防因BMs复发而使患者QOL恶化。

【郑 璇】
10.动脉瘤性蛛网膜下腔出血患者术中临时夹闭不增加迟发性脑缺血的风险
The impact of temporary clipping during aneurysm surgery on the incidence of delayed cerebral ischemia after aneurysmal subarachnoid hemorrhage.
PMID: 28946178 DOI: 10.3171/2017.3.JNS162505
德国哥廷根大学神经外科的Malinova V等回顾性研究了778例动脉瘤性蛛网膜下腔出血(aneurysmal subarachnoid hemorrhage, aSAH)行外科手术治疗的患者资料,应用多因素二分类logistic回归分析来评估临时夹闭、迟发性缺血性神经功能障碍(delayed ischemic neurological defcits, DINDs)和迟发性脑梗死(delayed cerebral infarction, DCI)之间的相关性。结果表明,术中临时夹闭并不增加患者血管痉挛、DINDs和DCI的发生率。

【郑 璇】
11.单纯性动脉畸形
Pure arterial malformations.
PMID: 28960150 DOI: 10.3171/2017.2.JNS1744
过去的半个世纪中,仅有个别单纯性动脉畸形的病例报道。梅奥临床医学中心的Brinjikji W等通过12例单纯动脉畸形的病例资料分析认为,该病种虽然比较罕见,但12例病人均无颅内出血或梗死,自然病程可能比较乐观。病变可发生在任何颅内动脉中,保守治疗可能是最好的治疗方法。

【郑 璇】
12.未破裂性颅内动脉瘤治疗评分在临床中的验证
Validation of the unruptured intracranial aneurysm treatment score: comparison with real-world cerebrovascular practice.
PMID: 28984518 DOI: 10.3171/2017.4.JNS17548
美国犹他大学神经外科的Ravindra VM等通过221例未破裂性颅内动脉瘤(unruptured intracranial aneurysms, UIAs)患者的临床资料发现,与实际治疗方式相比,未破裂性颅内动脉瘤治疗评分(unruptured intracranial aneurysm treatment score, ULATS)所建议的治疗方法更激进。因此,临床实践中,虽然ULATS可作为一种筛查工具,但不可过度依赖于此,患者仍需脑血管病专家提出个体化的治疗方案。

【郑 璇】
13.椎动脉夹层动脉瘤行血管内弹簧圈栓塞治疗后发生延髓梗死的预测因素。
Predictive factors of medullary infarction after endovascular internal trapping using coils for vertebral artery dissecting aneurysms.
PMID: 28799869 DOI: 10.3171/2017.2.JNS162916
椎动脉夹层动脉瘤(vertebral artery dissecting aneurysms, VADAs)首选血管内弹簧圈栓塞治疗,但有发生延髓梗死的风险。研究纳入100例血管内弹簧圈栓塞的椎动脉夹层动脉瘤患者,30例发生延髓梗死,其中27例为延髓后外侧,3例为延髓前内侧。对延髓梗死患者进行临床分析,结果显示:栓塞长度并非延髓梗死发生的危险因子,而是夹层动脉瘤所在的解剖位置。栓塞VA远端动脉瘤发生的延髓梗死的风险低,但患者的症状重;保护脊髓前动脉的起始部可以降低延髓梗死风险;栓塞的长度越短,发生并发症的可能性就越低,但仍不能防止梗死的发生。对于存在严重缺血并发症的破裂型VADAs(如对侧VA发育不良、病变累及小脑后下动脉或脊髓前动脉不适宜栓塞治疗)或未破裂型VADAs者可以考虑血管重建治疗。

【祝海平】
14.高级锥形束CT静脉血管造影
Advanced cone-beam CT venous angiographic imaging.
PMID: 28820309 DOI: 10.3171/2017.2.JNS162997
对静脉血管系统,尤其是脑膜静脉窦的评估,常应用MR或CT静脉造影,如需进一步评估,须实施脑血管造影诊断。3D旋转动脉造影(Three-dimensional rotational angiography, 3D-RA)可应用到静脉系统,形成3D旋转静脉造影(3D rotational venography, 3D-RV)并对血管的截面进行重建。作者通过回顾12例患者的3DRV影像及临床数据,在3DRA的标准技术上,将导管置入颈内动脉,依据动脉早期和静脉期显影时间的不同,计算X光延迟时间,延迟从7到10秒。结果显示,3DRV可用来诊断和制定诊疗计划,可以建模的形式用来对静脉血管评估,可以应用在静脉窦狭窄、静脉瘤及肿瘤侵及静脉窦的血管评估。

【祝海平】
15.颞前动脉对后循环上部血管重建的解剖学研究
Revascularization of the upper posterior circulation with the anterior temporal artery: an anatomical feasibility study.
PMID: 28937325 DOI: 10.3171/2017.3.JNS162865
包括不可夹闭动脉瘤在内的许多疾病,可能需要对后循环上部(upper posterior circulation , UPC)血管(包括小脑上动脉[superior cerebellar artery, SCA]和大脑后动脉[posterior cerebral artery, PCA])进行搭桥。研究通过对14具尸头行颞前动脉(anterior temporal artery, ATA)-SCA和ATA-PCA搭桥,评估ATA对后循环上部血管重建的解剖可行性。
结果显示,有17支ATAs被解剖游离,成功吻合14支。PCA吻合处和SCA吻合处距其基底动脉起始部的平均距离分别为14.2 mm和10.1 mm。但有3支ATAs血管因与颞中动脉有共同的岛盖部起始点,故长度达不到后循环上部。通过以上研究,ATA是颈内动脉上对后循环上部行血管重建的理想供血血管。行眶颧入路暴露ATA,无需移植血管,避开复杂困难的多重血管吻合,可直接高效的进行端侧吻合。

【祝海平】
16.经迷路入路显微切除小型听神经瘤
Translabyrinthine microsurgical resection of small vestibular schwannomas.
PMID: 28820301 DOI: 10.3171/2017.2.JNS162287
经迷路入路是切除听神经瘤的一种方法,尽管该方法会导致听力丧失,但作者发现在小型听神经瘤的治疗中有极好的临床效果。作者共纳入有107例患者,所有侵入桥小脑角的肿瘤小于1 cm,排除神经纤维瘤2型、既往有过治疗史、或术前面神经功能减退的患者。术后结果显示,肿瘤控制率为98.7%,面神经功能正常(House-Brackmann Grade I)率97.2%,良好(House-Brackmann Grade I–II)率99.1%。脑脊液漏和乙状窦血栓并发症率分别为4.7%和0.9%,均未出现长期并发症。可见,经迷路入路切除小型前庭神经鞘瘤有很好的临床效果,但此手术可导致听力丧失,故应严格把握适应证和病例选择。

【祝海平】
17.伽马刀再治疗前庭神经鞘瘤的临床效果及肿瘤控制情况
Retreatment of vestibular schwannoma with Gamma Knife radiosurgery: clinical outcome, tumor control, and review of literature.
PMID: 28984523 DOI: 10.3171/2017.3.JNS162033
伽马刀放射治疗对前庭神经鞘瘤有较高的肿瘤控制率和良好的临床效果。对于小部分病例,伽马刀也可作为辅助治疗手段。该回顾性研究纳入38例患者,第一组为28例单纯行伽马刀放射治疗;第二组为10例行显微手术切除残留肿瘤辅助伽马刀治疗。第二次伽马刀治疗的指标为随访发现肿瘤增长明显。第一次伽马刀疗程平均剂量为11.0 Gy,第二次疗程平均剂量为11.5 Gy。第二次伽马刀治疗的肿瘤平均体积为3.6 cm3,两次伽马刀平均间隔时间为49个月。二次伽马刀治疗后,平均随访时间75个月,所有病人均有良好的肿瘤控制率。二次伽马刀治疗后,面神经功能障碍、面肌痉挛和三叉神经感觉减退者分别占7.9%、13%和7.9%。
因此,研究者认为,首次伽马刀治疗失败后,再次行伽马刀对于肿瘤的控制仍然有效。但较首次治疗时,二次伽马刀会增加面神经及三叉神经功能障碍的发生。
【祝海平】
18.临床诊断和治疗中蛛网膜下腔穿刺的新方法:寰枕外侧间隙穿刺
A new method of subarachnoid puncture for clinical diagnosis and treatment: lateral atlanto-occipital space puncture.
PMID: 28753111 DOI: 10.3171/2017.1.JNS161089
临床中对于某些患者来说,腰穿穿刺并不适用,需要行蛛网膜下腔穿刺,而从C1-C2外侧穿刺和小脑延髓池穿刺也存在穿刺的安全隐患。作者选取667例病人行1008次寰枕穿刺来进行回顾性分析成功率和并发症,所有穿刺密切观察一周。结果显示,991次成功,17次失败(1.7%)。15例(2.25%)病人诉同侧外耳道或深部软组织疼痛,32例(4.80%)病人有一过性血压升高,1例(0.15%)穿刺后低颅压。所有并发症最后都完全恢复,没有出现严重并发症和后遗症。
因此,研究者认为,寰枕外侧穿刺是一种可行的蛛网膜下腔穿刺方法,相较于C1-C2外侧穿刺或传统的枕下小脑延髓池穿刺,具有并发症发生率低的优点,在神经病学的诊断和治疗领域具有应用前景。

【祝海平】
19.特发性颅内高压患者腰椎穿刺大量放液后静脉窦狭窄瞬时缓解
Transient resolution of venous sinus stenosis after high-volume lumbar puncture in a patient with idiopathic intracranial hypertension
PMID: 28841117 DOI: 10.3171/2017.3.JNS163181
横窦(transverse sinus,TS)和乙状窦(sigmoid sinus, SS)狭窄已运用于特发性颅内高压(idiopathic intracranial hypertension, IIH)患者的病理生理学研究。IIH患者行腰椎穿刺大量释放脑脊液(high-volume lumbar puncture, HVLP)后,MRI显示TS和SS狭窄改善,血管内超声成像(intravascular ultrasonography, IVUS)显示TS和SS的横截面积随之增加。TS-SS反复狭窄患者与HVLP颅内压开放压力升高相一致,静脉窦支架放置可以改善患者的临床预后。研究指出,TS和SS狭窄可能是IIH患者颅内压升高的下游效应,而不是其主要病因学机制。

【李信晓】
20.起源于Heschl回和颞上回平面的音乐性癫痫1例报道
Localization of musicogenic epilepsy to Heschl’s gyrus and superior temporal plane: case report.
PMID: 28946181 DOI: 10.3171/2017.3.JNS162559
音乐性癫痫(Musicogenic epilepsy, ME)是一种由听音乐或演奏音乐诱发的极为罕见性疾病,病灶位于颞叶。采用颅内脑电图(intracranial electroencephalography, iEEG)定位痫灶的病例报道非常少,尤其是覆盖颞上平面(superior temporal plane, STP),主要是Heschl回。作者报道了1例药物难治性ME患者,采用iEEG监测,监测范围是额颞区也覆盖STP及Heschl回。确定痫灶位于STP及Heschl回,随行右颞皮层切除,包括STP及Heschl回,保留颞中结构,术后1年无发作。

【李信晓】
21.基于颅内电极研究:颞极在颞叶癫痫发作网络中的作用
Role of the temporal pole in temporal lobe epilepsy seizure networks: an intracranial electrode investigation.
PMID: 29027858 DOI: 10.3171/2017.3.JNS162821
颞叶(temporal pole, TP)在颞叶癫痫(temporal lobe epilepsy, TLE)发作和传播过程中有着重要作用。研究对10例患者行慢性皮层脑电图(electrocorticography, ECoG)监测,特制的密集电极覆盖颞极,以确认痫灶位置。所有患者最终行皮层-杏仁核-海马切除术,并对所有患者的临床记录结果进行回顾,包括ECoG结果、神经影像、神经病理学和临床预后。
结果显示,70%的患者有颞极痫性发作和发作间期放电,颞极在颞叶癫痫发作网络中有重要作用。而依据影像和记录到的发作间期放电并未包含颞极。因此,研究者建议,在对行TLE手术前应考虑颞极的致痫因素,特别是考虑选择性颞内侧切除手术时。

【李信晓】
22.经侧裂选择性杏仁核-海马切除术治疗颞叶内侧癫痫患者的长期预后
Mesial temporal lobe epilepsy: long-term seizure outcome of patients primarily treated with transsylvian selective amygdalohippocampectomy.
PMID: 29027855 DOI: 10.3171/2017.4.JNS162699
通过回顾性分析158例颞叶内侧癫痫手术患者,均经侧裂入路行选择性杏仁核-海马切除(selective amygdalohippocampectomy, SAHE)治疗,平均随访9.7年。术后平均随访10年,癫痫术后Engel分级Ⅰa、Ⅰ、Ⅱ、Ⅲ、Ⅳ和Ⅴ级分别占47%、32.6%、4.7%、9.8%和0.6%。因此,研究者认为,难治性颞叶癫痫经侧裂入路行SAHE可以实现满意的长期预后,也可以作为前颞叶切除的次选手术方案。

【李信晓】
23.骨瓣抬高对iEEG监测的作用:技术要点
Bone flap elevation for intracranial EEG monitoring: technical note.
PMID: 28946179 DOI: 10.3171/2017.3.JNS163109
颅内脑电图(Intracranial electroencephalography, iEEG)由于在空间和时间上的高分辨性,使其在确定局灶性癫痫发作和传播方面发挥重要作用。各种类型的电极常覆盖于疑似痫灶位置,但由于颅腔容积有限。额外的电极植入引起的占位效应可造成脑水肿和术后神经功能障碍发生。在iEEG监测过程中,为了增大颅腔容积,减少电极占位效应引起的不适,研究将一种矩形钛板弯曲,然后将骨瓣稍微抬高与颅骨固定。矩形钛板将骨瓣平均抬高6.6 mm,与仅抬高1.8 mm的线形钛板相比,两种钛板对骨瓣抬高高度之间存在显著差异,但矩形钛板可能在术后头皮张力更高。使用矩形钛板抬高骨瓣,可以显著增加骨瓣高度,减少与颅内电极植入相关的神经功能障碍。

【李信晓】
24.枕部经小脑幕入路对预防术后视野缺损的解剖学研究
Prevention of postoperative visual feld defect after the occipital transtentorial approach: anatomical study.
PMID: 29053071 DOI: 10.3171/2017.4.JNS162805
经枕小脑幕入路可以暴露幕上和幕下区域,处理涉及胼胝体压部、松果体、四叠体板和小脑上蚓部的病变,但该术式由于术中牵拉不当引起枕叶损伤进而导致术后视野缺损并发症。基于这一问题,本研究进行了对枕叶进行最小牵拉损伤、大脑的表面解剖、视辐射走形和经枕小脑幕入路显微解剖等方面的探讨。此外,辅助成角内镜可以很好暴露小脑中脑裂、上髓帆、小脑上脚。牵开枕叶下表面可以避免直接损伤距状裂周围皮质和视辐射。准确理解枕叶周围视辐射走形和血管的毗邻关系及小心牵开枕叶下表面有助于降低术后视野缺损的发生率。

【李信晓】
25.经对侧后纵裂入路切除顶枕内侧深部血管畸形的开颅技巧和预后
Contralateral posterior interhemispheric approach to deep medial parietooccipital vascular malformations: surgical technique and results.
PMID: 28731396 DOI: 10.3171/2017.2.JNS162750
顶枕内侧深部动静脉畸形(arteriovenous malformations, AVMs)和脑海绵状血管畸形(cavernous malformations, CCMs)常通过经同侧后纵裂入路(ipsilateral posterior interhemispheric approach, IPIA)构建一个深径路且垂直的视野到达病变外侧缘,将病灶予以切除。经对侧后纵裂入路(contralateral posterior interhemispheric approach, CPIA)翻转体位,可运用重力作用从中线定位水平位置进行脑组织牵开,但位于上部的AVM可从对侧、下部入路到达。研究通过回顾性分析3例CCMs和5例AVMs患者,均行CPIA手术切除。结果显示,对于顶枕内侧深部血管畸形,CIPA可以直视病变外侧缘,不用切除或牵拉临近正常的脑组织,是一种安全的手术入路。

【李信晓】
26.多脊髓节段超大型硬膜外血补片治疗自发性颅内低压伴神经认知功能下降1例报道
Multilevel, ultra-large-volume epidural blood patch for the treatment of neurocognitive decline associated with spontaneous intracranial hypotension: case report.
PMID: 28984516 DOI: 10.3171/2017.5.JNS17249
自发性颅内低压(Spontaneous intracranial hypotension, SIH)是一种以直立性头痛、恶心、呕吐和偶发局灶性神经功能障碍为特征的进展性临床综合征。SIH很少伴神经认知功能障碍。硬膜外血补片(epidural blood patch, EBP)常用于SIH的治疗,某些患者可能需要多脊髓节段EBP进行治疗,但保守治疗时这些方法还不够或不起作用。研究通过1例难治性SIH伴神经认知障碍采用多脊髓节段(C3-S3)超大型EBP(120 ml)治疗患者,结果显示术后患者症状消失,预后满意。

【李信晓】
27.内镜下扩大经对侧上颌间隙至岩尖入路
Contralateral transmaxillary corridor: an augmented endoscopic approach to the petrous apex.
PMID: 29053078 DOI: 10.3171/2017.4.JNS162483
内镜下经鼻入路(endoscopic endonasal approach, EEA)处理岩尖病变是一种有效方法。岩尖外侧至颈内动脉(internal carotid artery, ICA)斜坡旁段病变需要将ICA斜坡旁段轮廓化或经翼突眼下入路处理。研究通过影像导航、EEA和扩大对侧上颌间隙(contralateral transmaxillary , CTM)对5例尸头进行解剖研究,切除海绵窦前壁和喙突,从手术角度对ICA岩段进行测量。结果显示,标准内镜下扩大CTM至岩尖可以提供更靠外侧的手术径路,可以减少与ICA斜坡旁段操作相关的风险和并发症。

【李信晓】
28.慢性非交通性脑积水的病理生理学:持续性颅内压监测和脑室灌注实验的经验
The pathophysiology of chronic noncommunicating hydrocephalus: lessons from continuous intracranial pressure monitoring and ventricular infusion testing.
PMID: 28799879 DOI: 10.3171/2017.1.JNS162813
脑积水(hydrocephalus, HC)根据脑脊液循环通路梗阻位置的不同主要可分为2型:位于脑室和梗阻位于脑室系统外的脑表面,即非交通性脑积水(noncommunicating hydrocephalus, ncHC)和交通性脑积水(communicating HC, cHC)。但对慢性非交通性脑积水,其病理生理学机制尚不清楚。本研究对由导水管狭窄引起持续症状至少6个月的慢性ncHC成年患者与年龄-性别匹配的cHC患者进行了手术后症状和临床预后分析。结果显示,对于ncHC患者,即使静态颅内压(intracranial pressure, ICP)不升高,动态ICP升高和颅内顺应性(intracranial compliance)下降者对转流手术依旧有作用;内镜下三脑室造瘘(endoscopic third ventriculostomy , ETV)有效患者中,脑室内脑脊液吸收障碍可能是脑积水的重要因素;对于置管分流有效的患者,似乎脑室内和脑室外的脑脊液吸收均存在障碍;由导水管狭窄而脑室内脑脊液吸收和ICC正常引起的ncHC患者,可能转流手术并不必要。

【吴宁波】
29.重度颅脑损伤6个月后预后良好患者的临床特征和恢复情况
Clinical characteristics and temporal profle of recovery in patients with favorable outcomes at 6 months after severe traumatic brain injury.
PMID: 28937323 DOI: 10.3171/2017.3.JNS162720
早期停止生命维持治疗是大多数重度创伤性脑损伤(traumatic brain injury, TBI)患者(motor Glasgow Coma Scale , mGCS评分小于6分)死亡的主要原因。本文研究发现,在预后良好(Glasgow Outcome Scale, GOS评分4分或5分)的重度TBI患者中高达15%的患者在受伤超过2周后还能遵循指令,仍可获得良好的预后。这些数据告诫我们,不要轻易、过早的对重度TBI患者停止维持生命治疗。

【吴宁波】
30.颅脑损伤去骨瓣减压后氙气增强CT定量观测脑血流量
Quantitative cerebral blood flow using xenon-enhanced CT after decompressive craniectomy in traumatic brain injury.
PMID: 29027859 DOI: 10.3171/2017.4.JNS163036
去骨瓣减压术是治疗创伤性脑损伤(traumatic brain injury, TBI)的有效方法,但并不是所有创伤性脑损伤患者都能获益。患者的不良预后与脑水肿、脑血流量(cerebral blood flow, CBF)改变和代谢功能障碍有关。本研究利用氙增强CT定量测定CBF,探讨创伤性脑损伤患者去骨瓣减压术后的全脑和骨瓣缺损下局部CBF模型。
结果显示,去骨瓣减压术后大多数患者的全脑CBF正常和充血;去骨瓣减压术后持续性脑灌注不足与重度TBI后的早期死亡率相关。

【吴宁波】





