
提示
“浙二神外周刊”不定期接收外院投稿,审核后发表。欢迎各专业同道联系我们,分享精彩病例、研究热点或前沿资讯。投稿请联系:shishi74@163.com
病史简介
患者,男,41岁,
因“体检发现颅内占位性病变20天”入院。
患者体检时查头颅MRI发现右侧前颅窝底占位,无头痛头晕,无恶心呕吐,无视物模糊,无嗅觉减退。
入院查体:神经系统查体无殊,四肢肌力V级,病理征未引出。
诊治经过
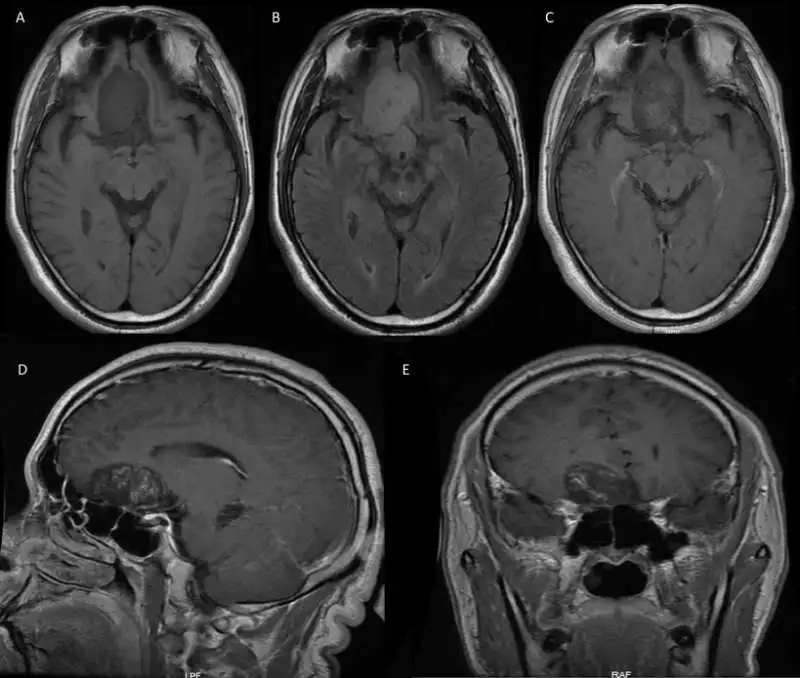
入院后完善相关检查,头颅增强MR提示前颅窝底偏右侧类圆形异常信号影,T1低信号,T2FLAIR高信号,增强内见絮状强化。考虑良性肿瘤可能性大,恶性肿瘤待排(图1)。

图1. 头颅增强MR见前颅窝底偏右侧类圆形异常信号影,T1低信号(A),T2 FLAIR高信号(B),边界清晰,中线结构略左移,增强后内见絮状强化(C-E),大小约37mm×43mm×27mm。
该病例术前影像难以确诊,科室讨论首先考虑低级别胶质瘤,但因T2似乎提示起源于脑外,所以胶质瘤也无法确定。结合患者年龄、影像等,认为手术指证明确。2018-06-28全麻下行“右侧开颅前颅窝底肿瘤切除术”,术中见肿瘤位于前颅底,呈灰白色,质地较软,血供中等。肿瘤和前颅底脑膜无明显粘连,和额叶底面也存在蛛网膜间隙,容易分离,但是术中发现肿瘤包绕嗅神经,除嗅神经远近端可辨之外,中间部分已无法分辨,所以术中考虑肿瘤为嗅神经起源(图2)。术中冰冻提示“(右额叶)见增生异型胶质样细胞,考虑为胶质瘤”。镜下肿瘤全切。
图2. 术中所见嗅神经远端(A)、近端(B)和肿瘤的毗邻关系。
术后患者恢复可,除右侧嗅觉丧失,未遗留其他功能障碍。复查MR提示肿瘤全切(图3)。

图3. 术后复查头颅MRI,示肿瘤全切。
病理诊断
术后病理回报:
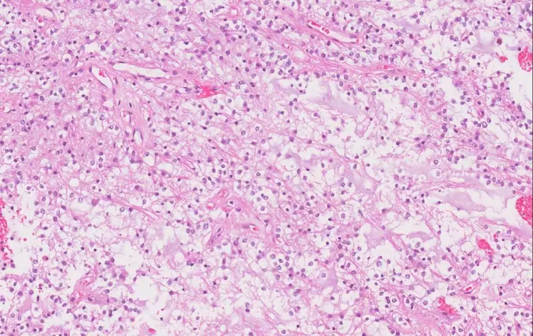
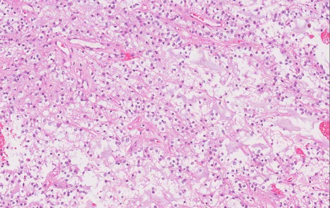
(右额叶)低级别胶质肿瘤,伴Rosenthal纤维,部分黏液背景,首先考虑毛细胞型星形细胞瘤,WHO I级(图4)。
分子病理结果:BRAF基因串联重复阴性,不符合1p/19q杂合性共缺失。
免疫组化结果: GFAP +,Olig-2 +,Nestin +,IDH1(H09) -,ATRX 存在,Syn +,NF个别阳性纤维,BRAF(VE1) -,P53 -,Ki-67 <3%+,MGMT +。
UCLA会诊:右额叶低级别胶质瘤,最符合毛细胞型星形细胞瘤,WHO I级。

图4. 肿瘤病理镜下观,考虑毛细胞型星形细胞瘤。
讨论
毛细胞型星形细胞瘤(pilocytic astrocytoma,PA)由Penfield(1937年)首先提出,因瘤细胞两端胞突为细长的毛发样胶质纤维丝而得名,是一种生长速度缓慢、预后良好的胶质瘤,文献报道10年存活率达81%~96.8%[1, 2],以儿童和青少年发病多见,成人中占星形细胞瘤7%~25%[2, 3]。由于肿瘤生长较慢,病人多表现为非特异性或轻微的症状和体征,在确诊前常被误诊为其他疾病[4]。影像学上,CT平扫多为低密度或混合密度,增强扫描部分病例无强化,部分呈均匀、不均匀、环状或结节状强化[5]。MR大部分病例表现为T1WI低信号,T2WI高信号,少数为混杂信号,增强后可呈均匀、结节状或环状强化,少数亦不强化,瘤围脑组织无明显水肿[6] 。
PA确诊主要依靠病理学检查,典型的组织学呈双向表现,相互交替的致密纤维样成分和疏松/微囊性成分。呈低至中等密度细胞结构,主要由单极和双极毛细胞型星形细胞组成,其间伴有特征性的Rosenthal纤维及嗜酸性颗粒小体形成[4] 。Rosenthal纤维为螺旋状半透明红染物,其排列方向与胶质纤维方向一致,在PA中常见[7] 。嗜酸性颗粒小体位于胞质内,呈球形,嗜伊红,PAS染色阳性,GFAP强阳性,Ki-67标记指数0~3.5%(平均0.6%),cyclin D1标记指数0~0.8%(平均0.1%)[8] 。分子病理方面,>70%的PA可见BRAF基因串联重复,最常见的形式为7号染色体长臂3区4带发生2Mb片段重复,在KIAA1549基因与BRAF基因之间形成融合[9, 10]。本例患者镜下可见毛样细胞成分,Rosenthal纤维,并见疏松少突样细胞,部分呈黏液背景,GFAP +,Ki-67 <3%,未见1p/19q共缺失,虽然BRAF基因串联重复阴性,仍符合PA。
PA可发生于中枢神经系统任何部位,最常见于小脑及视神经、视交叉、间脑、脑干等中线结构,发生于前颅底者少见,发生于嗅神经者目前未见报道。本例PA术中发现包绕嗅神经,两者之间无明显界限,且与额底脑组织之间存在解剖界面,故考虑为嗅神经来源。需与侵犯颅内的嗅神经母细胞瘤(olfactory neuroblastoma,ONB)进行鉴别,ONB缺乏特异性的CT、MRI表现,所以两者鉴别主要依靠病理。ONB光镜下由形态较一致的小细胞环状排列形成Flexner及Homer-Wright菊形团或假菊形团,瘤细胞之间有类似嗜酸性纤维背景,为特征性诊断依据[11] ,可据此鉴别。
目前认为PA起源于神经外胚层组织,来源细胞为星型胶质细胞。而嗅神经除含有一般的星形胶质细胞外,还有一种特有的体积较大的胶质细胞, 它包绕在嗅神经的周围,名为嗅鞘细胞(olfactory ensheathing cells,OECs)。OECs同时具有雪旺细胞(提供轴突再生微环境及髓鞘化作用)和星形胶质细胞(与中枢神经系统有较好的相容性)的特性[12]。本病例作为罕见的嗅神经来源PA,推测其组织学来源存在两种可能,即嗅神经本身的星型胶质细胞和OECs。
手术全切是PA的主要治疗方法,而肿瘤切除的程度直接影响预后[13]。肿瘤全切后有望达到治愈,对于未能全切者,考虑其良性特征,术后是否需行放化疗还存在争议。来源于嗅神经的毛细胞型星形细胞瘤罕见,本例患者术中达到全切,结合颅内其他部位PA的诊治经验,术后暂不给予放化疗治疗,建议定期复查,密切随访。通过该例患者的诊治经验,对于发生于前颅底,影像学上非典型的病变,仍需考虑PA这一罕见的病理诊断。
参考文献
1.Garcia, D.M., et al., Astrocytomas of the cerebellum in children. Journal of Neurosurgery, 1989. 71(1): p. 661-4.
2.Hayostek, C.J., et al., Astrocytomas of the cerebellum: A comparative clinicopathologic study of pilocytic and diffuse astrocytomas. Cancer, 2015. 72(3): p. 856-869.
3.Wallner, K.E., et al., Treatment results of juvenile pilocytic astrocytoma. Journal of Neurosurgery, 1988. 69(2): p. 171.
4.Collins, V.P., D.T. Jones, and C. Giannini, Pilocytic astrocytoma: pathology, molecular mechanisms and markers. Acta Neuropathol, 2015. 129(6): p. 775-88.
5.Pan, H.C., et al., Pilocytic astrocytoma of the posterior fossa: a follow-up study in 15 patients. Zhonghua Yi Xue Za Zhi, 1999. 62(5): p. 278-284.
6.Blackwood, W., Surgical Pathology of the Nervous System and its Coverings. 2002: Churchill Livingstone. 205-a.
7.Forsyth, P.A., et al., Supratentorial pilocytic astrocytomas. A clinicopathologic, prognostic, and flow cytometric study of 51 patients. Cancer, 1993. 72(4): p. 1335.
8.Machen, S.K. and R.A. Prayson, Cyclin D1 and MIB-1 immunohistochemistry in pilocytic astrocytomas: a study of 48 cases. Human Pathology, 1998. 29(12): p. 1511-1516.
9.Bar, E.E., et al., Frequent gains at chromosome 7q34 involving BRAF in pilocytic astrocytoma. Journal of Neuropathology & Experimental Neurology, 2008. 67(9): p. 878-87.
10.Deshmukh, H., et al., Identification of transcriptional regulatory networks specific to pilocytic astrocytoma. BMC Medical Genomics,4,1(2011-07-11), 2011. 4(1): p. 57.
11.Dulguerov, P., A.S. Allal, and T.C. Calcaterra, Esthesioneuroblastoma: a meta-analysis and review. Lancet Oncology, 2001. 2(11): p. 683-90.
12.Raisman, G. and Y. Li, Repair of neural pathways by olfactory ensheathing cells. Nature Reviews Neuroscience, 2007. 8(4): p. 312-319.
13.Pencalet, P., et al., Benign cerebellar astrocytomas in children. Journal of Neurosurgery, 1999. 90(2): p. 265-273.
(本文由浙二神外周刊原创,浙医二院神经外科研究生芦晓阳整理,王勇杰博士修改,王林主任医师审校,张建民主任终审)
往期回顾
浙二神外周刊(第一百五十四期)神经源性肺水肿一例---浙二神外周刊
浙二神外周刊(第一百五十三期)不典型脑膜瘤一例
浙二神外周刊(第一百五十二期)无症状颅内巨大海绵状血管瘤一例
浙二神外周刊(一百五十一期)佳作赏析|柳夫义医师获中国医师协会“神外手术视频展播秀”新锐组最佳人气奖
浙二神外周刊(一百五十)--左侧额颞岛叶弥漫性胶质瘤一例(2018华东胶质瘤MDT病例四)
浙二神外周刊(一百四十九)--节细胞胶质瘤一例(2018华东胶质瘤MDT病例三)
浙二神外周刊(一百四十八)--上皮样胶质母细胞瘤一例(2018华东胶质瘤MDT病例二)
浙二神外周刊(一百四十七)--历经三年浙沪接力诊疗的疑难复杂病例一例
浙二神外周刊(一百四十六)--多技术应用切除优势半球岛叶胶质瘤一例
浙二神外周刊(一百四十四)--佳作赏析丨洪远主任获2018全国青年医师”齐柏林杯“神经内镜手术视频大赛特等奖
浙二神外周刊(一百四十三)--研究进展 | 脑胶质瘤MRI浸润征象与预后
浙二神外周刊(一百四十二)--“2018西湖神经外科论坛”成功召开
浙二神外周刊(一百四十)--颅内多发粘液性动脉瘤一例
浙二神外周刊(一百三十九)--创伤性脑膜中动脉假性动脉瘤一例
浙二神外周刊(一百三十八)--侧脑室三角区肿瘤术后孤立颞角综合征一例
浙二神外周刊(一百三十七)--以出血为首发症状的多形性黄色星形细胞瘤一例
浙二神外周刊(一百三十六)--垂体ACTH细胞增生性库欣病一例
浙二神外周刊(一百三十四)--腰髓动静脉畸形出血导致颅内蛛网膜下腔出血一例
浙二神外周刊(一百三十三)--疑似鞍区海绵状血管瘤一例
浙二神外周刊(一百三十一)--以腰椎播散灶为首发症状的颅内室管膜瘤一例
浙二神外周刊(一百三十)--亚裔学生的美国神经外科医师成长之路(来自UCLA华裔学生的经历分享)
浙二神外周刊(一百二十九)--开颅术后继发硬脑膜动静脉瘘一例
浙二神外周刊(一百二十八)--sternberg管未闭脑膜脑膨出致脑脊液鼻漏一例
浙二神外周刊(一百二十七)--中药皂角刺致颅内脊索瘤术后残余肿瘤萎陷?
浙二神外周刊(一百二十六)--利用复合手术室多学科合作处理头部刀刺伤一例
浙二神外周刊(一百二十五)--经静脉入路栓塞深部脑动静脉畸形一例
浙二神外周刊(一百二十四)--颅咽管瘤术后并发尾状核、壳核脱髓鞘1例
浙二神外周刊(一百二十三)--库欣病合并全身多发占位性病变一例
浙二神外周刊(一百二十二)--经皮脊柱内镜手术切除腰椎巨大滑膜囊肿一例
浙二神外周刊(一百二十一)--孤立性室管膜下巨细胞星形细胞瘤一例
浙二神外周刊(一百二十)--伴有ALK融合基因的颅内转移性肺神经内分泌癌一例
浙二神外周刊(一百一十九)--静脉入路栓塞舌下神经管区硬脑膜动静脉瘘一例
浙二神外周刊(一百一十八)--儿童中央区病灶致顽固性癫痫外科手术一例
浙二神外周刊(一百一十七)--丙戊酸钠相关高血氨脑病一例
浙二神外周刊(一百一十六)--儿童眶尖-海绵窦-颞下窝病变一例
浙二神外周刊(一百一十四)--高血压性脑干出血治疗--浙二的观点
浙二神外周刊(一百一十三)--“复合高压锅技术”治疗横窦区硬脑膜动静脉瘘一例
浙二神外周刊(一百一一十二)--应用新型动脉瘤内栓塞装置(WEB)栓塞前交通未破裂动脉瘤一例
浙二神外周刊(一百一十一)--儿童四脑室室管膜瘤术后并发胃瘫综合征一例
浙二神外周刊(一百零八)--新发现AIP基因突变位点的家族性单纯性GH瘤家系一例
浙二神外周刊(一百零七)--自发性低颅压致双侧硬膜下血肿一例
浙二神外周刊(一百零六)--张建民教授牵头国家重点研发计划:“基于脑机接口的脑血管病主动康复技术研究及应用”正式启动
浙二神外周刊(一百零五)--颅骨板障表皮样囊肿合并慢性硬膜外血肿一例
浙二神外周刊(一百零四)--内镜辅助显微手术半椎板入路切除儿童颈髓腹侧肠源性囊肿一例
浙二神外周刊(一百零三)--颅骨缺损修补术后并发急性脑肿胀一例
浙二神外周刊(一百零一)--胶质瘤的病理特征与位置分布的关系
浙二神外周刊(九十九)--垂体生长激素腺瘤卒中伴发脑梗塞一例
浙二神外周刊(九十六)--桥小脑角脑膜瘤伽马刀后并发PICA血栓性动脉瘤一例
浙二神外周刊(九十四)--颅内表皮样囊肿自发破裂伴血清CA-199显著升高一例
浙二神外周刊(九十二)--鞍上毛细胞黏液样星形细胞瘤伴自发性出血一例
浙二神外周刊(九十一)--2017西湖神经外科论坛成功召开!
浙二神外周刊(九十)--以尿崩症为首发表现的Erdheim-Chester病一例并文献复习
浙二神外周刊(三十七)--垂体瘤伴发鞍结...
浙二神外周刊(三十六)--脑膜血管瘤病...





