病史简介
患者女,67岁,
因“右下肢乏力5天余”于2018-05-24入院。
患者5天前无明显诱因下出现右肢体乏力伴抽搐,无头痛头晕及恶心呕吐。
入院查体:右下肢局部感麻木,肌力5-级,右下肢腱反射亢进,余肢体肌力5级,肌张力不高,病理征未引出。
诊疗经过
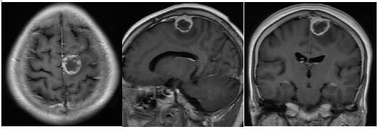
入院后完善相关检查,头颅磁共振检查示:左侧顶部矢状窦旁等T1等长T2为主混杂信号类圆形影,大小约16mm×17mm,外周见T2低信号环及脑实质水肿带,增强后周围呈明显不均匀环形强化(图1)


图1. 左侧顶部矢状窦旁等T1等长T2为主混杂信号类圆形影,大小约16mm×17mm,外周见T2低信号环及脑实质水肿带,增强后周围呈明显不均匀环形强化。脑室、脑池和脑沟未见扩大,中线结构无移位。首先考虑脑膜起源或累及脑膜肿瘤。
结合影像学表现并经科室讨论,首先考虑患者左顶部病灶为脑膜瘤可能性大;但该患者占位表现为环形强化,周围水肿明显,且病情进展较快,不能除外脑脓肿、转移瘤、胶质瘤等可能。
排除手术禁忌后,于05-29在全麻下行“左顶部肿瘤切除术”。术中见肿瘤位于左侧顶部矢状窦旁,与脑膜粘连紧密,血供中等,质地较韧,呈实质性。取少量肿瘤组织送冰冻提示(左顶部矢状窦旁)脑膜瘤。肿瘤予显微镜下全切(图2)。

图2. 术中所见

图3. 术后复查头颅磁共振,示肿瘤全切。
术后患者神志清,对答切题;复查MRI示肿瘤全切。至术后一周出院时右下肢肢体肌力4+级,活动可以控制,余无阳性体征发现。
病理结果
常规病理提示:(左顶矢状窦旁)脑膜瘤,伴大片坏死,核分裂1个/10HPF,局灶核仁明显,考虑为不典型脑膜瘤一例,WHO II级。
免疫组化结果:SSTR2 小灶+,PR 小灶+,EMA +,STAT6 胞浆+,CD34 血管+,CD99 -,Bcl-2 -,Ki-67 平均10%,局灶20%+,P53 散在+,GFAP -,Olig-2 -,HMB45 -,Melan-A -,S-100 +/-。

根据术后常规病理结果,告知病人拟进一步行全脑放射治疗。
讨论
脑膜瘤是最常见的原发性中枢神经系统(CNS)肿瘤,占所有原发性脑和脊髓肿瘤的三分之一以上[1]。脑膜瘤的发病率随着年龄的增长而增加,确诊年龄中位数为65岁[2]。大多数脑膜瘤是良性的,具有典型的单叶肿块成像外观,边界清晰,增强后均匀强化。然而,大约15%的脑膜瘤可能表现出不典型的影像学特征,包括混杂信号、边缘强化、囊肿形成或瘤内出血[3],而这些不典型的影像学特征可能导致误诊或延迟诊断。明确诊断和分类脑膜瘤是否是良性还是非典型或恶性病变需要病理学依据,而不能仅仅依靠靠影像学表现。
脑膜瘤伴水肿并非罕见,有研究显示60%的脑膜瘤伴有水肿[4]。一种假设是肿瘤细胞将水肿诱导物质(oedema-inducing substance)分泌到邻近的脑实质中,如Bitzer等人提出血管内皮生长因子(VEGF)的表达是脑膜瘤相关血管源性水肿的重要因素;另一种理论认为肿瘤对大脑的慢性挤压会导致缺血,进而引发静脉阻塞[4]。无论水肿产生的机制如何,其程度与肿瘤大小几乎没有相关性[5]。然而,脑膜瘤的一些MRI特征确实与脑水肿的存在相关,肿瘤和大脑皮层之间没有CSF间隙和不规则的肿瘤边缘都是脑水肿的重要预测因子[5],但这些因素本身不足以解释水肿的形成。Nakano等人的一项研究发现,T2像上表现为高信号的脑膜瘤伴有脑水肿的概率高于低信号,并且水肿往往更严重6。这被认为是由于T2高信号肿瘤中的水含量上升,根据压力梯度理论允许更多的水扩散到周围的大脑并造成更广泛的水肿[6]。
脑膜瘤还可能罕见地表现出异常增强模式。随着内在钙化、囊肿和坏死的存在,增强可能是极不典型的[7]。在一些中央坏死的脑膜瘤病例报道中可见周围厚薄不均的环形强化,需与脑脓肿、转移瘤等鉴别。中央坏死的脑膜瘤在有些文章中被定义为坏死性脑膜瘤(necrotic meningioma)。
我们不能通过行常规MRI来可靠的区分良性和非典型或恶性脑膜瘤[8],且具有非典型影像学表现的脑膜瘤可能与脑脓肿、转移瘤或其他肿瘤类型等相仿,标准CT和MRI研究不足以确定诊断,一些研究认为通过表观扩散系数(ADC)可能有助于区分。已有部分研究显示,在高级别肿瘤中表观扩散系数(ADC)的值是下降的[8-10],由于高级别肿瘤升高的核质比,导致细胞内水的自由扩散减少[8,9]。 由于非典型和恶性脑膜瘤更容易复发和更具侵略性的生长, DTI可为手术计划和预后提供有用的信息[5]。同时也有研究认为MRS代谢分析和DWI与ADC图可以提供有用的额外信息,以帮助区分坏死性肿瘤和脑脓肿[11]。
总结
脑膜瘤是常见的颅内肿瘤,通常可通过其放射学和组织学外观很容易地识别。典型的影像学表现呈半球形、均匀显著强化,位于大脑凸面、旁矢状区域或蝶骨翼,当然也可能起源于其他不常见的位置,如眼眶、鼻旁窦或脑室内,或完全在颅盖内。然而,脑膜瘤存在一些不寻常的特征,不典型的影像表现有,囊肿形成、环形强化、瘤内出血和各种混杂信号,可能会被误认为其他脑部病变。由于脑膜瘤非常常见,放射科医生和临床医生必须了解它们不常见和不典型的成像特征,以便在特殊情况下做出正确的诊断,以避免误诊。
参考文献
1. Wiemels J, Wrensch M and Claus EB. Epidemiology and etiology of meningioma. J Neurooncol 2010; 99: 307–314.
2. Ostrom QT, Gittleman H, Fulop J, et al. CBTRUS statistical report: primary brain and central nervous system tumors diagnosed in the United States in 2008–2012. Neuro Oncol 2015; 17(Suppl 4): iv1–iv62.
3. Buetow MP, Buetow PC, Smirniotopoulos. Typical, atypical, and misleading features in meningioma. Radiographics 1991; 11(6):1087-106.
4. Bitzer M, Optiz H, Popp J, et al. Angiogenesis and brain oedema in intracranial meningiomas: influence of vascular endothelial growth factor. Acta Neurochir (Wien) 1998; 140(4):333–340
5. Watts J, Box G, Galvin A, et al. Magnetic resonance imaging of meningiomas: a pictorial review. Insights Imaging 2014; 5(1):113-22.
6. Nakano T, Asano K, Miura H, et al. Meningiomas with brain edema: radiological characteristics on MRI and review of the literature. Clin Imaging 2002; 26(4):243–249.
7.O’Leary S, Adams WM, Parrish RW, et al. Atypical imaging appearances of intracranial meningiomas. Clin Radiol 2007; 62(1):10-17.
8.Filippi CG, Edgar MA, Ulug AM,et al. Appearance of meningiomas on diffusion- weighted images: correlating diffusion constants with histopathologic findings. AJNR Am J Neuroradiol 2001; 22(1):65–72.
9. Toh CH, Castillo M, Wong AM, et al. Differentiation between classic and atypical meningiomas with use of diffusion tensor imaging. AJNR Am J Neuroradiol 2008; 29(9):1630–1635.
10. Nagar VA, Ye JR, Ng WH, et al. Diffusion-weighted MR imaging: diagnosing atypical or malignant meningiomas and detecting tumor dedifferentiation. AJNR Am J Neuroradiol 2008; 29(6):1147–1152.
11.Ben-Arie G, Serlin Y, Ivens S, et al. Diagnosing necrotic meningioma- a distinctive imaging pattern in diffusion MRI and MR spectroscopy. Neuroradio J 2017; 30(1):57-61.
(本文由浙二神外周刊原创,浙江大学医学院附属第二医院神经外科 胡俊文研究生整理,王真副主任医师校审,张建民主任校审并终审)
往期回顾
浙二神外周刊(第一百五十二期)无症状颅内巨大海绵状血管瘤一例
浙二神外周刊(一百五十一期)佳作赏析|柳夫义医师获中国医师协会“神外手术视频展播秀”新锐组最佳人气奖
浙二神外周刊(一百五十)--左侧额颞岛叶弥漫性胶质瘤一例(2018华东胶质瘤MDT病例四)
浙二神外周刊(一百四十九)--节细胞胶质瘤一例(2018华东胶质瘤MDT病例三)
浙二神外周刊(一百四十八)--上皮样胶质母细胞瘤一例(2018华东胶质瘤MDT病例二)
浙二神外周刊(一百四十七)--历经三年浙沪接力诊疗的疑难复杂病例一例
浙二神外周刊(一百四十六)--多技术应用切除优势半球岛叶胶质瘤一例
浙二神外周刊(一百四十四)--佳作赏析丨洪远主任获2018全国青年医师”齐柏林杯“神经内镜手术视频大赛特等奖
浙二神外周刊(一百四十三)--研究进展 | 脑胶质瘤MRI浸润征象与预后
浙二神外周刊(一百四十二)--“2018西湖神经外科论坛”成功召开
浙二神外周刊(一百四十)--颅内多发粘液性动脉瘤一例
浙二神外周刊(一百三十九)--创伤性脑膜中动脉假性动脉瘤一例
浙二神外周刊(一百三十八)--侧脑室三角区肿瘤术后孤立颞角综合征一例
浙二神外周刊(一百三十七)--以出血为首发症状的多形性黄色星形细胞瘤一例
浙二神外周刊(一百三十六)--垂体ACTH细胞增生性库欣病一例
浙二神外周刊(一百三十四)--腰髓动静脉畸形出血导致颅内蛛网膜下腔出血一例
浙二神外周刊(一百三十三)--疑似鞍区海绵状血管瘤一例
浙二神外周刊(一百三十一)--以腰椎播散灶为首发症状的颅内室管膜瘤一例
浙二神外周刊(一百三十)--亚裔学生的美国神经外科医师成长之路(来自UCLA华裔学生的经历分享)
浙二神外周刊(一百二十九)--开颅术后继发硬脑膜动静脉瘘一例
浙二神外周刊(一百二十八)--sternberg管未闭脑膜脑膨出致脑脊液鼻漏一例
浙二神外周刊(一百二十七)--中药皂角刺致颅内脊索瘤术后残余肿瘤萎陷?
浙二神外周刊(一百二十六)--利用复合手术室多学科合作处理头部刀刺伤一例
浙二神外周刊(一百二十五)--经静脉入路栓塞深部脑动静脉畸形一例
浙二神外周刊(一百二十四)--颅咽管瘤术后并发尾状核、壳核脱髓鞘1例
浙二神外周刊(一百二十三)--库欣病合并全身多发占位性病变一例
浙二神外周刊(一百二十二)--经皮脊柱内镜手术切除腰椎巨大滑膜囊肿一例
浙二神外周刊(一百二十一)--孤立性室管膜下巨细胞星形细胞瘤一例
浙二神外周刊(一百二十)--伴有ALK融合基因的颅内转移性肺神经内分泌癌一例
浙二神外周刊(一百一十九)--静脉入路栓塞舌下神经管区硬脑膜动静脉瘘一例
浙二神外周刊(一百一十八)--儿童中央区病灶致顽固性癫痫外科手术一例
浙二神外周刊(一百一十七)--丙戊酸钠相关高血氨脑病一例
浙二神外周刊(一百一十六)--儿童眶尖-海绵窦-颞下窝病变一例
浙二神外周刊(一百一十四)--高血压性脑干出血治疗--浙二的观点
浙二神外周刊(一百一十三)--“复合高压锅技术”治疗横窦区硬脑膜动静脉瘘一例
浙二神外周刊(一百一一十二)--应用新型动脉瘤内栓塞装置(WEB)栓塞前交通未破裂动脉瘤一例
浙二神外周刊(一百一十一)--儿童四脑室室管膜瘤术后并发胃瘫综合征一例
浙二神外周刊(一百零八)--新发现AIP基因突变位点的家族性单纯性GH瘤家系一例
浙二神外周刊(一百零七)--自发性低颅压致双侧硬膜下血肿一例
浙二神外周刊(一百零六)--张建民教授牵头国家重点研发计划:“基于脑机接口的脑血管病主动康复技术研究及应用”正式启动
浙二神外周刊(一百零五)--颅骨板障表皮样囊肿合并慢性硬膜外血肿一例
浙二神外周刊(一百零四)--内镜辅助显微手术半椎板入路切除儿童颈髓腹侧肠源性囊肿一例
浙二神外周刊(一百零三)--颅骨缺损修补术后并发急性脑肿胀一例
浙二神外周刊(一百零一)--胶质瘤的病理特征与位置分布的关系
浙二神外周刊(九十九)--垂体生长激素腺瘤卒中伴发脑梗塞一例
浙二神外周刊(九十六)--桥小脑角脑膜瘤伽马刀后并发PICA血栓性动脉瘤一例
浙二神外周刊(九十四)--颅内表皮样囊肿自发破裂伴血清CA-199显著升高一例
浙二神外周刊(九十二)--鞍上毛细胞黏液样星形细胞瘤伴自发性出血一例
浙二神外周刊(九十一)--2017西湖神经外科论坛成功召开!
浙二神外周刊(九十)--以尿崩症为首发表现的Erdheim-Chester病一例并文献复习
浙二神外周刊(三十七)--垂体瘤伴发鞍结...
浙二神外周刊(三十六)--脑膜血管瘤病...





