
今日与大家分享的是《正海-妙术视界》第一百〇四期,由北京宣武医院神经外科肖新如教授带来的精彩病例:“岩斜脑膜瘤-岩前入路手术一例”,欢迎观看、分享。
肖新如教授:岩斜脑膜瘤-岩前入路手术一例

肖新如
主任医师,医学博士,硕士研究生导师
就职单位
北京宣武医院神经外科,
原就职于北京天坛医院神经外科。
擅长
具有精湛的显微外科微创技术,在颅内肿瘤、脑血管病、脊髓疾病的诊治方面具有丰富的经验。作为第一术者,每年完成脑干肿瘤、岩斜区脑膜瘤等复杂手术300余例,从业以来手术病例超过3000例。尤其擅长脑干肿瘤、岩斜脑膜瘤、枕骨大孔脑膜瘤、颈静脉孔区肿瘤、鞍区肿瘤、海绵窦肿瘤、颅眶沟通性肿瘤、颅底颅内外沟通性肿瘤、听神经瘤、胶质瘤包括运动区胶质瘤和丘脑胶质瘤、垂体瘤、脊髓肿瘤、颅内复杂动脉瘤的手术治疗、颅内血管畸形的手术治疗、三叉神经痛微血管减压、面肌痉挛的显微血管减压、高血压脑出血、脑外伤。近年来,开展内镜辅助下的显微神经外科手术,直视下处理各种神经外科病变,使手术更加微创、安全。
执业经历
现就职于北京宣武医院神经外科。
1993年参加工作,从事神经外科工作二十余年,曾在北京天坛医院小儿病区、脊髓病区、脑血管病区等各个亚专业病区工作,诊治了大量的脑外伤、脑血管疾病、脑肿瘤、脊髓疾病。近年来,主要在颅底脑干疾病病区工作,致力于各种脑干疾病、颅底病变包括岩斜脑膜瘤和枕骨大孔脑膜瘤等复杂肿瘤疾病的诊治工作,对于颅底、脑干病变的诊断及治疗有丰富的临床经验,对多种颅底入路如乙状窦前入路、岩前入路、远外侧入路等进行了改进,提高了肿瘤的全切率,降低了术后并发症的发生。
曾受北京天坛医院神经外科的委派,先后到内蒙古赤峰学院附属医院、贵阳脑科医院神经外科、盐城市第三人民医院、武汉脑科医院神经外科负责技术指导工作1年余。完成了包括岩斜脑膜瘤、枕骨大孔脑膜瘤、功能性大脑半球切除等各种复杂显微外科手术数百例,手术效果良好。
病史简介
患者,F,50Yrs。
右侧面部麻木半年,行走不稳1月余入院。
查体:神清语利,双瞳等,光反应灵敏,右侧面部浅感觉减退,行走不稳,四肢肌力基本正常。核磁共振检查见右侧岩斜区肿瘤,考虑岩斜脑膜瘤。



肿瘤强化明显,部分侵入海绵窦。

仰卧头侧位,耳前弧形切口。
手术要点

切开皮肤,将颞肌撑开,暴露颧弓根部

取下骨瓣,剪开硬脑膜,Labbe静脉位于骨窗后缘。

先于滑车神经(IV)进入小脑幕的后方切开小脑幕,释放脑脊液,降低颅内压。

暴露岩骨尖,切开表面硬脑膜,磨除岩骨尖骨质。

岩骨尖骨质磨除后,充分暴露肿瘤斜坡基底。

切除MECKEL氏腔、海绵窦上壁(中颅底硬脑膜),切除麦氏腔内肿瘤,斜坡部分暴露更充分。

分块切除肿瘤,小心分离肿瘤与脑干腹侧面、肿瘤与基底动脉及其分支之间的界面。小心保护好上述结构。

肿瘤切除后动眼神经(III)、滑车神经(IV)、基底动脉(BA)、脑干等重要结构保护良好。

外展神经位于肿瘤外下边缘,保护良好。

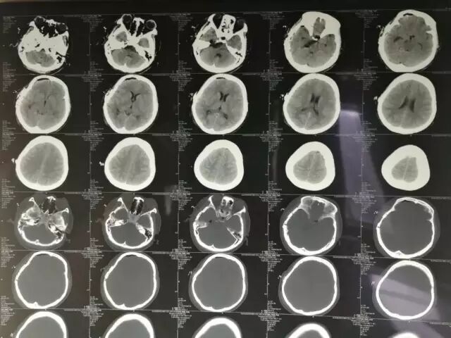
术后头颅CT扫描。

术后面神经功能基本正常,面纹基本对,眼俭闭合完全。

右侧外展正常

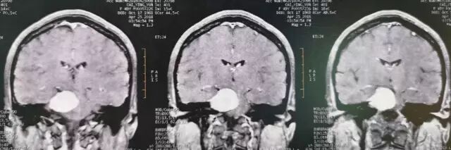
术后MRI T2加权像

术后MRI T1平扫,复查可见明胶海绵影(高信号)。



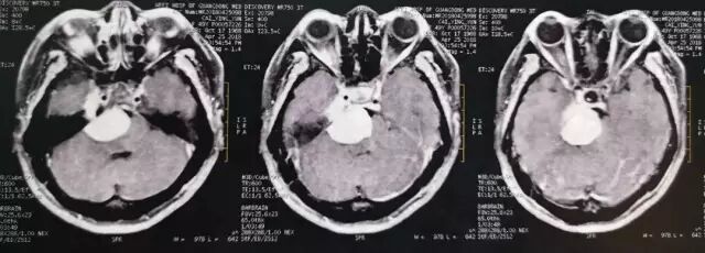
术后MRI增强核磁扫描
讨论
硬脑膜下磨除岩骨尖的解剖学标志
经典岩前入路磨除岩骨尖时,是以岩浅大神经、三叉神经作为解剖学标志。以往神经外科对于硬脑膜下磨除岩骨尖的顾虑是缺乏明确的解剖学标志。我们将三叉神经半月节在岩骨尖内侧的压迹(骨性凹陷)、岩骨嵴后缘作为解剖学标志,岩骨尖磨除范围:自三叉神经压迹向外10mm、自岩骨嵴后缘向前8mm、自岩骨尖表面向深处10mm。该入路迄今为止已完成500多例,没有暴露过前方的颈内动脉。
脑组织、颞底或Labbe静脉损伤
脑组织、颞底或Labbe静脉损伤是硬脑膜下入路的另外一个神经外科医生顾虑因素。实际上,开颅时骨瓣2/3保持在位于外耳孔前方,Labbe静脉就多位于骨瓣后缘,损伤概率很低。颞底引流静脉如果进入颅底硬脑膜,可以连同颅底硬脑膜一并分离,如果肿瘤体积较大,术前腰穿置管,切开硬脑膜后,释放脑脊液30-40ml,就能明显降低颅内压,从而更好地保护脑组织。
暴露范围
硬脑膜下操作的好处是,当充分释放脑脊液以后,脑组织即可以向前上抬起从岩骨前方直视下处理肿瘤与脑干之间的界面。也可以向后上方抬起颞叶,从岩骨后方直视下处理肿瘤斜坡基底,术中操作角度更多。
【正海-妙术视界】往期回顾
第二十四期:徐斌教授
第二十三期:朱巍、田彦龙教授
第二十二期:王林教授
第二十一期:洪涛教授团队
第二十期:贺世明教授
第十九期:张晓华教授团队
第十八期:刘振林教授
第十七期:张义教授
第十六期:钟东教授
第十五期:陈菊祥教授
第十四期:吴哲褒教授
第十三期:洪涛教授
第十二期:佟志勇教授
第十一期:王国良教授
第十期:蒋晓帆教授
第九期:骆纯教授
第八期:张俊廷教授
第七期:Hiroyoshi Akutsu教授
第六期:朱巍教授
第五期:于加省教授
第四期:吴劲松教授
第三期:徐斌教授
第二期:贺世明教授
第一期:钟平教授




