【Ref: Abbas M, et al. World Neurosurg. 2018 Apr 16. pii: S1878-8750(18)30756-3. doi: 10.1016/j.wneu.2018.04.040. [Epub ahead of print]】
蛛网膜囊肿(arachnoid cyst,AC)通常为无症状和偶尔发现。AC最常位于单侧颞部,双侧颞部的AC很少见。蛛网膜囊肿是良性病灶,但囊肿周围的解剖结构已有改变。当头颅外伤时患者可发生创伤性颅内出血,大多为硬膜下血肿或囊肿内出血。蛛网膜囊肿患者外伤后出现硬膜外血肿(extradural hematoma,EDH)非常罕见,仅占1%~5%,其中80%与颅骨骨折有关。Munzir Abbas等在2018年4月的《World Neurosurgery》上,发表1例双侧颞部蛛网膜囊肿前端发生双侧硬膜外血肿的报道。
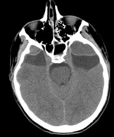
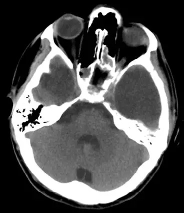
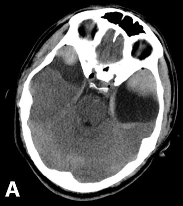
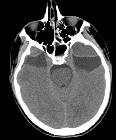
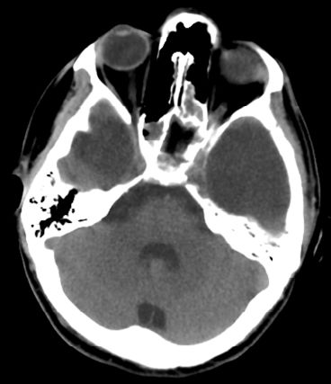
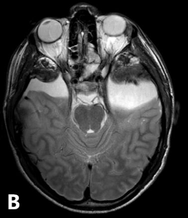
25岁男性患者,有双侧颞部蛛网膜囊肿,因醉驾而发生车祸。入院时GCS评分为15分,体格检查未见阳性体征;头颅CT和MRI提示双侧颞部蛛网膜囊肿的前端各有一颞部硬膜外血肿。左颞蛛网膜囊肿为4.8×5.4cm,右颞囊肿为3.1×3.7cm。左侧颞部EDH最大厚度3cm,右侧2.2cm;同时伴有横向的颞骨骨折(图1)。给予患者保守治疗。随后的CT复查显示EDH稳定(图2)。出院后3周,复查头颅CT显示,EDH明显吸收(图3)。

图1. 双侧颞部蛛网膜囊肿前端发生创伤性硬膜外血肿。A.头颅CT;B.MRI-T2加权像。

图2. 头颅CT复查。

图3. 3周后头颅CT复查。
作者认为,双侧颞部蛛网膜囊肿同时发生创伤性双侧硬膜外血肿的病例未曾报道。该病例提示,对于无症状的蛛网膜囊肿患者必须对其进行因囊肿的解剖改变存在潜在风险的教育警示,提醒避免容易伤及头部的对抗性体育活动或服兵役。
(中国医学科学院北京协和医院王鑫编译,复旦大学附属华山医院王知秋教授审校,《神外资讯》主编、复旦大学附属华山医院陈衔城教授终审)
相关链接




