
今天为大家分享的是《贝朗时间》第二十期,由华中科技大学同济医学院附属同济医院神经外科副主任郭东生教授带来的:颅内血管畸形合并血流相关性动脉瘤的显微手术治疗,欢迎阅读、分享!
郭东生教授:AVM手术视频
郭东生教授:ANR手术视频

郭东生 教授 ,主任医师,博士生导师,博士后,华中科技大学同济医学院附属同济医院神经外科副主任,颅底脑血管病显微外科病区主任兼光谷院区神经外科主任,《脑出血》杂志副主编,中国光谷出血性卒中论坛主席,好医联盟理事会理事长。欧美同学会医师协会脑血管病分会第一副主委兼秘书长,美国杜克大学神经外科客座教授,日本岛本神经外科医院客座教授。在欧美同学会医师协会,中国医师协会,中国老年医学会神经系统疾病分会,湖北省医学会,湖北省中西医结合学会,武汉市医学会等多个国家级及省级学会担任副主任委员,常务委员,委员等职,中南六省胶质瘤联盟成员。多个国家级,省级专家库评审专家,国家自然科学基金评审委员。
承担国家自然科学基金6项,发表英文SCI及中文论文近百篇。擅长神经外科各种临床技能,能处理各种复杂神经外科情况,对鞍区,CPA区,枕骨大孔区及脊髓等部位肿瘤手术治疗有丰富的经验。尤其擅长动脉瘤显微夹闭技术,先后赴瑞典,芬兰,德国,丹麦,美国,日本等多个国家进行学术交流与访问,与国外众多动脉瘤专家Juha Hernesniemi,Michael T. Lawton,Takanori Fukushima,Tatsuya Tanikawa等多次交流学习。完成包括基底动脉尖部动脉瘤在内的动脉瘤显微夹闭手术超过1500台,个人专业兴趣颅底肿瘤,脑血管病(动脉瘤,烟雾病,AVM),胶质瘤等的研究。
主要学术成就:在人脑及胶质瘤细胞中发现及命名LRIG基因家族,并确定了该基因家族与人类肿瘤的相关性。《中华神经医学》《中华实验外科》等杂志编委,《Gene Therapy》、《Apoptosis》、《Expert Opinion onTherapy》、《acta oncologia》等国际SCI杂志审稿专家。
病史简介
陈XX, 男,51岁
体检发现血管畸形8天入院。
既往史:痛风病史,高血压2年。
查体无明显阳性体征。
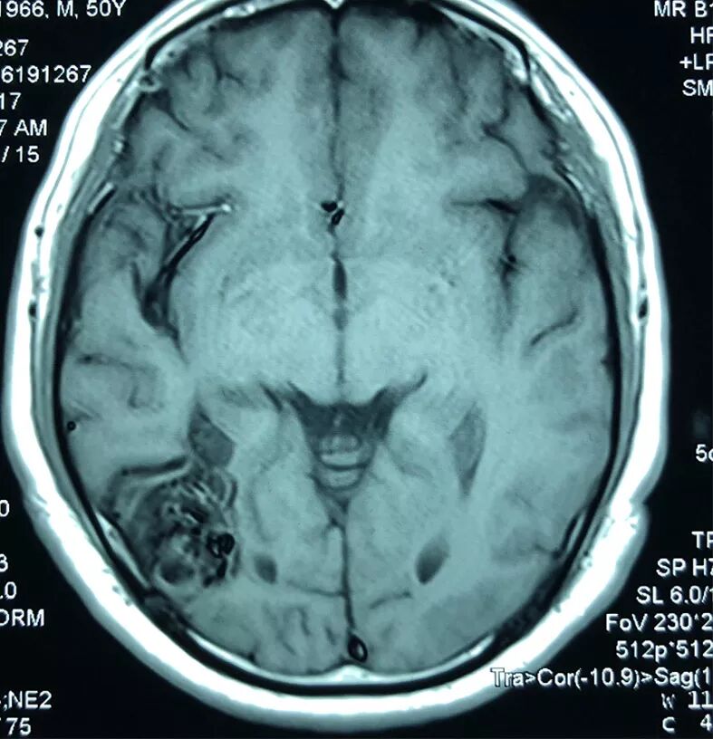
术前影像学检查
1. 磁共振考虑右侧枕叶血管畸形可能性大,建议DSA检查。

2. 术前DSA示:右侧大脑中动脉主供血AVM,向横窦乙状窦引流,合并多发血流相关性动脉瘤。



诊疗经过
诊断:
颅内血管畸形合并右侧大脑中动脉多发血流相关性动脉瘤
高血压病
痛风
治疗:
1.仰卧位 先颞枕马蹄形切口,游离骨瓣开颅,首先切除AVM,关闭切口(手术过程见手术录像)。
2.再行翼点入路,游离骨瓣开颅,夹闭大脑中动脉分叉部动脉瘤及M1段动脉瘤夹闭术(手术过程见录像)。
3.术中应有电生理监测技术,监测血管临时阻断后引起的神经功能改变,及时发现问题,保证手术后神经功能完好。

术后CTA见血管畸形切除完全,IIa动脉瘤夹闭完全

术后病人恢复良好,复查体检没有发现功能障碍
讨论
AVM合并动脉瘤临床上常有碰到,发生率文献报道10-20%不等。治疗方法上主要有显微手术切除和血管内介入治疗。本例为右侧大脑中动脉供血的血管畸形伴发有多个血流相关动脉瘤进行显微手术一期处理多个病变的病例。
AVM合并动脉瘤临床上常采用Redekop方法分为3型:Ⅰ型动脉瘤在AVM内部,为AVM团内型;Ⅱ型为血流相关型,又分为两型:Ⅱa:动脉瘤在AVM主要供血动脉主干的近端,Ⅱb-动脉瘤在AVM供血动脉远端。Ⅲ型动脉瘤与AVM无关。IIa型动脉瘤多需要处理,IIb型动脉瘤位于供血动脉远端,在切除或栓塞AVM后常会消失,一般采用先动态观察,根据发展情况,采取适当的处理策略。
本文报道病例未破裂的AVM合并供血动脉血流相关性动脉瘤,按Redekop分类,本例患者AVM同时伴发供血动脉近端(IIa)及供血动脉远端(IIb)动脉瘤。我们首选在电生理监测下,控制AVM供血的大脑中动脉,采用无出血手术操作技术,沿AVM和周边脑组织分界的胶质增生带分离完整切除AVM。对于伴发的供血动脉血流相关性IIa和IIb动脉瘤采用不同的策略。近端IIa动脉瘤一期显微夹闭处理,远端IIb动脉瘤随访观察的处理策略。手术顺利,术后病人恢复良好,没有功能障碍。
脑血管病手术我们要求进行最大程度的无血手术操作以保证手术野的清晰,使术者能够妥善处理病变血管,保护非受累血管完整通畅。无血手术操作是脑血管病神经外科医生需要掌握的重要技能。AVM手术过程遵循先控制处理供血动脉,再沿AVM畸形血管团与周边脑组织的胶质增生带分离,最后离断引流静脉的手术步骤。术中采用电生理监测,超声确定血流参数,荧光造影等辅助手段是保证手术成功,术后神经功能完好的重要手段。
参考文献
1. Redekop G1, TerBrugge K, Montanera W, Willinsky R.Arterial aneurysms associated with cerebral arteriovenous malformations:classification, incidence, and risk of hemorrhage. J Neurosurg. 1998Oct;89(4):539-46.
2. Flores BC, Klinger DR, Rickert KL, BarnettSL, Welch BG, White JA, Batjer HH, Samson DS. Management of intracranialaneurysms associated with arteriovenous malformations. Neurosurg Focus. 2014Sep;37(3):E11.
3. Eliava S, Dmitriev A, Shekhtman O, YakovlevS, Kheireddin A, Pilipenko Y. Treatment of Brain Arteriovenous Malformationswith Hemodynamic Aneurysms: A Series of 131 Consecutive Cases. World Neurosurg.2018 Feb;110:e917-e927.
4. Bervini D, Morgan MK, Ritson EA, HellerG. Surgery forunruptured arteriovenous malformations of the brain is better than conservativemanagement for selected cases: a prospective cohort study. JNeurosurg. 2014 Oct;121(4):878-90.
往期回顾




