【Ref: Li Q, et al. Stroke. 2017 Nov;48(11):3019-3025. doi: 10.1161/STROKEAHA.117.017985. Epub 2017 Oct 10.】
脑出血(intracerebral hemorrhage,ICH)早期血肿扩大是患者不良预后的独立危险因素。CTA的“斑点样征”(spot sign)是预测ICH血肿增大的可靠指标。近年来,又发现一些CT平扫的影像学征象可用来预测血肿扩大,如混合征(blend sign)、低密度影(CT hypodensities)、黑孔征(black hole sign)、旋涡征(swirl sign)以及血肿形态不规则(irregularity of hematoma)。重庆医科大学附属第一医院神经内科的Qi Li等开展回顾性临床研究,评估ICH患者CT平扫“岛征”(island sign)对血肿扩大和不良预后的预测意义,结果发表于2017年10月的《Stroke》在线。
作者纳入2011年7月至2016年9月间收治的252例ICH患者。纳入标准:①年龄>18岁;②发病6小时内首次CT平扫;③首次CT后30小时内复查CT。排除标准:①在CT复查前行手术治疗的患者;②出血继发于脑动静脉畸形、外伤、颅内动脉瘤、脑肿瘤以及脑梗死性出血等;③凝血功能障碍相关性脑出血。CT平扫“岛征”定义为:≥3处散在的、均与主要血肿分离的小血肿;或≥4处小血肿,其中几个可以与主要血肿相连(图1、2)。血肿体积增加大于基础血肿量的33%或>6ml则定义为血肿扩大。患者第90天进行mRS评分,mRS评分≥3分为预后不良。通过多因素logistic回归分析CT平扫“岛征”与患者早期血肿扩大和预后的关系。

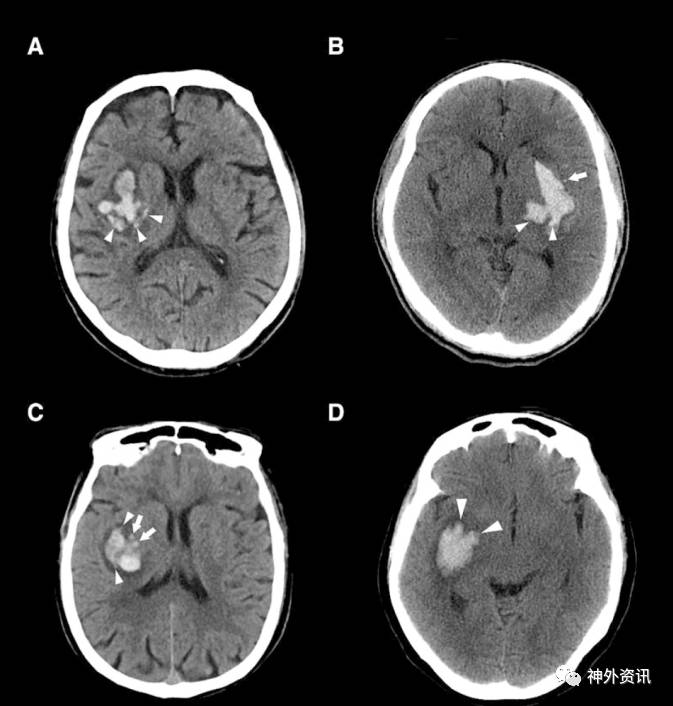
图1. CT平扫“岛征”图示说明。A.1例基底节区脑出血患者,箭头所指为3处散在的小血肿,均与主要血肿不相连;B.1例壳核出血患者,三角形所指为3处散在、与主要血肿分离的小血肿,3处小血肿与主要血肿之间存在低密度影;C.1例脑叶出血患者,三角形所指为4处散在、与主要血肿分离的小血肿;D.1例基底节区大量脑出血并破入脑室的患者,三角形所指为4处与主要血肿相连的气泡状或发芽状的小血肿,箭头所指为1处散在、与主要血肿分离的小血肿。

图2. 易误诊为CT平扫“岛征”的表现。A.1例真正的CT平扫“岛征”,3处散在、与主要血肿分离的小血肿,其主要血肿由4个分叶状组成;B.1例不规则形状的壳核出血,呈分叶状,但这种分叶不能视为“岛征”,箭头所指的微小的脑出血不是分离的血肿;C.1例壳核出血,箭头所指为2处散在小血肿,三角形所指是不规则的血肿边缘,不是“岛征”;D.1例基底节区脑出血,有2处分叶,但都属于主要血肿,故不能视为“岛征”。
252例中,41(16.3%)例患者首次平扫CT存在“岛征”。85例发生血肿扩大的患者有38例存在CT平扫“岛征”,占44.7%。此外,CT平扫“岛征”的患者与无“岛征”患者相比,GCS评分更低,为10分比14分(P<0.001);基础血肿量更大,为29.9 ml比11.8 ml(P<0.001)。多因素logistic回归分析显示,发病到首次CT扫描的间隔时间(优势比:0.64;95% CI,0.51–0.81;P<0.001)、基础血肿体积(优势比:1.04;95% CI,1.01–1.07;P=0.005)以及CT平扫“岛征”(优势比:31.89;95% CI,8.67–117.29;P<0.001)是ICH患者早期血肿扩大的独立危险因素。CT平扫“岛征”预测血肿扩大的敏感性为44.7%,特异性为98.2%;阳性预测值为92.7%,阴性预测值为77.7%。在对患者年龄、入院时GCS评分、血肿是否破入脑室、是否存在蛛网膜下腔出血、入院时收缩压、基础血肿体积以及幕下脑出血等因素进行校正后,平扫CT“岛征”(优势比:3.51;95% CI,1.26–9.81;P=0.017)仍然是ICH患者预后不良的独立危险因素。综上所述,CT平扫“岛征”是预测ICH患者早期血肿扩大的可靠指标,并高度提示患者预后不良。
(湘南学院附属医院神经外科冯梦龙编译,江苏省常熟市第一人民医院刘创宏审校,《神外资讯》主编、复旦大学附属华山医院陈衔城教授终审)
相关链接




