【Ref: Benet A, et al. Oper Neurosurg (Hagerstown). 2018 Jan 1;14(1):81-82. doi: 10.1093/ons/opx045.】
迂曲、扩张的椎基底动脉可嵌入脑干或压迫颅神经,引起相关的压迫综合征。然而,常规使用Teflon垫片的微血管减压术无法实现椎基底动脉的充分减压。美国旧金山加利福尼亚大学神经外科的Arnau Benet等报道应用创新的椎基底动脉移位技术治疗1例患Ehlers-Danlos综合征的脑干和后组颅神经受压患者,文章配有视频发表于2018年1月的《Operative Neurosurgery》。
58岁男性患者,临床表现为左侧面肌痉挛,术前影像学检查诊断为基底动脉扩张延长症,导致左侧面神经受压(图1)。经患者同意后进行手术。手术采用远外侧入路,通过扩大枕下乙状窦后切口,显露基底动脉。基底动脉在中脑-脑桥连接处水平压迫左面神经根部。用muslin棉条制成悬带套住基底动脉,在斜坡硬脑膜上用19号针穿刺一孔;取一枚7mm直动脉瘤夹,将悬带末端栓系于动脉瘤夹一端,再将动脉瘤夹另一端穿入硬脑膜上破孔,把悬带锚定于硬脑膜上。通过拖曳悬带调整基底动脉的张力,最终将基底动脉从面神经上完全移开后,固定之(图2)。术后复查的CT及CTA显示,面神经不再受扩张、延长的基底动脉压迫(图3)。值得注意的是,由于手术野狭窄,在进行悬带套过基底动脉和移位的过程中,应避免过度牵拉致使穿支血管撕裂,一旦出血可能导致极其严重的后果。


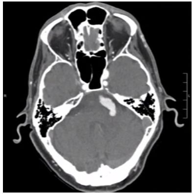
图1. 左图:术前CT。右图:术前CTA。
图2. 术中照片。左图:显露面神经根部,可见粗大迂曲的基底动脉从内侧压迫面神经;中图:将muslin细棉条套过基底动脉;右图:用直动脉瘤夹将悬带固定于斜坡硬脑膜。

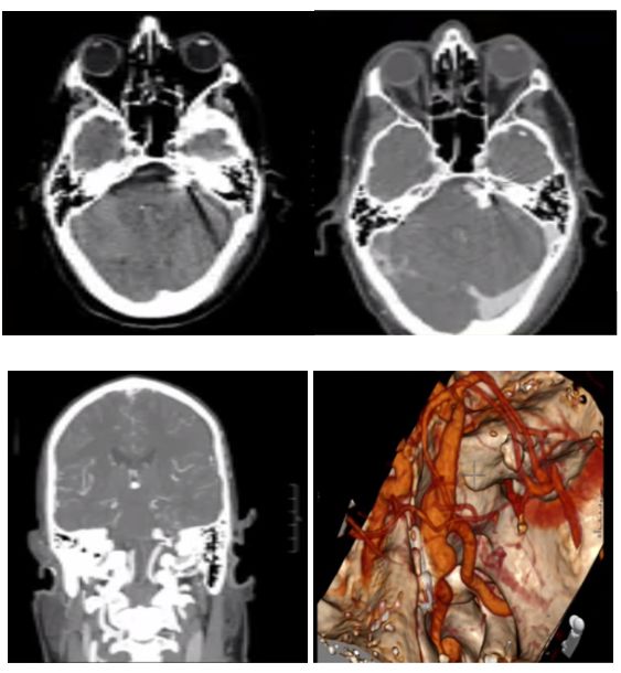
图3. 术后CT和CTA。
(吴旻编译,《神外资讯》主编、复旦大学附属华山医院陈衔城教授审校)
相关链接





