【Ref: BangJS, et al. World Neurosurg. 2018 Apr 16. pii: S1878-8750(18)30761-7. doi:10.1016/j.wneu.2018.04.045. [Epub ahead of print]】
尤因肉瘤(Ewing Sarcoma)最早由病理学家詹姆斯·尤因(James Ewing)于1921年称之为骨内皮细胞瘤(Endothelioma of bone)报道的高度恶性骨肿瘤。多发于20岁的青年,20岁以上患者的比例不到20%。发生在外周神经的骨外尤因肉瘤(Extraosseous Ewing Sarcoma,EES)极为罕见,文献报告仅11例。EES没有明确的临床症状,通常表现为生长迅速和发病部位疼痛;多见于下肢及椎旁区。韩国首尔Nanoori医院神经外科的Jung Soo Bang等在2018年4月的《World Neurosurgery》报道1例发生于坐骨神经的非典型尤因肉瘤。
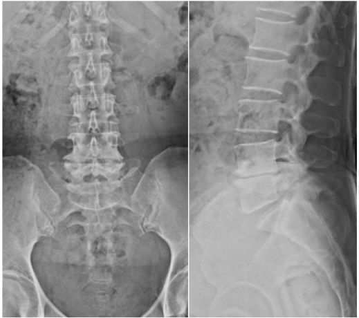
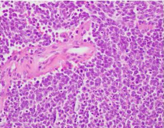
56岁女性患者,因腰痛和顽固性右腿疼痛入院。体格检查发现,两下肢肌力正常,但足部外侧面感觉减退和踝反射减弱。临床表现类似腰椎神经根病。腰椎X线片和MRI成像提示腰椎管狭窄(图1、2),给予保守治疗。患者右下肢疼痛不缓解,进行性加重。髋关节MRI成像显示,右股骨颈水平软组织内有一肿块,起源于坐骨神经,大小4×5×7cm,T1加权像呈非均匀的等信号,T2加权像高信号,STIR像没有脂肪抑制;增强扫描见不均匀强化(图3)。PET不支持转移性病变。考虑神经鞘瘤可能性大。手术近全切除肿瘤,并保留坐骨神经功能(图4)。最终,病理学检查诊断为尤因肉瘤(图5)。由于该肿瘤对放化疗敏感,于是采取放化疗,五个月内没有复发和转移。

图1. X线平片显示L5-S1椎体峡部裂和I级腰椎滑脱,L4-L5椎间盘间隙减小。
图2. 腰椎MRI-T2加权像。A.腰椎矢状位提示,L4-L5和L5-S1水平椎间盘退行变;B.矢状位L5-S1水平椎间孔狭窄;C、D.轴位显示,L4-L5和L5-S1腰椎管狭窄症。
图3. 髋关节冠状位MRI-T1加权、T2加权和STIR像显示,右股骨颈水平外侧软组织内肿块。

图4. 术中照片。A.肿瘤有两个小叶,轻度浸润坐骨神经;B.肿瘤切除后未损伤坐骨神经(星形标记);C.切除的肿瘤标本。

图5. 组织病理切片提示,肿瘤内均匀分布的圆形细胞,核仁明显,细胞质透明空泡化。
(中国医学科学院北京协和医院王鑫编译,复旦大学附属华山医院王知秋教授审校,《神外资讯》主编、复旦大学附属华山医院陈衔城教授终审)
相关链接





