今天为大家分享的是《贝朗时间》第十六期,由浙江大学医学院附属第二医院神经外科副主任祝向东教授带来的:影像融合技术辅助复合手术夹闭颈内动脉眼段大动脉瘤1例,欢迎阅读、分享!
祝向东教授:影像融合技术辅助复合手术夹闭颈内动脉眼段大动脉瘤1例

祝向东,浙江大学医学院附属第二医院神经外科副主任,主任医师,中华医学会神经外科分会脑血管学组委员,中国卒中学会中西医结合分会委员,浙江省医学会神经外科学分会常委,浙江省医学会显微外科分会常委,浙江省神经外科技术指导中心专家委员会委员。
擅长脑血管疾病(脑动脉瘤、脑血管畸形),颅脑肿瘤的显微外科手术,尤其是在处理复杂的脑动脉瘤,脑血管畸形,脑干海绵状血管瘤,以及鞍区、桥小脑角区、岩斜区、松果体区等复杂解剖区域的占位性病变方面具有独到的经验。
共发表SCI文章及国家I级杂志文章十余篇。作为主要参与者获得浙江省科技进步一等奖,浙江省科技进步三等奖各一次。曾赴欧洲、美国等多家神经外科中心交流学习。2014年曾荣获第一季RIGHT CLIP RIGHT CLIPPING(RCRC)全国动脉瘤精确夹闭手术及演讲总决赛一等奖和最佳技巧奖。
病史简介
患者,女,47岁,因“外伤后检查发现颅内占位6月”入院。
患者6月前因外伤致全身多处受伤疼痛于当地医院就诊,检查头颅CT提示“右侧鞍旁占位性病变,脑膜瘤可能”。后因患者多发伤,行动不便,无法进一步检查。1月余前,患者至我院行头颅MRI,CTA检查提示右侧颈内动脉动脉瘤。为求进一步治疗,收住入院。
入院查体:神志清,hunt-hess 0级,右眼视力粗测下降,其余查体阴性。
诊疗经过
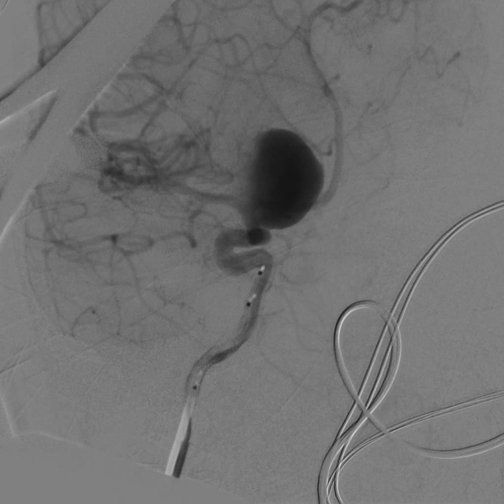
入院后完善DSA检查提示颅内多发动脉瘤:右侧颈内动脉眼段大动脉瘤(约18*19mm,瘤颈6.6mm),左侧眼动脉段及床突段动脉瘤。和家属沟通病情,告知介入和开颅手术风险利弊后,患者家属选择开颅动脉瘤夹闭手术治疗。进一步行DSA+CT融合,模拟手术入路视角。



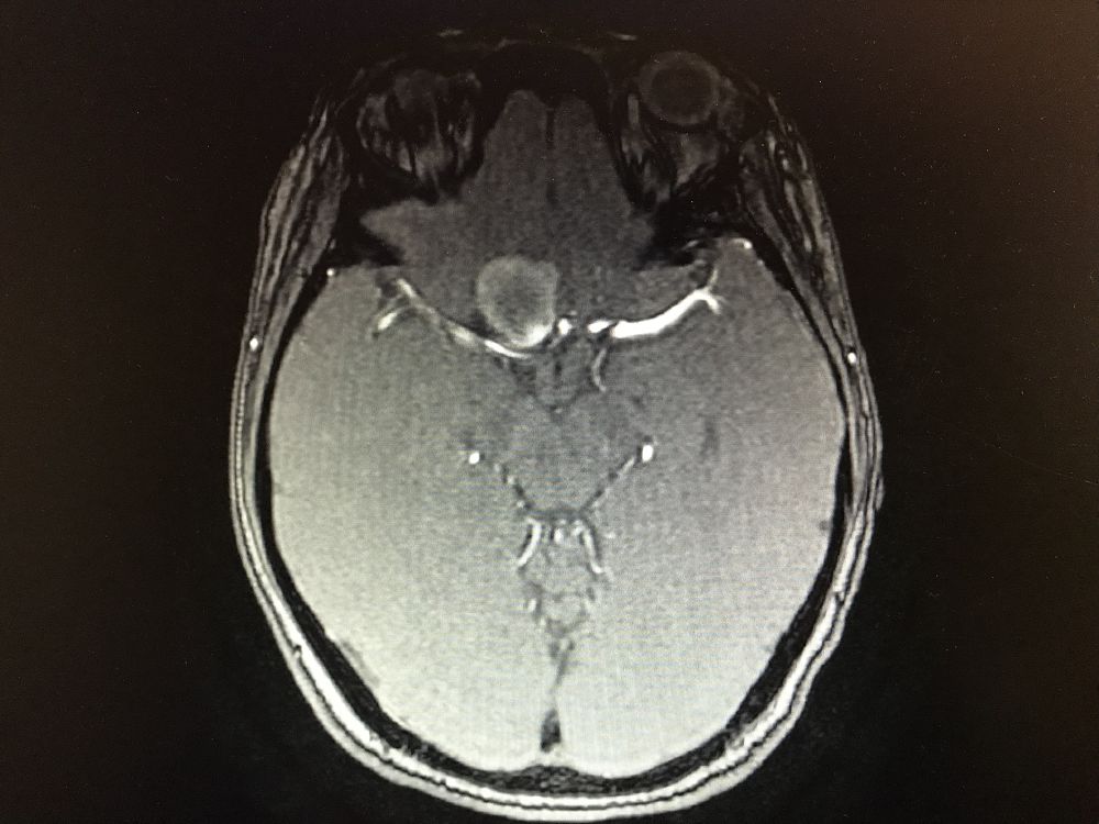
术前MRA和CTA


右侧眼动脉瘤


左侧眼动脉段及床突段动脉瘤

术前融合后模拟开颅骨窗

术前融合后模拟显微镜视角
术前科室讨论:根据患者术前DSA+CT融合图像,左侧动脉瘤因右侧巨大动脉瘤及骨性结构的遮挡,无法手术夹闭。拟先行右侧动脉瘤夹闭。但右侧动脉瘤体型巨大,位于眼段床突旁,临近颅底,术中需要磨除床突,但可能诱发瘤体破裂,若无法有效阻断血流,极可能出现致死性出血。可考虑术前暴露颈总动脉分叉部,术中临时夹阻断颈内动脉,但增加了手术创伤。建议利用复合手术室优势,术中介入球囊临时阻断颈内动脉后行动脉瘤夹闭。
2018.5.8患者全麻下行临时球囊阻断下右侧眼动脉大动脉瘤夹闭术。术中取右侧额外侧入路,形成骨瓣约4*4cm大小,牵开额底,切开蛛网膜释放脑脊液后即见动脉瘤。术中所见瘤体与周边结构解剖关系和术前融合图像完全一致。瘤体表面张力较高,牵开瘤体困难,无法暴露瘤颈和近心端动脉。

术中动脉瘤所见

术前虚拟瘤体大小
全身肝素化后,路图下将6FGuiding导引导管放置于右侧颈内动脉岩谷水平段,使用Scepter球囊微导管在014微导丝带领下超选进入颈内动脉岩谷垂直段,充盈球囊,造影显示阻断颈内动脉满意后继续手术。

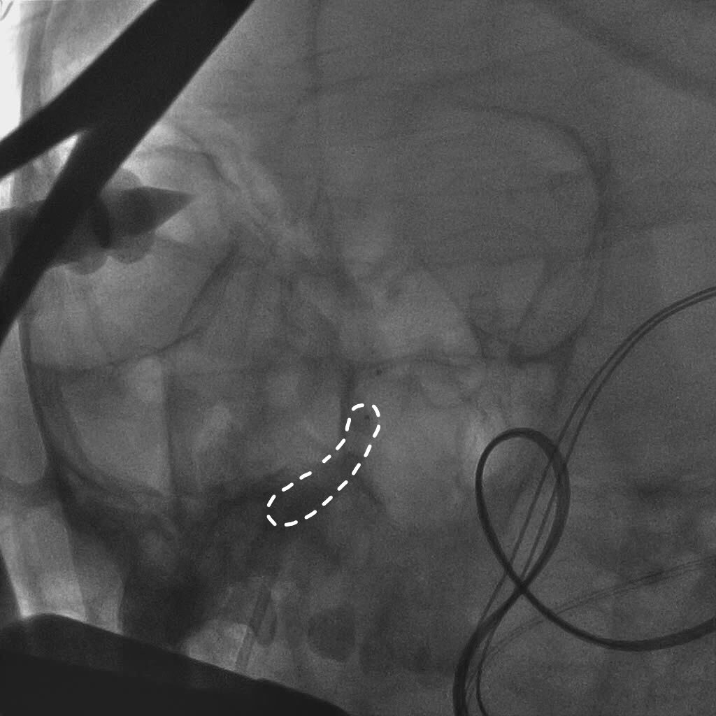
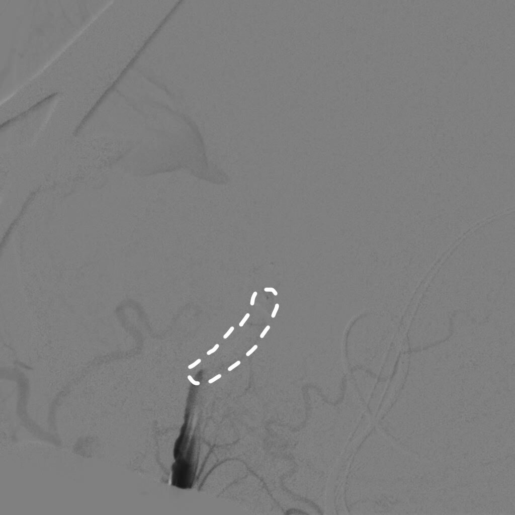
球囊到位

球囊充盈,虚线为球囊

球囊阻断满意,造影剂返流至颈外动脉,虚线为球囊
再次探查动脉瘤发现瘤体表面张力明显下降,探针分离瘤颈,以2枚直动脉瘤夹792+760夹闭瘤颈。解除球囊阻断后,动脉瘤表面张力无回升,穿刺瘤体无活动性出血。荧光造影提示瘤体无显影,载瘤动脉血流通畅,无明显狭窄,各分支保留完好。切除部分瘤体,视神经减压。DSA复查提示动脉瘤夹闭满意,全脑血管通畅后关颅。(球囊阻断时间约10分钟)
术后患者右眼视力同术前相仿,未出现新发神经功能损害,术后10天出院。

术中夹闭情况
术中荧光造影
夹闭后复查DSA
夹闭后复查DSA
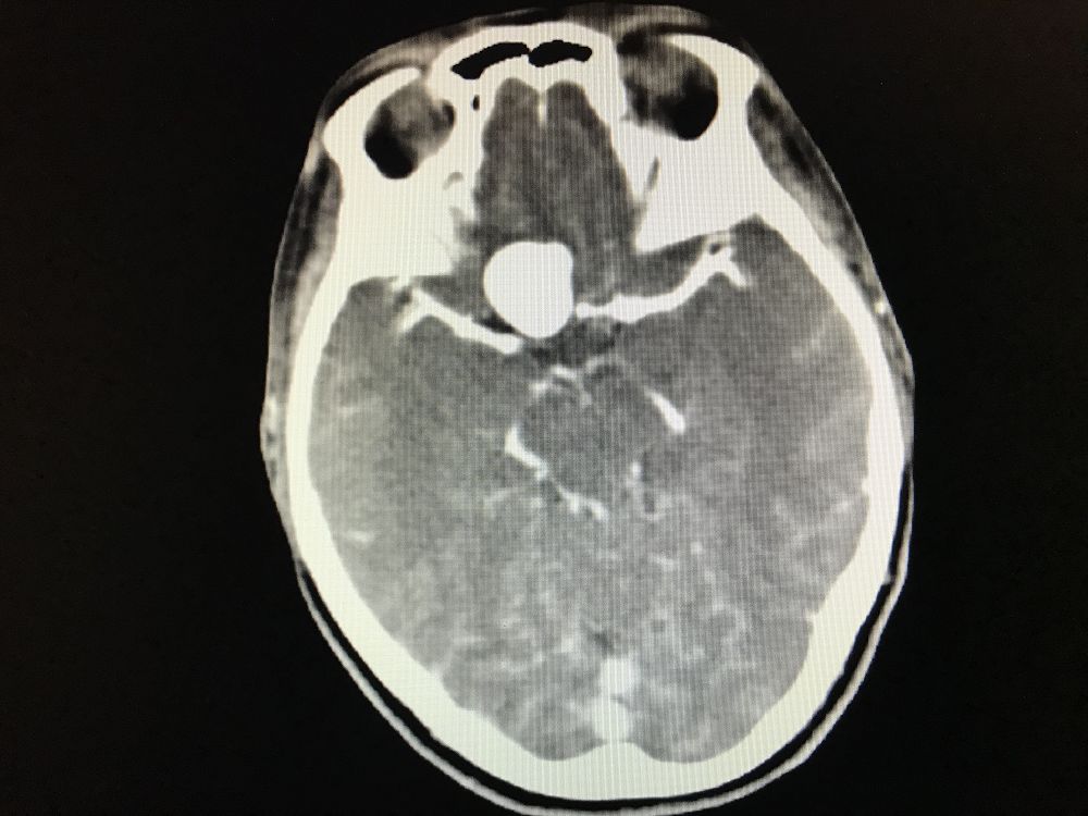
术后复查CT
讨论
颈内动脉眼段动脉瘤因其解剖位置复杂,周围有眼动脉、垂体上动脉、前床突、视神经、视交叉等重要结构,手术空间狭小,手术难度较大。术中如何有效控制颈内动脉血流是手术能否顺利完成的关键。既往的手术方法是在开颅术前常规暴露同侧的颈总动脉,并预置阻断带。然后经翼点入路,从硬膜内磨除前床突以夹闭瘤颈。由于前床突区空间狭小,解剖结构复杂,硬脑膜内磨除前床突不仅容易损伤周围重要的神经和血管,还易导致未成熟动脉瘤破裂。
1985年,Dolenc报道了从硬膜外磨除前床突和周围的一些骨性结构以暴露颈眼动脉瘤的方法,并取得了较好的效果。经硬脑膜外磨除前床突、视柱及视神经管上外侧壁,与硬脑膜内磨除相比具有明显的优势。前者在硬脑膜外操作时即可暴露颈内动脉床突段,提供了安放临时阻断夹的位置,有利于早期控制载瘤动脉,避免了以往常规暴露颈总动脉所带来的副损伤。另外,在硬脑膜外操作时由于有硬膜和脑脊液的保护,不易伤及重要的神经、血管。但该入路术后动眼神经麻痹发生率较高 。
近年来,穿刺颈部颈内动脉,进行逆向血液抽吸(Dallas技术)得到了极大的推崇。在复合手术中,可以利用Scepter球囊导管特点,当球囊到位充盈后,负压抽吸微导管,从而避免颈部的有创手术。Dallas技术由此可以得到改良。

Dallas技术
复合手术起源于心血管外科,是将外科手术、血管介入和影像学诊断一站式整合的产物。近年来,国内外陆续有学者报道其在治疗脑血管疾病的巨大优势 。在复合手术室条件下治疗颅内动脉瘤,依据术者需要,可在术前、术中、术后及时行DSA并三维立体成像。术前可为术者提供动脉瘤瘤体、瘤颈的解剖结构及其与载瘤动脉、穿支血管、周围血管的解剖关系等重要信息,帮助术者制定手术策略;术中可以帮助术者准确地判断动脉瘤夹闭情况,根据造影结果及时调整动脉瘤夹以达到最佳效果;术后可明确瘤颈夹闭情况以及载瘤动脉、穿支血管及术区血管是否通畅,避免术后瘤颈残留及血管误夹。虽然传统的吲哚菁绿术中荧光造影技术也可提供部分信息,但术中DSA的结果更全面、可靠 。在复合手术室条件下夹闭动脉瘤时,术者可按照手术需要利用球囊技术即时阻断载瘤动脉近端和远端血流,以此降低瘤体张力,便于动脉瘤及载瘤动脉的处理。还可避免在暴露瘤颈前动脉瘤发生破裂,而且即使破裂,术者也能良好控制出血,以获得更加清晰的术野,从而提高手术的安全性。
复合手术室将神经显微外科、神经介入治疗及神经影像学诊断三大技术的人员在时间和空间上有机整合,使得多学科医生紧密合作.同时进行神经介入诊断、治疗及常规神经外科手术治疗。在此平台,神经外科医生的手术操作因神经介入技术的帮助而更加从容,神经介入医生的操作因有神经外科医生的存在更有保障.神经外科和神经介入科的优势均得到充分发挥,因而患者手术更加安全。而且对于复杂的、传统手术治疗困难的颅内动脉瘤患者,其从复合手术室获益越多。因此,复合手术为临床治疗急诊重症、复杂颅内动脉瘤提供了新的治疗策略,将是未来复杂动脉瘤的治疗方向。
结合本病例,我们术前利用复合手术室飞利浦DSA血管机,造影后即刻行CT扫描。由于是在同一机器环境下完成的两种模态扫描,减少了伪影干扰,解剖结构电脑自动吻合,故影像融合精度极高。并且因为是双模态融合,可以用不同颜色标记血管和骨窗,增加了对比度,提高了分辨率,较CTA有明显优势。利用术前融合模拟手术入路,放大后观察发现动脉瘤体巨大,紧贴颅底和床突,缺乏至少2mm的近端阻断空间,术中需要磨除前床突。但术中发现动脉瘤表面张力极高,紧贴床突硬脑膜,高速磨钻操作存在巨大风险。而术中球囊阻断颈内动脉后,动脉瘤张力明显下降,依靠吸引器轻轻牵拉即可暴露出瘤颈,不必要磨除床突,降低了手术复杂度。
术后笔者反思,若术中进一步利用Dallas技术或瘤颈球囊隔离技术,必能进一步降低动脉瘤张力,为主刀医生提供更多的帮助。

球囊瘤颈隔离技术
参考文献
1. Clipping of ruptured intracranial aneurysms in a hybrid room environment—a case-control study ;Philipp Dammann,Max Jägersberg, Zsolt Kulcsa,Ivan Radovanovi,Karl Schalle,Philippe Bijlenga;Acta Neurochir (2017) 159:1291–1298
2. The 25th anniversary of the retrograde suction decompression technique (Dallas technique) for the surgical management of paraclinoid aneurysms: historical background, systematic review, and pooled analysis of the literature;Bruno C. Flores, MD, Jonathan A. White, MD, H. Hunt Batjer, MD, and Duke S. Samson, MD ;J Neurosurg May 4, 2018
3. A trapping-evacuation technique for giant carotid-ophthalmic segment aneurysm clipping in a hybrid operating theater;Peng Hu, Hong-Qi Zhang, Gui-Lin Li, Chuan He, Li-Song Bian, Xing-Long Zhi, Feng Ling ;Journal of Clinical Neuroscience 22 (2015) 1184–1187
4. 额外侧人路在微创治疗颈内动脉一眼动脉段动脉瘤手术中的应用;王建涛 阚志生 王硕;中华医学杂志2017年4月18日第97卷15期;
5. 复合手术夹闭颈内动脉眼动脉段大型动脉瘤一例;邵军师 赵东红 喻乐保 马宁 杨新健 张东;中华医学杂志2017年8月第33卷8期;
6. 经 Dolenc人路治疗巨大颈眼动脉瘤24例;邵灵敏 刘仁忠 简志宏 ;中华显微外科杂志2013年10月第36卷5期;
7. 眼动脉段动脉瘤的手术治疗(附4O例报告) ;曹洁 张世明 王中 周幽心 虞正权 崔岗 李向东 周岱;中华显微外科杂志2012年1月第28卷1期;
8. 眼动脉段大型动脉瘤夹闭和载瘤动脉 重建手术技巧的探讨;叶明 张鸿祺 李萌 鲍遇海;中华脑血管病杂志2011年6月第18卷6期;
9. 颈内动脉眼动脉段动脉瘤的手术治疗;张永力 石祥恩 孙玉明 刘方军;中华外科杂志2010年6月第48卷12期;
10. 巨大颈内动脉脉眼动脉段动脉瘤的显微手术治疗;李侠,陈谦学,魏德胜,丁大成,秦军;中国微侵袭神经外科杂志2017年11月第20卷22期;
往期回顾




