今天为大家分享的是由兰州大学第二医院神经外科严贵忠医师翻译,王小峰医师审校:胚胎发育不良性神经上皮肿瘤(DNET)的影像学特征,欢迎观看、阅读!

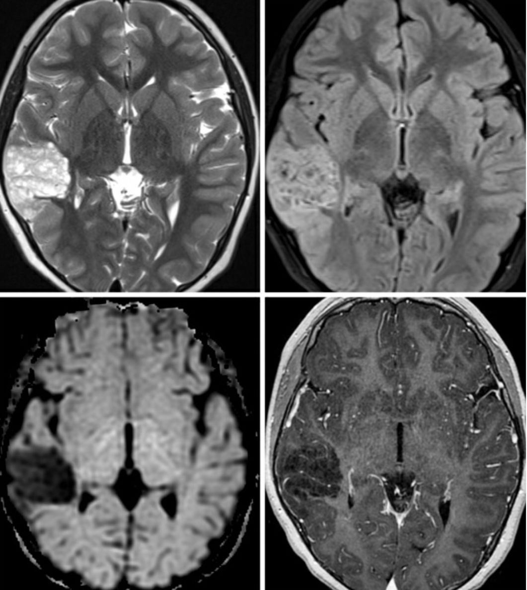
图1. 此例DNET患者的病变位于右侧颞叶外侧,侵及皮层和白质。在T2加权相(左上)和FLAIR加权相(右上)上呈典型的囊泡样改变。病变比较局限,临近皮层增厚或发育不良。在DWI加权相(左下)上呈低信号,提示肿瘤细胞含水量少。T1增强加权相(右下)上肿瘤未见明显强化。
基本描述
良性,生长缓慢的神经胶质肿瘤
病理学
WHO I级
可能是起源于生发基质,沿着神经迁移路径达到皮层
特异的胶质神经元成分为特征性表现
(1)轴突纤维与皮层相垂直
神经胶质物质充满粘液囊性成分
常见钙化
临床表现
常见于20-30岁年龄段
男性稍多于女性
最常见的表现为药物难治性癫痫/复杂部分性癫痫发作
常散发;与神经纤维瘤病-1型很少相关
治疗:手术切除
预后:肿瘤完全切除的患者预后良好,术后癫痫常能完全控制
影像学特征
一般表现
(1)边界清楚,皮层内,楔形肿瘤,尖端常指向脑室
(2)囊变或泡状表现
(3)颞叶多发于额叶
(4)有钙化的可能
(5)常有皮质发育不良
CT
(1)皮层或皮层下楔形的低密度区域,与缺血性卒中表现相似
(2)内皮层呈扇形,钙化
MRI
(1)T1加权相:分叶状,泡状低信号肿瘤
(2)T2加权相:呈高信号泡状表现
(3)FLAIR相:信号多变,临近脑组织水肿少见
(4)T1增强相:常无强化效应
(5)DWI相:弥散不受限
影像学建议
MR增强扫描
(编译:严贵忠;审校:王小峰)
如果想了解更详细的内容,请参阅Radiopaedia (https://radiopaedia.org/articles/dysembryoplastic-neuroepithelial-tumour)的相应章节。
Contributor: Rachel Seltman, MD
DOI: https://doi.org/10.18791/nsatlas.v1.ch02.1.2





