
今天为大家分享的是《贝朗时间》第十五期,由空军军医大学唐都脑科医院院长高国栋教授带来的:左侧颈内动脉眼段动脉瘤夹闭术,欢迎阅读、分享!
高国栋教授:左侧颈内动脉眼段动脉瘤夹闭术

高国栋,空军军医大学唐都脑科医院院长,主任医师,教授,博士生导师。全军功能神经外科研究所所长、中国医师协会神经外科分会副会长、中国卒中协会理事、中华医学会神经外科学分会常务委员、陕西省医学会/医师协会神经外科分会主任委员。
40年来以娴熟的显微神经外科技术治愈了大量疑难复杂的颅脑、脊髓内肿瘤、血管病病人。在颅面部血管病和高血运肿瘤血管内栓塞与手术切除的综合治疗、微电极引导定向手术治疗帕金森病、微创定向手术戒毒的基础研究和临床诊治等领域取得了多项创新成果,获国家技术发明二等奖1项,军队医疗成果一等奖2项、二、三等奖各2项、陕西省科技进步二等奖2项,全军教学成果二等奖1项,国家发明及实用专利5项、承担国家“863”、“973”、“十一五”支撑计划、国科金重点、教育部创新团队及军队科研课题30余项;发表论文300余篇,以第一作者或通讯作者发表SCI论文75篇;主编、参编专著12部,培养硕、博士研究生125名、博士后3名。曾多次应邀到日本、美国、法国、德国、澳洲、巴西、瑞士等20余个国家出席国际会议与参观学习进行学术交流或被邀请做大会专题报告。
病史简介
廖xx,男,64岁,
主诉:头痛、呕吐6天
查体:脑膜刺激征阳性,余查体无明显异常
术前Hunt&Hess Ⅱ级,FisherⅠ级
术前检查
(1)复查头颅CT了解颅内情况
(2)全脑血管造影检查明确病变部位及血管代偿情况
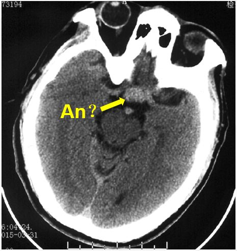
术前头颅CT检查(发病6天后)

头颅CT可见鞍区类圆形高密度影
(黄色箭头示)
术前全脑血管造影
左侧ICA眼段宽颈动脉瘤

动脉大小:17.11mm×13.32mm
术前全脑血管造影
左侧ICA眼段动脉瘤

左侧ICA眼段动脉瘤3D影像
诊疗经过
诊断
蛛网膜下腔出血
L-ICA眼段宽颈大动脉瘤
治疗
仰卧位左侧翼点入路
硬膜下磨除部分前床突
多枚动脉瘤夹塑型夹闭
术中血管超声检查

左侧ICA眼段动脉瘤塑型夹闭术
(长按并识别二维码即可观看精彩手术)

术后次日头颅CT复查

手术前后脑血管造影对比
手术前后脑血管造影对比(3D)
经验体会
本例ICA眼段动脉瘤我们首选的治疗方案为微创的支架辅助弹簧圈栓塞术,但由于患者经济原因,遂变更方案为创伤性更大的开颅夹闭术。因为是宽颈大动脉瘤,且病变位于ICA眼段,塑型夹闭有一定难度,术中需磨除部分前床突获得足够的手术空间,且必须保护好重要的分支血管(脉络膜浅动脉、垂体上动脉等)。塑型夹闭还可以解除大动脉瘤的占位效应,从而减轻其对视神经等结构的压迫。
往期回顾





