
今日与大家分享的是《正海-妙术视界》第九十六期,由复旦大学附属华山医院神经外科朱巍教授带来的精彩病例:“复合手术左侧椎动脉夹层动脉瘤孤立及枕动脉-小脑后下动脉端侧吻合术一例”,欢迎观看、分享。
朱巍教授:复合手术左侧椎动脉夹层动脉瘤孤立及枕动脉-小脑后下动脉端侧吻合术一例

朱巍,教授、主任医师、博士生导师,师从我国著名神经外科专家、中国工程院院士周良辅教授。2006年~2007年在美国加州大学医学院(University of California, San Francisco)脑血管病研究中心进修学习。先后在美国Mayo Clinic,Barrow Neurological Institute,德国美因兹大学医院神经外科访问学习。
2012年12月任华山医院神经外科主任医师。自任职以来,在临床医疗方面,每年独立完成各类神经外科手术约500例,主要是复杂动脉瘤、脑血管畸形、脑干海绵状血管瘤、复杂颅底肿瘤等大型高风险手术。主攻颅底外科微创手术及复杂脑血管病手术等。
先后获得或入选第十四届上海市卫生系统“银蛇奖”一等奖、“新优青”计划、上海市卫生系统优秀学科带头人及王忠诚神经外科医师年度奖等培养计划和荣誉称号。
椎动脉夹层动脉瘤,由于其位置深在,周围结构复杂,手术难度大,对手术技巧要求高。这里介绍由复旦大学附属华山医院神经外科朱巍教授主刀的左椎动脉夹层动脉瘤累及小脑后下动脉-动脉瘤孤立及枕动脉-小脑后下动脉端侧吻合术一例,并对手术要点进行介绍。
病史简介
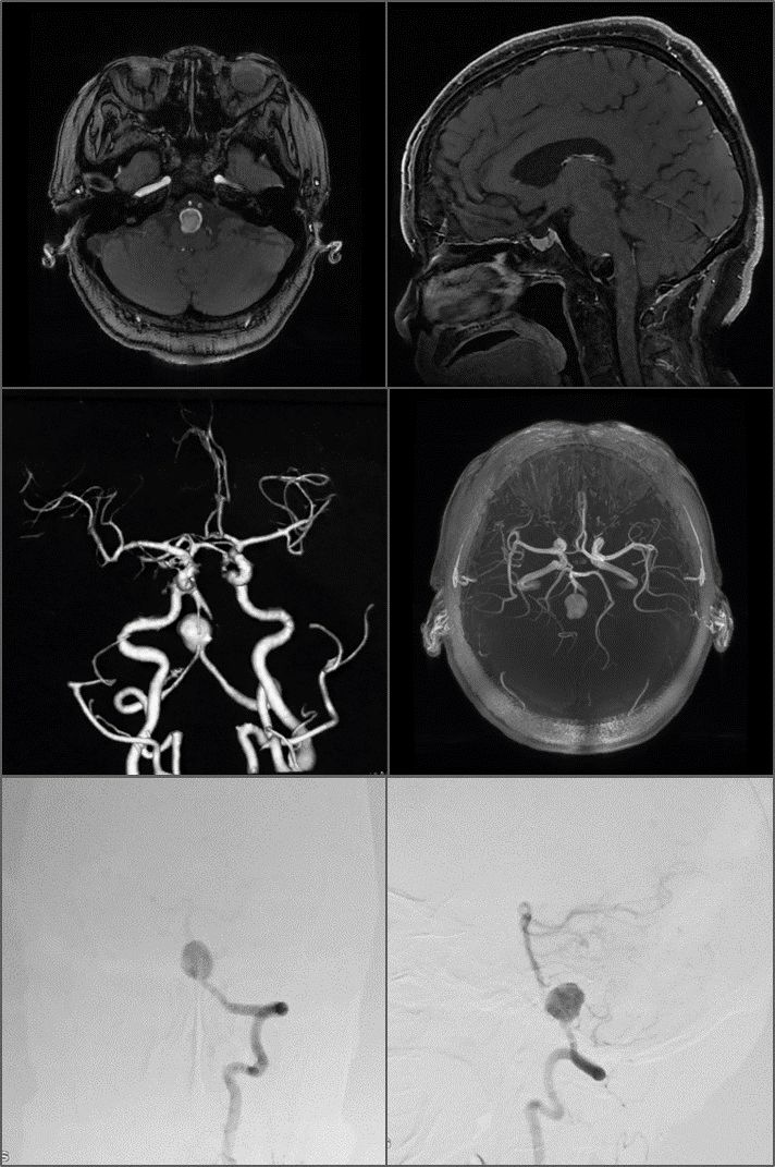
患者为一名67岁女性,入院17天前因突发头晕一次入院。患者患病以来无头痛呕吐,无抽搐,无意识障碍。入院体格检查神清语利,GCS15分,双侧瞳孔等大等圆,眼球运动佳,视力视野正常,余颅神经未见明显异常。术前CT,MR及DSA提示:左椎动脉夹层动脉瘤累及小脑后下动脉,双侧锁骨下动脉及双侧椎动脉开口处极度迂曲。对于此类复杂动脉瘤,术者术前进行了详尽的计划,确定了复合手术下动脉瘤孤立及枕动脉-小脑后下动脉端侧吻合的手术治疗方案。首先术前穿刺右侧股动脉留置造影导管备用,术中Doppler超声、ICG造影提示动脉瘤闭塞,PICA血流通畅,继而术中DSA造影,证实动脉瘤不再显影,桥血管通畅。

术前MRI、MRA及DSA提示:左椎动脉夹层动脉瘤累及小脑后下动脉,双侧锁骨下动脉及双侧椎动脉开口处极度迂曲。
病例资料及手术过程可见视频,下面为手术要点介绍。
朱巍教授:复合手术左侧椎动脉夹层动脉瘤孤立及枕动脉-小脑后下动脉端侧吻合术一例
手术要点

1. 患者全麻成功后,取右侧卧位,头架固定,做左侧枕下远外侧入路开颅,倒钩形切口。

2. 翻开皮瓣,显微镜下游离枕动脉备用。

3. 行左侧枕下骨窗成型,咬开C1后弓侧方。剪开硬膜,翻向颅底,向上牵开小脑扁桃体,即可暴露VA起始部及PICA血管袢。继续向上方游离,于后组颅神经深面即可见动脉瘤。动脉瘤位于VA-PICA起始部,PICA起源于瘤体。

4. 临时动脉夹夹闭枕动脉近端,及PICA血管袢近端及远端。枕动脉45度剪开,修剪血管后行枕动脉-PICA端侧吻合。取除临时动脉瘤夹,多普勒超声明确桥血管通畅。

5. 取三枚动脉瘤夹分别夹闭瘤体近端,远端以及PICA起始段。复查多普勒超声明确动脉瘤已闭塞。

6. 复查吲哚菁绿(ICG)造影明确动脉瘤已闭塞,PICA近端有来自搭桥血管的反流。

7. 术中造影证实动脉瘤不再显影,桥血管通畅。
后循环搭桥术可用于缺血性神经系统疾病、侵犯椎动脉及其分支的颅底肿瘤以及复杂巨大动脉瘤的手术治疗。枕动脉管径与小脑后下动脉最为接近,适于行后循环颅内外血管搭桥术。枕动脉-小脑后下动脉(OA-PICA)搭桥术适用于VA或PICA动脉瘤孤立所致的PICA闭塞。PICA的血管袢位于扁桃体延髓段,通常被认为最适宜行OA-PICA搭桥术。远外侧入路是行VA-PICA动脉瘤夹闭和OA-PICA搭桥术的最常用入路。
(复旦大学附属华山医院杨紫潇编辑报道,复旦大学附属华山医院朱巍教授主刀、审校)
【正海-妙术视界】往期回顾
第二十四期:徐斌教授
第二十三期:朱巍、田彦龙教授
第二十二期:王林教授
第二十一期:洪涛教授团队
第二十期:贺世明教授
第十九期:张晓华教授团队
第十八期:刘振林教授
第十七期:张义教授
第十六期:钟东教授
第十五期:陈菊祥教授
第十四期:吴哲褒教授
第十三期:洪涛教授
第十二期:佟志勇教授
第十一期:王国良教授
第十期:蒋晓帆教授
第九期:骆纯教授
第八期:张俊廷教授
第七期:Hiroyoshi Akutsu教授
第六期:朱巍教授
第五期:于加省教授
第四期:吴劲松教授
第三期:徐斌教授
第二期:贺世明教授
第一期:钟平教授
朱巍教授相关回顾




