
今天为大家分享的是“强生医疗CNV-神经介入专栏”第五十二期,由首都医科大学附属北京天坛医院吕明教授等带来的“复合手术治疗海绵窦区硬脑膜动静脉瘘一例”精彩讲课视频及PPT,欢迎观看。文章仅代表作者个人观点,如有不同见解,欢迎同道斧正!
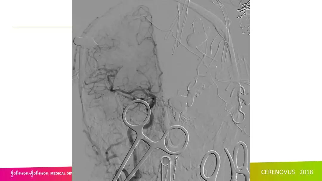
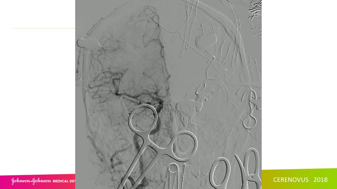
复合手术治疗海绵窦区硬脑膜动静脉瘘一例

吕明 教授
首都医科大学附属北京天坛医院神经介入科主任医师、教授、医学博士、首都医科大学硕士研究生导师。专门从事神经系统血管病的介入治疗,主攻颅内动脉瘤、脑血管畸形、颈动脉海绵窦瘘、硬脑膜动静脉瘘、脊髓血管畸形等出血性脑脊髓血管病。
承担天坛医院部分协作单位的会诊工作,带动和促进了国内多家省市医院神经介入技术的开展。目前科研方向致力于颅内动脉瘤介入治疗的规范化和个体化,受北京市科技新星计划、北京市优秀人才项目和北京市卫生系统高层次卫生技术人才培养计划资助。












































