今天为大家分享的是《颅脑创伤-神经重症病例周刊》62期,由宁波市医疗中心李惠利医院神经外科周江副主任医师带来的病例:创伤性脑膜中动脉假性动脉瘤,浙江大学医学院附属第二医院神经外科主任张建民教授、宁波市医疗中心李惠利医院神经外科主任丁方教授进行了审校并作出精彩点评,欢迎阅读、分享。
病史简介
患者,男性,52岁,因“车祸致头面胸部及全身多处受伤一天”入院。
患者1天前骑电瓶车被卡车撞倒受伤,伤后右侧头面部出血,右上肢活动障碍,右眼视力下降。送至当地医院检查后诊断:“右颞硬膜外血肿,颅底骨折,颞骨骨折,右侧视神经损伤,右侧气胸伴多发肋骨骨折,右肱骨骨折等”,给予右侧胸腔闭式引流,右肱骨石膏固定。为进一步治疗转来宁波市李惠利医院神经外科。
入院查体:T 37.6℃,P 85次/分,R 18次/分,BP 156/77mmHg 神志嗜睡,呼唤睁眼,唤醒后能正确对答,右眼淤肿,双侧瞳孔不等大,右侧直径3.0mm,左侧2.5mm,右眼无光感,左眼视力粗测良好,右侧瞳孔直接对光反射消失,间接对光反射灵敏,左侧瞳孔直接对光反射灵敏,间接对光反射消失。右侧颧面部肿胀,压痛。颈无抵抗。右侧胸壁压痛,可及捻发感,可见一条胸腔闭式引流管,有少量气体溢出,可见水封瓶波动,右肺呼吸音低。右上肢石膏固定,肢端血运可,手指活动存在,余肢体活动可。GCS:14分。
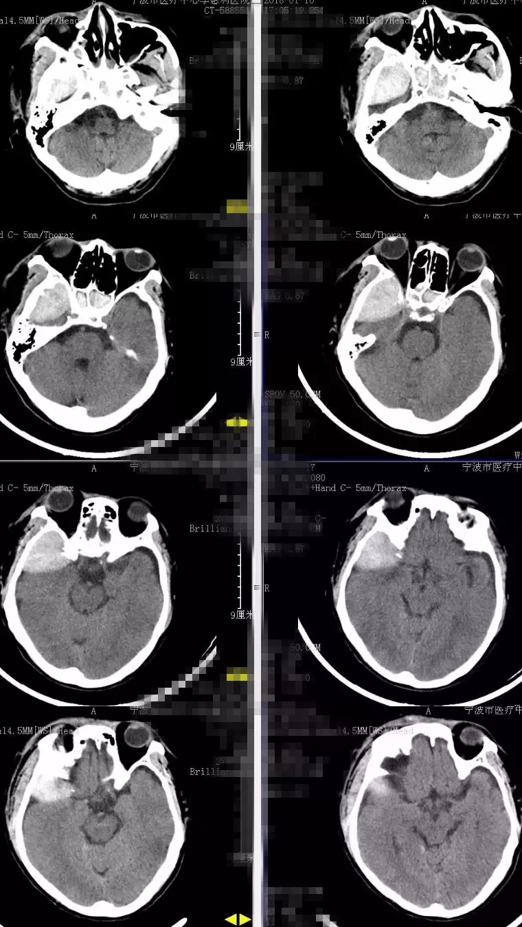
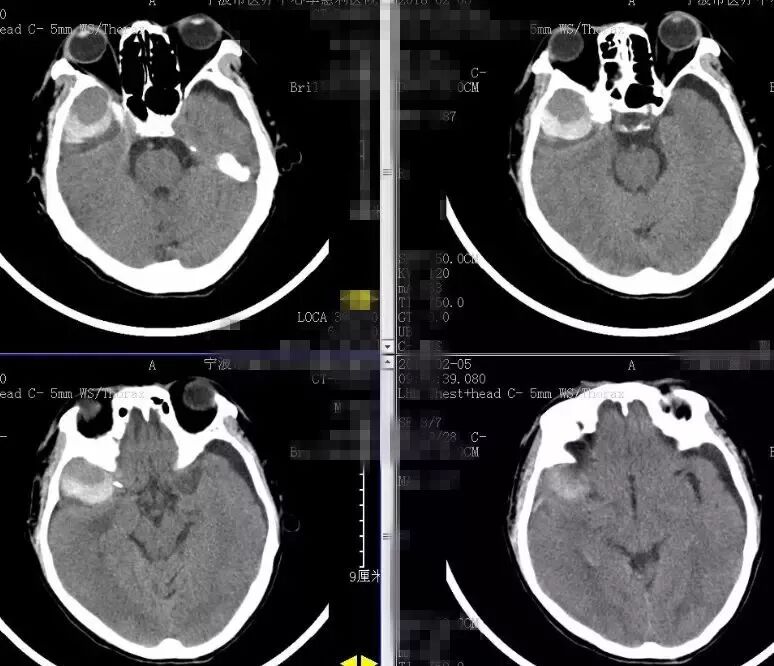
辅助检查:2018-1-10复查头部及胸部CT:右颞部硬膜外血肿。右侧颞骨、颧弓骨折,右侧颅底多发骨折(图1)。右侧液气胸,胸腔引流管在位。右侧多发肋骨骨折。右肱骨正侧位片:右侧肱骨下端粉碎性骨折。

图1. 2018-1-10入院时头CT:右颞部硬膜外大血肿。右侧颞骨、颧弓骨折,右侧颅底多发骨折。
诊疗经过
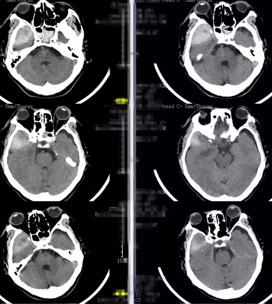
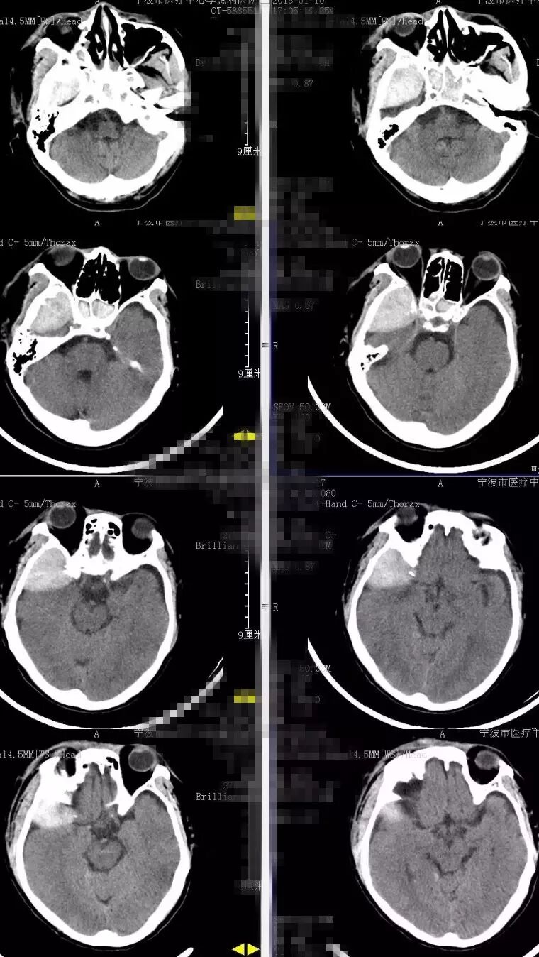
鉴于患者有轻微头痛头晕,病情稳定,颅高压尚可,入院后完善各项辅助检查,预防感染、止血、神经营养等保守治疗。拟头部情况稳定后,转骨科行右肱骨手术治疗。保守治疗一周后(2018-1-17)头颅CT显示右颞硬膜外血肿基本同前(图2),遂继续保守治疗。2018-1-22及27日再次复查头颅CT,显示右颞硬膜外血肿较前逐渐吸收,密度降低(图3)。
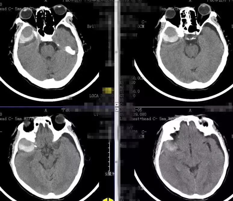
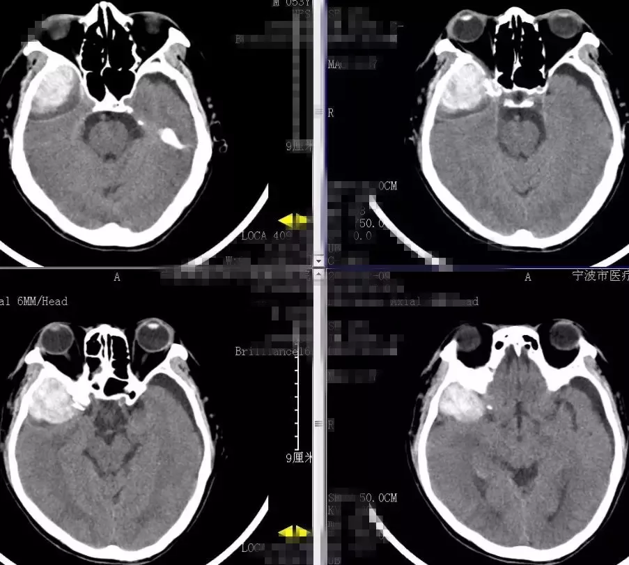
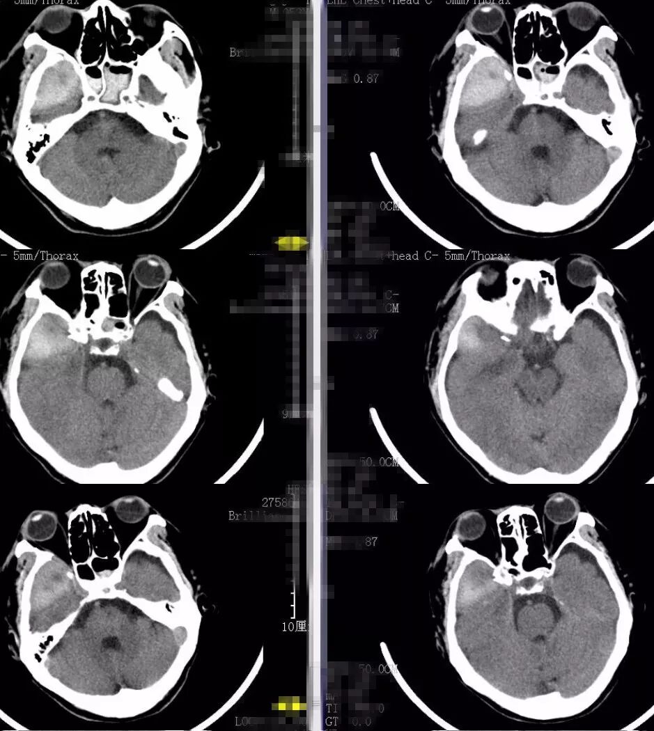
患者头痛头晕逐渐好转,右眼视力也较前好转。胸腔积血明显减少,拔除引流管。遂转骨科行右肱骨手术治疗。骨科手术后患者病情恢复可,也无明显头痛加重等。出院前常规给予复查头颅CT(2018-2-5)提示右颞部硬膜外血肿新鲜出血(图4)。考虑暂缓出院,并转回李惠利医院神经外科。患者转回神经外科后当天出现剧烈头痛,再行复查头颅CT及预约CTA。2018-2-9 CT提示右颞硬膜外血肿较前明显增多(图5)。
2018-2-13 CTA提示右颞部DAVF可能(图6),建议DSA。仔细阅片CTA未见明显引流静脉,考虑右侧脑膜中动脉假性动脉瘤可能更大。次日行 DSA检查,证实为“右侧脑膜中动脉假性动脉瘤”(图7)。当日即行“右侧翼点入路,脑膜中动脉假性动脉瘤切除加血肿清除术”(图8)。病理回报:镜下纤维细胞增生,可见血凝块伴机化(图9)。2018-2-27 复查CTA提示右侧脑膜中动脉假性动脉瘤术后改变,未见残余及复发(图10)。

图2. 2018-1-17头颅CT显示右颞硬膜外血肿基本同前,密度稍降低。

图3. 2018-1-22及2018-1-27再次复查头颅CT显示右颞硬膜外血肿较前逐渐吸收,密度降低。

图4. 骨科术后复查头颅CT(2018-2-5)提示右颞部硬膜外血肿新鲜出血。

图5. 2018-2-9 CT提示右颞硬膜外血肿较前明显增多。

图6. 2018-2-13 CTA提示右颞部DAVF可能。

图7. 2018-2-14 DSA提示右侧脑膜中动脉假性动脉瘤。

图8. 2018-2-14行“右侧翼点入路,脑膜中动脉假性动脉瘤切除术”,术中见假性动脉瘤包膜形成。

图9. 病理回报:镜下纤维细胞增生,可见血凝块伴机化。

图10. 2018-2-27 复查CTA提示右侧脑膜中动脉假性动脉瘤术后改变,未见残余及复发。
精彩点评
脑膜中动脉(MMA)假性动脉瘤比较少见,占颅内动脉瘤比例不到1%。70-90%的病例合并骨折线经过脑膜中动脉行程的颞骨骨折,其余的病例发生在重症颅脑外伤的独立骨折处、或者医源性损伤。急性或迟发的硬膜外血肿(70%)是其主要表现,亦可表现为蛛网下腔出血、硬膜下血肿及脑内血肿。MMA假性动脉瘤从创伤到假性动脉瘤破裂的时间窗是1天到1年,绝大部分破裂发生在30天内。此病症破裂率超过80%,有较高的死亡率(20%)[1]。
有研究组造影检查446例头部外伤患者双侧脑膜中动脉,MMA动脉瘤发生率是4%[2]。另有研究造影检查80例小到中型的急性硬膜外血肿,MMA假性动脉瘤发生率为13.6%[3]。在临床治疗中,颅脑外伤患者并发MMA假性动脉瘤病例并不如以上文献报道发生率高,甚至可以说罕见,这可能和该疾病有一定自愈性有关。大部分的MMA假性动脉瘤在创伤修复过程中发生栓塞、闭塞而消失,被发现的假性动脉瘤往往是那些未自愈而并发迟发性出血的病例。另有一部分MMA假性动脉瘤急性破裂出血病例往往未经明确诊断,而急诊行血肿清除术治疗。
MMA假性动脉瘤的诊断:
1. MMA假性动脉瘤往往在初始诊断时被忽略,发生迟发性的硬膜外血肿高度提示该疾病。
2. 虽然CT和MRI不能确诊,亦不能忽略其提供的间接诊断依据。
3. CTA及DSA可明确诊断,由于CTA有可能漏诊,推荐同时进行CTA及DSA检查[4]。
4. 推荐对于伴有颅底骨折的脑内血肿的头部外伤患者行CTA检查[5]。
由于MMA假性动脉瘤的自然病程目前尚不明确,治疗上目前亦无明确的指南。目前治疗上有三种方案:保守治疗、血管内介入治疗、开颅手术治疗。因为其有一定的自愈性,少数未破裂MMA假性动脉瘤可采取保守治疗。但因其有较高的破裂率及死亡率,目前主流观点都支持对其进行处理。对于破裂MMA假性动脉瘤,甚至可等同于颅内破裂动脉瘤,建议急诊处理。对于介入及手术治疗的选择,目前大多采用介入手段(90%),因其有创伤小、颈外动脉系统操作并发症较少的特点。本例病例中,采用反复衡量后采用了开颅手术的方案的原因是:该患者有明显的占位效应,介入栓塞并不能解决占位效应。虽然栓塞后假性动脉瘤可能萎缩,硬膜外血肿亦可能逐渐吸收,但效果并不明确。手术过程中的证据最终也支持这一判断,假性动脉瘤的包膜已完全形成,除了载瘤动脉MMA供血,硬膜上亦有新生成的滋养血管通过包膜向其供血。病理回报:镜下纤维细胞增生,可见血凝块伴机化,同样支持需通过手术解决其占位效应。
张建民 教授
浙江大学医学院附属第二医院神经外科主任
丁方 教授
宁波市医疗中心李惠利医院神经外科主任
参考文献
1. Jae-Yoon Lee, Cheol-Young Lee, Hyun-Woo Kim. Angiographically Progressive Change of Traumatic Pseudoaneurysm Arising from the Middle Meningeal Artery. J Korean Neurosurg Soc 2014;56(5):423-7.
2. Khursheed Nayil, Altaf Ramzan, Rumana Makhdoomi, Abrar Wani, Javeed Zargar, Feroze Shaheen. Incidental Traumatic Pseudoaneurysm of the Middle Meningeal artery: Case Report and literature Review. Turk Neurosurg 2012;22(2):239-41.
3. Peres C M, Caldas J G, Jr P P, et al. Endovascular management of acute epidural hematomas: clinical experience with 80 cases. Journal of Neurosurgery, 2017;4:1-7.
4. Xiaohua Wu, Yichao Jin, Xiaohua Zhang. Intraparenchymal Hematoma Caused by Rupture of the Traumatic Pseudoaneurysm of Middle Meningeal Artery. J Craniofac Surg 2014;25(2):e111- 3.
5. D Jussen, E Wiener, P Vajkoczy, P Horn. Traumatic middle meningeal artery pseudoaneurysms Diagnosis and endovascular treatment of two cases and review of the literature. Neuroradiology 2012;54(10):1133-6.
【颅脑创伤-神经重症病例周刊】往期回顾




