2018年04月09日发布 | 402阅读

创伤性脑膜中动脉假性动脉瘤一例---浙二神外周刊(第139期)

浙二神外周刊

达人收藏

“浙二神外周刊”每周病例回顾,提出最优化的临床治疗分析和随访指导意见。专业讨论意见仅代表浙二神经外科团队观点,如有不同见解,欢迎同道斧正!每期讨论病例资料及整理均为“浙二神外周刊”原创,“浙二神经外科”授权官方合作新媒体《神外资讯》发布,其他网络媒体转载,请务必注明出处!



提示

本期“浙二神外周刊”接收宁波市医疗中心李惠利医院神经外科讨论病例,审核后发表。欢迎各专业同道联系我们,分享精彩病例、研究热点或前沿资讯。投稿请联系:shishi74@163.com




简讯

2018年3月29日下午,浙医二院神经外科张建民教授带领科室部分专家与宁波市医疗中心李惠利医院神经外科丁方主任团队进行了双边学术交流。主要就脑血管病的前沿进展,结合具体病例的诊治进行了面对面讨论。浙二专家主要介绍了就如何利用复合手术室对复杂性脑血管病进行处理的经验体会,对李惠利医院即将建造的复合手术室作参考具有很好的实用意义。李惠利医院团队也对如椎基底动脉复杂动脉瘤等病例进行处理的经验作了介绍。其中有一例创伤性脑膜中动脉假性动脉瘤的处理介绍给大家,供大家借鉴。

浙医二院神经外科&宁波医疗中心李惠利医院神经外科双边交流会



病史简介


患者,男性,52岁,因“车祸致头面胸部及全身多处受伤一天”入院。


患者1天前骑电瓶车被卡车撞倒受伤,伤后右侧头面部出血,右上肢活动障碍,右眼视力下降。送至当地医院检查后诊断:“右颞硬膜外血肿,颅底骨折,颞骨骨折,右侧视神经损伤,右侧气胸伴多发肋骨骨折,右肱骨骨折等”,给予右侧胸腔闭式引流,右肱骨石膏固定。为进一步治疗转来宁波市李惠利医院神经外科。


入院查体:T 37.6℃,P 85次/分,R 18次/分,BP 156/77mmHg 神志嗜睡,呼唤睁眼,唤醒后能正确对答,右眼淤肿,双侧瞳孔不等大,右侧直径3.0mm,左侧2.5mm,右眼无光感,左眼视力粗测良好,右侧瞳孔直接对光反射消失,间接对光反射灵敏,左侧瞳孔直接对光反射灵敏,间接对光反射消失。右侧颧面部肿胀,压痛。颈无抵抗。右侧胸壁压痛,可及捻发感,可见一条胸腔闭式引流管,有少量气体溢出,可见水封瓶波动,右肺呼吸音低。右上肢石膏固定,肢端血运可,手指活动存在,余肢体活动可。GCS:14分。


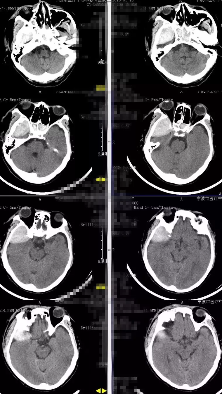
辅助检查:2018-1-10复查头部及胸部CT:右颞部硬膜外血肿。右侧颞骨、颧弓骨折,右侧颅底多发骨折(图1)。右侧液气胸,胸腔引流管在位。右侧多发肋骨骨折。右肱骨正侧位片:右侧肱骨下端粉碎性骨折。


图1. 2018-1-10入院时头CT:右颞部硬膜外大血肿。右侧颞骨、颧弓骨折,右侧颅底多发骨折。


诊疗经过


鉴于患者有轻微头痛头晕,病情稳定,颅高压尚可,入院后完善各项辅助检查,预防感染、止血、神经营养等保守治疗。拟头部情况稳定后,转骨科行右肱骨手术治疗。保守治疗一周后(2018-1-17)头颅CT显示右颞硬膜外血肿基本同前(图2),遂继续保守治疗。2018-1-22及27日再次复查头颅CT,显示右颞硬膜外血肿较前逐渐吸收,密度降低(图3)。


患者头痛头晕逐渐好转,右眼视力也较前好转。胸腔积血明显减少,拔除引流管。遂转骨科行右肱骨手术治疗。骨科手术后患者病情恢复可,也无明显头痛加重等。出院前常规给予复查头颅CT(2018-2-5)提示右颞部硬膜外血肿新鲜出血(图4)。考虑暂缓出院,并转回我科。患者转回我科后当天出现剧烈头痛,再行复查头颅CT及预约CTA。2018-2-9 CT提示右颞硬膜外血肿较前明显增多(图5)。


2018-2-13 CTA提示右颞部DAVF可能(图6),建议DSA。仔细阅片CTA未见明显引流静脉,考虑右侧脑膜中动脉假性动脉瘤可能更大。次日行 DSA检查,证实为“右侧脑膜中动脉假性动脉瘤”(图7)。当日即行“右侧翼点入路,脑膜中动脉假性动脉瘤切除加血肿清除术”(图8)。病理回报:镜下纤维细胞增生,可见血凝块伴机化(图9)。2018-2-27 复查CTA提示右侧脑膜中动脉假性动脉瘤术后改变,未见残余及复发(图10)。


图2. 2018-1-17头颅CT显示右颞硬膜外血肿基本同前,密度稍降低。


图3. 2018-1-22及2018-1-27再次复查头颅CT显示右颞硬膜外血肿较前逐渐吸收,密度降低。


图4. 骨科术后复查头颅CT(2018-2-5)提示右颞部硬膜外血肿新鲜出血。


图5. 2018-2-9 CT提示右颞硬膜外血肿较前明显增多。


图6. 2018-2-13 CTA提示右颞部DAVF可能。


图7. 2018-2-14 DSA提示右侧脑膜中动脉假性动脉瘤。


图8. 2018-2-14行“右侧翼点入路,脑膜中动脉假性动脉瘤切除术”,术中见假性动脉瘤包膜形成。


图9. 病理回报:镜下纤维细胞增生,可见血凝块伴机化。


图10. 2018-2-27 复查CTA提示右侧脑膜中动脉假性动脉瘤术后改变,未见残余及复发。


讨论


脑膜中动脉(MMA)假性动脉瘤比较少见,占颅内动脉瘤比例不到1%。70-90%的病例合并骨折线经过脑膜中动脉行程的颞骨骨折,其余的病例发生在重症颅脑外伤的独立骨折处、或者医源性损伤。急性或迟发的硬膜外血肿(70%)是其主要表现,亦可表现为蛛网下腔出血、硬膜下血肿及脑内血肿。MMA假性动脉瘤从创伤到假性动脉瘤破裂的时间窗是1天到1年,绝大部分破裂发生在30天内。此病症破裂率超过80%,有较高的死亡率(20%)[1]。

 

有研究组造影检查446例头部外伤患者双侧脑膜中动脉,MMA动脉瘤发生率是4%[2]。另有研究造影检查80例小到中型的急性硬膜外血肿,MMA假性动脉瘤发生率为13.6%[3]。在临床治疗中,颅脑外伤患者并发MMA假性动脉瘤病例并不如以上文献报道发生率高,甚至可以说罕见,这可能和该疾病有一定自愈性有关。大部分的MMA假性动脉瘤在创伤修复过程中发生栓塞、闭塞而消失,被发现的假性动脉瘤往往是那些未自愈而并发迟发性出血的病例。另有一部分MMA假性动脉瘤急性破裂出血病例往往未经明确诊断,而急诊行血肿清除术治疗。

 

MMA假性动脉瘤的诊断:1. MMA假性动脉瘤往往在初始诊断时被忽略,发生迟发性的硬膜外血肿高度提示该疾病。2. 虽然CT和MRI不能确诊,亦不能忽略其提供的间接诊断依据。3. CTA及DSA可明确诊断,由于CTA有可能漏诊,推荐同时进行CTA及DSA检查[4]。4. 推荐对于伴有颅底骨折的脑内血肿的头部外伤患者行CTA检查[5]。


由于MMA假性动脉瘤的自然病程目前尚不明确,治疗上目前亦无明确的指南。目前治疗上有三种方案:保守治疗、血管内介入治疗、开颅手术治疗。因为其有一定的自愈性,少数未破裂MMA假性动脉瘤可采取保守治疗。但因其有较高的破裂率及死亡率,目前主流观点都支持对其进行处理。对于破裂MMA假性动脉瘤,甚至可等同于颅内破裂动脉瘤,建议急诊处理。对于介入及手术治疗的选择,目前大多采用介入手段(90%),因其有创伤小、颈外动脉系统操作并发症较少的特点。本例病例中,我们采用反复衡量后采用了开颅手术的方案的原因是:该患者有明显的占位效应,介入栓塞并不能解决占位效应。虽然栓塞后假性动脉瘤可能萎缩,硬膜外血肿亦可能逐渐吸收,但效果并不明确。手术过程中的证据最终也支持我们的判断,假性动脉瘤的包膜已完全形成,除了载瘤动脉MMA供血,硬膜上亦有新生成的滋养血管通过包膜向其供血。病理回报:镜下纤维细胞增生,可见血凝块伴机化,同样支持需通过手术解决其占位效应。


参考文献


1. Jae-Yoon Lee, Cheol-Young Lee, Hyun-Woo Kim. Angiographically Progressive Change of Traumatic Pseudoaneurysm Arising from the Middle Meningeal Artery. J Korean Neurosurg Soc 2014;56(5):423-7.

2. Khursheed Nayil, Altaf Ramzan, Rumana Makhdoomi, Abrar Wani, Javeed Zargar, Feroze Shaheen. Incidental Traumatic Pseudoaneurysm of the Middle Meningeal artery: Case Report and literature Review. Turk Neurosurg 2012;22(2):239-41.

3. Peres C M, Caldas J G, Jr P P, et al. Endovascular management of acute epidural hematomas: clinical experience with 80 cases. Journal of Neurosurgery, 2017;4:1-7.

4. Xiaohua Wu, Yichao Jin, Xiaohua Zhang. Intraparenchymal Hematoma Caused by Rupture of the Traumatic Pseudoaneurysm of Middle Meningeal Artery. J Craniofac Surg 2014;25(2):e111- 3.

5. D Jussen, E Wiener, P Vajkoczy, P Horn. Traumatic middle meningeal artery pseudoaneurysms Diagnosis and endovascular treatment of two cases and review of the literature. Neuroradiology 2012;54(10):1133-6.

 

(本病例由宁波市医疗中心李惠利医院神经外科周江副主任医师整理,丁方主任审校,浙二神经外科张建民主任终审)


往期回顾

浙二神外周刊(一百三十八)--侧脑室三角区肿瘤术后孤立颞角综合征一例

浙二神外周刊(一百三十七)--以出血为首发症状的多形性黄色星形细胞瘤一例

浙二神外周刊(一百三十六)--垂体ACTH细胞增生性库欣病一例

浙二神外周刊(一百三十五)--IgG4相关性眼病一例

浙二神外周刊(一百三十四)--腰髓动静脉畸形出血导致颅内蛛网膜下腔出血一例

浙二神外周刊(一百三十三)--疑似鞍区海绵状血管瘤一例

浙二神外周刊(一百三十二)--浙医二院神经外科新春祝福

浙二神外周刊(一百三十一)--以腰椎播散灶为首发症状的颅内室管膜瘤一例

浙二神外周刊(一百三十)--亚裔学生的美国神经外科医师成长之路(来自UCLA华裔学生的经历分享)

浙二神外周刊(一百二十九)--开颅术后继发硬脑膜动静脉瘘一例

浙二神外周刊(一百二十八)--sternberg管未闭脑膜脑膨出致脑脊液鼻漏一例

浙二神外周刊(一百二十七)--中药皂角刺致颅内脊索瘤术后残余肿瘤萎陷?

浙二神外周刊(一百二十六)--利用复合手术室多学科合作处理头部刀刺伤一例

浙二神外周刊(一百二十五)--经静脉入路栓塞深部脑动静脉畸形一例

浙二神外周刊(一百二十四)--颅咽管瘤术后并发尾状核、壳核脱髓鞘1例

浙二神外周刊(一百二十三)--库欣病合并全身多发占位性病变一例

浙二神外周刊(一百二十二)--经皮脊柱内镜手术切除腰椎巨大滑膜囊肿一例

浙二神外周刊(一百二十一)--孤立性室管膜下巨细胞星形细胞瘤一例

浙二神外周刊(一百二十)--伴有ALK融合基因的颅内转移性肺神经内分泌癌一例

浙二神外周刊(一百一十九)--静脉入路栓塞舌下神经管区硬脑膜动静脉瘘一例

浙二神外周刊(一百一十八)--儿童中央区病灶致顽固性癫痫外科手术一例

浙二神外周刊(一百一十七)--丙戊酸钠相关高血氨脑病一例

浙二神外周刊(一百一十六)--儿童眶尖-海绵窦-颞下窝病变一例

浙二神外周刊(一百一十五)--小脑节细胞胶质瘤一例

浙二神外周刊(一百一十四)--高血压性脑干出血治疗--浙二的观点

浙二神外周刊(一百一十三)--“复合高压锅技术”治疗横窦区硬脑膜动静脉瘘一例

浙二神外周刊(一百一一十二)--应用新型动脉瘤内栓塞装置(WEB)栓塞前交通未破裂动脉瘤一例

浙二神外周刊(一百一十一)--儿童四脑室室管膜瘤术后并发胃瘫综合征一例

浙二神外周刊(一百一十)--颅内多发病变之隐球菌感染一例

浙二神外周刊(一百零九)--颅内多发病变之多发性硬化一例

浙二神外周刊(一百零八)--新发现AIP基因突变位点的家族性单纯性GH瘤家系一例

浙二神外周刊(一百零七)--自发性低颅压致双侧硬膜下血肿一例

浙二神外周刊(一百零六)--张建民教授牵头国家重点研发计划:“基于脑机接口的脑血管病主动康复技术研究及应用”正式启动

浙二神外周刊(一百零五)--颅骨板障表皮样囊肿合并慢性硬膜外血肿一例

浙二神外周刊(一百零四)--内镜辅助显微手术半椎板入路切除儿童颈髓腹侧肠源性囊肿一例

浙二神外周刊(一百零三)--颅骨缺损修补术后并发急性脑肿胀一例

浙二神外周刊(一百零二)--伴发钙化的椎管内表皮样囊肿一例

浙二神外周刊(一百零一)--胶质瘤的病理特征与位置分布的关系

浙二神外周刊(一百)--疑似DIPG的慢粒急变脑干浸润一例

浙二神外周刊(九十九)--垂体生长激素腺瘤卒中伴发脑梗塞一例

浙二神外周刊(九十八)--多囊肾合并颅内动脉瘤一例

浙二神外周刊(九十七)--巨大延颈髓室管膜瘤一例

浙二神外周刊(九十六)--桥小脑角脑膜瘤伽马刀后并发PICA血栓性动脉瘤一例

浙二神外周刊(九十五)--硬脊膜外囊肿瘘口封闭术一例

浙二神外周刊(九十四)--颅内表皮样囊肿自发破裂伴血清CA-199显著升高一例

浙二神外周刊(九十三)--伴发钙化的垂体腺瘤一例

浙二神外周刊(九十二)--鞍上毛细胞黏液样星形细胞瘤伴自发性出血一例

浙二神外周刊(九十一)--2017西湖神经外科论坛成功召开!

浙二神外周刊(九十)--以尿崩症为首发表现的Erdheim-Chester病一例并文献复习

浙二神外周刊(八十九)--“X”形支架辅助栓塞...

浙二神外周刊(八十八)--神经内镜下经鼻...

浙二神外周刊(八十七)--经一侧椎板间微骨...

浙二神外周刊(八十六)--UCLA住院医师...

浙二神外周刊(八十五)--美国神经外科住院...

浙二神外周刊(八十四)--立体定向125I粒子...

浙二神外周刊(八十三)--垂体脓肿继发颈内...

浙二神外周刊(八十二)--引流静脉自发闭塞...

浙二神外周刊(八十一)--手术治疗Broca区...

浙二神外周刊(八十)--TERT基因在胶质瘤...

浙二神外周刊(七十九)--复合手术治疗复杂...

浙二神外周刊(七十八)--弥漫性胶质瘤...

浙二神外周刊(七十七)--神经内镜下经鼻...

浙二神外周刊(七十六)--经颈静脉孔入路...

浙二神外周刊(七十五)--以特发性颅内压...

浙二神外周刊(七十四)--唤醒麻醉下iMRI...

浙二神外周刊(七十三)--电生理监测下...

浙二神外周刊(七十二)--以疑似脊髓炎起病...

浙二神外周刊(七十一)--鞍上垂体细胞瘤...

浙二神外周刊(七十)--利用复合手术室...

浙二神外周刊(六十九)--AIDS继发弓形体...

浙二神外周刊(六十八)--神经轴钙化性假瘤...

浙二神外周刊(六十七)--以头痛、视物模糊...

浙二神外周刊(六十六)--利用复合手术室...

浙二神外周刊(六十五)--3D神经内镜下...

浙二神外周刊(六十四)--立体定向放射性...

浙二神外周刊(六十三)--张建民教授手术...

浙二神外周刊(六十二)--原发性颅内血管...

浙二神外周刊(六十一)--伴有脑脊液播散

浙二神外周刊(六十)--3.0T术中磁共振...

浙二神外周刊(五十九)--Dolenc入路切除...

浙二神外周刊(五十八)--经动脉途径弹簧圈...

浙二神外周刊(五十七)--特发性正常颅压...

浙二神外周刊(五十六)--桥小脑角区胶质瘤...

浙二神外周刊(五十五)--单用替莫唑胺

浙二神外周刊(五十四)--肺癌转移至垂体...

浙二神外周刊(五十三)--经皮内镜下手术...

浙二神外周刊(五十二)--药物敏感性...

浙二神外周刊(五十一)--OA-PICA搭桥...

浙二神外周刊(五十)--立体定向穿刺引流...

浙二神外周刊(四十九)--幕上间变性透明...

浙二神外周刊(四十八)--桥小脑角区生...

浙二神外周刊(四十七)--垂体瘤手术...

浙二神外周刊(四十六)--弥漫内生型...

浙二神外周刊(四十五)--颈髓髓内黑色...

浙二神外周刊(四十四)--脊髓胶质...

浙二神外周刊(四十三)--髓内毛细胞型...

浙二神外周刊(四十二)--海绵窦原发恶...


浙二神外周刊(四十一)--出血性囊性血...

浙二神外周刊(四十)--鞍内蛛网膜囊...

浙二神外周刊(三十九)--椎管内膜外硬脊膜...

浙二神外周刊(三十八)--易误诊为肿瘤的...

二神外周刊(三十七)--垂体瘤伴发鞍结...

浙二神外周刊(三十六)--脑膜血管瘤病...

浙二神外周刊(三十五)--颅骨多发性血...

浙二神外周刊(三十四)--颅颈交界区...

浙二神外周刊(三十三)--下丘脑错构瘤...

浙二神外周刊(三十二)--肉芽肿性垂体炎...

浙二神外周刊(三十一)--颅脑转移性肿瘤...

浙二神外周刊(三十)--螺纹钢致颅脑贯...

浙二神外周刊(二十九)--托式皮肤闭合器...

浙二神外周刊(二十八)--同时合并出血...

浙二神外周刊(二十七)--神经内镜下经鼻...

浙二神外周刊(二十六)--经股静脉-颞浅...

浙二神外周刊(二十五)--脑动静脉畸形...

浙二神外周刊(二十四)--伴发静脉畸形...

浙二神外周刊(二十三)--单电极双靶点...

浙二神外周刊(二十二)--髓母细胞瘤风险...

浙二神外周刊(二十一)--高位颈髓髓内室...

浙二神外周刊(二十)--侵袭中脑和丘脑的...

浙二神外周刊(十九)--嗅沟神经鞘瘤一例

浙二神外周刊(十八)--采用立体定向脑电图...

浙二神外周刊(十七)--小脑胶质母细胞瘤...

浙二神外周刊(十六)--快速生长的腰椎管内...

浙二神外周刊(十五)--原发性颅内黏膜...

浙二神外周刊(十四)--类似颅内多发转移瘤...

浙二神外周刊(十三)--胶质瘤MDT讨论...

浙二神外周刊(十二)--祝向东教授:左侧...

浙二神外周刊(十一)--“夹心饼干”技术...

浙二神外周刊(十)--婴幼儿皮层发育不良致...

浙二神外周刊(九)--复杂性A1段夹层动脉...

浙二神外周刊(八)--眼眶-颅内异物残留致...

浙二神外周刊(七)--鞍区颗粒细胞肿瘤一例...

浙二神外周刊(六)--毛细胞粘液型星形...

浙二神外周刊(五)--鞍区胚胎性癌及放疗...

浙二神外周刊(四)--中枢神经系统非常见...

浙二神外周刊(三)--双侧丘脑病变...

浙二神外周刊(二)--脑室内及颅骨多发肿瘤...

浙二神外周刊(一)--GBM术后:远处播散...



最新评论
发表你的评论
发表你的评论