经过十四年的发展,在中国医科大学附属盛京医院刘云会副院长的规划和领导下,神经外科喻博教授填补了盛京医院脑血管病治疗的四项重大空白(脑动脉瘤介入栓塞术、脑动脉狭窄支架术、颅内外血管搭桥术、急性脑主干血管闭塞取栓术)。
另外盛京医院在缺血性脑血管病的治疗上形成完善的体系,重度脑血管狭窄行颅内及颅外支架成型术,急性脑主干血管闭塞开展急诊取栓并建立绿色通道,烟雾病(一种慢性的进展性脑主干血管闭塞)行脑血管搭桥术。
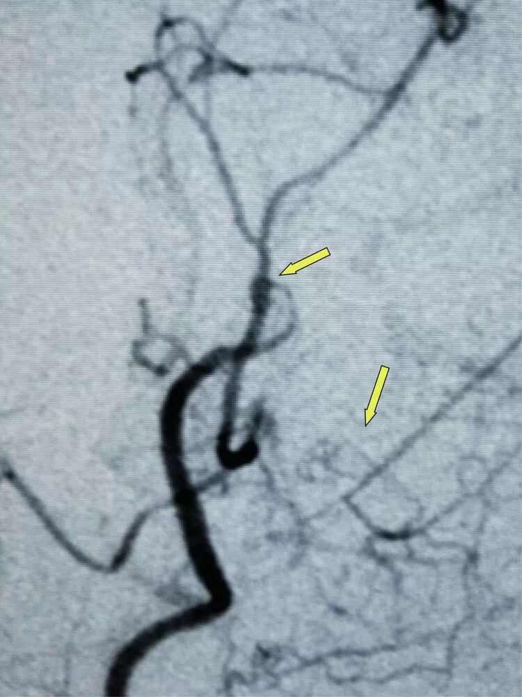
病例一
27岁的小萍,本是最好的年华,可以享受生活、岁月和阳光。然而可能上帝就是不能给一个人完美,2017年11月小萍在毫无征兆的情况下频繁出现左侧肢体活动不灵,在1个月后突发左半身肢体无法活动。MR提示右侧枕叶新发梗塞,头DSA提示右侧大脑中动脉闭塞,诊断烟雾病。临床分期及分型:Suzuki及Takaku III期,Matsushima III型。

烟雾病是以双侧颈内动脉末端慢性进行性狭窄或闭塞为特征,并继发引起颅底异常血管网形成的一种少见的脑血管疾病。会造成脑梗塞和脑出血。治疗较为困难。
神经外科喻博教授于2018年1月10日为小萍行颞浅动脉-大脑中动脉搭桥术,颞肌贴敷术。此手术为缺血的大脑半球提供直接的代偿供血(搭桥),以及远期的间接代偿供血(颞肌贴敷)。


箭头所示为颞浅动脉额支(供血动脉)与右侧大脑中动脉M4段(受体)经精密的缝合吻合到一起(血管直径只有0.8mm)。

术后7天复查CTA提示血管确切吻合。
术后3个月,全脑血管造影复查见血管吻合确切,血流通畅,另外造影显示颞肌也对颅内形成了代偿供血。



经过精心的治疗,患者肢体肌力恢复正常。
病例二
男患,61岁,既往TIA病史,突发右侧肢体活动不灵3个月,经头MRA、CT灌注成像、DSA检查并排除其他疾病后,诊断该患为烟雾病。临床分期及分型:Suzuki及Takaku III期,Matsushima III型。

喻博教授为患者行颞浅动脉-大脑中动脉搭桥术,颞肌贴敷术。

箭头所示为颞浅动脉(供血动脉)与左侧大脑中动脉M4段(受体)经精密的缝合吻合到一起。

患者术后1个个月和3个月分别复查CTA及DSA见血管吻合确切,血流通畅。

术前(左侧)与术后(右侧)左侧大脑半球供血血流的对比,术后患侧大脑半球血运很大程度增多。

经过精心的治疗,患者肢体恢复到正常肌力。





